Neurotraumato Flashcards

(62 cards)

1
Q

un saignement entre la dure-mère et l’Arachnoide est souvent accompagné ____

A

de contusions et d’oedeme cérébrale

( Hématome sous-dural aigue!!!)

vs un hématome épidurale qui aura pas ca , mais ser tjrs accompagné fracture du crane!

How well did you know this?
1
Not at all
2
3
4
5
Perfectly
2
Q

donne 2 facteurs ESSENTIEL à évtier en tout temps dans la prise en charge de TCC

A
  • Hypoxie
  • Hypotension systémique
How well did you know this?
1
Not at all
2
3
4
5
Perfectly
3
Q

statue sur le pronostic en hématome épidurale

A

Très bon si pris en charge rapidement!!

( contrairement à hématome SOUS-dural aigue)

contrairement à ce qu’on pourrait pensé genre full big accident, avec fracture crane et hématome épidurale–) vrm bonnne récupération post craniotomie

How well did you know this?
1
Not at all
2
3
4
5
Perfectly
4
Q

un hématome épidural est tjrs accompagné…

A

de la fructure du ccrane !!! ++

How well did you know this?
1
Not at all
2
3
4
5
Perfectly
5
Q

avec herniation des amygdales cerebelleuse, donne des conséquences

A

Obstruction du bulbe ( rythme respiratoire attient, rythme cardiaque, )

Obstruction des formamens de magendie/lushka -) HYDROCÉPHALIE ( vomissements, signes méningé , troubles conscience)

quadriplégie

How well did you know this?
1
Not at all
2
3
4
5
Perfectly
6
Q

comment que tu grade la réponse visuelle patient echelle de glasgow?

A

4–) ouverture spontanée des yeux

3–) Ouverture des yeux à la demande verbale

2–) Ouverture des yeux à la stimulation douloureuse

1—) ABSENCE d’ouverture des yeux

How well did you know this?
1
Not at all
2
3
4
5
Perfectly
7
Q

décrit les signes cliniques d’embolie graisseuse

A

first

–) prend histoire de fracture osseuse ( souvent fémur ou bassin)

ou

Chirurgie orthopédique

then

présentation clinique

SI FORAMEN OVALE PERMÉABLE

–) Multiples avc cérébraux possible avec oedeme importante

donc

sx d’HTIC, ishcémie….

Si PAS de foramen ovale perméable

–)

EMBOLIE PULMONAIRE

donc

  • dyspnée
  • désaturation
  • insuffisance respiratoire dans les cas sév;re..
How well did you know this?
1
Not at all
2
3
4
5
Perfectly
8
Q

quelle est le premier signe à l’imagerie d’HTIC

A

PERTE DE LCR

donc perte des sillons et des ventricules!!!!

How well did you know this?
1
Not at all
2
3
4
5
Perfectly
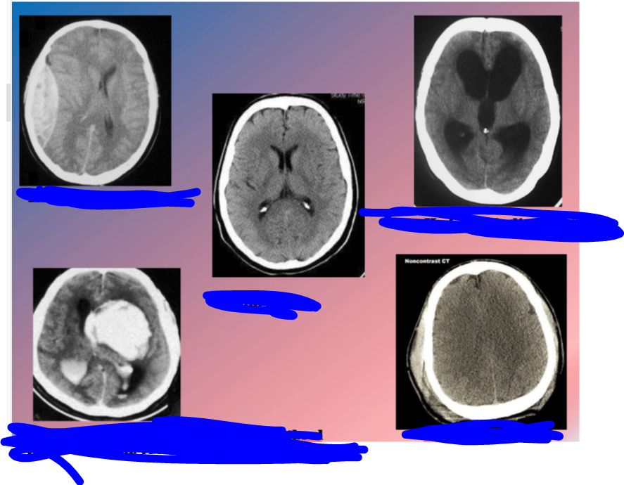
9
Q

extracuri

diagnostique moi ces 5 images là

A
How well did you know this?
1
Not at all
2
3
4
5
Perfectly
10
Q

V/f tous les TCC devrait avoir tdm dans évalution initiale

A

tdm très utile ( surtout pour signe d’HTIC),
MAIS

si léger, pis contexte clinique obvious—) genre commo cérébrale

PAS BESOIN de tdm ( juste observation clinique(

How well did you know this?
1
Not at all
2
3
4
5
Perfectly
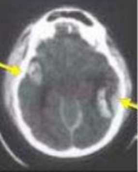
11
Q

quesqui est illustré par les fleches ?

A

COntusion cérébrale

le fameux COUP et CONTRCOUP

How well did you know this?
1
Not at all
2
3
4
5
Perfectly
12
Q

nomme les espaces des méninges

A

Épidural ( entre dure mère et crane)

sous-dural = entre dure mère et arachnoidien

Sous-arachnoidien = entre arachnoidien et pie mère

How well did you know this?
1
Not at all
2
3
4
5
Perfectly
13
Q

donne la présentation d’un syndrome centromédullaire

A

souvent geriartirie genre suite à une chute avec lésion cervicale

  • Membre supérieur ++
  • motrice>sensitif

bon pronostic:)

How well did you know this?
1
Not at all
2
3
4
5
Perfectly
14
Q

quel test d’imagerie pour traumatisme médullaire?

A

TDM ( plus pour os, poche pour tissu nerveux en dehors du cerveau) et IRM ++

How well did you know this?
1
Not at all
2
3
4
5
Perfectly
15
Q

à l’urgence si tu suspecte hématome épidurale, quesque tu va rechercher qui veut dire que faut que t,agisse vrm rapidement

A

PUPILLE DILATÉE

par compression du nerf oculomoteur

PAr lobe temporale qui est repoussé vers le bas

( HERNIAATION TRANSTenTORIELLE)

How well did you know this?
1
Not at all
2
3
4
5
Perfectly
16
Q

àca change quoi si hématome épidural veineux ou artériel?

A

Veineux - meilleur pronostic pck plus à basse pression

artériel = va évoluer vers mort ou chirurgie cause mor bad

souvent artère méningé moyenne

How well did you know this?
1
Not at all
2
3
4
5
Perfectly
17
Q

comment faire pour avoir un score maximal à l’échelle de glasGow?

A

Ouverture spontanée des yeux = 4 points

Réponse verbale orientée = 5 points

Obéissance motrice aux ordres simple = 6 points

MAx = 15 points

How well did you know this?
1
Not at all
2
3
4
5
Perfectly
18
Q

un hématome épidural au tdm va donner une forme

A

de lentille biconvexe

avec perte des ventricules du meme coté

How well did you know this?
1
Not at all
2
3
4
5
Perfectly
19
Q

donne deux trucs possible en herniation subfalcine ( symptomes)

A

Atteinte comportementale/jugement

et

faiblesses des jambes ( ACA comprimé)

How well did you know this?
1
Not at all
2
3
4
5
Perfectly
20
Q

différencie TCC selon pathophysio ( primaire vs secondaire

A

primaire= lésion cérébrale qui se produit AU MOMENT du traumatisme

secondaire = dans els minutes / heures post TCC ( ce qu’on tente d’éviter en tant que médecin)

How well did you know this?
1
Not at all
2
3
4
5
Perfectly
21
Q

v/f la relation entre le volume intracranial et la pression intracranienne est linéaire

A

NOP, vrm pas

Lcr–) is tampon , mais lorsque dépassé, c’est genre exponentielle

How well did you know this?
1
Not at all
2
3
4
5
Perfectly
22
Q

quesqui peut mener à une herniation amygdalienne

A

2 trucs

soit que c’est la continuité de transtentorielle–) centrale –) amygdalienne

ou

Lésion INFRAtentorielle ( genre hemorraagie cerebelleuse) qui descend

How well did you know this?
1
Not at all
2
3
4
5
Perfectly
23
Q

surtout chez tcc sévère , grande association TCC-____

A

polytraumatisme

How well did you know this?
1
Not at all
2
3
4
5
Perfectly
24
Q

syndrome spinal antérieur, donne la présentation

et pronostic

A

par THROMBOSE de l’art. spinale antérieur

  • Atteinte motrice complète et sensitif spinothalamique complete ( thermoalgésie et dlr)
  • PRESERVE SENSIBILITÉS de la voie lemniscal

MAUVAIS PRONOSTIC

un peu comme un avc de la moelle

How well did you know this?
1
Not at all
2
3
4
5
Perfectly
25
donne 2 trucs qui peuvent mener à l'embolie graisseuse
1. Fracture osseuse ( souvent fémur ou bassin) ou 2- CHirurgie orthopédique
26
for fun indique moi des signes de fracturee du crane
* raccooons eyes * Battle's sign * hémotympan * rhinorrhé ou otorrhée ( lcr qui s'écoule )
27
une imagerie qui monte pas grand chose, mais avec une presentation clinique inquietante te fait penser à quoi? vs une présentation clinique inquietante avec présentation clinique plutot chill
DOmmage axonale diffus ( imagerie chill) vs hématome sous-dural chronique ( patient plutot chill et pronostic bon)
28
nomme 4 types d'engagement
1. Transtentorielle ( engagement de l'uncus) 2. Subfalcine 3. Centrale 4. Amygdalienne ( tonsillar)
29
v/f une commotion cérébrale peut impliquer une amnésie, mais sera sans perte de conscience
perte de conscience possible aussi!!
30
nomme 5 facons de traiter l'HTIC
* Homéostasie du patient ( 02, biochimique, maintenir bonne pression artérielle) * POSTION du patient ( tête lit 30\*, s'Assurer que aucune pression cou empeche retour veineux) * Médication ( MANNITOL)\* * Hyperventilation\* * CHirurgie \*
31
c'est quoi test d'apnée dans le contexte?
pour déterminer mort cérébrale on arrete ventilateur pour genre 10 min et on check si prend respiration spontanée si en prend pas--) test d'Apnée positif
32
l'équivalent de l'ecchymose pour le cerveau
la CONTUSION
33
çà part genre si intubé donne l'état de conscience ( léger vs modéré...) selon le score à l'échelle de glasgow
MINIMAL= 15 ( max), sans perte de conscience , ni amnésie Léger --) 14-15, avec amnésie, ou perte de conscience brève! Modéré---) 9-13, déficit neurologique focal , ou PDC de 5 minutes Sévère--) 5-8 CRITIQUE --) 3-4 ( 3 étant le minimum possible)
34
décrit moi la perte de conscience le glasgow l'amnésie en Commo cérébrale
perte de consicence * si présente, doit durer \<30 min Amnésie post-traumatique * \< 24 h Glasgow initial * 13-15
35
pic d'incidence des TCC?
deux pics d'incidence 15-24 ans ( par accident auto et alcool) \> 65 ans --) par chute
36
compare pronostic de sous-durale aigue vs épidurale
épidurale = vrm bon pronostic post craniotomie si fait rapidement!!!! :) SOus-dural aigue---) vrm moins bon pronostic:( plus de lésions, chirurgie plus tough, cerveau plus repoussé, oedeme cérébral
37
v/f un hématome sous-dural a un mauvais pronostic
attention aigue---) true Chronique --) vrm bon pronostic !! :)
38
Donne la différence entre 2 ou 3 à l'échelle de glasgow , dans la réponse motrice
3--) réponse à la dlr en DÉCORTICATION * EXTENSION DES MEMBRES INFÉRIEURS * FLEXION des membres supérieurs 2---) RÉponse à la dlr en DÉCÉRÉBRATION * EXTENSION des quatres membres
39
pour pouvoir etre donneur d'organe, le patient doit avoir un diagnostic\_\_\_\_
de MORT CÉRÉBRALE ou de DÉCÈS CIRCULATOIRE
40
l'échelle glascow se divise en 3 catégorie , les quelles?
* Meilleure réponse visuelle * Meilleure réponse verbale * Meilleure réponse Motrice
41
42
donne des critères qui permettent d'établir la mort cérébrale
* ABSENCE de réflexe du tronc cérébral * TEST D'APNÉE POSITIF * absence de vascularistaiton du SNC ( si doute--) angiographie) * aucun facteur confondant
43
donne 4 circonstances ouu que tu va decider d'hospitaliser un TCC
* glasgow \< 15 * tdm anormal * convulsion * histoire antérieur de saignement ou de prise d'anticoagulant
44
décrit le dommage axonale diffus
* tcc très sévère * COMA clinique souvent irréversible.. * état végétatif possible * accident--) coma---) souvent reviendront pas..
45
46
donne les conséquences /symptomes qu'une herniation transtentorielle peut causer
* Compression du NC 3 ipsi ou contra ( Mydriase , oeil down and out) * Compression pédoncules cérébraux du mésencéphale ( Hémiplégie ) * Compression de l'ACP ( hémianopsie homomye contralatérale ) * si herniation très avancé ( troubles de la conscience, rythme respiratoire anormal, perte reflexe tronc ---) plus fréquent en herniation centrale je penses)
47
v/f si le la capacité tampon du lcr pour la pression est dépassé, les autres composantes peuvent pas diminué, donc la pression va augmenté exponentionelementemrnet
FAUX la pression va se mettre à augmenté exponentionneleelelement, MAIS SANG va diminuer--) ce qui mène à ISCHÉMIE
48
donne le trio qu'on retrouv souvent dans les traumatismes craniens sévères que genre si u recoit patient que tu sais pas ce qui c'est passé et que y'a ces 3 trucs là tu peux te dire que tccf sévère
* CONTUSION * HSA * Hématome sous-dural aigue
49
quesqui se passe en hématome sous-durale chronique? patient se présentera commetn?
chez personne agée petit traumatisme genre cogné sur cadre de porte déchirure veine pont, bref saignement lent--) sur un cerveau mou Bon pronostic!!
50
le classique talk and deteriorate le deteriorate se fait en ccmb de temps?
Va dans coma en 4-12 heures
51
donne 3 facteurs de risque d'hématome sous-dural chronique
1. Alcoolisme 2. personne agée 3. anticoagulation 4. traumatismes / chutes multiple ( meme si leger)
52
donne la présentation clinique classique d'un hématome entre la dure mère et le crane
hémtome ÉPIDURAL sera TJRS accompagné de fracture du crane!!! présentation talk and deteriorate * trauma primaire avec ou sans perte de conscience * Reprise de conscience et retour à la normale * diminution progressive de l'état de consciene jusqu'au coma ( 4-12h)
53
nomme 3 structures dans cerveau qui font la pression normalement
* tissu nerveux * sang * LCR
54
énumere moi 6 types de TCC primaires
* Fractures - lacération * hématome épidural * contusion cérébral * hématome sous-durale * commotion cérébral * domage axonale diffus
55
comment que tu grade la réponse verballe ( échelle de glasgow)
5--) Réponse verbale orientée 4---) réponse verbale confuse 3---) réponse verbale inapproprié 2---) réponse verbale incompréhensible 1---) ABSENCE de réponse verbale
56
àà part que croissant vs lentille biconvexe compare apparence au tdm de epidurale vs sous dual
sous-dural * pourra etre de différente couleur selon si aigue/chronique... * peut s'Étendre AU DELA des sutures craniennes!!++ * Ligne médiane du cerveau peut etre déplaceé ( je sais pas si épidurale peut faire ca )
57
donne les causes les plus fréquentes de traumatisme médullaire
à hej 60% --) accident vehicule motorisé sinon violence ( coup de couteau...) chute sports de contact
58
comment tu grade réponse motrice échelle de glasgow
6---) obéissance aux ordres simples 5---) Réponse dirigé à la douleur 4---)Retrait à la douleur 3---)réponse en DÉCORTICATION à la dlr 2---) réponse en DÉCÉRÉBRATION à la dlr 1--)ABSENCE de réponse motrice
59
dans les blessures incomplete medullaire, donne 3 syndromes
* centromédullaire * brown-sequard * spinal antérieur
60
donne dans quelle circonstance classique que ya une atteinte centro médullaire?
Suite à une chute de personne agée tombe en plein visage----) ATTEINTE DE LA MOELLE CERVICALE
61
v/f le diagnostic de deces circulatoire permet un don de plus d'organes qu'un dx de mort cérébrale
faux mort cérébrale = 8 organes deces ciculatoire = 3 organes
62