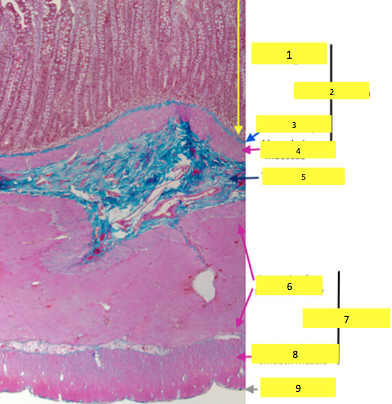
1-9

(1) epithelium and mucosal glands
(2) tunica mucosa
(3) lamina propria
(4) muscularis mucosae
(5) tunica submucosae
(6) inner circular smooth muscle
(7) tunica muscularis
(8) outer longitudinal smooth muscle
(9) tunia serosa/adventitia
what region is this?

esophageal cardiac junction
