COD 2 Flashcards

(2 cards)

1
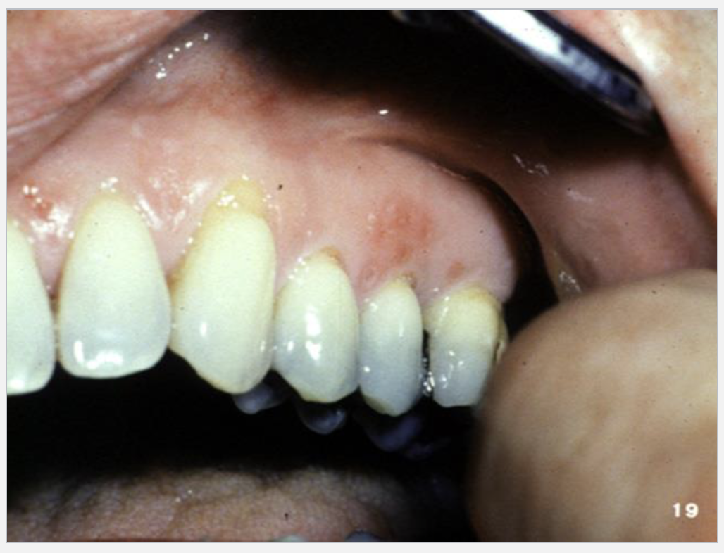
Q

What’s this?

A

SECONDARY HERPES SIMPLEX INFECTION

How well did you know this?
1
Not at all
2
3
4
5
Perfectly
2
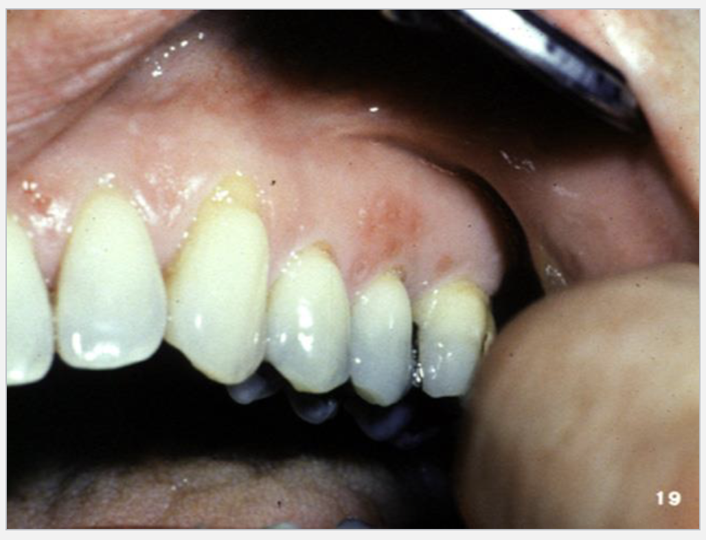
Q

What’s this?

A

RECURRENT APHTHOUS STOMATITIS

How well did you know this?
1
Not at all
2
3
4
5
Perfectly