Week 3 - Respiratory System Flashcards

(30 cards)

1
Q

Respiratory System Function

A

Air conduction
Air filtration
Gas exchange/respiration
URT is primarily involved in filtration, humidifying and adjusting temperatures of inspired air
LRT is involved in exchange of oxygen and carbon dioxide

How well did you know this?
1
Not at all
2
3
4
5
Perfectly
2
Q

Respiratory System - Overview

A

Respiratory tract begins at the larynx, continues into the thorax as the trachea then divides into smaller airways to reach the alveoli
Epithelium goes from pseudostratified columnar ciliated in the larynx and trachea to a simple cuboidal non-ciliated form in the alveoli
Goblet cells are numerous in the trachea but decrease in number as you go further down the respiratory tract
- absent in distal terminal bronchioles

How well did you know this?
1
Not at all
2
3
4
5
Perfectly
3
Q

Diseases of the LRT - Asthma

A

Narrowing of the airways as a result of allergy induced spasms of the surrounding muscles or be obstruction of the airways due to overproduction of mucus

How well did you know this?
1
Not at all
2
3
4
5
Perfectly
4
Q

Diseases of the LRT - Pneumonia

A

Due to an infection of the alveoli caused by several types of bacterial or viral pathogens
Tissue fluids accumulate in the alveoli reducing the surface area exposed to air

How well did you know this?
1
Not at all
2
3
4
5
Perfectly
5
Q

Diseases of the LRT - Bronchitis

A

Inflammatory response that reduces airflow and is caused by long term exposure to irritants such as cigarette smoke, air pollutants or allergens

How well did you know this?
1
Not at all
2
3
4
5
Perfectly
6
Q

Diseases of the LRT - Emphysema

A

When the delicate walls of the alveoli break down, reducing the gas exchange area of the lung

How well did you know this?
1
Not at all
2
3
4
5
Perfectly
7
Q

Diseases of the LRT - Cystic Fibrosis

A

Due to a genetic defect that results in overproduction of mucus which further obstructs airways

How well did you know this?
1
Not at all
2
3
4
5
Perfectly
8
Q

Diseases of the Bronchi and Bronchioles - Airway Infections Caused by an Organism

A

Respiratory syncytial virus (RSV) and measles
- symptoms include: cough, a tightness in the chest and extreme SOB
- histologically - see peribonchiolar inflammation and disorganisation of the epithelium
Influenza - an e.g. of tracheobronchitis
Adenovirus - see extreme extensive inflammation of the bronchioles and subsequent healing resulting in fibrosis

How well did you know this?
1
Not at all
2
3
4
5
Perfectly
9
Q

Diseases of the Bronchi and Bronchioles - Measles and Bordetella Pertussis

A

Measles
- causes bronchiolar obliteration and bronchiectasis
Bordetella Pertussis
- the bacterium commonly infects the airways particularly in babies resulting in whooping cough
- symptoms include: a whooping cough, followed by a deep ‘whoop’ on inspiration
- severe bronchial and bronchiolar inflammation has been observed in fatal cases

How well did you know this?
1
Not at all
2
3
4
5
Perfectly
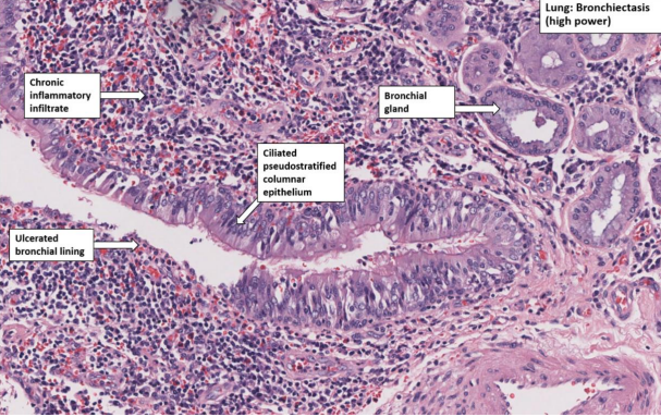
10
Q

Bronchiectasis

A

Irreversible dilation of bronchi caused by destruction of bronchial wall muscle and elastic components
Clinical symptoms:
- a productive cough, often mucopurulent sputum and haemoptysis is common as bronchial inflammation erodes through the walls of adjacent bronchial arteries
- pneumonia is a common complication, hypoxia and pulmonary hypertension
- acute reversible dilation of bronchi may occur as a consequence of bacterial or viral infection

How well did you know this?
1
Not at all
2
3
4
5
Perfectly
11
Q

Obstructive vs Non-Obstructive Bronchiectasis

A

Obstructive
- localised to a segment of the lung distal to a mechanical obstruction of the central bronchus by a variety of lesions, including, tumours, inhaled foreign bodies and mucus plugs (asthma)
Non Obstructive
- usually a complication of respiratory infections or defects in the defensin mechanism that usually protects the airways from infections

How well did you know this?
1
Not at all
2
3
4
5
Perfectly
12
Q

Bronchiectasis - Pathology

A

Usually occurs bilaterally
More common in the lower lobes
Left > right
Localised bronchiectasis may occur when there is obstruction or infection
Bronchi can be dilated with white or yellow thickened walls and lumina frequently contain thick mucopurulent sections

How well did you know this?
1
Not at all
2
3
4
5
Perfectly
13
Q

Bronchiectasis - Microscopic

A

Severe inflammation of bronchi and bronchioles
Destruction of all components of the bronchial wall
Collapse of distal lung parenchyma
Mucus production
Evidence of squamous metaplasia with increased goblet cells
Lymphoid follicles often seen in bronchial walls and distal bronchi
Bronchioles are scarred and often obliterated

How well did you know this?
1
Not at all
2
3
4
5
Perfectly
14
Q

Chronic Obstructive Pulmonary Disease (COPD)

A

Type of destructive lung disease characterised by long-term poor airflow
Main symptoms include: SOB, cough with sputum production
COPD is a progressive disease
COPD is an obstructive lung disease in which chronic poor airflow and inability to breathe out on expiration, traps air in the lungs
- the poor air flow is the result of breakdown of lung tissue (emphysema) where small airways results in obstructive bronchiolitis
- severe destruction of small airways lead to the formation of large air pockets referred to as bullae that replace lung tissue - called bullous emphysema

How well did you know this?
1
Not at all
2
3
4
5
Perfectly
15
Q

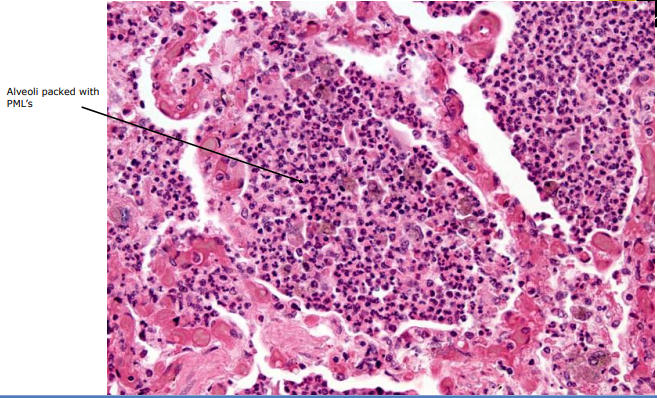
Bacterial Infections of the Respiratory System

A

Bacterial pneumonia - demonstrates inflammation and consolidation of the lung parenchyma
- results in lobar pneumonia (consolidation of the entire lung)
- bronchopneumonia - scattered or solid foci in the same or several lobes
Streptococcus pneumoniae - a classic cause of lobar pneumonia
Bronchiolitis - demonstrates exudation of PML’s into the adjacent alveoli

How well did you know this?
1
Not at all
2
3
4
5
Perfectly
16
Q

Bacterial Infections of the Respiratory Tract - Pathogenesis of Pneumonia

A

Most are caused by bacteria commonly found in the oropharynx and nasopharynx, that eventually affect the alveoli
Other routes of infection include, inhalation from environmental pathogens, haematological dissemination from an area of an infectious focus
Pneumococcal pneumonia usually follows bacterial/viral infections such as influenza

17
Q

Pneumococcal Pneumonia

A

Produces a protein rich oedematous fluid that contains numerous organisms, eventually filling the alveoli
Stage 1: Marked capillary congestion can occur with PML’s and intra-alveolar haemorrhage
Stage 2: Lysis of PML’s and phagocytic fragments ingested in macrophages
Once the alveolar exudate is removed the lung eventually returns to normal

18
Q

Complications that Follow Pneumococcal Pneumonia

A

Pleuritis: when infection extends to the pleura
Pleural effusion: result of oedematous fluid
Pyothorax: infection of pleural cavity
Empyema: loculation of pus within fibrous walls of lung
Bacteremia: affects 25% of patients in early stage of disease may cause myocarditis or meningitis

19
Q

Granulomatous Disease

A

Several granulomatous diseases primarily involve the lung
Main force for inducing granuloma formation are macrophages and Ag presenting cells
Results in the release of several cytokines and interleukins including macrophages migration inhibitory factor 1 (M1F1), IFNγ and TNFα
Macrophages and lymphocytes are activated and immobilised, followed by the cytokine-induced transformation of macrophages into epithelioid and foreign body giant cells
- giant cells can be formed by fusion of macrophages during nuclear division without cell division
- foreign body giant cells differentiate into Langerhans giant cells

20
Q

Granuloma Formation

A

Formation of granulomas require a combination of at least two different sets of stimulants:
- firstly, stimulants for granuloma formation
- secondly, stimulants for epithelioid and Langhans cell differentiation
Formation is a process where organisms protect themselves against invading micro-organisms or toxic substances
- the organism to substance is isolated by granulation tissue or is otherwise phagocytosed and degraded by macrophages
- if pathogen is not destroyed by histiocytes or macrophages, a foreign body giant cell reaction is formed
- if these are unsuccessful, then epithelioid giant cells granulomas are formed resulting in granulomatous formation

21
Q

Necrotising Granuloma

A

Most important finding is necrosis
Involves PML’s in early necrosis with caseous necrosis, evidence of apoptosis
Most are associated with infection and if organism is demonstrated these are usually found in the centre of the necrosis

22
Q

Non-Necrotising Granuloma

A

Usually as a result of non-infectious processes including;
1. Sarcoidosis
- dyspnoea is the most common pulmonary symptom
- CD4+ lymphocytosis in BAL
- bilaterial hilar LNds involvement with alveolar infiltrates
- ground glass appearance on imaging
- nodules > 1cm
- bulla formation and honeycombing in adv disease
2. Hypersensitivity pneumonitis
3. Berylliosis - beryllium exposure
4. Aspiration pneumonia - aspiration of food matter

23
Q

Granulomatous Disease - Tuberculosis (TB)

A

TB is a chronic disease which primarily targets the lungs, however, can infect other organs
Due to M. tuberculosis hominis and occasionally M. tuberculosis bovis
Characteristically demonstrates a spherical lesion/granuloma with a central area of necrosis
Transmitted through droplets
Need to differentiate between infection and active TB
1. Infection - growth of the organism in a person whether there is symptomatic disease or not
2. Active TB - subset of TB manifested by destructive and symptomatic disease

24
Q

Stages of TB - Primary

A

Occurs on initial exposure to organism and can be indolent or aggressive
Develops in <10% of individuals
More frequently in children and immunocompromised individuals
Single granuloma within parenchyma and hilar LNds (Ghon complex)

25
Stages of TB - Secondary
Results from reactivation of dormant endogenous bacilli – miliary TB Miliary TB: results in dissemination of tubercle bacilli to produce numerous, minute yellow/white lesions in distant organs
26
Opportunistic Infections in Lung - Viral Infections
CMV: causes lung infection in patients with impaired T cell mediated immunity Respiratory viruses - such as syncytial virus, parainfluenza, adenovirus, COVID
27
Opportunistic Infections in the Lung - Bacterial Infections
Streptococcus pneumoniae, Staphylococcus aureus, Pseudomonas aeruginosa, which all tx with Ab’s Nocardiosis: uncommon gram +ve bacteria with a high mortality up to 64% (found in soil, decaying vegetable matter and stagnant water)
28
Opportunistic Infections in the Lung - Fungal Infections
PJP: most common in AIDS illness when CD4 counts < 200cells/mm3 Invasive aspergillosis: inhaled by all humans but only establishes infection when there are a majority of defects in phagocytic function Candidiasis: rare, seen in immunocompromised patients Cryptococcosis: rare, seen in immunocompromised patients
29
Occupational Diseases in Lung
Pneumoconiosis is a non-neoplastic reaction of the lungs as a result to inhaled mineral or organic duct particles exclusive of asthma, bronchitis and emphysema Inhalation causes a tissue reaction, which can result in any kind of pneumonia, granulomatosis or similar lung disease Anthracosis - refers to the presence of carbon particles in the lung and is not a pathologic condition Silicosis - from the deposition in the lung of particles of silica (quartz, silicon dioxide) - lesions appear as cellular nodules composed of fibroblasts and histiocytes with abundant silica particles - edges of the nodules have a stellate appearance
30
Asbestosis
Exposure to asbestos fibres results in early stages of interstitial pneumonia. Hyperplastic alveolar cells with intracytoplasmic Mallory hyaline tissue can be identified Later stages replacement with interstitial fibrosis and honeycomb affect in the lung Occasionally visualise the asbestos body as a long thin dumb bell shaped structure covered by an iron depos