Cours 12 Flashcards

(16 cards)

1
Q
A

Tissu sain. Les taches foncés représentent les jonctions neuro musculaires

How well did you know this?
1
Not at all
2
3
4
5
Perfectly
2
Q
A

Myasthénie grave. Il y a détériorations des jonctions neuromusculaires. Marquage par anticorps qui se lie.

How well did you know this?
1
Not at all
2
3
4
5
Perfectly
3
Q
A

Myasthénie grave. Le récepteur est reconnu comme du non soi. Les cellules du système immunitaire attirent les autres cellules

How well did you know this?
1
Not at all
2
3
4
5
Perfectly
4
Q
A
How well did you know this?
1
Not at all
2
3
4
5
Perfectly
5
Q
A
How well did you know this?
1
Not at all
2
3
4
5
Perfectly
6
Q
A

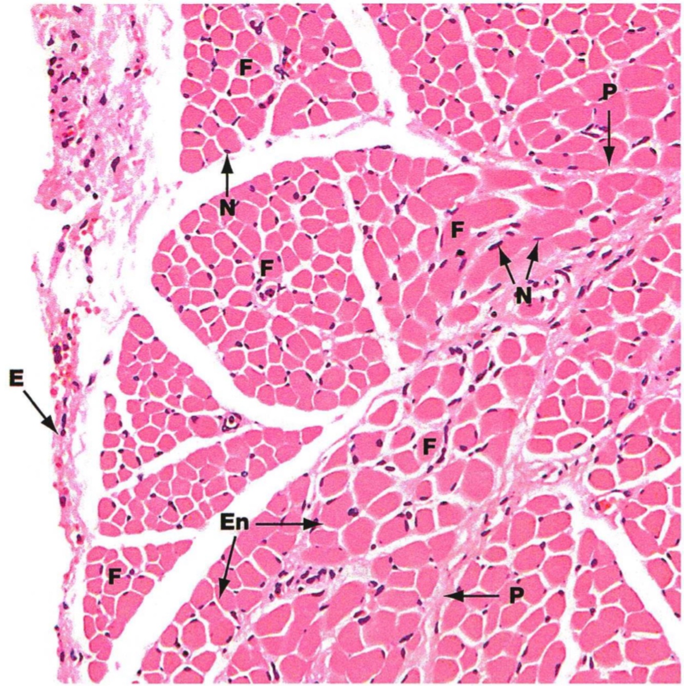
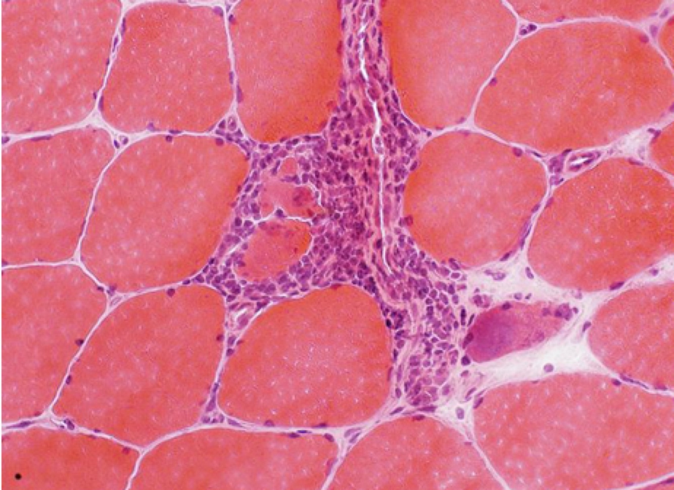
Polymyosite (myopathies inflammatoires)

How well did you know this?
1
Not at all
2
3
4
5
Perfectly
7
Q
A

Dermatomyosite (myopathies inflammatoires)

How well did you know this?
1
Not at all
2
3
4
5
Perfectly
8
Q
A

Dermatomyosite (myopathies inflammatoires)
Infiltrat de cellules mononucléées + lésions des myofibrilles plus importantes dans la région péri fasciculaires

How well did you know this?
1
Not at all
2
3
4
5
Perfectly
9
Q
A

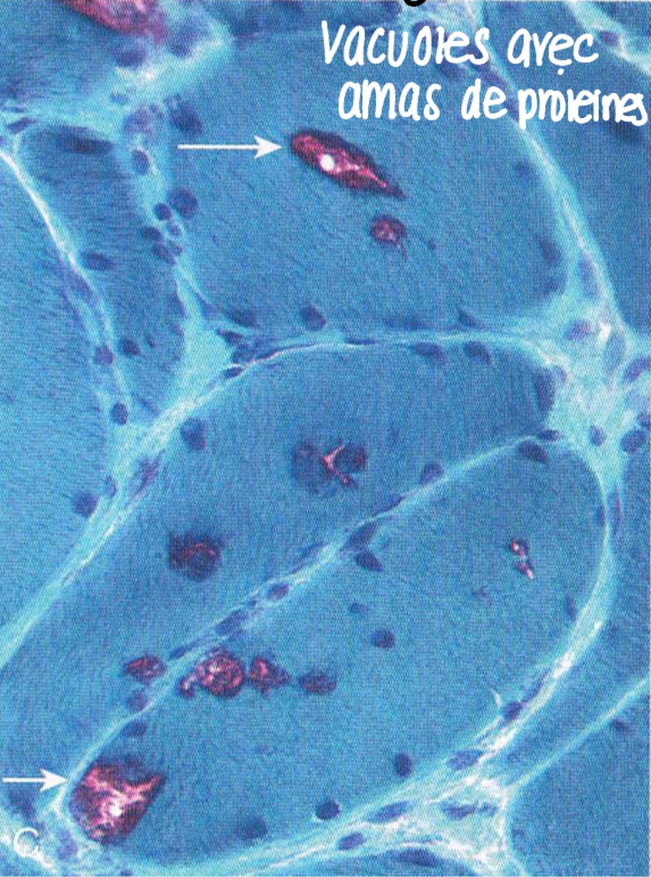
Myopathies inflammatoires avec inclusions cytoplasmiques
Coloration pour révéler les occlusions rouges
Présence de vacuoles bordés
Agrégats des mêmes protéines que les maladies neurodegeneratives

How well did you know this?
1
Not at all
2
3
4
5
Perfectly
10
Q
A

Détection de dystrophine pour mesurer la surface de section transversale musculaire. Marquage IHC (rouge) qui délimite les sarcolemmes and DAPI (bleu) qui permettent de visualiser les noyaux. Scale bar 100m

How well did you know this?
1
Not at all
2
3
4
5
Perfectly
11
Q
A

Dystrophie musculaire de Duchene
Pseudo hypertrophie des mollets car ce sont des muscles toujours sollicités

How well did you know this?
1
Not at all
2
3
4
5
Perfectly
12
Q
A

Dystrophie musculaire de Duchene
Après quelques années, il y a présence de tissus fibreux/graisseux au travers les fibres musculaires

How well did you know this?
1
Not at all
2
3
4
5
Perfectly
13
Q
A

Coloration immunohistochimie du muscle squelettique avec DYS-III N terminus anticorps antidystrophine
A) muscle normal: tous les fibres sont également intensément colorés
B) coloration faible suggérant une dystrophinopathie

How well did you know this?
1
Not at all
2
3
4
5
Perfectly
14
Q
A

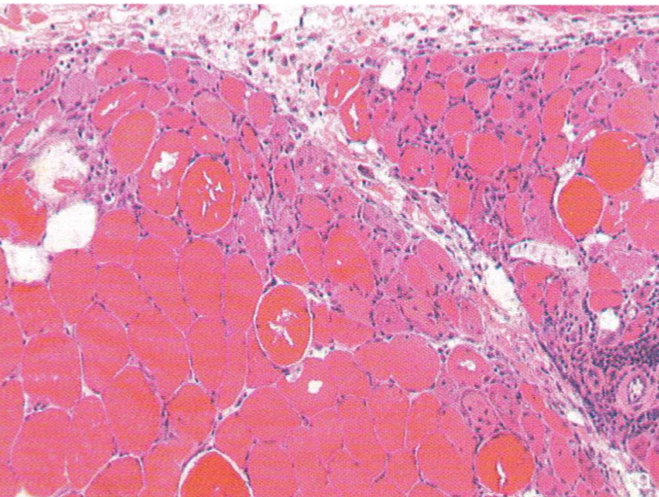
Dystrophie de Duchenne
A) frère 1 de 3 ans. Structure préservée
B) pas de dystrophine chez l’enfant de 3 ans (en bas âge= normal avec dystrophine)
C) frère 2, 9 ans. Présence de tissu fibreux, structure non préservée montrant les dommages qui se font avec les années

How well did you know this?
1
Not at all
2
3
4
5
Perfectly
15
Q
A

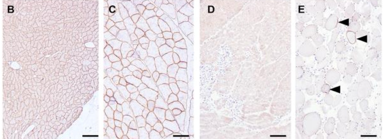
Pas de gêne qui code pour la dystrophine ont été détecté dans les muscles cardiaques et squelettiques des rats Dmdmdx (D, E) = tissu mal organisé
B ) cœur normal
C) bicep fémoral, normal
D) cœur, sans dystrophine
E) bicep fémoral sans dystrophine

How well did you know this?
1
Not at all
2
3
4
5
Perfectly
16
Q
A

Remplacement progressif des myofibres par du tissu fibreux et graisseux chez les rats Dmdmdx