Abdomen 35 Flashcards

(14 cards)

1
Q

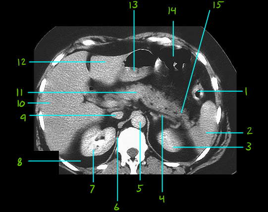
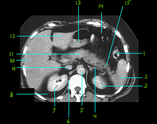
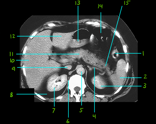
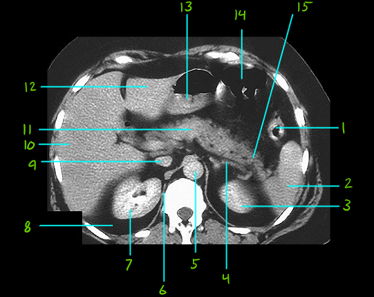
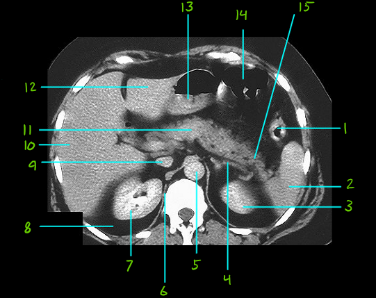
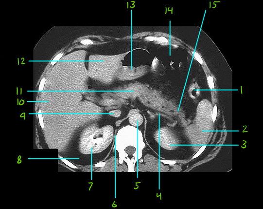
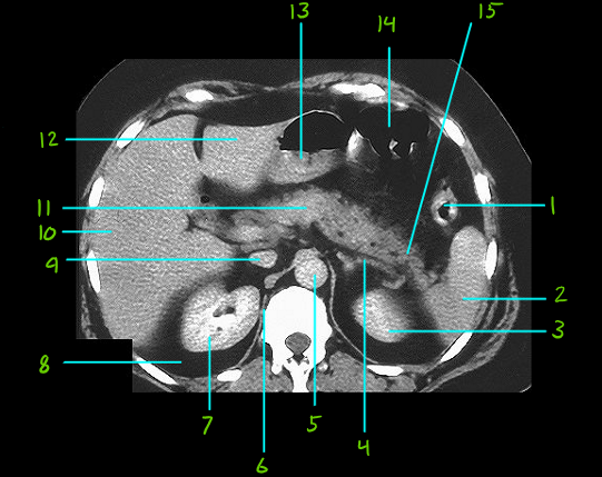
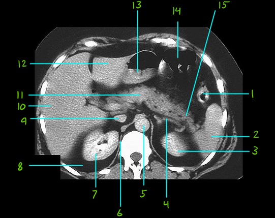
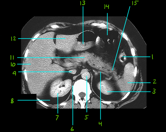
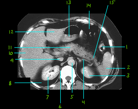
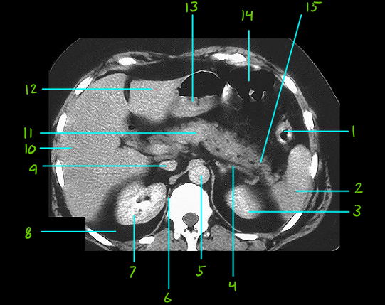
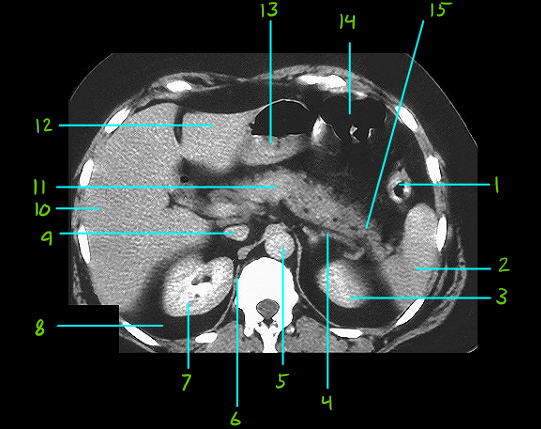
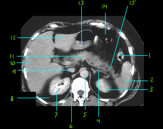
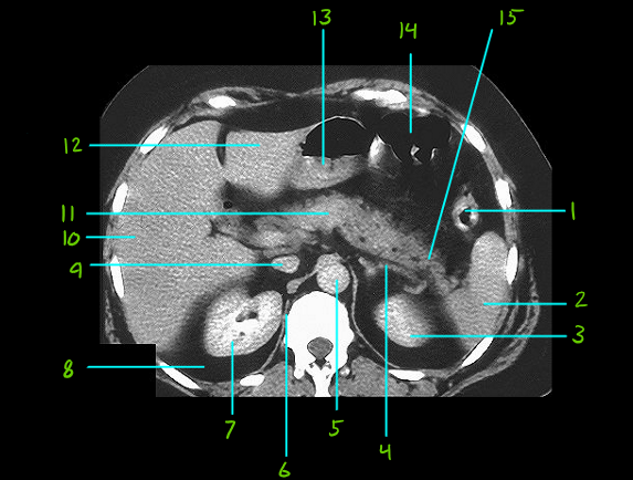
What is #1

A

Descending colon

How well did you know this?
1
Not at all
2
3
4
5
Perfectly
2
Q

What is #2

A

Spleen

How well did you know this?
1
Not at all
2
3
4
5
Perfectly
3
Q

What is #3

A

Left kidney

How well did you know this?
1
Not at all
2
3
4
5
Perfectly
4
Q

What is #4

A

Left adrenal gland

How well did you know this?
1
Not at all
2
3
4
5
Perfectly
5
Q

What is #5

A

Aorta

How well did you know this?
1
Not at all
2
3
4
5
Perfectly
6
Q

What is #6

A

Diaphragm

How well did you know this?
1
Not at all
2
3
4
5
Perfectly
7
Q

What is #7

A

Right kidney

How well did you know this?
1
Not at all
2
3
4
5
Perfectly
8
Q

What is #8

A

Parirenal fat

How well did you know this?
1
Not at all
2
3
4
5
Perfectly
9
Q

What is #9

A

Inf. Vena cava

How well did you know this?
1
Not at all
2
3
4
5
Perfectly
10
Q

What is #10

A

Right lobe of liver

How well did you know this?
1
Not at all
2
3
4
5
Perfectly
11
Q

What is #11

A

Pancreas body

How well did you know this?
1
Not at all
2
3
4
5
Perfectly
12
Q

What is #12

A

Left lobe of liver

How well did you know this?
1
Not at all
2
3
4
5
Perfectly
13
Q

What is #13

A

Pyloric antrum

How well did you know this?
1
Not at all
2
3
4
5
Perfectly
14
Q

What is #14

A

Transverse colon

How well did you know this?
1
Not at all
2
3
4
5
Perfectly