Giun sán Flashcards

(13 cards)

1
Q
A

Paragonimus westermani (Sán lá phổi)

How well did you know this?
1
Not at all
2
3
4
5
Perfectly
2
Q
A

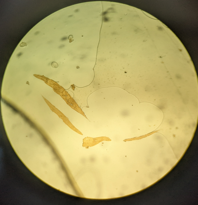
Fasciola hepatica (Sán lá gan lớn)

How well did you know this?
1
Not at all
2
3
4
5
Perfectly
3
Q
A

Dipylidium caninum (Sán dây chó)

How well did you know this?
1
Not at all
2
3
4
5
Perfectly
4
Q
A

Diphyllobothrium latum (Sán dây cá)

How well did you know this?
1
Not at all
2
3
4
5
Perfectly
5
Q
A

Toenia solium (Sán dây lợn)

How well did you know this?
1
Not at all
2
3
4
5
Perfectly
6
Q
A

Clonorchis sinensis (Sán lá gan nhỏ)

How well did you know this?
1
Not at all
2
3
4
5
Perfectly
7
Q
A

Trứng điển hình, không thụ tinh Ascaris lumbricoides

How well did you know this?
1
Not at all
2
3
4
5
Perfectly
8
Q
A

Ấu trùng giun xoắn trong cơ

How well did you know this?
1
Not at all
2
3
4
5
Perfectly
9
Q
A

Ấu trùng giai đoạn 1 của Strongyloides stercoralis (giun lươn)

How well did you know this?
1
Not at all
2
3
4
5
Perfectly
10
Q
A

Trứng giun móc Necator americanus

How well did you know this?
1
Not at all
2
3
4
5
Perfectly
11
Q
A

Trứng điển hình, thụ tinh Ascaris lumbricoides

How well did you know this?
1
Not at all
2
3
4
5
Perfectly
12
Q
A

Trứng giun kim Enterobius vermicularis

How well did you know this?
1
Not at all
2
3
4
5
Perfectly
13
Q
A

Trứng giun tóc Trichuris trichiura

How well did you know this?
1
Not at all
2
3
4
5
Perfectly