Patient has weakness on external rotation of the shoulder with the elbow bent against resistance, what muscles are affected?
What are these lumps?

Gouty Tophi
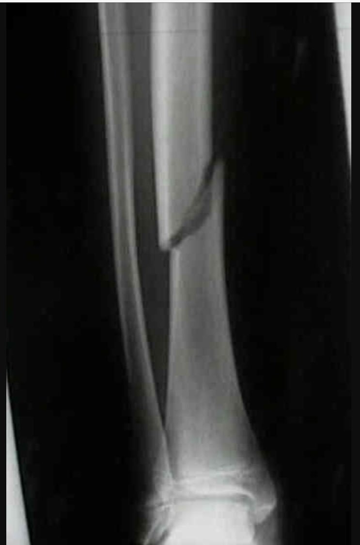
What type of fracture is this, what bone is it and what view is this?

Oblique fracture
Tibia
AP
What is this sign?

Varus deformity
What nerve innervates supraspinatus and infraspinatus?
Suprascapular nerve
What is this and what can cause it?

Winging of the scapula
-
Injury to the long thoracic nerve
Weakness of which muscle is responsible for scapula winging?
Serratus anterior
Patient has weakness initiating abduction of the arm which muscle is affected?
Supraspinatus
Who do greenstick fractures appear in?
Children
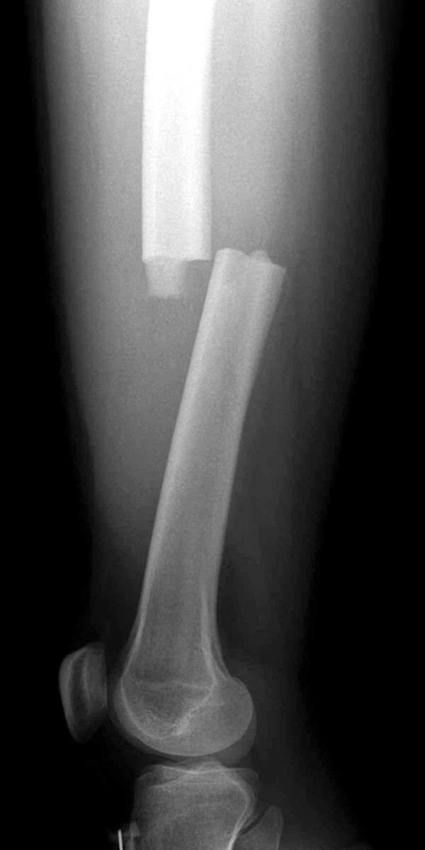
What kind of fracture is this, of what bone, what view is it taken from and describe the displacement?

Transverse Fracture
Femur
Lateral view
Posterior displacement with some shortening
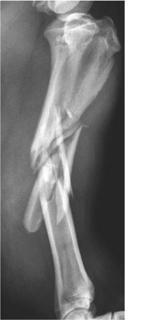
What type of fracture is this and what view is the x-ray?

Comminuted fracture (of the tibial shaft)
Lateral view
What is this?

Positive Thomas test (but in the exam you shoudl put your hand under their lumbar spine)
What is the unhappy triad?

What nerve innervates subscapularis?
Subscapular nerve
What is the deformity of the middle finger?
(bonus points for the deformity of the index finger)

Boutonniere deformity
(Swan-neck deformity)
What’s the pathology?

Thenar wasting
What type of Salter Harris is this?

Type 4 - involves all 3 parts
What can a varus deformity (or positive varus stress test) be suggestive of?
Lateral colateral ligament rupture/laxity
Joint line tenderness of the knee
Highly suggestive of meniscal tear
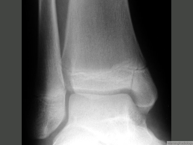
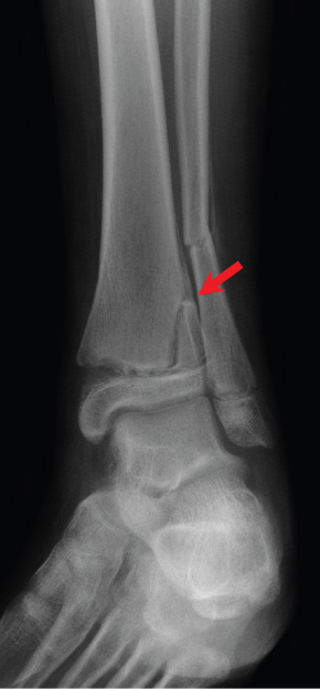
What type of Salter Harris fracture is this?

Type 2 - Down through metaphysis and then across growth plate
(most common)
What type of fracture is this?

Greenstick Fracture
The patient has weakness in the lift off test - what is the pathology?
Damage to/weakness of subscapularis
What nerve supplies the gluteus medius and gluteus minimis?
Superior gluteal nerve
What is this sign?

Dupuytren’s contracture