Obstrução Intestinal Flashcards

(49 cards)

1
Q

Obstrução alta =

A

delgado

How well did you know this?
1
Not at all
2
3
4
5
Perfectly
2
Q

Obstrução baixa =

A

cólon

How well did you know this?
1
Not at all
2
3
4
5
Perfectly
3
Q

Principais etiologias de obstrução intestinal alta:

A

Aderências e hérnias

How well did you know this?
1
Not at all
2
3
4
5
Perfectly
4
Q

Principais etiologias de obstrução intestinal baixa:

A

Tumores colorretais e volvo de sigmoide

How well did you know this?
1
Not at all
2
3
4
5
Perfectly
5
Q

Quadro clínico característico:

A

parada de eliminação de gases e fezes

dor abdominal

Hipertimpanismo e ruídos aumentados

How well did you know this?
1
Not at all
2
3
4
5
Perfectly
6
Q

Quanto mais proximal a obstrução, ________ vômitos e _________distensão

A

Mais/menos

How well did you know this?
1
Not at all
2
3
4
5
Perfectly
7
Q

Quanto mais proximal a obstrução, ________ vômitos e _________distensão

A

menos/mais

How well did you know this?
1
Not at all
2
3
4
5
Perfectly
8
Q

Como estará o toque retal na obstrução intestinal?

A

Ampola retal vazia

How well did you know this?
1
Not at all
2
3
4
5
Perfectly
9
Q

Diarreia paradoxal, o que é?

A

Eliminação diarreica do conteudo intestinal distal da obstrução, devido aumento intenso do peristaltismo.

How well did you know this?
1
Not at all
2
3
4
5
Perfectly
10
Q

Quando ocorre obstrução em alça fechada?

A

Quando temos uma válvula ileocecal competente e obstrução colorretal e no volvo de sigmoide

How well did you know this?
1
Not at all
2
3
4
5
Perfectly
11
Q

Conduta inicial no abdome agudo obstrutivo(5 itens)

A

Jejum

Sonda nasogástrica para descompressão

hidratação

Propedêutica básica

ATB( se necessário)

How well did you know this?
1
Not at all
2
3
4
5
Perfectly
12
Q

Qual a propedêutica básica?

A

Jejum

SNG aberta

Hidratação

Controle eletrolitico e sintomático

Exames laboratoriais e Raio x

How well did you know this?
1
Not at all
2
3
4
5
Perfectly
13
Q

Quaando realizar ATB?

A

Paciente séptico

How well did you know this?
1
Not at all
2
3
4
5
Perfectly
14
Q

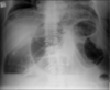
Qual o nome do sinal? Obstrução de?

A

Empilhamento de moedas

ObSTRUÇÃO DE DELGADO

How well did you know this?
1
Not at all
2
3
4
5
Perfectly
15
Q

Qual o sinal? Obstrução de?

A

Empilhamento de moedas

Delgado

How well did you know this?
1
Not at all
2
3
4
5
Perfectly
16
Q

Qual o sinal? obsstrução de?

A

Pregas não circunferenciais incompletas

Obstrução de intestino grosso

How well did you know this?
1
Not at all
2
3
4
5
Perfectly
17
Q

Qual o sinal? obstrução de?

A

Colar de contas

Obstrução de intestino grosso

How well did you know this?
1
Not at all
2
3
4
5
Perfectly
18
Q

Rotina de imagem de abdome agudo:

A

Tórax PA

Abdome AP ortostático

AP decúbito dorsal

How well did you know this?
1
Not at all
2
3
4
5
Perfectly
19
Q

Tratamento definitivo das aderências:

A

Medidas iniciais por 48h, caso não melhore: laparotomia para lise das bridas

How well did you know this?
1
Not at all
2
3
4
5
Perfectly
20
Q

Tratamento da hérnia encarcerada viável:

A

redução corúrgica e hernoplastia local com tela

21
Q

Tratamento da hérnia encarcerada inviável:

A

Inguinotomia, enterotomia segmentar e anastomose

22
Q

Está indicada redução da hérnia inguinal encarcerada.

V ou F:

23
Q

Qual o nome do sinal? O que ele significa?

A

Sinal do grão de café

Volvo de sigmoide

24
Q

Qual o nome do sinal? O que ele significa?

A

Sinal do camarão

Volvo de ceco

25
Tratamento inicial do volvo de sigmoide:
Descompressão colonoscópica e passagem de sonda retal Aguardar 48-72 horas
26
Tratamento de finitivo volvo sigmoide:
Retossigmoidectomia à Hartmann
27
Tratamento tumor colorretal paciente estável:
colectomia ou retossigmoidectomia
28
Tratamento tumor colorretal paciente instável ou grave:
Colostomia, derivação
29
Tumor de reto se beneficiam mais da:
colostomia em alça
30
Como reconhecer um transtorno funcional de obstrução intestinal?
Ruídos hidroaéreos diminuídos Fezes na ampola retal Demenciado Sem evidencia de obstrução mecanica
31
Principal causa funcional de pseudo-obstrução:
Iléo adinâmico pós-operatório
32
Qual paciente típico para desenvolver síndrome de Ogilvie?
Acamado Demenciado neuropata Pós-op
33
Tratamento síndrome de Ogilvie:
Jejum, sonda NSG, hidratação, controle do estado base Neostigmina
34
Radiografia rotina no abdome agudo:
Raio x de tórax em PA Raio x de abdome em AP Radiografia de abdome em AP: decubito
35
Colon esquerdo costuma\_\_\_\_\_\_\_\_\_(sangrar/obstruir), enquanto o colon direito costuma\_\_\_\_\_\_\_\_\_\_\_(sangrar/obstruir)
Obstruir Sangrar
36
Cirurgia no cancer colorretal obstrutivo:
Tumor alto, intraperitoneal + ressecção facil e paciente bem = retossigmoidectomia do lado esquerdo ou colectomia direita se for do lado direito Tumor baixo extraperitoneal de dificil ressecção ou paciente instavel: Hartmann(sem anastomose) ou derivação(colostomia em alça)
37
Tratamento volvo de ceco:
hemicolectomia direita
38
Obstrução funcional vs mecanica:
Funcional tem RHA diminuido e fezes na ampola retal
39
Colostomia em alça, como é feito?
tecnica sem ressecção, na qual o intestino grosso é aberto em sua face antimesentérica e evertido. Ficam duas bocas, a distal descomprime e a proximal evacua
40
Sindrome de olgivie, tratamento clinico falhou ou ceco \> 12cm, como proceder?
neostigmina e descompressão colonoscopica se tudo falhar opera
41
Obstrução de?
delgado
42
Obstrução de?
Colon
43
Contraindicações ao tratamento clinico de abdome obstrutivo?(3)
Neoplasia de colon com obstrução total Hernia encarcerada irredutivel Ileo biliar
44
Triade clássica do volvo gástrico:
dor súbita e intensa no abdome superior ou no tórax, associada a vômitos severos, claros ou regurgitação, e incapacidade de passar uma sonda nasogástrica (triade de borchardt)
45
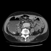
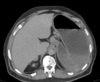
Paciente feminina, 48 anos, hipertensa e diabética tipo 2, com diagnóstico de neoplasia colorretal, submetida a tratamento cirúrgico e quimioterapia adjuvante há 8 meses. Durante o tratamento quimioterápico, apresentou importante perda ponderal, sendo seu peso atual de apenas 44 kg. Comparece ao pronto-socorro com queixa de epigastralgia, sensação de plenitude pós-prandial, saciedade precoce, náuseas e vômitos biliosos. Esses sintomas eram esporádicos, porém tornaram-se mais intensos nos últimos dias. Ao exame físico: descorada ++/4, desidratada ++/4, eupneica, afebril. FC: 98 bpm, PA: 110 x 60 mmHg, FR: 18 irpm. Abdome escavado, flácido, pouco doloroso à palpação e com distensão no andar superior, sem massas palpáveis, RHA presentes. Realizada passagem de sonda nasogástrica com saída de grande volume de estase gástrica. Exames laboratoriais: Hb: 9,5 g/dL; leuco: 10,50 mil/mm³ (sem desvio à esquerda); PCR: 10 mg/dL; K: 3,2 mmol/L, creatinina: 1,3 mg/dL; ureia: 40 mg/dL, glicemia: 163 mg/dL. Foi realizada tomografia contrastada de abdome (imagem a seguir). Em relação ao caso, qual é a principal hipótese diagnóstica?
Sindrome de wilkie, obstruindo o duodeno
46
O que é a sindrome de wilkie?
compressão da terceira porção do duodeno devido ao estreitamento do espaço entre a **artéria mesentérica superior** e a aorta
47
Fatores de risco para sindrome de wilkie?
cirurgia para escoliose e sindromes consuptivas
48
Tratamento sindrome de wilkie:
duodenojejunostomia
49
Irmão, grava uma coisa, anastomoses de jejuno e ileo valem à pena porque possuem?????
baixo risco de fistula