Traumatismo torácico Flashcards

(9 cards)

1
Q

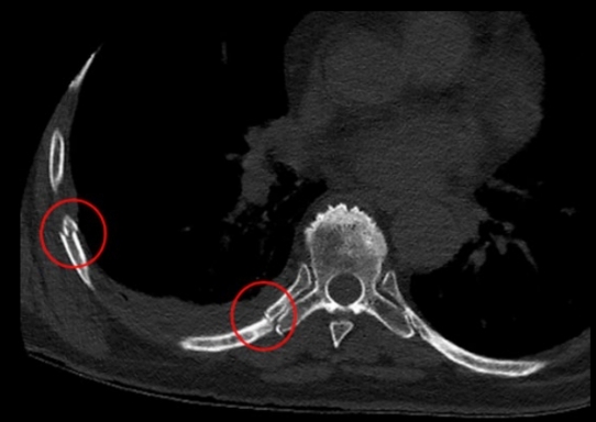
Cuál es la causa más común de trauma torácico?

A

Fracturas costales
- 4ta a 10ma costilla

How well did you know this?
1
Not at all
2
3
4
5
Perfectly
2
Q

Complicaciones de las fracturas costales

A
  • Hemo/neumotórax
  • Trauma abdominal
  • Lesión neural
How well did you know this?
1
Not at all
2
3
4
5
Perfectly
3
Q

Estudio de Rx que se debe de hacer cuando se sospecha de fracturas costales

A

Tórax óseo
- Ap y oblicua siempre
- baja sensibilidad y especificidad

How well did you know this?
1
Not at all
2
3
4
5
Perfectly
4
Q

Mejor estudio para ver fracturas costales

A

TC
- Reconstrucción 3D
- Detecta fracturas no desplazadas
- Permite evaluar complicaciones fácilmente

How well did you know this?
1
Not at all
2
3
4
5
Perfectly
5
Q

Qué es el tórax inestable?

A

Múltiples fracturas en más de 3 costillas adyacentes
- Es marcador de lesión pulmonar

How well did you know this?
1
Not at all
2
3
4
5
Perfectly
6
Q

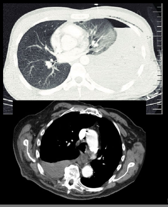
Qué se ve en una Rx de un hemotórax

A
  • Derrame pleural
  • Borammiento de la silueta cardíaca
How well did you know this?
1
Not at all
2
3
4
5
Perfectly
7
Q

Mejor estudio para ver hemotórax

A

TC
- Se ve el derrame denso

How well did you know this?
1
Not at all
2
3
4
5
Perfectly
8
Q

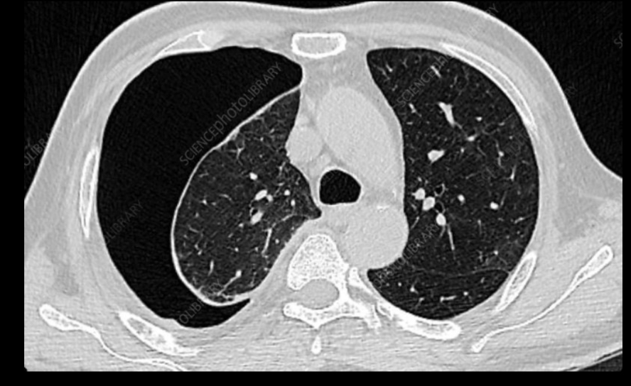
Qué se ve en un neumotórax en Rx. y TC?

A
  • Hiperclaridad
  • Pérdida de trama vascular
  • pulmón colapsado
How well did you know this?
1
Not at all
2
3
4
5
Perfectly
9
Q

A qué es secundario el neumotórax?

A
  • Trauma
  • Procedimientos
  • Rotura de bullas
How well did you know this?
1
Not at all
2
3
4
5
Perfectly