Internal Med EOR Flashcards

(100 cards)

1
Q

What infectious agent of bacterial meningitis are nonblanching petechiae and a purpuric rash associated with?

A

Neisseria meningitidis

How well did you know this?
1
Not at all
2
3
4
5
Perfectly
2
Q

What is the classic presentation of polymyalgia rheumatica?

A

rapid onset of symmetrical pain and stiffness of the bilateral shoulders, neck and hip girdle that is worse in the morning and after prolonged inactivity

How well did you know this?
1
Not at all
2
3
4
5
Perfectly
3
Q

Where is the lung is adenocarcinoma most likely to be found?

A

most commonly arises from the mucous glands in the PERIPHERY of the lung

How well did you know this?
1
Not at all
2
3
4
5
Perfectly
4
Q

Where is small cell lung cancer going to be located in the lungs?

A

Small cell lung cancer is more aggressive, spreads early, and is less amenable to surgery. It originates in the CENTRAL bronchioles.

How well did you know this?
1
Not at all
2
3
4
5
Perfectly
5
Q

What is the initial management for a pt with ascites?

A

lasix and salt restriction

How well did you know this?
1
Not at all
2
3
4
5
Perfectly
6
Q

What coma syndrome is caused by damage to the ventral pons?

A

locked-in syndrome

How well did you know this?
1
Not at all
2
3
4
5
Perfectly
7
Q

What dx? Pt is stable, what should you do next?

A

monomorphic ventricular tachycardia

amiodarone, lidocaine or procainamide

How well did you know this?
1
Not at all
2
3
4
5
Perfectly
8
Q

______ is the most commonly used noninvasive procedure for evaluating inducible ischemia in patients with stable angina.

A

Exercise ECG

How well did you know this?
1
Not at all
2
3
4
5
Perfectly
9
Q

Importantly, _____ and _____ are the only known medications that lower mortality in patients with stable angina.

A

aspirin and BB (atenolol and metoprolol)

How well did you know this?
1
Not at all
2
3
4
5
Perfectly
10
Q

What 4 heart medication classes are indicated in the treatment of stable angina?

A

beta-blockers
calcium channel blockers
nitrates
ranolazine

How well did you know this?
1
Not at all
2
3
4
5
Perfectly
11
Q

What are the primary indications for coronary artery bypass grafting in patients with coronary artery disease (CAD)?

A

Three-vessel disease, > 50% stenosis in the left anterior descending (LAD) coronary artery, or left ventricular dysfunction.

How well did you know this?
1
Not at all
2
3
4
5
Perfectly
12
Q

What is the pathophys behind atrial flutter?

A

Atrial flutter is a tachydysrhythmia caused by a single excitable electrical focus in the left or right atrium but most commonly in the RIGHT atrium

How well did you know this?
1
Not at all
2
3
4
5
Perfectly
13
Q

______ is an increasingly common iatrogenic cause of tricuspid regurgitation

A

Pacemaker lead placement

How well did you know this?
1
Not at all
2
3
4
5
Perfectly
14
Q

What dx? BP 130/80 HR 170, what should you do next? What is the MC mechanism?

A

Paroxysmal supraventricular tachycardia is a subset of narrow QRS tachycardias

valsalva maneuver then adenosine

reentry

How well did you know this?
1
Not at all
2
3
4
5
Perfectly
15
Q

What are the 3 vagal maneuvers?

A

cold stimulus to the face

valsalva maneuver (blow through a straw)

stimulate the gag reflex (with a tongue depressor)

How well did you know this?
1
Not at all
2
3
4
5
Perfectly
16
Q

What is the half-life of adenosine?

A

less than 10 seconds

How well did you know this?
1
Not at all
2
3
4
5
Perfectly
17
Q

genetic test shows the presence of a mutation in the HFE gene. What dx?

A

Hereditary hemochromatosis

How well did you know this?
1
Not at all
2
3
4
5
Perfectly
18
Q

What 3 diseases have an increased association with polyarteritis nodosa?

A

hep B, hep C and hairy cell leukemia

How well did you know this?
1
Not at all
2
3
4
5
Perfectly
19
Q

Which organ involvement is classically spared in polyarteritis nodosa?

A

lungs

How well did you know this?
1
Not at all
2
3
4
5
Perfectly
20
Q

What is the most specific test for Graves disease?

A

Thyroid receptor antibodies

How well did you know this?
1
Not at all
2
3
4
5
Perfectly
21
Q

_______ is the most common form and is characterized by genetic mutations of the PKD1 or PKD2 gene

A

Autosomal dominant polycystic kidney disease

How well did you know this?
1
Not at all
2
3
4
5
Perfectly
22
Q

______ is the most common cause of encephalitis in the United States.

A

West Nile virus

How well did you know this?
1
Not at all
2
3
4
5
Perfectly
23
Q

Physical exam is unremarkable except for some fine end-inspiratory crackles. A chest radiograph is obtained that shows bilateral parenchymal opacities. A computed tomography scan shows calcified pleural plaques. What dx?

A

asbestosis

How well did you know this?
1
Not at all
2
3
4
5
Perfectly
24
Q

ADAMTS13. What dx?

A

Thrombotic thrombocytopenic purpura (TTP)

How well did you know this?
1
Not at all
2
3
4
5
Perfectly
25
What is the pathophys behind TTP?
TTP is caused by a congenital or acquired deficient activity of the plasma enzyme ADAMTS13, an enzyme that cleaves von Willebrand factor into smaller sizes, thereby preventing the formation of von Willebrand multimers and subsequent platelet thrombi.
26
What is the classic pentad associated with TTP?
fever anemia thrombocytopenia kidney insufficiency neurological disturbances.
27
What is the prophylactic treatment of a cluster HA?
short tern steroid along with a CCB (verapamil)
28
What is the pathophys behind parkinson dz?
Lewy bodies in the substantia nigra and a decrease in dopaminergic neurons in the substantia nigra
29
What is the most sensitive test for pheochromocytomas?
plasma fractionated free metanephrines
30
What is the tx for coccidiomycosis?
fluconazole or itraconazole
31
What is the recommended protein requirements for a pt with CKD 3-5?
0.8 g/kg per day (protein)
32
What is the recommended protein intake for a pt on hemodialysis?
1-1.2 g/kg per day for protein
33
Most prostate cancers are ______ (type) that occur in the ______ zone of the prostate
adenocarcinomas peripheral
34
What is the most common cause of Cushing syndrome?
Long-term high-dose corticosteroid therapy.
35
What is the most important side effect of isoniazid?
hepatitis
36
When prescribing isoniazid, need to also prescribe _____ in conjunction
pyridoxine (vit B6)
37
What is the triad associated with lupus?
joint pain fever malar rash
38
What is the treatment for lupus induced nephritis?
Lupus nephritis is treated with corticosteroids as well as an immunosuppressant such as cyclophosphamide, mycophenolate mofetil, or azathioprine.
39
What is the definitive dx for Sjogren syndrome?
bx of the lower lip mucosa which demonstrates lymphocytic infiltrate and gland fibrosis
40
Patients with Sjӧgren syndrome have an increased risk of developing ______
lymphoma.
41
Which of the following is the first serologic marker to be positive in acute hepatitis B?
hepatitis B surface antigen
42
______ generally normalizes within 24 hours and is more helpful for the evaluation of reinfarction
Elevated CK-MB
43
How long do troponins remain elevated?
5-7 days
44
These patients may have accentuation of the pulmonic component (P2) of the second heart sound (S2) on physical exam secondary to the prominent closure of the ______ valve. What dx?
pulmonary hypertension pulmonic valve
45
What type of salt/water imbalance is SIADH?
hypotonic, euvolemic hyponatremia
46
What is the treatment for asymptomatic SIADH pts if the sodium level is _____?
sodium level >130mg then fluid restriction and 2g of sodium chloride tablets
47
What is the treatment for acute symptomatic hyponatremia (duration less than 48 hours)?
3% hypertonic saline 100 mL over 10 minutes.
48
What drugs can cause noninfectious myocarditis?
Clozapine, methyldopa, isoniazid, and phenytoin.
49
What type of fungal lung infection can present with raised, verrucous lesions on the skin that mimic squamous cell carcinoma?
blastomycosis
50
Where in the US is blastomycosis most likely to be found?
which commonly lives in environments with moist soil and decomposing wood and leaves. In the United States, blastomycosis infections are mostly found in the south-central and midwestern states, including the Ohio and Mississippi River valleys, the Great Lakes region, and the Saint Lawrence River region
51
Dog sitting in NC or Oklahoma. What dx should you think of? What is the vector?
Rocky Mountain spotted fever adult female American dog tick Dermacentor variabilis
52
anemia of chronic disease, what lab finding will be elevated?
high ferritin
53
What drug class is tiotropium?
LAMA
54
What drug class is ipratropium?
SAMA
55
diffuse reticular opacities. What is another name? What dx?
"honeycombing" or ground-glass opacities idiopathic pulmonary fibrosis
56
What are the PE findings associated with idiopathic pulmonary fibrosis? What will PFT show?
clubbing of the fingers inspiratory crackles PFTs will be consistent with restrictive lung disease
57
What are the best treatment options for a pt with idiopathic pulmonary fibrosis?
supplemental oxygen and pulm rehab
58
Infant with chlyamydia pneumonia, what is the key PE finding?
staccato cough
59
What 2 types of hepatitis are associated with polyarteritis nodosa?
hep B and hep C
60
Describe a starburst livedo? What dx is it pathognomonic for?
painful violaceous plaques that are surrounded by livedo reticularis polyarteritis nodosa
61
HIV + pt, prophylaxis abx who is allergic to sulfa. What abx?
dapsone 100mg qd
62
At what CD4 count do you need to start abx prophlaxis?
when the CD4 count falls under 200 start bactrim
63
Scleroderma presentation who smokes and has raynaud phenomenon. What clinical intervention is recommended first?
smoking cessation can offer assistance with varenicline (Chantix), nicotine replacement and bupropion
64
IBS diarrhea predominant, what is first line meds? What if pt tries and fails first line meds?
first line med: hyoscyamine or dicyclomine second line: d/c antispasmodic agent and start TCA
65
What is the MC cause of superior vena cava syndrome?
malignancy tumor into the SVC or external compression from an adjacent tumor
66
How will polyarteritis nodosa present?
systemic necrotizing vasculitis of medium-sized vessels Clinical onset is insidious, with fever, malaise, weight loss, and generalized weakness, and may exhibit pain in the extremities or neuropathy. The most common skin presentation is ulceration of the lower extremity, usually near the malleoli. Skin findings may also include livedo reticularis, subcutaneous nodules, and digital gangrene.
67
What finding is this CT scan showing? What additional dx is it strongly associated with?
thymoma myasthenia gravis
68
BCR-ABL1 gene. What is another name for it? What dx?
Philadelphia chromosome CML
69
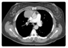
Name the finding shown. What dx?
calcifications of the peripheral hilar lymph nodes, described as eggshell calcifications silicosis
70
What occupational exposures are associated with silicosis?
stonecutting, rock mining, quarrying, sandblasting, and pottery making
71
What occupational exposures are associated with absestos?
insulation brakes shipbuilding construction
72
What will the salivary gland bx show in a pt with Sjogren syndrome?
mononuclear cell infiltration (specifically T cells)
73
What is the skin finding present on the penis present in secondary syphilis?
condylomata lata (flat, grayish plaques)
74
What BP med is most likely to cause hyercalcemia?
hydrochlorothiazide
75
Metformin is in what drug class?
biguanides
76
What is the underlying cause of immune thrombocytopenic purpura?
sensitized IgG autoantibodies platelets are attacked by antibodies that are removed by the spleen, may need splenectomy
77
subacute endocarditis and the blood culture shows strep bovis. What test should you order next?
colonoscopy prompt concern for colon cancer
78
What are the classic findings of spontaneous bacterial peritonitis?
fever, abdominal pain, confusion and diarrhea
79
CXR of pt with bronchitis, will be normal or show _________
interstitial markings
80
What is the first line medication of paget disease of the bone?
bisphosphonate aka alendronate
81
Which pneumococcal vaccine is recommended for immunocompromised pts?
pneumococcal conjugate 20
82
Bx shows "panarteritis affecting the media with CD+ and macrophages." What dx?
temporal arteritis
83
A CT scan of his chest showed a dense, well-circumscribed lesion with a surrounding halo of ground glass attenuation with air-crescent sign with a cavity. What pathogen should you be thinking of?
aspergillosis CT scan is consistent with a fungal ball
84
Polycystic kidney disease is associated with what heart valve condition?
mitral valve prolapse
85
How is polycystic kidney disease inherited?
autosomal dominant
86
What kind of vision loss is expected in a pt with a pituitary macroadenoma?
bitemporal hemianopsia
87
What surgical procedure can eradicate the carrier state of Salmonella and is an alternative to treatment with ciprofloxacin?
cholecystectomy salmonella can colonize in the gallbladder and the carrier will spread it asymptomatically
88
What is the MC pathogen that is responsible for SUBACUTE bacterial endocarditis? Define subacute
strep viridans subacute: Subacute bacterial endocarditis has an indolent presentation, and symptoms may develop over the course of FOUR weeks.
89
What is the difference in presentation between acute and subacute bacterial endocarditis?
acute endocarditis are toxic, with symptoms including acute malaise, shaking, chills, evidence of embolic disease, and a high fever greater than 102°F. Subacute bacterial endocarditis has an indolent presentation, and symptoms may develop over the course of FOUR weeks, may have low grade fever
90
What pathogen is associated with bacterial endocarditis following a dental procedure/tooth decay?
strep viridans
91
What 2 pathogens are associated with ACUTE bacterial endocarditis?
staph aureus strep pyogenes (strep A)
92
Which heart valve is most commonly affected in cases of bacterial endocarditis?
mitral valve
93
What 2 lab findings will be elevated in both polymyositis and dermatomyositis?
elevated serum levels of aldolase and creatine phosphokinase
94
What 2 aspects of lupus does hydroxychloroquine aim to treat?
specifically to treat the skin lesions and joint pain associated with the disease
95
Name the finding shown in this xray. What dx is it associated with?
candle flame or blade of grass sign Paget disease
96
What cranial nerves are involved with taste?
VII, IX and X
97
What are the 2 tests to dx congenital hypothyroidism?
total T4 and thyrotropin
98
warfarin induced skin necrosis should make you think of what dx?
protein C deficiency
99
______ is the most common cardio finding in individuals with lupus
pericarditis
100