Lateral View Flashcards

(8 cards)

1
Q

What diaphragms should be visible in the lateral view?

A

Both diaphragms should be recognizable in the lateral chest. If you do not see one diaphragm it means that there is either a pleural effusion or lower lobe disease on that side.

How well did you know this?
1
Not at all
2
3
4
5
Perfectly
2
Q

Where is fluid detected first in the lateral view?

A

Costophrenic Angle

How well did you know this?
1
Not at all
2
3
4
5
Perfectly
3
Q

What divides the mediastinum into superior and inferior?

A

Mediastinum is divided into superior and inferior by the horizontal line drawn at Louis’ angle.

How well did you know this?
1
Not at all
2
3
4
5
Perfectly
4
Q

Anterior Mediastinum

A

Anterior mediastinum is anterior to heart in the retrosternal space.

How well did you know this?
1
Not at all
2
3
4
5
Perfectly
5
Q

Posterior Mediastinum

A

Posterior mediastinum is behind the heart. This could be divided into pre vertebral and para vertebral.

How well did you know this?
1
Not at all
2
3
4
5
Perfectly
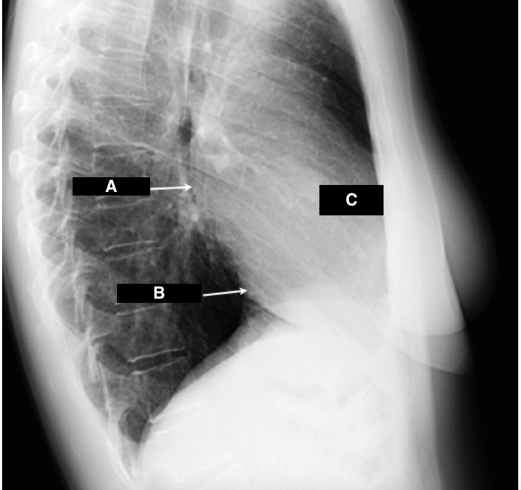
6
Q

Identify A, B, C.

A

A - Left Atrium

B - Left Ventricle

C - Right Ventricle

How well did you know this?
1
Not at all
2
3
4
5
Perfectly
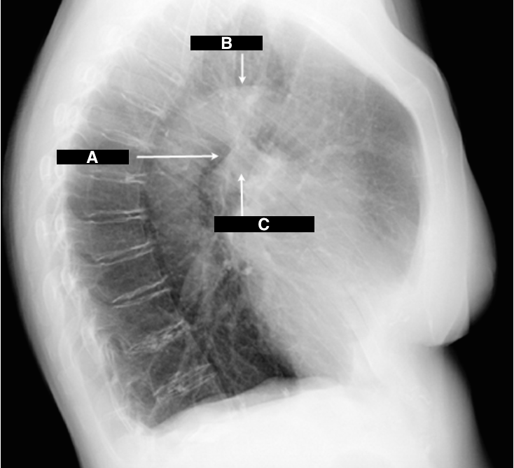
7
Q

Identify A, B, C

A

A - AP Window

B - Aortic Arch

C - Pulmonic Arch

How well did you know this?
1
Not at all
2
3
4
5
Perfectly
8
Q

What should the position of the arms be for a laterla chest X-ray?

A

Arms should be elevated above the head for a good lateral chest.

How well did you know this?
1
Not at all
2
3
4
5
Perfectly