What is the mediastinum? What is it covered with on each side? What structure does it not contain? What is one example of a structure that passes through more than one mediastinal compartment?

What is the extension of the mediastinum to the diaphragm, sternum and thoracic vertebrae?

The mediastinum extends from the superior thoracic aperture to the diaphragm inferiorly and from the sternum and costal cartilages anteriorly to the bodies of the thoracic vertebrae posteriorly.
The major structures in the mediastinum are surrounded by (5)?
What does the looseness of the connective tissue and the elasticity of the lungs and parietal pleura on each side of the mediastinum enable it to accommodate movement and which two changes in the thoracic cavity? 6 examples of those changes are?
Volume and Pressure
The division between the superior and the inferior mediastinum (the transverse thoracic plane) is defined in terms of bony body wall structures and are mostly independent of gravitational effects. The level of the viscera relative to the subdivisions of the mediastinum depends on the position of the person (i.e., gravity).
For example, When lying on one’s side, the mediastinum sags toward the lower side under the pull of gravity.
Is the following statement true or false?
Connective tissue here becomes fibrous and rigid with age; hence the mediastinal structures become less mobile.
True
The mediastinum is divided into what two parts? Explain location of those two parts.
Superior Mediastinum extends inferiorly from the superior thoracic aperture to the horizontal plane that includes the sternal angle anteriorly and passes approximately through the junction (intervertebral disc/IV disc) of the T4 and T5 vertebrae posteriorly, often referred to as the transverse thoracic plane
Inferior Mediastinum between this plane and the diaphragm is further subdivided by the pericardium into anterior, middle, and posterior parts.

What are the three subdivions of the inferior mediastinum? What constitutes the middle mediastinum?
Anterior, Middle, Posterior
When a person is supine or when a cadaver is being dissected, the viscera are at what position relative to the subdivisions of the mediastinum than when the person is upright?
More Superior

What structures are found in the superior mediastinum?
ThesuperiormediastinumcontainstheSVC,brachiocephalicveins,archoftheaorta,thoracic
duct, trachea, esophagus, thymus, vagus, left recurrent laryngeal, and phrenic nerves.
What structures are found in the anterior mediastinum?
The anterior mediastinum contains the remnants of the thymus gland, lymph nodes, and fat.
What structures are found in the posterior mediastinum?
The posterior mediastinum contains the esophagus, thoracic aorta, azygos and hemiazygos veins, thoracic duct, vagus nerves, sym- pathetic trunks, and splanchnic nerves.
A 32-year-old patient who weighs 275 lb comes to the doctor’s office. On the surface of the chest, the physician is able to locate the apex of the heart:
(A) At the level of the sternal angle
(B) In the left fourth intercostal space
(C) Intheleftfifthintercostalspace
(D) In the right fifth intercostal space
(E) Atthelevelofthexiphoidprocessofthe
sternum
The answer is C. On the surface of the chest, the apex of the heart can be located in the left fifth intercostal space slightly medial to the midclavicular (or nipple) line. The sternal angle is located at the level where the second ribs articulate with the sternum. The xiphoid proc- ess lies at the level of T10 vertebra.
A 45-year-old woman presents with a tumor confined to the posterior mediasti- num. This could result in compression of which of the following structures?
(A) Trachea
(B) Descending aorta
(C) Archoftheaorta
(D) Arch of the azygos vein
(E) Phrenicnerve
The answer is B. The descending aorta is found in the posterior mediastinum. The superior mediastinum contains the trachea and arch of the aorta, and the middle mediastinum contains the ascending aorta, arch of the azygos vein, and main bronchi. The phrenic nerve runs in the middle mediastinum.
A 17-year-old boy was involved in a gang fight, and a stab wound severed the white rami communicantes at the level of his sixth thoracic vertebra. This injury would result in degeneration of nerve cell bodies in which of the following structures?
(A) Dorsal root ganglion and anterior horn of the spinal cord
(B) Sympathetic chain ganglion and dorsal root ganglion
(C) Sympathetic chain ganglion and posterior horn of the spinal cord
(D) Dorsal root ganglion and lateral horn of the spinal cord
(E) Anterior and lateral horns of the spinalcord
The answer is D.
The white rami communicantes contain preganglionic sympathetic GVE fibers and GVA fibers whose cell bodies are located in the lateral horn of the spinal cord and the dorsal root ganglia. The sympathetic chain ganglion contains cell bodies of the postgan- glionic sympathetic nerve fibers. The anterior horn of the spinal cord contains cell bodies of the GSE fibers. The dorsal root ganglion contains cell bodies of GSA and GVA fibers.
A 75-year-old patient has been suffering from lung cancer located near the cardiac notch, a deep indentation on the lung. Which of the following lobes is most likely to be excised?
(A) Superior lobe of the right lung
(B) Middlelobeoftherightlung
(C) Inferiorlobeoftherightlung
(D) Superior lobe of the left lung
(E) Inferior lobe of the left lung
The answer is D.
The cardiac notch is a deep indentation of the anterior border of the superior lobe of the left lung. Therefore, the right lung is not involved.
A thoracentesis is performed to aspirate an abnormal accumulation of fluid in a 37-year-old patient with pleural effusion. A needle should be inserted at the midaxillary line between which of the following two ribs so as to avoid puncturing the lung?
(A) Ribs 1 and 3
(B) Ribs 3 and 5
(C) Ribs 5 and 7
(D) Ribs 7 and 9
(E) Ribs 9 and 11
The answer is D.
A thoracentesis is performed for aspiration of fluid in the pleural cavity at or posterior to the midaxillary line one or two intercostal spaces below the fluid level but not below the ninth intercostal space and, therefore, between ribs 7 and 9. Other intercos- tals spaces are not preferred.
When the individual is standing or sitting erect the levels of the viscera are at the lower position. Why is this?

This occurs because the soft structures in the mediastinum (especially the pericardium and its contents), the heart and great vessels, and the abdominal viscera supporting them sag inferiorly under the influence of gravity.
In the supine position:

When standing or sitting upright, the:
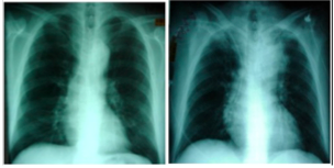
What are the two methods to study the mediastinum?
What are some common examples for widening of the mediastinum?

The superior mediastinum can be found in what position to the transverse thoracic plane? What anatomical landmark does it pass through? What is the vertebral location of the superior mediastinum?
The superior mediastinum is superior to the transverse thoracic plane, passing through the sternal angle and the junction (IV disc) of vertebrae T4 and T5.

What are the contents of the superior mediastinum from anterior to posterior?

*********thymus, veins, arteries, airway, alimentary tract, and lymphatic trunks.
