Orthopaedics I Flashcards

(34 cards)

1
Q

Clinical features of acute [3] and chronic osteomyelitis [3] ?

A

Acute osteomyelitis:
- Pain is the most common symptom
- Warm and erythema
- Systemic symptoms

Chronic osteomyelitis:
- Tends to present only with local symptoms such as swelling, erythema and pain
- Systemic symptoms such as fever are often ABSENT
- Often secondary to DM vascular injury - diabetics with ulcers >2cm2 are very likely to have osteomyelitis, even if no bone is visible
- A draining sinus tract may be seen - this is pathognomonic of osteomyelitis

-

How well did you know this?
1
Not at all
2
3
4
5
Perfectly
2
Q
A
How well did you know this?
1
Not at all
2
3
4
5
Perfectly
3
Q

In patients with a history of intravenous drug use, what organism is the most common cause for osteomyelitis?

Salmonella spp.

S. aureus

P. aeruginosa

E. coli

A

In patients with a history of intravenous drug use, what organism is the most common cause for osteomyelitis?

Salmonella spp.

S. aureus

P. aeruginosa

E. coli

How well did you know this?
1
Not at all
2
3
4
5
Perfectly
4
Q

Investigations for osteomyeltis? [+]

A

Serology:
- Acute = raised WCC / CRP
- Chronic = often has normal WCC
- Blood cultures are positive in around half of cases

X-ray:
- Acute = first two weeks of infection may show normal
- Soft tissue swelling, osteopaenia (bone thinning), bone destruction, periosteal reaction (changes to the surface of the bone), endosteal scalloping and new bone apposition

MRI:
- Best imaging for dx
- Sequestrum: Refers to a dead piece of devitalised bone that has been separated (i.e. sequestered) due to necrosis from the surrounding bone.
- Involucrum: New growth of periosteal bone around a sequestrum.
- Cloaca: An opening in an involuvcrum that allows the internal necrotic bone and pus to discharge out.

How well did you know this?
1
Not at all
2
3
4
5
Perfectly
5
Q

Label A-C

A

Sequestrum: Refers to a dead piece of devitalised bone that has been separated (i.e. sequestered) due to necrosis from the surrounding bone.

Involucrum: New growth of periosteal bone around a sequestrum.

Cloaca: An opening in an involuvcrum that allows the internal necrotic bone and pus to discharge out.

How well did you know this?
1
Not at all
2
3
4
5
Perfectly
6
Q

Describe the difference between sequestrum vs involucrum? [1]

A

A sequestrum is the necrotic bone which has become walled off from its blood supply and can present as a nidus for chronic osteomyelitis.

An involucrum is a layer of new bone growth outside existing bone seen in osteomyelitis.

How well did you know this?
1
Not at all
2
3
4
5
Perfectly
7
Q

Describe the treatment for osteomyelitis [3]

A

Antibiotics +/- surgical debridement forms the mainstay of management.

Abx:
- Should be held until bone cultures are completed
- Guided by microbiology
- BNF: flucloxacillin for 6 weeks; possibly with rifampicin or fusidic acid added for the first 2 weeks
- Chronic osteomyelitis usually requires 3 months or more of antibiotics.
- Clindamycin in penicillin allergy
- Vancomycin or teicoplanin when treating MRSA

Surgery:
- More common in non-haem. spread
- infected necrotic bone must be removed
- Irrigation & debridement - sequestrum must be eliminated from the body, or infection is likely to recur; replace dead bone and scar tissue with vascularized tissue

How well did you know this?
1
Not at all
2
3
4
5
Perfectly
8
Q

Describe the different causes of septic arthritis

A

When septic arthritis is caused by haematogenous spread it may be a result of:
Bacterial migration from a distant site
* Abscesses and wounds
* Septicaemia

Disseminated infection
* Gonorrhoea

OR

When septic arthritis is caused by direct inoculation it may be a result of:
Iatrogenic procedures
* Joint injections (e.g. steroid injections)
* Joint arthrocentesis
* Athroscopy

Traumatic injuries
* Infected wounds around the joint
* Penetrating injuries from foreign objects

How well did you know this?
1
Not at all
2
3
4
5
Perfectly
9
Q

Describe investigations for septic arthritis? [2]

A

Joint aspiration is key and should be obtained prior to antibiotics (whenever possible):
- Also decompresses joint space
- synovial fluid appearance: often yellow/green and turbid on aspiration compared to uninfected fluid which is clear and usually colourless.
- Cultures of synovial fluid in cases of gonococcal septic arthritis yield positive results in only 25% of cases.
- Synovial fluid WCC: is often raised with neutrophil predominance. WBC: >50 000 cells/mm3 with Neutrophils: >75 %

How well did you know this?
1
Not at all
2
3
4
5
Perfectly
10
Q

The Kocher criteria for the diagnosis of septic arthritis is [4]

A

The Kocher criteria for the diagnosis of septic arthritis:
* fever >38.5 degrees C
* non-weight bearing
* raised ESR
* raised WCC

How well did you know this?
1
Not at all
2
3
4
5
Perfectly
11
Q

Describe the management plan for septic arthritis

A

First: rule out sepsis

In the management of septic arthritis in adults, according to UK guidelines, it is crucial to obtain a synovial fluid sample for analysis prior to initiating antibiotic therapy.

Empirical IV antibiotics should be given until the sensitivities are known. Often following are given:
* Flucloxacillin (often first-line)
* Clindamycin (penicillin allergy)
* Vancomycin (if MRSA is suspected)
* Ceftriaxone if gonorrhoea

Antibiotics are typically continued IV for 2 weeks before switching to PO if the patient is improving. Overall 4-6 weeks

How well did you know this?
1
Not at all
2
3
4
5
Perfectly
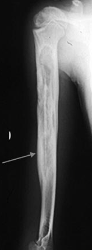
12
Q

A patient presents with ?osteomyelitis. An MRI is performed.

What does the arrow point at? [1]

A

involucrum: formation of new bone around an area of bony necrosis

How well did you know this?
1
Not at all
2
3
4
5
Perfectly
13
Q

A patient presents with ?osteomyelitis. An MRI is performed.

What does the arrow point at? [1]

A

sequestrum: devitalized bone that serves as a nidus for infection

How well did you know this?
1
Not at all
2
3
4
5
Perfectly
14
Q

Describe the positions of a sequestrum vs a involucrum [2]

A

A sequestrum is the necrotic bone which has become walled off from its blood supply and can present as a nidus for chronic osteomyelitis.

An involucrum is a layer of new bone growth outside existing bone seen in osteomyelitis.

How well did you know this?
1
Not at all
2
3
4
5
Perfectly
15
Q

State causes of secondary osteoporosis [+]

A

Endocrine:
- DM
- Cushings
- Hyperparathyroidism
- Hyperthyroidism
- Low testosterone

Malabsorptive
- IBD
- Coeliac

COPD
CKD
Chronic liver disease

How well did you know this?
1
Not at all
2
3
4
5
Perfectly
16
Q

How would you differentiate osteoporosis and osteomalacia?
- presentation [2]
- investigations [1]

A

osteomalacia may cause generalised bone pain, tenderness and myopathy
- low Ca and PO4 serum; high ALP and PTH

17
Q

Describe the treatment algorithm for osteoporosis [4]

A

First line: Bisphosphonates
- oral alendronate or risedronate weekly oral
- zoledronic acid - yearly infusion
- MOA: interfering with the way osteoclasts attach to bone, reducing their activity and the reabsorption of bone.

Second line: Denosumab:
- monoclonal antibody agaisnt RANK ligand, inhibits osteoclasts
- SC every 6 months
- can be used for osteoporosis in post-menopausal women or OP In men
- can be used for patients on steroids

Raloxifene
- Raloxifene is approved for the treatment and prevention of osteoporosis in postmenopausal women
- selective oestrogen receptor modulator (SERM)

HRT: unopposed oestrogen or O&P
- Prevention of fracture in women at high risk. It is normally reserved for use in younger women as the side effect profile is better.

Clinical scenarios
- if a patient is deemed high-risk based on a QFracture or FRAX score they should have a DEXA scan to assess bone mineral density (BMD): if T-score of - 2.5 SD or below start bisphosphinates
- A postmenopausal woman, or a man age ≥50 has a symptomatic osteoporotic vertebral fracture: above
start treatment straight away - oral bisphosphonates are used first-line e.g. alendronate or risedronate
- following a fragility fracture in women ≥ 75 years, a DEXA scan is not necessary to diagnose osteoporosis and hence commence a bisphosphonate

18
Q

Which groups are bisphosphinates CI in? [3]

A

Severe renal impairment (renally excreted)
Hypocalcaemia
Upper GI disorders

Smokers and dental disease should be cautioned because of jaw necrosis risk

19
Q

In which patient groups is raloxifene CI In? [1]

A

history of venous thromboembolism or if a patient has prolonged immobilisation due to risk of VTE

20
Q

Name three side effects of raloxifene [3]

A

Side effects include hot flushes, vaginal dryness and leg cramps.

NB: Raloxifene is a selective oestrogen receptor modulato

21
Q

Name two side effects of denosumab [2]

In which patient populations is it CI In? [3]

A

Side effects include cellulitis and hypocalcaemia

CI in hypocalcaemia and hypersensitivity and avoided in pregnancy.

23
Q

Name the clinical presentation of the hand signs of OA [5]

A

Heberden’s nodes (in the DIP joints)
Bouchard’s nodes (in the PIP joints)
Squaring at the base of the thumb (CMC joint)
Weak grip
Reduced range of motion

24
Q

NICE CG 226: Osteoarthritis in over 16s: diagnosis and management (2022) advise a clinical diagnosis (without imaging) can be made when a patient: [3]

A
  • Is 45 or over and
  • Has activity-related joint pain and
  • Has either no morning joint-related stiffness or morning stiffness that lasts no longer than 30 minutes.
25
Describe the medical management of OA
**First line:** - **NSAIDS** (topical); w/ PPI. **Hand**: topical; **Knee** - topical; **Hip** - oral **Second line:** - **oral NSAIDS** **Third line - Intra-articular injections**: - **corticosteroid** **injections** for short-term pain relief in patients with moderate-to-severe knee OA and signs of local inflammation - **Hyaluronic acid (HA)** **Surgery:** - **Hip** or **knee** **replacement** (Arthroplasty) - **Osteotomy** (realignment) ## Footnote NB: NICE guidance (NG 226) advise against hyaluronan injections (due to lack of evidence of efficacy), though some clinicians do use them, typically the patient must buy the medication privately.
26
Describe the clinical presentation of osteomalacia [+]
**Musculoskeletal Symptoms**: - **Bone pain:** Diffuse, poorly localized pain involving the lower back, hips, pelvis, and lower extremities is a common presenting symptom. Pain is typically exacerbated by weight-bearing activities and may be relieved with rest. - **Muscle weakness** - especially proximal muscle weakness - **Joint pain** **Hypocalcaemia**: - **Paresthesia**: Patients may complain of numbness or tingling sensations in their extremities due to hypocalcemia-induced neuromuscular excitability. - **Tetany**: Severe hypocalcemia can cause **carpopedal spasm**, **Chvostek**'s **sign** (facial muscle twitching), or **Trousseau**'s **sign** (carpopedal spasm induced by inflating a blood pressure cuff). **Extra-skeletal Manifestations** * **Dental abnormalities:** Defective dentin formation may lead to dental caries, enamel hypoplasia, and periodontal disease. * **Nonspecific symptoms**: Fatigue, anorexia, and weight loss may be present in patients with osteomalacia.
27
**Phenytoin**
28
Type 2 renal tubular acidosis
29
Fanconi
30
Management of Pagets? [+]
**First line: Bisphosphinates** - **Alendronic acid:** This is often the first choice due to its favourable side effect profile and cost-effectiveness. It is typically given orally. - **Pamidronate and Zoledronic acid**: These intravenous bisphosphonates may be used in patients who cannot tolerate oral bisphosphonates **Analgesics**: - Over-the-counter analgesics like **paracetamol** may be sufficient for some patients, but others may require stronger analgesics such as **opioids**. - Nonsteroidal anti-inflammatory drugs (**NSAIDs**) may be beneficial for those with **associated inflammatory arthritis.** **Surgery**: - **Pathological fractures**: These may require **surgical fixation** to allow for proper healing and to reduce pain. - **Severe osteoarthritis or joint destruction**: Joint replacement surgery may be considered in patients with severe joint damage. - **Neurological complications**: For patients with nerve compression syndromes, such as spinal stenosis, decompressive surgery may be required.
31
What are the non-musculoskeletal features of Paget's disease? [3]
Skull enlargement can lead to complications such as **hearing loss** (most commonly), thought to be due to **cochlear damage**. They may also develop **tinnitus** because of nerve compression. Rarely patients can develop **osteosarcoma** which might be suspected if their **pain levels suddenly and significantly worsens.** From a cardiac perspective, patients are more likely to develop **congestive heart failure,** particularly if more than 40% of their skeleton is affected by the condition.
32
# 1. What is the commonest clinical feature in Paget's disease?
**Asymptomatic in 90%**
33
What is the rare malignant complication of Paget's disease? [1]
**Osteosarcoma**
34