coluna vertebral Flashcards

(19 cards)

1
Q

Incidências radiográficas de coluna cervical
* São 5:

A

AP, perfil, oblíqua, nadador e odontóide

How well did you know this?
1
Not at all
2
3
4
5
Perfectly
2
Q

Incidências radiográficas de coluna cervical
1. AP:

A
  • Raio entra da frente para trás inclinado 20o em
    relação ao corpo mas reto em relação à coluna
  • Em AP não conseguimos ver C1 e C2 pois ficam
    cobertas pela mandíbula
How well did you know this?
1
Not at all
2
3
4
5
Perfectly
3
Q

Incidências radiográficas de coluna cervical
2. Perfil:

A

Aparecem as vértebras até C7 (coluna cervical)

How well did you know this?
1
Not at all
2
3
4
5
Perfectly
4
Q

Incidências radiográficas de coluna cervical
3. Oblíquas:
* Utilizada para visualizar os forames
intervertebrais (de conjugação)

A
  1. Processo transverso
  2. Pedículo
  3. Processo articular superior
  4. Pars interarticularis
  5. Lâmina
  6. Processo articular inferior
  7. Processo espinhoso
  8. Espaço discal
How well did you know this?
1
Not at all
2
3
4
5
Perfectly
5
Q

Incidências radiográficas de coluna cervical
4. Nadador:
* Quando não é possível visualizar C7 na incidência
de perfil
Obs: hoje em dia é pouco utilizada

A

Verde: úmero
Azul: clavículas
Roxo: 1a costela
Amarelo: vértebras

How well did you know this?
1
Not at all
2
3
4
5
Perfectly
6
Q

Incidências radiográficas de coluna cervical
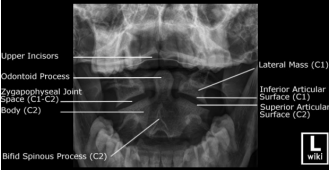
5. Odontóide (trans-oral):

A
  • Utilizada para visualizar C1 e C2 e processo
    odontóide
How well did you know this?
1
Not at all
2
3
4
5
Perfectly
7
Q
A
  1. Pedículo
  2. Processo espinhoso
  3. Processo transverso
  4. Última costela (12a)
How well did you know this?
1
Not at all
2
3
4
5
Perfectly
8
Q

hernia de disco
aonde esta a hernia?
que exame é esse?

A

Hérnia de disco C5 - C6: RM em T2

How well did you know this?
1
Not at all
2
3
4
5
Perfectly
9
Q

aonde esta a hernia?
que exame é esse?

A

Hérnia de disco L4 e L5 comprimindo a cauda
equina: RM em T2

How well did you know this?
1
Not at all
2
3
4
5
Perfectly
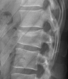
10
Q

Lesão degenerativa discal
* Também chamada de discopatia degenerativa
* É parecida com [—]

A

parecida com artrose

How well did you know this?
1
Not at all
2
3
4
5
Perfectly
11
Q

Lesão degenerativa discal
causa…

A
  • Causa:
    1. Redução do espaço discal
    2. Esclerose óssea do platô vertebral (CV fica mais
    branco)
    3. Osteófitos marginais (bico de papagaio)
    4. Fenômeno do vácuo discal: pois um dos produtos
    de degeneração do disco vertebral é nitrogênio
How well did you know this?
1
Not at all
2
3
4
5
Perfectly
12
Q

Lesão degenerativa discal
aonde estão as lesões nas imagens?

A
  1. Lesão degenerativa discal de C5-C6- C7
  2. Lesão degenerativa discal de L2-L3-L4-L5
How well did you know this?
1
Not at all
2
3
4
5
Perfectly
13
Q

Espondiloartrose
* Artrose das articulações da coluna
* Causa:
(imagem em 4k em anexo)

A
  1. Redução do espaço articular
  2. Osteófitos marginais
  3. Esclerose óssea subcondral
  4. Cistos subcondrais
How well did you know this?
1
Not at all
2
3
4
5
Perfectly
14
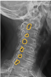
Q

Estenose dos forames intervertebrais
* O forame intervertebral tem que ter formato [—], se perde esse formato = problema
* No caso abaixo há estenose por conta dos [—]

A

redondo

osteófitos

How well did you know this?
1
Not at all
2
3
4
5
Perfectly
15
Q

Espondilolise
* Fratura da região entre os processos articulares da vértebra (pars inter-articularis)
* Melhor visibilizada na radiografia [—]

A

obliqua

How well did you know this?
1
Not at all
2
3
4
5
Perfectly
16
Q

Espondilolistese
* Deslizamento de uma vértebra sobre a outra
* Pode ser:

A
  1. Verdadeira (lítica): decorrente de uma espondilolise
  2. Falsa (degenerativa): decorrente de espondiloartrose
17
Q

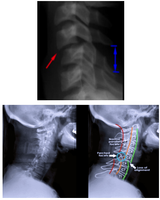
Luxação traumática

A
  • Ocorre perda do alinhamento vertebral anterior, vertebral posterior, espino-laminar, espinhal posterior e das facetas (empoleiramento facetário)
18
Q

Fratura explosiva do corpo vertebral

A
  • A compressão pelas vértebras superior e inferior
    faz com que ocorra fratura na vértebra do meio
19
Q

Fratura em acunhamento
ocorre por…

A
  • Ocorre pela osteoporose