LEUCEMIA CEL PELUDAS Flashcards

(9 cards)

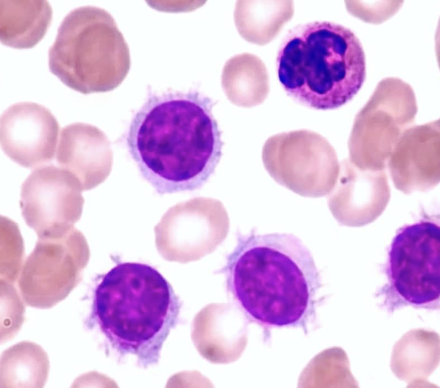
1
Q

Célula proliferante característica.

A

Linfocito B maduro “peludo”.

How well did you know this?
1
Not at all
2
3
4
5
Perfectly
2
Q

¿Mutación clásica en HCL?

A

Mutación BRAF V600E

≈ 90% de los casos

How well did you know this?
1
Not at all
2
3
4
5
Perfectly
3
Q

¿Qué produce la mutación BRAF V600E?

A

Activación constitutiva de la vía MAPK, → proliferación de células B

How well did you know this?
1
Not at all
2
3
4
5
Perfectly
4
Q

Tinción diagnóstica clásica.

A

TRAP positiva

Fosfatasa ácida resistente al tartrato (TRAP) positiva

How well did you know this?
1
Not at all
2
3
4
5
Perfectly
5
Q

Hallazgos característicos.

A

Esplenomegalia masiva + pancitopenia + infecciones recurrentes

Infecciones por micobacterias atipicas (listeria)

How well did you know this?
1
Not at all
2
3
4
5
Perfectly
6
Q

¿Por qué hay pancitopenia en HCL?

A

Infiltración medular difusa + fibrosis → médula “seca” (dry tap)

How well did you know this?
1
Not at all
2
3
4
5
Perfectly
7
Q

¿Hay adenopatías?

A

No.

How well did you know this?
1
Not at all
2
3
4
5
Perfectly
8
Q

Tratamiento gold standard.

A

Cladribina (2-CDA)

(🚫ADA)

How well did you know this?
1
Not at all
2
3
4
5
Perfectly
9
Q
  • Principal diagnóstico diferencial de HCL:
  • ¿Cuál es la diferencia?
A
  • HCL variante (HCL-v).
  • HCL-v: NO expresa CD25
How well did you know this?
1
Not at all
2
3
4
5
Perfectly