Block 31 Week 1 Flashcards

(318 cards)

1
Q

investigations for chest pain?

A
  • ECG
  • troponin
  • lab tests
How well did you know this?
1
Not at all
2
3
4
5
Perfectly
2
Q

History for chest pain that suggests cardiac pain?

A
  • central crushing/ heavy pain
  • sudden onset
  • clammy
How well did you know this?
1
Not at all
2
3
4
5
Perfectly
3
Q

MI RF?

A
  • FHx
  • hypertension
  • diabetes
  • smoking
How well did you know this?
1
Not at all
2
3
4
5
Perfectly
4
Q

what can cause inc troponin?

A
  • loss of BS
  • PE can put strain on R side of heart -> damage
  • inflammation: pericarditis e.g.
How well did you know this?
1
Not at all
2
3
4
5
Perfectly
5
Q

PE?

A
  • PE: pain more often pleuritic
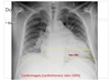
  • likely to be SOB
How well did you know this?
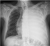
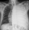
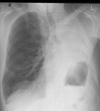
1
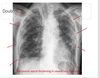
Not at all
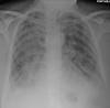
2
3
4
5
Perfectly
6
Q

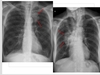
Myocarditis?

A
  • Myocarditis pain is often positional
  • can be pleuritic
  • likely to be ECG changes
How well did you know this?
1
Not at all
2
3
4
5
Perfectly
7
Q

heart muscle damage: haemodynamic strain?

A

aortic dissections. sepeis, blood loss, burns, extreme exertion

How well did you know this?
1
Not at all
2
3
4
5
Perfectly
8
Q

heart muscle damage: very fast heart rate?

A

fast AF, VT, VF, SVT (palpitations in history)

How well did you know this?
1
Not at all
2
3
4
5
Perfectly
9
Q

HM damage: strain within heart?

A

aortic stenosis, obstruction in hypertrophic cardiomyopathy

How well did you know this?
1
Not at all
2
3
4
5
Perfectly
10
Q

what is associated w chest pain?

A

aortic stenosis

How well did you know this?
1
Not at all
2
3
4
5
Perfectly
11
Q

Takotsubo’s cardiomyopathy?

A
  • Takotsubo’s cardiomyopathy: stressful situation which leads to a ballooning of the apex of the heart -> sig troponin rise and chest pain
How well did you know this?
1
Not at all
2
3
4
5
Perfectly
12
Q

HM damage: trauma to heart?

A

e.g. car collision, valve or bypass surgery

How well did you know this?
1
Not at all
2
3
4
5
Perfectly
13
Q

type 2 MI?

A
  • MI secondary to another process e.g. sig sepsis - type 2 MI
How well did you know this?
1
Not at all
2
3
4
5
Perfectly
14
Q

Sepsis?

A

pyrexial, high white cell count etc

How well did you know this?
1
Not at all
2
3
4
5
Perfectly
15
Q

severe aortic stenosis?

A

ejection murmur

How well did you know this?
1
Not at all
2
3
4
5
Perfectly
16
Q

mechanisms of blood loss in the heart?

A
  • thrombus formation on underlying diseased coronary arteries - atheromatous plaque
  • coronary artery spasm - transient or peristent vasospasms
  • spontaneous coronary artery dissection
How well did you know this?
1
Not at all
2
3
4
5
Perfectly
17
Q

coronary angio vs echocardiogram?

A
  • coronary angiogram - visualisation of coronary arteries (confirms diagnosis)
  • echocardiogram - asesss function of heart muscle
How well did you know this?
1
Not at all
2
3
4
5
Perfectly
18
Q

NSTEMI vs STEMI?

A
  • NSTEMI: incomplete occlusion
  • STEMI: restore blood flow within 12 hours
How well did you know this?
1
Not at all
2
3
4
5
Perfectly
19
Q

cardiac ischaemic pain?

A
  • central
  • crushing
  • heavy
  • tight band
  • related to exertion
  • relieved by GTN within minutes
How well did you know this?
1
Not at all
2
3
4
5
Perfectly
20
Q

descriptors that make u think its not cardiac ischaemic pain

A
How well did you know this?
1
Not at all
2
3
4
5
Perfectly
21
Q

Features assoc w cardiac pain?

A
  • clammy
  • nauseaous
  • SOB
  • light headed
  • collapse
  • palpitations
How well did you know this?
1
Not at all
2
3
4
5
Perfectly
22
Q

pain history?

A
  • how long
  • constant/ intermittent
  • when was it worse
How well did you know this?
1
Not at all
2
3
4
5
Perfectly
23
Q

exacerbating factors for the pain?

A
  • breathing
  • food
  • exertion
  • position
How well did you know this?
1
Not at all
2
3
4
5
Perfectly
24
Q

cardiac differentials for chest pain?

A
  • myocarditis
  • takotsubos
  • heart failure
  • pericarditis
  • ACS
  • airtic dissection
  • severe aortic stenosis
How well did you know this?
1
Not at all
2
3
4
5
Perfectly
25
resp differentials for chest pain ?
* pleuritis * pneumothorax * PE * pulm hypertension * asthma exacerbation
26
GI differentials for chest pain?
* GORD * oeseophagitis * oeseophageal spasm * gastritis * gastric ulcer
27
MSK differentials for chest pain?
* rib fractures * costochondritis
28
other differentials for chest pain?
* panic attacks * somatisation
29
ripping tearing severe central chest pain radiating to the back ->
aortic dissection
30
sharp positional pain worse when lying flat and eased when sitting ->
pericarditis, myocarditis
31
central, heaving crushing pain worse on exertion, radiation to jaw or arms, clammy, sweaty, nausea ->
MI
32
Sharp pain, worse on inspiration, SOB, D dimer positive ->
PE
33
Central crushing pain Ix
34
angina?
* lumen diameter reduced by around 50% so coronary blood flow is unable to respond to an inc in metabolic demand
35
NSTEMI/ unstable angina
* resting flow affected when lumen diameter reduced by ~80%
36
STEMI?
* sudden complete occlusion
37
Ix for SOB + chest pain
38
angina Ix results
* ECG can have ST depression and/or T wave inversion * troponin negative
39
NSTEMI Ix results?
* ECG can be normal or have ST depression and or T wave inversion * troponin positive
40
STEMI results?
* troponin positive
41
GI bleed and type 2 MI?
* massive GI bleed can precipitate MI from hypovolemia and myocardial hypoerfusion
42
Causes of MI
43
angina pain?
* chest pain on exertion * less severe partial occlusion w plaque
44
unstable angina characteristic pain?
* chest pain on progressively less exertion and now episodes at rest * partial occlusion * increasing plaque and thrombus
45
NSTEMI pain?
* sudden onset chest pain at rest * partial occlusion
46
STEMI pain?
* sudden onset chest pain at rest * total occlusion * plaque rupture and thrombus
47
types of MI?
Angina and NSTEMI can have ST depression/ T wave inversion
48
differentials for angina/ MI?
* coronary artery spasm * SCAD * Takosubo's
49
X rays?
* different tissues attenuate the beam to varying degrees depending on atomic constituents * The image starts all white.  If x-rays reach the detector that part of the image turns black.
50
Why are bones white on X ray?
* bones have a high atomic denstity so white as lots of X rays are abs so only a few pass through
51
heart on an XR?
52
Lungs on an XR
53
Consolidation?
* radiological sign * alveoli and small airways fill up with material * Larger airways remain air-filled giving rise to an ‘air bronchogram’ sign
54
What can give rise to consolidation on a CXR (3)
* Pus (e.g. in pneumonia) * Fluid (e.g. in pulmonary oedema) * Blood (e.g. in traumatic contusions)
55
e.g. of consolidation
56
air bronchogram?
* black areas within the area of inc density * these are larger airways that remain air filled so you can see them clearly - key part of consolidation
57
lung collapse?
* can be partial - collapse of one lobe of the lung * or total which is collapse of an entire lung
58
lung collapse - compression?
(e.g. due to fluid or air in the pleural space around the lung in an effusion or pneumothorax respectively)
59
Lung collapse - obstruction?
* or obstruction of a bronchus e.g. by tumour or an inhaled foreign body (where the lung distal to the obstruction will collpased)
60
Lung collapse in a child?
* lung collapse in a child is often due to inhalation of a foreign body or mucus obst in asthma
61
lung collapse in an adult?
* Lung collapse in an older person raises concern for an underlying tumour (e.g. primary lung cancer) and further investigation is often required (e.g. with CT and/or bronchoscopy).
62
main features of collapse?
* area of homogenous increased density without air bronchograms (vs consolidation). * There are no air bronchograms as all the airways are collapsed distal to the obstruction and do not contain air.
63
sail sign?
- left lower lobe collapse - creates triangle of increased density behidnt he heart - makes it look like there are 2 heart borders
64
CT of left lower lobe collapse?
65
pleural effusion?
* accumulation of fluid in the pleural space * appears as an area of homogenous increased density (whiter than the normal lungs)
66
pleural effusion CXR?
* If the CXR is taken with the patient sat up or stood up, the fluid will settle dependently and will obscure the diaphragm.
67
bilateral vs unilateral Pleural effusion?
* It can be unilateral (typical in malignant causes) or bilateral (typical in heart failure)
68
pleural effusion x ray
69
P effusion causes
70
V large pleural effusion
* an effusion as large as this is v concerning for a malignant cause like lung cancer, mesothelioma etc
71
* complete collapse of the left lung * signs of colume loss in the left hemithorax - trachea is pulled to the left and the D is pulled up - stomach bubble seen high on left side
72
* massive left pleural effusion * this is bc there are signs of increased volume in the left hemithorax due to the fluid - trachea and heart are shifted away to right side
73
How to differentiate large effusion from collapse?
* Working out whether there is volume loss or increased volume in the hemithorax is key to differentiating between a large effusion or collapse.
74
PLC on CXR?
* primary LC appears as a solid mass on CXR usually * This will usually not contain air bronchograms (like consolidation does) * Sometimes you will not see the actual mass but will see the result of the mass such as collapse of the lung or one lobe of the lung, or a pleural effusion.
75
CXR vs CT for lung cancer
* CXR usually done as first Ix as it is readily available and involves little radiation exposure * CT is more sensitive for lung cancer than CXR - so if high clinical suspicion do a CT
76
lung cancer CXR?
77
Causes of PF
78
Severe fibrosis scan
79
cardiomegaly
* normal cardiothoracic ratio: 50%
80
HF features on CXR?
* cardiomegaly * pleural effusions (due to fluid leak into the pleural space) * septal thickening - due to fluid leak into the intersitial space * consolidation due to fluid leak into the alveoli
81
HF signs are usually?
bilateral
82
HF CXR ?
83
Summary of HF CXR?
* cardiomegaly, * small pleural effusions, * some septal thickening * and bilateral consolidation
84
CHD incidence?
* 1 in 6 male deaths and 1 in 9 female deaths * most common cause of death in under 75s in the UK
85
ACS cause?
* ACS are caused by rupture of lipid rich atheroma plaques. * -> platelet adhesion * activation and thrombin activation with resultant occlusion / partial occlusion of the coronary artery and ischaemia/infarction.
86
stable angina cause?
* stable angina is usually caused by plaques which sig reduce lumen of the artery so ischemia occurs on exertion
87
occluded artery image
88
history taking?
* the character, duration, severity and radiation of the pain. * relieving/exacerbating factors * associated symptoms (eg nausea) * and consider differential diagnoses (eg varying with respiration - pleurisy or pericarditis, upper GI symptoms such as indigestion, weight loss).
89
PMH/ RF for CAD?
* previous vascular disease * RF for coronary artery disease - smoking, diabetes, obesity, hypertension, FHx
90
Co-morbidities that can cause a contra-indication for ACS meds?
* Any potential co-morbidities that might indicate a contra-indication to the medications required for ACS treatment eg recent GI bleed when taking aspirin therapy
91
cardiac examination
* haemodynamic status - pulse, BP, resp rate, O2 sats * signs of cardiac failure: * crackles in the lung bases * elevated JVP * gallop rhythm * peripheral oedema * underlying cardiac disease e.g. murmur of aortic stenosis
92
Ix of CAD?
* make the diagnosis (ECG and cardiac enzymes) * exclude exacerbating factors (eg anaemia) * identify complications (eg pulmonary oedema on CXR) * evaluate left ventricular function (echocardiography) * in some cases exclude other diagnoses (eg amylase-acute pancreatitis) 
93
meds for CAD?
Antiplatelets and statins
94
Mx of CAD?
* meds - antiplatelets, statins * pain relief e.g. opiates + anti-emetics * nitrates - sublingal GTN or IV infusion * consider oxygen
95
STEMI Mx?
* PCI * aspirin 300mg stat * proximitiy to defibrillator requiredc
96
complications of AMI?
eg: arrhythmia, cardiac arrest, LV failure, recurrent ischaemia
97
All AMI ppts should undergo assessment of?
LV function prior to discharge - echo
98
PPCI?
* aims to restore blood flow by using a soft wire to cross the occluded coronary segment and perform intervention to open the narrowing * thrombus may be extracted and procedure relies on pharm - anti-thrombotic and anti-platelets to treat the thrombus
99
What happens after PPCI?
* stent inserted to maintain vessel lumen then dual anti-platelet therapy required
100
nstemi - early Tx w?
* early treatment with aspirin, statin, and low molecular weight heparin to reduce the risk of AMI/death * second anti-platelet agent should also be given (eg clopidogrel, ticagrelor or prasugrel)
101
NSTEMI - consider IV?
* Consider IV glycoprotein IIb/IIIa inhibitor for high risk/ unstable ppts
102
NSTEMI - anti-ischaemics?
BBs, nitrates (CCBS, nicorandil, ivabradine, ranolazine)
103
ACS Tx pathway
104
Ix for MI?
* Identify risk factors for atheroma * eg glucose and cholesterol * Identify factors that exacerbate angina * eg haemoglobin (anaemia), thyroid function (hypothyroid / thyrotoxicosis)
105
CAD likelihood
106
Identify cardiac abnormalities
* ECG (often normal in patients with angina) * Echocardiogram if needed (eg suspicion of LV dysfunction, cardiac murmur)
107
rapid access chest pain clinic?
* those with recent onset angina should be seen within 2 weeks of referral in a rapid access chest pain clinic
108
Tx of angina - anti-ischaemics?
e.g beta-blockers, calcium channel blockers, nicorandil, ivabradine, ranolazine, long-acting nitrates
109
110
angina - Additional treatment to reduce the risk of MI/death?
- aspirin, statins - management of diabetes and hypertension, smoking cessation, encourage exercise (assuming symptoms are stable)
111
angina - symptoms despite medical therapy
* those w ongoing symptoms despite medical therapy should be considered for revascularization - either PCT or CABG
112
EA of heart?
* EA starts at SA node * spreads through atrium to AV node where it is delayed * travels down BoH * down right and left bundle branches
113
P wave?
electrical signal from SA node spread through atria and cause them to depolarise
114
PR segment =
time signal travels through AV node
115
Q wave =
depolarisation of intraventricular septum
116
R wave =
depolarisation of bulk of ventricle
117
S wave =
last phase of ventricular depolarisation
118
ST segment?
plateau in myocardial action potential (when ventricles contract and pump blood)
119
T wave?
ventricular repolarisation
120
Segments and waves on an ECG
121
Q R and S waves
122
Basic ECG
123
Segment on an ECG?
Lines that connect waveforms
124
Which segment is used as the baseline on an ECG?
* TP segment is the least affected by pathology so can be used as the baseline within the ECG
125
QRS interval?
* QRS = duration of QRS complex alone, should be less than 120ms long
126
P-R interval?
* PR interval = 120-200ms * P wave and PR segment
127
128
QT interval?
* QRS + ST segment + T waveform * dependent on heart rate * < 1/2 RR
129
RR interval =
* everything within 1 cardiac cycle
130
ECG limb leads?
Right arm: red Left arm: yellow arm Left leg: green Right leg: black
131
aVR, aVL and AVF leads
132
cardiac axis
133
aVR, avL and avF?
* avR: right shoulder * avL: left shoulder * avF: floor
134
lead 1?
* positive P wave as a positive deflection reflects electrical activity going towards the positive pole * R and T wave also positive
135
lead 2 ?
* aligned w electrical activity of atrial and ventricular depolarisation * so strongly positive P wave and R wave in a normal lead 2 - tall waves
136
lead aVF?
* Positive P wave and R wave
137
Which leads do you see positve P and R waves in?
* positive P waves and R waves in leads 1, 2, aVF
138
139
aVR?
140
aVL?
141
v1-v6
142
I, II, III and A leads
143
aVR waves?
* Reads opposite direction to electrical activity of the heart * so the waves are upside down!!
143
aVL?
* Reads at right angles to EA
144
Rate on an ECG?
* 1 small box = 40ms * 1 big box (5 small boxes) = 200ms * 5 big boxes = 1 second
145
146
147
How to calculate rate on an ECG?
* rhythm strip (at the bottom) is often lead 2 * use this for rate * 300 big big boxes in 1 minute * 300/ number of big boxes between the 2 QRS complexes e.g. 300/4 = 75 for a regular rhythm
148
caculating rate on an irreg rhythm?
* for an irreg rhythm take number of complexes in the 10s x 6 to get the rate
149
QRS axis?
represents the average direction of electrical activity in the heart during ventricular depolarisation (projected onto frontal plane)
150
boxes on an ECG
151
Normal cardiac axis
152
153
LAD
154
LAD leads
- positive lead 1, negative lead 2 - negative AVF
155
RAD
156
positive, negative and isoelectric leads
157
Leads in RAD?
- Negative lead 1 - positive in lead aVF
158
normal axis =
positive in both lead 1 and lead aVF
159
LAD vs RAD
- LAD: positive in lead 1 and RAD is negative in lead 1 - LAD is negative in AVF and RAD is positive in aVF
160
LAD summary
* positive in lead 1 * negative in lead 2 * negatIve in aVF
161
RAD summary
* negative in lead 1 * positive in aVF
162
normal vs right vs left axis
163
causes of LAD
164
Causes of right axis
165
Non pathological factors affecting QRS?
* Short and obese: QRS close to 0 * young age: right axis at birth * tall and thin: QRS close to +90
166
NSTEMIs?
* INCOMPLETE OCCLUSION * but enough to cause some myocardial ischaemia * Angiogram, but does not need to be within 12hours * troponin +ve
167
STEMI?
* complete occlusion * angiogram ASAP within 12 hrs (PPCI) * trop +ve
168
type 2 MI?
* treat sepsis: blood loss or other prec factors * troponin +ve
169
NSTEMI ECG changes?
* may have ST depression and/or T wave inversions
170
STEMI vs NSTEMI ECG
171
Arteries of the heart
172
What do you see in a STEMI?
* ST elevation in 2 or more leads * may have ST depression and or T wave inversions
173
ECG changes that occur in minutes?
* T wave inversion and hyperacute T waves
174
ECG changes that occur in minutes/ hours
* ST depressions and elevations
175
ECG changes that occur in hours - days?
* pathological Q wave
176
Right dominant circulation
177
left dominant circ?
178
LAD supplies the?
- Supplies anterior wall of left ventricle - Supplies intraventricular septum - Supplies apex
178
what does the circumflex artery supply?
* Supplies the left atrium * Supplies lateral wall of left ventricle
178
What are the lateral leads?
* lateral wall * circumflex artery * 1 * aVL * V5 and V6
178
what does the RCA supply?
* Supplies right ventricle * Supplies the right atrium * Usually supplies posterior descending artery and therefore the posterior and inferior walls of left ventricle
179
179
179
180
What are the inferior leads?
* 2 * 3 * aVF * posterior descending artery, inferior wall
181
What are the anterior leads?
* anterior wall * left anterior descending (LAD) * V3 and V4
182
septal leads?
* intraventricular septum * LAD * V1 and V2
183
Large anterior MI?
(LAD) can give ST in V2 - V5 or more
184
Laterl wall MI?
* High lateral wall (I; aVL) can be supplied by either LAD or Cx * V1 & V2 can show posterior changes
185
j point =
the junction between QRS complex and the ST segment
186
diffuse J point
187
Clear J point
188
concave and convex ST elevation
189
STEMI criteria?
* ST elevation >1mm in contigous limb leads * ST elevation >2mm in contigous chest leads * new LBBB
190
chostochondritis?
* inflammation of rib cartilage in chest wall * one of the most common chest pains in adults * self limiting and benign
191
chostochondritis pain?
* sharp aching or pressure like pain in the chest wall * worsens w deep breath, cough, activity involving upper body * and lying on affected side
192
where is chostocondritis pain typically felt?
* noted in more than 1 location and typically felt between 2nd and 5th ribs
193
common causes of chest pain
194
Pulm hypertension pain?
- pressure pain - substernal - dysponea, sign of inc venous pressure including oedema and venous distention
195
pneumonia or pleuritis pain?
- pleuritic pain - unilateral often localised - dyspnea, cough, fever, occassional rub
196
197
spontanoue pneumothorax pain?
- sudden onset: several hours - pleuritic pain - lateral to side of pneumothorax pain - dyspnea, dec breath sounds on side of pneumothorax
198
oesophageal reflux ?
- 10-60 mins onset - burning pain, substernal/ epigastric - worsened by post prandial recumbency - relieved by antacids
199
oesophageal spasm pain?
- 2-30 min onset - pressure, tightness burning - retrostrenal pain - can closely mimic angina
200
GB disease pain?
- prolonged onset - burning/ pressure pain - epigastric/ RUQ pain, substernal - may follow meal
201
serious causes of pleurtic chest pain?
- aortic dissection - malignant pleural effusion - MI - pericarditis - pneumonia - pneumothorax - PE - TB
202
Aortic dissection pain?
- tearing sensation - pain radiates to back/ abd - most severe at onset
203
physical exam of AD?
- BP/ radial pulse discrepency - aortic murmum - possible cardiac tamponade
204
test for AD?
D-dimer often elevated
205
malignant P effusion red flags?
- history of malignancy - night sweats - older age - tobacco use - weight loss
206
physical exam findings in MPE?
- Locally decreased breath sounds
207
CXR for MPE?
unilateral or bilateral effusions
208
MI red flags?
- angina - headache - arm/ neck pain - nausea/ vomiting
209
MI examination findings?
- diaphoresis - hypotension - third heart sound - CXR often normal
210
pericarditiis red flags?
- recurrent or recent viral infection
211
pericarditis exam findings?
- diffuse conccave upward ST segments - PR segment depression w/o T wave inversion - positional chest pain
212
Ix results for pericarditis?
- possible cardiomegaly - ECG w diffuse ST elevation
213
PE red flags?
- acute onset dysponea - history of venous thrombosis - history of malignancy - unilateral leg swelling
214
exam findings for PE?
- Hypotension - hypoxia - sinus tachy - resp distress
215
TB red flags?
- exposure - haemoptysis - fever - night sweats - weight loss
216
imaging results TB?
- Often consolidation - lymphadenopathy - and/or unilateral pleural effusion - cavitation common
217
serious causes of chest pain
218
pleurodynia?
* refers to sudden and severe chest or upper abdominal pain, typically caused by an enteroviral infection (e.g., coxsackie A, coxsackie B, and echovirus). * Pleurodynia is most commonly caused by group B coxsackie virus and typically occurs as an epidemic
219
features of pleurodynia?
* severe intermittent pleuritic chest pain or upper abdo pain from inflammation of ICMs * most common in younger adults and children * after exposure to enterovirus, typically unilateral
220
pleurodynia pain?
* knife like spasms lasting 15-30 mins * sometimes profuse sweating
221
pleurodynia assoc features
* fever, malaise, headaches, cough, sore throat, muscle aches and pains
222
GOR
223
GORD RF?
224
oesophageal cancer symptoms?
* Constitutional symptoms: fevers, anorexia, lethargy, weight loss * Dysphagia * weight loss * bleeding - haematemesis and melaena * pain: typically retrosternal
225
Other Sx of OC?
* aspiration - cough, SOB, fever * hoarseness - recurrent laryngeal nerve
226
Signs of OC?
* Lymphadenopathy: if local tumour spread * Cachexia * Pallor: due to anaemia * Hepatomegaly: if metastatic spread
227
Classical features of GORD?
* classically occurs after meals and is made worse by lying down or bending forwards
228
signs and symptoms of GORD?
* Regurgitation * Dyspepsia * Chest pain * Dysphagia (difficulty swallowing) * Odynophagia (painful swallowing)
229
other features of GORD?
* Cough * Hoarse voice * Nausea and/or vomiting
230
acute pericarditis ?
* acute-onset chest pain and characteristic ECG features (e.g. saddle ST elevation). Multiple aetiologies. * Self-limiting without significant complications in 70-90% of cases.
231
Chronic pericarditis?
* long standing inflammation > 3 months usually following acute episode * Complications include chronic pericardial effusion and constrictive pericarditis due to scarring.
232
idiopathic pericarditis?
* sig prop of cases
233
viral pericarditis?
* short lived lasting 1-3 weeks * Often due to coxsackievirus B. * Variety of other viruses implicated (e.g. influenza, echovirus, adenoviruses, enterovirus, etc)
234
bacterial pericarditis?
* May occur due to haematogenous spread, extension from pulmonary infection or as complication of endocarditis or trauma. 
235
TB?
* high prevalence areas or high risk patients e.g. immunodeficiency * More insidious onset. * High-risk of chronic pericarditis and constrictive complications. 
236
Pericarditis - systemic disease?
* underlying systemic inflammatory disease (e.g. rheumatoid arthritis). Features of systemic disease on clinical assessment. * May complicate chronic kidney disease (e.g. uraemic pericarditis), hypothyroidism or post-myocardial infarction
237
other causes of pericarditis?
drugs, radiotherapy and trauma
238
ACS?
* medical emergency * atherosclerosis is the most sig aetiological factor
239
STEMI definition?
ST-segment elevation or new-onset left bundle branch block and raised troponins.
240
NSTEMI definition?
Non-specific signs of ischaemia or normal ECG, raised troponins.
241
UA definition?
Characteristic clinical features, non-specific signs of ischaemia or normal ECG, normal troponins.
242
acs is typically triggered by?
rupture of an atheromatous plaque in the coronary arterial wall - atherosclerosis
243
CAD =
rupture of an atheromatous plaque in the coronary arterial wall - atherosclerosis
244
Modifiable RF for atherosclerosis?
* ​High cholesterol * Hypertension * Smoking * Diabetes * Obesity
245
Non modifiable RF for atheroscleroosis ?
- Age * Family history * Male sex * Premature menopause
246
other causes of ACS/ infarction ?
* emboli and dissection -> vessel occlusion * anaemia - oxygen supply/ demand mismatch - not total occlusion, just a lack of perfusion which leads to necrosis and troponin rise
247
causes of coronary occlusion ?
* Vasculitis (e.g. Kawasaki disease) * Coronary vasospasm (e.g. spontaneous, cocaine) * Coronary dissection
248
causes of changes in oxygen demand/ delivery -> ACS
* Anaemia * ​Hyperthyroidism * Severe sepsis
249
Pathophys of atherosclerosis?
* endothelial dysfunction - LDL accumulation -> ROS * plaque formation * plaque rupture
250
1: endothelial dysfunction?
* This causes a local inflammatory response. If the injury recurs or healing is incomplete, inflammation may continue leading to the accumulation of  LDL. * These become oxidised by local waste products creating reactive oxygen species (ROS).
251
2: plaque formation?
* endothelial cells attract monocytes which phagocytose the LDLs -> foam cells and fatty streaks
252
3: plaque rupture?
* continued inflammation triggers SM cell migration * This forms a fibrous cap, which together with the fatty streaks, develops into an atheroma.
253
how does plaque rupture cause vessel narrowing?
* The top of the atheroma forms a hard plaque. * This may rupture through its endothelial lining exposing a collagen-rich cap. * Platelets aggregate on this exposed collagen forming a thrombus that may occlude or severely narrow the vessel. * Alternatively, the thrombus may break lose, embolising to infarct a distant vessel.
254
ECG and tropnin changes to distinguish the 3 causes of ACS
255
CFs of ACS?
* Chest pain > 15 minutes: central crushing or pressing pain +/- radiation to neck or arm * Shortness of breath * Sweating * Nausea and vomiting * Palpitations
256
Signs of ACS?
* Pale * Clammy * Tachycardia * Cardiac failure (e.g. pulmonary oedema, hypotension)
257
ST elevation on an ECG?
- may occur due to AMI or pericarditiis - can also be caused by coronary vasospasm, benign early repolarisation, BBB and ventricular aneurysm
258
ST elevation vs depression
259
Ix of ACS?
* ABCDE + history and examination * ECG: ST elevation or LBBB * if absent look for other features of ischaemia e.g. ST depression, T wave inversion * cardiac enzymes: troponin
260
3 ECG features of ischemia?
- ST elevation - ST depression - T wave inversion
261
ST elevation?
seen in STEMI, may be evidence of reciprocal ST depression
262
ST depression?
more specific sign of ischaemia than T wave changes. Seen in NSTEMI/UA. Also seen as reciprocal change with ST elevation
263
T wave inversion =
less specific sign of ischaemia. Multiple causes. Seen in NSTEMI/UA and as part of the natural evolution of a STEMI over days.
264
ST depression?
- * May occur due to acute myocardial ischaemia or as a reciprocal change to ST elevation. - Other causes can include electrolyte disturbances, digoxin effect and bundle branch blocks.
265
coronary artery territories?
266
T wave inversion - fixed?
* feature of myocardial ischamia, even in absence of ST changes * T wave inversion may be fixed, which is usually associated with a previous ischaemic event and associates with Q waves.
267
dynamic T wave inversion?
Alternatively, T wave inversion may be dynamic, which is associated with& acute myocardial ischaemia.
268
Anteroseptal STEMI?
v1-v4
269
lateral STEMI ?
V5-V6, I, aVL
270
inferior STEMI?
II, III, aVF
271
Posterior STEMI?
no ST elevation on routine ECG. Dominant R wave V1. May be ST elevation by placing posterior leads V7-V9.
272
natural evolution of a STEMI?
* Minutes to hours: hyperacute T-waves * 0-12 hours: ST-elevation * 1-12 hours: Q-wave development * Days: T-wave inversion * Weeks: T-wave normalisation and persistent Q-waves
273
STEMI progression
hyperacute T waves -> ST elevation -> Q waves -> T wave inversion -> T wave normalisation
274
CXR in ACS?
may be signs of HF
275
Echo for ACS?
- reduced EF and or valvular pathology - * also useful to look for regional wall motion abnormalities
276
CT pulm angiography in ACS?
if PE is suspected or needs to be excluded
277
CT angiography in ACS?
if aortic dissection suspected or needs to be excluded
278
ACS Mx - MONA?
* morphine + anti-emetic * oxygen - if sats under <94% or under <88% in hypercapnic resp failure * nitrates * aspirin 300mg
279
STEMI management also includes...
* emergency reperfusion required to restore coronary flow
280
PPCI criteria?
* Patients diagnosed with a STEMI, who present within 12 hours of onset of chest pain, should be referred for emergency coronary angiography +/- primary percutaneous coronary intervention (PCI). * This should occur within 120 minutes of being diagnosed with ST elevation
281
coronary angiography and PPCI involves?
* coronary angiography involves insertion of a catheter via the femoral or radial artery * From here, the catheter can be passed to the coronary artery vessels with x-rays for guidance and contrast injected. * During the procedure a balloon catheter can be inserted to open up a blockage. A stent can be then be inserted into the blocked artery.
282
Fibrinolysis criteria?
* If PCI is unable to be performed within 120 minutes then fibrinolytic agents should be considered (e.g. alteplase) while arranging transfer to a PCI centre. Coronary angiography +/-
283
when should PCI be performed after fibrinolysis?
* PCI should be performed in the following 2-24 hours after fibrinolysis and may be required more urgently if patients develop worsening symptoms (e.g. worsening pain, haemodynamic instability, cardiac arrest).
284
which medications should the patient be put on prior to PCI?
* Patients should be initiated on aspirin and a second anti-platelet drug prior to PCI. * This is usually ticagrelor * clopidogrel can also be used if there's a high bleeding risk or prasugrel
285
Post PCI drugs?
* The combination of aspirin and a second anti-platelet agent is referred to as dual anti-platelet therapy (DAPT) and this should be continued for 12 months post-PCI.
286
antithrombotic agents in PCI?
* unfractionated or LMWH * usually given at time of PCI * or glycoprotein IIb/IIIa inhibitors (e.g. tirofiban) may be given at the time of PCI in the presence of a high thrombus burden.
287
Anti-coags in NSTEMIS?
* Additional antiplatelet agent (e.g. clopidogrel, ticargrelor) * Antithrombotic agent (e.g. fondaparinux, UFH) * GRACE risk of <1.5% treated w anti-platelet therapy
288
Low risk NSTEMI patients can be started on?
aspirin only whilst awaiting further Ix
289
NSTEMI - ppts should be subsequently initiated on DAPT and fondaparinux if:
* Significant delta change in troponin * Worsening/recurrent ischaemic pain * Deterioration (e.g. cardiogenic shock, arrhythmia, dynamic ECG changes)
290
other Ix?
- Transthoracic echocardiography - Stress echocardiography: - Cardiac MRI - CT coronary angiography
291
transthoracic echo?
assessing for evidence of ischaemia (e.g. RWMAs, LV dysfunction). Also useful to investigate alternative pathologies.
292
stress echo?
can be considered if negative troponins, normal ECG and chest pain free for several hours.
293
cardiac MRI?
can assess both perfusion and wall motion abnormalities. Able to detect recent infarction and assess for previous scars.
294
CT coronary angiography?
good at excluding coronary artery disease by visualisation of coronary anatomy.
295
Treatment summary for NSTEMIs/ UA?
* B - Beta-blockers (unless contraindicated) * A - Aspirin (300 mg loading, then 75 mg once daily) * T - Ticagrelor, alternatively clopidogrel if high bleeding risk * M - Morphine (titrate for analgesia) * A - Antithrombotic agent (Fondaparinux 2.5 mg subcutaneous unless contraindicated) * N - Nitrates (sublingual nitrates to relief pain - consider infusion if ongoing pain)
296
GRACE scoring?
* estimates 6 month mortality risk in patients w NSTEMI/ UA
297
LTM of ACS
modifiable risk factors: smoking, dietary changes, exercise, reduce alcohol consumption
298
drugs used to reduce risk after an MI?
- DAPT - BBs - high dose statin - ACEi - consider mineralcorticoud antagonist
299
DAPT after an MI?
(e.g. aspirin and clopidogrel): should be continued for one year. Vital if had PCI to prevent in stent thrombosis.
300
What can be used instead of an ACEi after an MI?
Angiotensin receptor blocker can be an alternative if side-effects or inlolerant to ACE inhibitor)
301
Mineralcorticoid antagonist after an MI?
reserved for patients with LV dysfunction (i.e. heart failure) following MI.
302
stemi managemrnt
303
NSTEMI management
304
barriers to rapid diagnosis of AMI?
* atypical presentation e.g. elderly with comorbitiies or women * -> lack of knowkedge - health literacy * can present like indigestion -> GP
305
Barriers to arrival at hospital for an MI?
* distance * access to transport * availibility of ambulances
306
Barriers to early diagnosis and Tx of an MI?
availability of proper treatment, staff shortages, waiting lists
307
methods of reducing delay?
* patient education on atypical presentations * early ECG/ troponin on arrival * early diagnsosis for STEMI for PPCI/ fibrinolysis
308
? pain is typical of gastro-oesophageal reflux disease
Nocturnal burning chest pain typical of gastro-oesophageal reflux disease
309
A 24 year old woman with exertional breathlessness, dizziness, chest discomfort and central cyanosis.
Pulmonary arterial hypertension
310
anti-HTN to avoid in gout?
Thiazides reduce the clearance of uric acid, and raise the levels of uric acid in the blood. Hence they are prescribed with caution in patients with gout or hyperuricemia. Loop diuretics also produce this problem but less so.
311
Pickwickian syndrome?
Obesity hypoventilation syndrome (also known as Pickwickian syndrome) is a condition in which severely overweight people fail to breathe enough whilst asleep, resulting in high blood carbon dioxide (CO2) levels.
312