inside green line

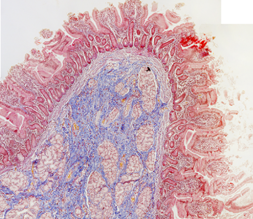
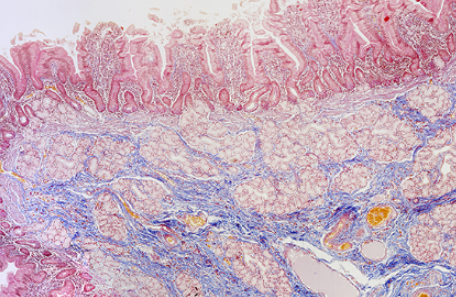
villi (duodenum)

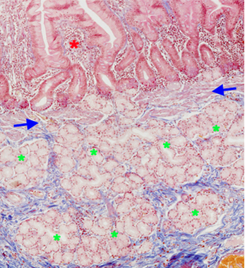
red asterik
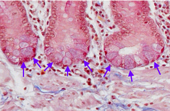
blue arrows
green asteriks

villus
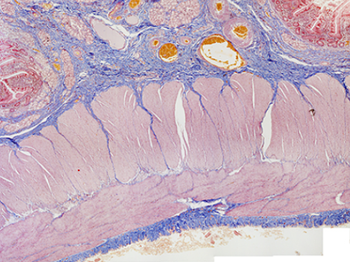
muscularis mucosae
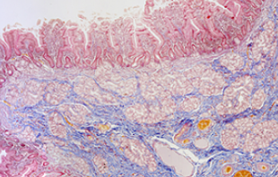
submucosal tubuloacinar (Brunner’s) glands

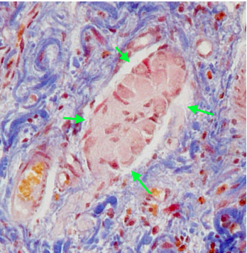
green arrows

ganglion of the submucosal plexus (of Meissner)

blue asteriks
green asteriks
red arrows

inner circular muscle
outer longitudinal muscle
ganglion of the myenteric plexus (of Auerbach)

violet arrows

paneth cells
