quality of evidence
SIGN guideline 118, feb 2010
1++ High quality meta-analyses, systematic reviews of RCTs, or RCTs with a very low risk of bias
1+ Well conducted meta analyses, systematic reviews or RCTs with a low risk of bias
1- Meta analyses, systematic reviews or RCTs with a high risk of bias
2++ High quality systematic review of case control or cohort studies
High quality case control or cohort studies with a very low risk of confounding or bias and a high probability that the relationship is causal
2+ Well conducted case control or cohort studies with a low risk of confounding or bias and a moderate probability that the relationship is causal
2- Case control or cohort studies with a high risk of confounding or bias and a significant risk that t he relationship is not causal
3 Non-analytic studies, e.g. case reports, case studies
4 Expert Opinion
anomalies in evidence can be due to
mistakes in survey gathering
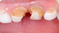
describe

clinical photograph
4 or 5 years (deciduous)
3 incisors grossly carious
Pain, before non-vital
Likely bottle fed caries
what is Fluroide

Hydroxyapatite -> fluoroxyapatite
Ca5(PO4)3OH + F → Ca5(PO4)3F + OH
intermediate CaF2
importance in mineral structure
Packs tighter into Hydroxyapatite – post eruption more effective
enamel formation
Preameloblasts initiated by dental papilla
Ameloblasts stimulate dentinogenesis.
Tomes’ processes angled, which gives differences in crystallite orientation and structure.
Differential movement leads to enamel rods.
Maturation stage, the ameloblasts mineralise the enamel – pre-eruptive fluoride action?

water fluoridation
adjustment of fluoride ion to the UK optimum of 1ppm (1mg/l);
how is optimum level of fluoridation (1ppm F (1mg/l)) obtained in UK
history of water fluoridation
1901 Dr Frederick McKay dentist moved from Philadelphia to Colorado Springs
During 1909 dental inspection of 2,945 children.
Colorado Brown Stain
1920s – Brown stain from the water
1930s – assay for fluoride developed
1931 – H Trendley Dean studies in USA
Dose response – fluorosis and caries 1ppm optimal dose to minimise both

first water fluoridation trial
1945
Results
50 – 63% reduction in DMFT of 12/14-year-olds
48 – 50% reduction in DMFT of 15/16-year-olds

forrest plot for systematic review of water fluoridation
Vertical line is no difference and we can see they all favour fluoridation.
One crosses the line so the difference is not statistically significant from zero, I bet they wished they had seen a larger sample

Centre for NHS Reviews & Dissemination University of York, review of Water fluoridation
confimed
Confirms that fluoridation is effective.
review confirms that water fluoridation works -reduces tooth decay.
is water fluoridation safe?
confirms that water fluoridation and brushing with fluoride toothpaste are complementary.
The only other population-based measure they could consider was the introduction of fluoride toothpaste
enamel mottling / dental fluorosis
At 1ppm
Enamel Mottling

water fluoridation and healthl inequalities
review confirms fluoridation is likely to reduce differences in severity of tooth decay between social classes among 5-year-old children.
review confirms that fluoridation is beneficial in reducing differences in severity of tooth decay between social classes among 5-year-old children (water fluoridation reduces dental health inequalities for this age group)

water fluoridation - good or bad at improving inequalities?
‘In the majority of studies water fluoridation reduced dental caries inequalities between high and low social groups; in no study did water fluoridation increase inequalities’. Medical Research Council 2002
negative control - group that drinks fluoridated water
positive control - drinking slightly more
how water fluoridation reduces the steepness of the curve and levels the playing field when it comes to tooth decay

ethical issue of water fluoridation ?
current water fluoridation
act of water fluoridation
Water fluoridation is adjusting this natural fluoride concentration to 1ppm.
Scotland the level of fluoride in the water varies from 0.001 ppm to 1ppm.
current legislation of water fluoridation in scotland
UK study of water fluoridation effect
water fluoridation health monitioring report 2014
why not introduced water fluoridation?
Scottish Oral Health Improvement Plan 24th January 2018
health economics of water fluoridation
Southcentral SHA consultation 2008
Cost benefit ratio of water fluoridation is 28:1 (900:32) for an amalgam filling or 53:1 (1700:32) for a composite
INVESTMENT
