Oncology Flashcards

(27 cards)

1
Q

Histopath findings: Reed Sternberg Cells

A

Hodgkin Lymphoma

How well did you know this?
1
Not at all
2
3
4
5
Perfectly
2
Q

Philadelphia Chromosome- BCR-ABL fusion (9:22)

A

B-Cell ALL- POOR prognostic sign
- Poor response to chemo is the worst prognostic sign

How well did you know this?
1
Not at all
2
3
4
5
Perfectly
3
Q

Mutation- PTPN11 (associated with Noonan’s)- can be somatic or germline

A

JMML

How well did you know this?
1
Not at all
2
3
4
5
Perfectly
4
Q

GATA1 mutations/ ALL or AML

A

Down’s Syndrome/T21

How well did you know this?
1
Not at all
2
3
4
5
Perfectly
5
Q

Histopath findings: Starry sky appearance on film

A

Burkitt Lymphoma

How well did you know this?
1
Not at all
2
3
4
5
Perfectly
6
Q

Histopath findings: Auer rod

A

AML

How well did you know this?
1
Not at all
2
3
4
5
Perfectly
7
Q

Signs of VOD?

A

Jaundice and hyperbilirubinaemia
Right upper quadrant pain, generally with tender hepatomegaly.- raised transaminases
Weight gain and ascites

DDx: portal obstruction- expect splenomegaly

How well did you know this?
1
Not at all
2
3
4
5
Perfectly
8
Q

DDx anterior, posterior, superior & middle mediastinal masses

A

Posterior: Neuroblastoma (adjacent to paraspinal ganglion), thoracic meningiocele, aortic aneurysm

Superior: cystic hygroma, thymic mass, teratoma, ectopic thyroid, oesophageal lesions, AVM

Anterior: epithelial tumor, lymphoma, thymoma

Middle: lymphoma, lymphadenopathy, bronchogenic/pericardial cysts

How well did you know this?
1
Not at all
2
3
4
5
Perfectly
8
Q

Blood findings in TLS & management

A

High K
High Phos
High uric acid
Low calcium

  1. Hyperhydration/HCO3
  2. Rasburicase= promotes the conversion of uric acid to allantoin, which is less harmful and easily excreted
  3. Allopurinol = xanthine oxidase inhibitor, TLS prophylaxis
How well did you know this?
1
Not at all
2
3
4
5
Perfectly
9
Q

What patients need irradiated blood cells?

A

Patients at risk of GVHD:
* Transplant.
* Hodgkin lymphoma, aplastic anaemia.
* Monoclonal antibodies or therapeutic antibodies.
* Granulocyte transfusions.

How well did you know this?
1
Not at all
2
3
4
5
Perfectly
10
Q

Denys-Drash & Frasier syndrome and tumor associated?

A

Wilms (WT1)

  • Early-onset renal failure
  • XY gonadal dysgenesis

Frasier

How well did you know this?
1
Not at all
2
3
4
5
Perfectly
11
Q

M phase chemo drugs?

A

Vincristine/blastine
Docetaxel/paclitaxel

How well did you know this?
1
Not at all
2
3
4
5
Perfectly
12
Q

S phase chemo drugs?

A

Antimetabolites:
- Folate analoges: methotrexate
- Purine analogues: fludarabine, mercaptopurine, thioguanine
- Pyrimidine analogues: cytarabine, 5-FU

Misc: hydroxyurea

How well did you know this?
1
Not at all
2
3
4
5
Perfectly
13
Q

G2 phase chemo drugs?

A

Topoisomerase 1 inhibitors: etopaside
Bleomycin

How well did you know this?
1
Not at all
2
3
4
5
Perfectly
14
Q

G1 phase chemo drugs?

A

Asparaginase/PEG

How well did you know this?
1
Not at all
2
3
4
5
Perfectly
15
Q

Common pathogens in febrile neutropenia
(patients with Rx AML, cytarabine, awaiting transplant)

A

Strep mitis (CONS- occupies port/line)

16
Q

Chemotherapies at risk of 2nd malignancy

TAAAT

A

Topoisomerase inhibitors

Alkylating agents (cyclophosphamide)- biggest risk

Anthracyclines (doxorubicin)

Antimetabolites (MTx, thiopurine, mycophenylate)

(anti)Tubulin (vincristine)

17
Q

Cancer with highest likelihood of secondary malignancy

A

Hodgkin lymphoma- 18.5x increase

  • AML (3yrs)
  • Breast
  • Thyroid
  • Soft tissue
    (14yrs solid)
18
Q

Mutation and Ca predisposition in T21?

A

AML in Trisomy 21
* Secondary to GATA1 mutation
* 150x increased risk of AML
* Increased sensitivity to chemotherapy, survival >90% age <4years

19
Q

Favourable prognosis genes in AML

A

RUNX
CBFb-MYH
NPM
CEBPA

20
Q

Poor prognosis gene mutations in AML

A

Monosomy 5,7
FLT/ITD
KMT2A
NUP
DEK

21
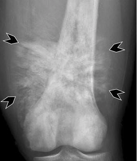
Q

Dx on this Xray?

A

Ewings sarcoma

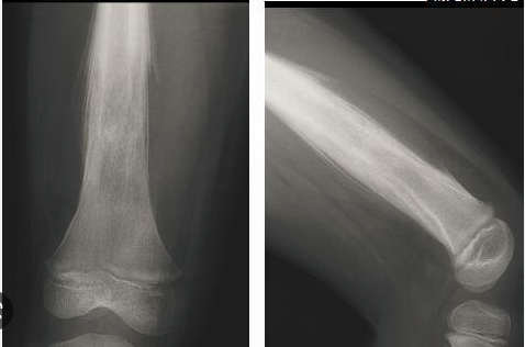
22
Q

Dx on this XR?

A

Osteosarcoma
5-25yrs, M>F
- Most common bone tumor
- Most commonly long bone metaphyses (distal femur/prox humerus, tibia, pelvis and skull)
- Formed by osteoblasts/mesenchymal cells

XR: dense sclerosis at metaphysis with soft tissue expansion- ‘sunburst appearence’

23
Q

Explain 2 hit hypothesis with retinoblastoma

A
  1. Germline mutation of one of the RB1 tumour suppressor gene
  2. Second mutation in the remaining RB1 allele of retinal cells.
24
Most important factors impacting survival for donor cell transplant in 8/8 HLA matched unrelated donor?
1. full HLA match of the donor at HLA-A, HLA-B, HLA-C and HLA-DR loci- overall survival drops 10% with each mismatch 2. Age 5.5% increase in risk for each 10yr increment 3. CMV- seronegative = better survival 4. ABO compatability not required however can lead to complications if incompatible
25
Which is more common AML/ALL? Features to suggest
ALL 75% AML 20% - Gum hypertrophy - Syndromic association Both have HSM, pancytopenia with blasts
26
Cell markers AML vs ALL
AML - CD7, 3 - MPO ALL - CD34, CD 19, CD10, CD 79a, CD33