Endocrine Pathology 2 Flashcards

(16 cards)

1
Q

pancreatic endocrine neoplasms - overview

A

*rare in comparison to exocrine pancreatic tumors

  1. insulinoma:
    -most common pancreatic endocrine neoplasm
    -beta cell tumors (insulin producing)
    -increased insulin → significant hypoglycemia
  2. gastrinoma (Zollinger-Ellison Syndrome):
    -G cell tumors (gastrin-producing)
    -increased gastric acid → severe peptic ulceration
How well did you know this?
1
Not at all
2
3
4
5
Perfectly
2
Q

pancreatic endocrine neoplasms - pathology

A

*examples of pancreatic endocrine neoplasms: insulinoma, gastrinoma
*pathologic features:
1. pancreas body/tail (due to greater islet concentration in these locations)
2. monotonous neuroendocrine cells with different growth patterns
3. highly vascular

How well did you know this?
1
Not at all
2
3
4
5
Perfectly
3
Q

adrenal gland - overview

A

*paired organs on superior kidney poles
*embedded in pararenal adipose tissue
*considered 2 different organs with distinct functions: 1) adrenal cortex; 2) adrenal medulla

How well did you know this?
1
Not at all
2
3
4
5
Perfectly
4
Q

adrenal cortex - overview

A

*adrenal cortex = STEROID secreting
*3 distinct layers, each secreting a different hormone:
1. zona glomerulosa = aldosterone
-responsible for salt balance
-stimulates Na+ reabsorption in renal DCTs
2. zona fasciculata = cortisol
-responsible for carbohydrate metabolism
-stimulates gluconeogenesis and hepatic glycogenolysis
-other functions: suppresses immune functions; induces fat mobilization; muscle proteolysis
3. zona reticularis = DHEA
-converted to testosterone in both men and women

How well did you know this?
1
Not at all
2
3
4
5
Perfectly
5
Q

adrenal medulla - overview

A

*adrenal medulla = NEUROENDOCRINE cells
*modified sympathetic postganglionic neurons
*secretory cells with dense granules (chromagranins)
*innervated by preganglionic sympathetic neurons
*fight or flight response during stress/intense emotional reactions
1. epinephrine: increased HR, dilates bronchioles, and dilates arteries of cardiac and skeletal muscles
2. norepinephrine: constricts vessels of digestive system and skin, increasing blood flow to the heart, muscles, and brain

How well did you know this?
1
Not at all
2
3
4
5
Perfectly
6
Q

adrenocortical adenoma

A

*most are silent: incidental finding on autopsy or during abdominal imaging for unrelated cause
*if functional → hyperaldosteronism, Cushing syndrome
*pathology: well-circumscribed, yellow-brown, nodular lesions; composed of cells similar to normal adrenal cortex

How well did you know this?
1
Not at all
2
3
4
5
Perfectly
7
Q

adrenocortical carcinoma

A

*likely to be FUNCTIONAL; associated with virilism / hyperadrenalism
*median survival ~ 2 years
*pathology:
-large, invasive, destructive lesions
-variegated areas of necrosis, hemorrhage, and cystic change
-invade the adrenal vein, vena cava, and lymphatics
-mets to regional and periaortic nodes are common

How well did you know this?
1
Not at all
2
3
4
5
Perfectly
8
Q

pheochromocytoma - overview

A

*neoplasm of adrenal medullary neuroendocrine cells
*mutations of oncogenes RET, NF1, and VHL

How well did you know this?
1
Not at all
2
3
4
5
Perfectly
9
Q

pheochromocytoma - clinical features

A
  1. hypertension, may be episodic, abrupt, and precipitous
    -attributable to periodic release of catecholamines
    -surgically correctable
  2. tachycardia, headache, sweating, and tremors
How well did you know this?
1
Not at all
2
3
4
5
Perfectly
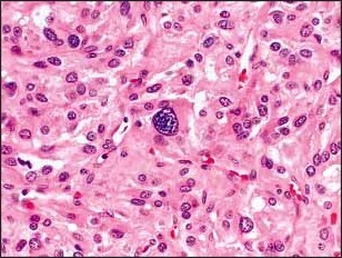
10
Q

pheochromocytoma - pathology

A

*well-defined mass compressing adrenal
*nests of polygonal or spindle-shaped cells, surrounded by vascular network

How well did you know this?
1
Not at all
2
3
4
5
Perfectly
11
Q

adrenal medullary neuroblastoma - overview

A

*neoplasm of primordial neural crest cells in adrenal medulla and sympathetic ganglia
*associated with MYCN gene amplification

How well did you know this?
1
Not at all
2
3
4
5
Perfectly
12
Q

adrenal medullary neuroblastoma - clinical features

A
  1. abdominal mass in children under 2 years of age (adrenal medulla, abdominal ganglia, mediastinum)
  2. tumors produce catecholamines: VMA and HVA
    *course varies: spontaneous regression to metastatic disease
How well did you know this?
1
Not at all
2
3
4
5
Perfectly
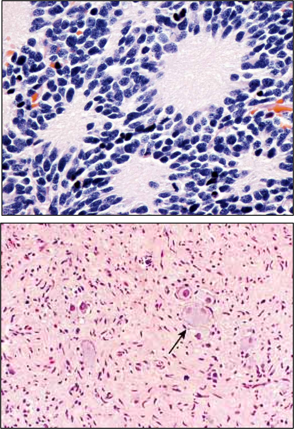
13
Q

adrenal medullary neuroblastoma - pathology

A

*“pseudorosettes” of small blue cells (dark nuclei arranged around fibrillary material)
*may show partial ganglioneruomatous differentiation

How well did you know this?
1
Not at all
2
3
4
5
Perfectly
14
Q

multiple endocrine neoplasia syndromes - overview

A

*inherited autosomal dominant diseases resulting in proliferative lesions of multiple endocrine organs
1. develop at a young age
2. arise in multiple glands synchronously or metachronously (usually multifocal in the same gland)
3. preceded by asymptomatic stage of endocrine hyperplasia
4. more aggressive and recur more frequently than similar, sporadic endocrine tumors

How well did you know this?
1
Not at all
2
3
4
5
Perfectly
15
Q

MEN1 - overview

A

*germline MEN1 mutations: tumor suppressor gene which encodes the protein menin, part of transcription factor complexes
*3 commonly associated tumors:
1. parathyroid
2. pancreas
3. pituitary

How well did you know this?
1
Not at all
2
3
4
5
Perfectly
16
Q

MEN2 - overview

A

*associated with RET oncogene mutations

  1. type 2A: gain-of-function RET oncogene mutations
    -medullary thyroid carcinoma
    -parathyroid hyperplasia
    -adrenal pheochromocytoma
  2. type 2B: RET oncogene point mutation
    -medullary thyroid carcinoma
    -adrenal pheochromocytoma
    -mucosal neuromas
    -Marfanoid appearance of the skeleton