Differential Diagnosis Flashcards

(97 cards)

1
Q

macule - define

A

circumscribed change in without elevation/depression (flat change in color)

How well did you know this?
1
Not at all
2
3
4
5
Perfectly
2
Q

patch - define

A

flat change in color > 1cm

How well did you know this?
1
Not at all
2
3
4
5
Perfectly
3
Q

papule - define

A

elevated area of skin < 1 cm

How well did you know this?
1
Not at all
2
3
4
5
Perfectly
4
Q

plaque - definition

A

elevated area of skin > 1 cm

How well did you know this?
1
Not at all
2
3
4
5
Perfectly
5
Q

nodule - definition

A

deep seated mass in the deep dermis / subcutis > 1 cm

How well did you know this?
1
Not at all
2
3
4
5
Perfectly
6
Q

tumor - definition

A

raised collection of cells > 1 cm

How well did you know this?
1
Not at all
2
3
4
5
Perfectly
7
Q

wheal - definition

A

elevation of the skin with fluid. is firm & edematous

How well did you know this?
1
Not at all
2
3
4
5
Perfectly
8
Q

what are the dermatological terms use to describe color changes and how are they different?

A
  • macule: flat change in color < 1 cm
  • patch: flat change in color > 1 cm
How well did you know this?
1
Not at all
2
3
4
5
Perfectly
9
Q

what are the dermatological terms used to describe elevations in skin and how are they different?

A
  • papule: elevation < 1 cm
  • patch: elevation > 1 cm
  • nodule: elevation > 1 cm that is deep seated in deep dermis / subcutis
  • wheel: elevation that is infiltrated w/ fluid
How well did you know this?
1
Not at all
2
3
4
5
Perfectly
10
Q

identify & classify lesion

A

lengito

a macule

How well did you know this?
1
Not at all
2
3
4
5
Perfectly
11
Q

identify & classify lesion

A

ash leaf macule

macule

How well did you know this?
1
Not at all
2
3
4
5
Perfectly
12
Q

identify & classify lesion

A

idiopathic guttate hypomelanosis

macule

How well did you know this?
1
Not at all
2
3
4
5
Perfectly
13
Q

identify & classify lesion

A

vitilgo

patch

How well did you know this?
1
Not at all
2
3
4
5
Perfectly
14
Q

identify & classify lesion

A

sebacceous hyperplasia

How well did you know this?
1
Not at all
2
3
4
5
Perfectly
15
Q

identify & classify lesion

A

cherry angioma

maculopapular lesion

How well did you know this?
1
Not at all
2
3
4
5
Perfectly
16
Q

identify & classify lesion

A

sebhorreic keratosis

maculopapular lesion

How well did you know this?
1
Not at all
2
3
4
5
Perfectly
17
Q

identify & classify lesion

A

wart

maculopapular

How well did you know this?
1
Not at all
2
3
4
5
Perfectly
18
Q

identify & classify lesion

A

molluscum contagiousum

maculopapular - is also umbilicated

How well did you know this?
1
Not at all
2
3
4
5
Perfectly
19
Q

identify & classify lesion

A

basal cell carcinoma

maculopapular lesion - pearly with telangectasia

How well did you know this?
1
Not at all
2
3
4
5
Perfectly
20
Q

identify & classify lesion

A

lichen plantis

maculopapular lesion - characterized by inflammatory infiltrate

How well did you know this?
1
Not at all
2
3
4
5
Perfectly
21
Q

identify

A

lichen sclerosis - microscopic

maculopapular lesion characterized by inflammatory infiltrate

How well did you know this?
1
Not at all
2
3
4
5
Perfectly
22
Q

identify & classify lesion

A

psoriasis

a plaque

How well did you know this?
1
Not at all
2
3
4
5
Perfectly
23
Q

identify & classify lesion

A

eczema

a plaque

How well did you know this?
1
Not at all
2
3
4
5
Perfectly
24
Q

identify & classify lesion

A

tinea corporis (fungal)

plaque

How well did you know this?
1
Not at all
2
3
4
5
Perfectly
25
identify & classify lesion
mycosis fungoides a plaque
26
identify & classify lesion
pityriasis rosea a plaque
27
identify & classify lesion
paget's disease a plaque
28
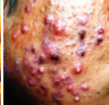
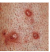
identify & classify
nodulocystic acne nodule
29
identify & classify
nodulocystic acne nodule
30
neurofibromas nodule
31
identify & classify
prurigo nodularis nodule
32
identify & classify
nodule
33
identify & classify
keloids - overzellous production of collagen by fibroblasts nodule
34
identify & classify
keloids - overzellous production of collagen by fibroblasts
35
identify & classify
dermatographism: mast cells require miminal stimulation to release histamine - skin flares after gentle stroke a wheel
36
identify & classify
urticaria wheel
37
identify & classify
urticaria wheel
38
identify & classify
urticaria a wheel
39
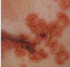
vesicle - definition
a thin walled elevated lesion containing fluid \< 1 cm
40
identify & classify
* progression of chicken-pox * initial infection - chicken-pox * recurrent infection - herpes zoster * lastly - hypopigmentation * a vesicle
41
bullae - definition
vesicle (a thin walled, fluid containing elevated lesion) \> 1 cm
42
identify & classify
bullous pemphigoid bullae
43
identify & classify
bullous pemphigoid bullae
44
pemphigus vulgaris bullae, with sloughing
45
pustule - definition
a vesicle containing WBCS which gives it white / yellow fluid content
46
identify & classify
folliculitis pustule
47
identify & classify
acne pustule
48
identify & classify
dyshidrosis pustule
49
scale - definition
secondary lesions characterized by epidermal cells that are peeling off in groups
50
eczema craquele - common in nursing homes d/t dehydration scale
51
identify & classify
staphyloccocal scalded skin syndrome (desquamation) a scale
52
identify & classify
psoriasis (silvery) a scale (also a patch)
53
identify & classify
ichthyosis scale
54
crusting - definition
dry/moist material on the skin surface
55
identify & classify
impetigo (honey colored crust) crusting
56
identify & classify
herpes simplex crusting crust
57
identify & classify
tinea pedis - crusting of the feet crusting
58
fissure - definition
deep linear split extending through the epidermis into the dermis
59
identify & classify
eczema fissure fissure
60
identify & classify
perleche - lateral commissure of the mouth fissure
61
identify & classify
intertrigo fissure
62
erosion - definition
a depressed area that reflects a partial or full thickness loss of **epidermis** (does not penetrate below the DEJ)
63
identify & classify
neurotic excoriations erosions
64
identify & classify
candidiasis erosion
65
identify & classify
tinea pedis erosion
66
ulcer - definition
focal loss of epidermis & dermis
67
identify & classify
ulcer
68
identify & classify
chancroid ulcer
69
identify & classify
pyoderma gangrenosum ulcer
70
excoritation - definition
an erosion caused by **scratching**
71
scar - definition
an area of **replacement of fibrosis (collagen)** of the _dermis / subcutaneous tissues_ resulting from a destructive process
72
identify & classify
hidradenitis suppurativa - associated with glands in the axilla scar
73
identify & classify
porphyria - milia produced by scar, likely d/t hepatitis C scar
74
atrophy - definition
depression of epidermis & dermis d/t thinning of the skin
75
identify & classify
morphea - localized scleroderma atrophy
76
identify & classify
atrophy d/t use of topical / intralesion _steroids_ atrophy
77
identify & classify
lichen sclerosis atrophy
78
identify & classify
striae - atrophy d/t high levels of steroids atrophy
79
identify & classify
**a comedone**: a plug of _sebaceous materia_l lodged into the opening of a hair follicle * dilated follicular orifice: blackhead * narrowed follicular orifice: whitehead
80
identify & classify
lichenification - an area of **thickened apidermis** induced by _scratching_: skin lines are acccentuated to produce **"washboard" surface**
81
telangiectasia - definition
dilated superfiical blood vessels
82
milia - definition
a small, superficial keratin cyst with no visible opening
83
petechia - definition
a cirumscrbied deposit of blood less thsn 0.5 cm in diameter
84
purpura - definition
a circumscribed deposit of blood greater than 0.5 cm
85
maceration - definition
maceration - softening / breaking down of the skin resulting from prolonged exposure to moisture
86
identify & classify
telangiectasia rosaccea telangiectasia (dilated superificial lood vessels)
87
identify & classify
spider angioma telangiectasia (dilated superficial blood vessels)
88
a milia - often d/t use ot oil based proeducts. milia (small, superfiical keratin cyst with _no_ visible opening)
89
identify & classify
henoch-schonlein purpura petechia (small, circumscribed deposit of blood \< 0.5 cm in diameter)
90
identify & classify
actinic purpura purpura (circumscribed deposit of blood \> 0.5 cm in diameter)
91
identify & classify
meningococcemia purpura (circumscribed deposit of blood \> 0.5 cm in diameter)
92
identify & classify
maceration - softening & breaking down of skin resulting from prolonged exposure to moisture
93
classify & identify
granulmona annular, tinea annular
94
identify & classify
lichen plannus linear
95
identify & classify
lichen striatus linear
96
psorasis micaceous plaque with silvery scale
97
basal cell carcinoma: telangectatious macular plaque