Extremidad inferior Flashcards

(27 cards)

1
Q

Factores de riesgo de pinzamiento femoroacetabular

A
  • Caídas
  • Actividad e alto impacto
  • Sobre uso
  • Traumatismo
  • Artrosis
How well did you know this?
1
Not at all
2
3
4
5
Perfectly
2
Q

tipos de pinzamiento femoroacetabular

A
  • CAM: Deformidad del cuello femoral
  • Pincer: Sobrecobertura del acetábulo
  • Mixto
How well did you know this?
1
Not at all
2
3
4
5
Perfectly
3
Q

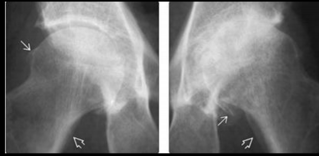
Rx. que se piden en el pinzamiento femoroacetabular

A
  • Ap y oblicua
  • Axial Dunn
    No lateral porque se sobreponen las estructuras como en el hombro
How well did you know this?
1
Not at all
2
3
4
5
Perfectly
4
Q

Mejor estudio para ver el pinzamiento femoroacetabular y qué se ve

A

RM
- Permite ver edema oseo
- Pinzamiento leve
- Quistes
- lesión del labrum

How well did you know this?
1
Not at all
2
3
4
5
Perfectly
5
Q
A
How well did you know this?
1
Not at all
2
3
4
5
Perfectly
6
Q

Método diagnóstico más accesible de la coxartrosis

A

Rx

How well did you know this?
1
Not at all
2
3
4
5
Perfectly
7
Q

Orden de presentación de la osteoartrosis

A
  1. Osteofitos
  2. Disminución del espacio articular
  3. Esclerosis osea (mayor opacidad)
  4. Quistes subcondrales “geodas”
  5. Deformidad osea
How well did you know this?
1
Not at all
2
3
4
5
Perfectly
8
Q

V/F
En la TC se pueden apreciar los mismos datos de una coxartrosis que en una Rx?

A

Verdadero
- Osteofitos
- Disminución del espacio articular
- Esclerosis osea
- Quistes subcondrales
- deformidad osea

How well did you know this?
1
Not at all
2
3
4
5
Perfectly
9
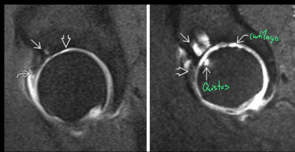
Q

Qué se ve en la RM en la coxartrosis que no se puede ver directamente en una TC o Rx?

A
  • Permite evaluar cartílago (Daño temprano)
How well did you know this?
1
Not at all
2
3
4
5
Perfectly
10
Q

Qué es el desgarro meniscal y cómo sucede?

A

Es la falla/ Lesión de los meniscos
Sucede por:
- Trauma rotatorio
- Sobre uso
- Degeneración

How well did you know this?
1
Not at all
2
3
4
5
Perfectly
11
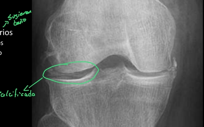
Q

Para qué se usan los Rx en el desgarro meniscal?

A

Se ven datos secundarios que sugieren que hubo un daño
- Edema de tejidos blandos
- Calcificaciones = crónico

No se ce el menisco

How well did you know this?
1
Not at all
2
3
4
5
Perfectly
12
Q

Qué se ve en un US en un desgarro meniscal?

A
  • Solo se ven algunos desgarros = utilidad limitada
  • Se pude ver un derrame articular
How well did you know this?
1
Not at all
2
3
4
5
Perfectly
13
Q

Cuál es el mejor estudio para ver un desgarro meniscal y qué permite ver?

A

RM
- Permite ver y caracterizar desgarros en múltiples planos

How well did you know this?
1
Not at all
2
3
4
5
Perfectly
14
Q

Cuál es el principal estabilizador de la rodilla?

A

LCA

How well did you know this?
1
Not at all
2
3
4
5
Perfectly
15
Q

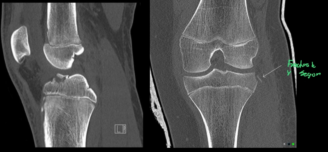
Estudios que tienen una utilidad limitada para ver el desgarro de ligamentos en general

A
  • TC
  • Rx.

Puede verse avulsión tibial o lesiones asociadas
- Fractura de segond

How well did you know this?
1
Not at all
2
3
4
5
Perfectly
16
Q

Mejor estudio para evaluar lesiones de ligamentos?

17
Q

Qué es la gonartrosis y por qué sucede?

A

Osteoartrosis en la rodilla
- Sobrepeso
- Sobreuso
- Trauma repetitivo

18
Q

Método más usado para ver la gonartrosis

A

Rx.
Se ven los datos de artrosis:
- Osteofitos
- Disminución del espacio
- Esclerosis ósea
- Quistes subcondrales
- Deformidad ósea

En TC se ve lo mismo

19
Q

Qué se ve en la RM de una gonartrosis?

A
  • Permite evaluar el cartílago
  • Se puede ver un derrame articular
  • Mismos datos que en TC y Rx
20
Q

Grados de esguince

A

1: Sin lesión
2: Rotura parcial
3: Rotura completa

21
Q

Qué se ve en una Rx en un esguince de tobillo

A

No se ven losligamentos, pero sí datos secundarios
- Edema
- Aumento del espacio entre peroné y astrágalo
- decarta fracturas

22
Q

Para qué se usa el US en un esguince de tobillo?

A
  • Utilidad limitada
  • permite ver el ligamento talofibular anterior (ATFL)
23
Q

Mejor estudio para un esguince de tobillo

A

RM
- Clasifica lesión
- Búsqueda de lesiones asociadas

24
Q

prueba para evaluar rotura del tendón de aquiles

A

Prueba de Thompson

25
Qué se ve en la Rx y TC en una rotura del tendón de aquiles?
- Edema de tejido blando - Borramiento del triángulo graso de Kager - Descarta avulsión calcánea - Calcificación = crónico
26
Método más básico para ver una rotura del tendón de aquiles
US - tendón engrosado hipoecoico - Distingue entre desgarro parcial y total
27
Mejor estudio para ver la rotura de un tendón de aquiles
Rm - Se pueden buscar lesiones asociadas