to add fluids to the semen during ejaculation to help sustain the sperm. This protects the semen against naturally occurring acids located within the vagina.
main function of the prostate gland
what are the prostates 2 periods of growth?
The first occurs during puberty when it doubles in size. Its growth then stops until about age 25. At this time, it slowly begins to grow again and for some men can become problematic once they reach their early 50s.
where do the ejaculatory ductrs drain?
what is it made up of?
what does it do?
into the prostatic urethra.
ducts from the seminal vesicles and vas dederence
fluid from SV and prostate help nourish sperm and provide a favorable environoment for them.

describe the anatomy of the prostate
Cone shaped, tapering from its base to its apex. The apex is inferior to its base
–
The bladder neck drains into the prostatic urethra
The ejaculatory ducts drain into the prostatic urethra
The apex of the prostate rests on the urogenital diaphragm

where is the prostatae located?
Posterior to symphysis pubis
•
Inferior to bladder
•
Anterior to rectum
•
Apex sits on urogenital diaphragm (muscle)
what is the normal size and volume of the prostate?
Width 4 cm
•
Length 3.8 cm
•
AP (thickness) 3 cm
•
Volume for an ellipse is L x W x H x .523
what is the elevated area in the prostatic urethra where the ED enter?
what consists of 2 saccular, enlongated organs lying cephalic to the base of the prostate
what is the Junction of the SV ducts and vas deference
Verumontanum
seminal vesicles
ejaculatory ducts

where is the prostate in relations to the urinary bladder?

which zone of the prostate:
Largest zone, containing 70% of glandular tissue
Found lateral and posterior to distal prostatic urethra
which is:
Found at the base
SV, VD ducts enter through this zone
ED pass through
Only 5% of CA occur here
which:
Small area
Located around the proximal prostatic urethra just superior to the verumantanum
peripheral
central
transitional

what is a PSA?
what does it measure?
what does it mean?
PSA or prostate specific antigen is an enzyme produced by the prostate cells. PSA levels can be used as an indicator of prostate-related diseases, especially prostate cancer
PSA assay – Is the test itself measures:
Monoclonal - Measures a single specific type of antigen
Polyclonal - Measure multiple types of prostate specific antigens
Physicians use PSA, along with other factors, to evaluate prostate health. Elevated PSA is often associated with prostate cancer, however there are other conditions that cause an increased PSA. Benign prostatic hyperplasia (BPH or enlarged prostate), prostate cancer, and prostatitis are the most common reasons for an elevated PSA. A PSA score of greater than 4.0 is generally referred for follow-up to rule out prostate cancer, and PSA scores are normally evaluated over time in order to track any unusual or sudden change in levels.
types of prostate evaluations (5)
DRE – Digital rectal exam
–
TRUS – Trans Rectal Ultrasound
–
Transperineal – Scan through the perineum
–
Transurethral – Special catheter put through the urethra
–
Suprapubic US evaluation – Need urine in bladder
what type of exam is this?

transabdominal, transverse
what is a benefit of the TRUS exam?
what type of equip is needed?
prep?
Most detailed
–
Specialized equipment
Dedicated machine (B&K in radiology)
Biplane probes – Capable of transverse and sagittal planes
–
Probe preparation:
Balloon tips / Cap
Condom
KY gel / Lidocaine gel

what plane is this?

saggital
what plane is this?

trans
what plane is this?

long
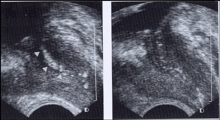
what is this showing? how can you tell?verumon

verumontanum. a trans sonogram of the normal prostate. the “eiffel tower” sign (arrowhead) is seen at the level of teh prostatic utricle.
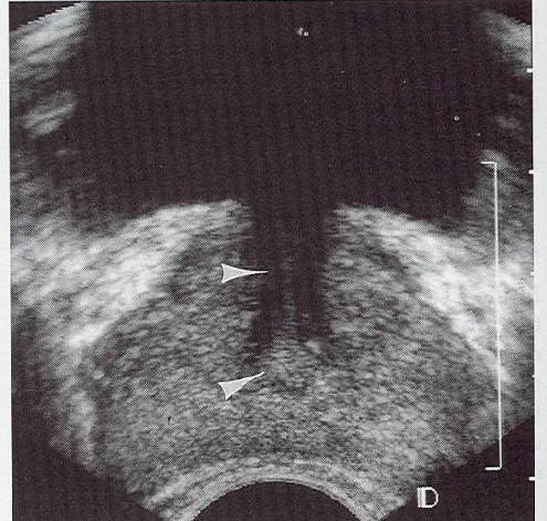
what is this showing?

seminal vesicle

describe teh following structures and tell us their function

Organs of the male reproductive system
Testes
Two oval-shaped glands located outside of the abdomen Considered essential male sex organs.
Produce sperm cells and testosterone.
Scrotum
Loose sack of skin containing the testes.
Holds testes Maintains proper temperature in the testes.
Spermatic cords
Two cords attached to the testes.
Help attach testes to scrotum Function as sperm ducts.
Epididymis
Tightly coiled tube on top of testes.
Sperm stored here to mature.
Vas deferens
Long curved tube running off the epididymis into abdominal region.
Sperm storage and transport.
Seminal vesicles
Two pouches located in pelvic region behind bladder.
Produce elements of seminal fluid, which transports and nourishes sperm.
Prostate gland
Chestnut-sized gland located below the urethra.
Produces elements of seminal fluid, which transports and nourishes sperm.
Ejaculatory ducts
Two short tubes descending through the prostate gland into the urethra.
Form merger point between the vas deferens and the seminal vesicle.
Urethra
Tube running from the bladder through the prostate to the end of the penis.
Final portion of sperm transport system. Also carries urine from body.
Bulbourethral glands
Also called Cowper’s glands Two pea-sized glands located below the prostate gland.
Secrete small amounts of seminal fluid.
Penis
Male sex organ extending out from the abdomen and comprised of erectile tissue, blood vessels and sinus cavities.
Delivers sperm into the female’s body. Eliminates urine from the body.
what are variants of the prostate?
Agenesis of the seminal vesicles
–
Cysts – Prostatic utricle, Ejaculatory duct, Mullerian duct cyst
–
Agenesis of the vas deferens
what are some indications for a prostate exam?
Urinary Symptoms - Frequency, Nocturia, Dysuria, Decrease urinary force
–
Abnormal Lab
Abnormal DRE
Pain
Hematospermia
Oligospermia
Infertility
The gland goes through two growth periods. One at puberty and a second at approximately 25 years of age. The gland often becomes enlarged and problematic for some men when they reach their early 30’s.
True / False
F - eraly 50’s
The prostate is the shape of an inverted pyramid. The pointed end of this pyramid is referred to as the _______.
The ureters drain directly into the prostatic urethra.
True / False
The ejaculatory ducts (ED) are made up of the ducts from the seminiferous tubules and the vas deferens.
True / False
apex
F
F - seminal vesicles and vas deferns
The seminal vesicles are found at the apex of the prostate.
True / False
The junction of the seminal vesicles and the vas deferens form what ducts?
The urogenital diaphragm separates the bladder neck from the base of the prostate. True / False
F - base
ejaculatory ducts
F - apex of the prostate from the base of the penis