Oncology Flashcards

(21 cards)

1
Q

Neutropenic sepsis Mx

A

Immediate iv broad spectrum antibiotics

How well did you know this?
1
Not at all
2
3
4
5
Perfectly
2
Q

To what regional lymph nodes is ovarian ca most likely to spread to initially?

A

Para-aortic nodes

How well did you know this?
1
Not at all
2
3
4
5
Perfectly
3
Q

Superior vena cava obstruction in advanced lung ca 1) features, 2) mx

A

1) SOB, progressive headache, swollen face + neck, distended veins on chest
2) Dexamethasone to reduce tumour swelling

How well did you know this?
1
Not at all
2
3
4
5
Perfectly
4
Q

What does needle biopsy of a carcinoma show?

A

Nuclei that are
- Enlarged
- Hyperchromatic
- Pleomorphic

How well did you know this?
1
Not at all
2
3
4
5
Perfectly
5
Q

What is the most likely route of tumour spreading when +ve for thyroid transcription factor-1?

A

Haematogenous

How well did you know this?
1
Not at all
2
3
4
5
Perfectly
6
Q

Bony mets v osteosarcoma

A

Bony mets
- Systemic syx
- XR: lytic/sclerotic lesions

Osteosarcoma
- Localised bone pain/swelling/tenderness
- XR: destructive lesion w sunburst appearance; often in metaphysis of long bone

How well did you know this?
1
Not at all
2
3
4
5
Perfectly
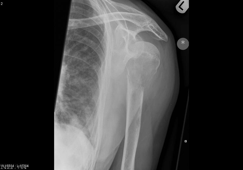
7
Q

What is this?

A

Bony mets

How well did you know this?
1
Not at all
2
3
4
5
Perfectly
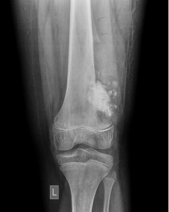
8
Q

What is this?

A

Osteosarcoma

How well did you know this?
1
Not at all
2
3
4
5
Perfectly
9
Q

Which virus is associated with SCC of the oropharynx?

A

HPV

How well did you know this?
1
Not at all
2
3
4
5
Perfectly
10
Q

What will colonoscopy show for precancerous changes which increase risk of developing colorectal ca? + Mx

A

Multiple polyps with adenomatous change & low grade dysplasia
+ panproctocolectomy (complete removal of colon, rectum & anus)

How well did you know this?
1
Not at all
2
3
4
5
Perfectly
11
Q

HCC ca marker

A

alpha-fetoprotein

How well did you know this?
1
Not at all
2
3
4
5
Perfectly
12
Q

Tumour lysis syndrome features

A
  • Recent chemo
  • Development of AKI
How well did you know this?
1
Not at all
2
3
4
5
Perfectly
13
Q

Which ix confirms TLS?

A

Serum urate
(due to release of purines from Ca cells -> metab to uric acid)

How well did you know this?
1
Not at all
2
3
4
5
Perfectly
14
Q

Most effective analgesia for mod-severe ca pain

A

Morphine sulfate continuous SC infusion

How well did you know this?
1
Not at all
2
3
4
5
Perfectly
15
Q

Initial trx for brain mets

A

Dexamethasone

How well did you know this?
1
Not at all
2
3
4
5
Perfectly
16
Q

Most common SE for radiotherapy of lung SCC?

A

Radiation-induced pneumonitis

17
Q

Liver mets - which was the most likely route of spread?

A

Haematogenously

18
Q

Diagnostic test for lower GI bleed when ?ca

A

Proctosigmoidoscopy

19
Q

Pain mx for bone metastases from solid tumours

A

IV Zoledronate

20
Q

Most common sites primary lesion for bony mets

A
  • lung
  • breast
  • prostate
21
Q

Ovarian ca tumour marker