Give the name of this layer:

c. Papillary layer (paler area under the epithelium)
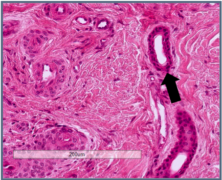
What statement describes best this structure? (Arrow)

b. Cross section of a duct
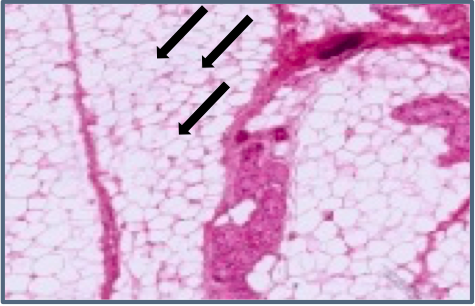
Classify this tissue (be specific):

d. Loose connective tissue (because it’s the papilary layer, very cellular)
Give the specific name of this layer:

e. Stratum granulosum
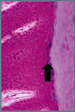
Give the specific name of this tissue (arrow):

e. Squamous simple epithelium
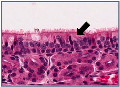
Classify this tissue (arrow). Be specific:

a. Pseudostratified epithelium

e. Adipose tissue
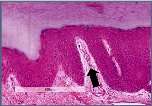
Give the name of this layer (be specific):

b. Stratum spinosum (polygonal cells, spines between adjacent cells)
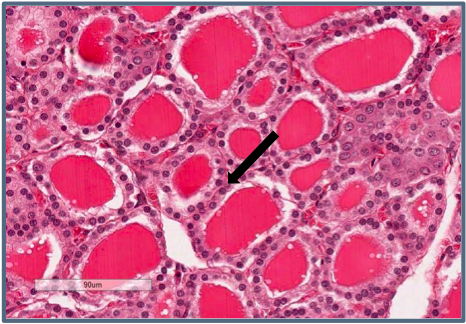
Classify this tissue (arrow). Be specific:

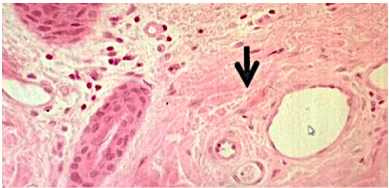
a. Dense irregular CT (around blood vessels)
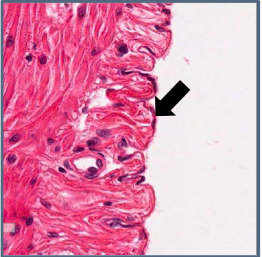
Classify this tissue (arrow). Be specific:

e. Cuboidal simple epithelium