Restrictive lung disease - Full summary Flashcards

(111 cards)

1
Q

What is meant by restrictive lung disease?

A

Any disease in which there is a reduced ability of the lungs to expand to take in air

How well did you know this?
1
Not at all
2
3
4
5
Perfectly
2
Q

What are the 2 main categories of restrictive lung disease?

A

Intrinsic
Extrinsic

How well did you know this?
1
Not at all
2
3
4
5
Perfectly
3
Q

What is meant by intrinsic restrictive lung disease?

A

Any restrictive lung disease caused by a disease of the lung itself, most commonly the alveoli

How well did you know this?
1
Not at all
2
3
4
5
Perfectly
4
Q

What is meant by extrinsic restrictive lung disease?

A

Any restrictive lung disease caused by a disease of the structures surrounding the lungs, which prevents expansion

How well did you know this?
1
Not at all
2
3
4
5
Perfectly
5
Q

How do intrinsic restrictive lung diseases affect O2 and CO2 exchange?

A

It affects the diffusion barrier and so can affect O2 intake, however, CO2 exchange will usually be unimpaired as exhalation is still normal, so CO2 is still blown off

How well did you know this?
1
Not at all
2
3
4
5
Perfectly
6
Q

What are some diseases that increase pressure on the thorax and so can cause extrinsic restrictive lung disease?

A

Obesity
Kyphoscoliosis
Ascites (Fluid in peritoneal cavity)
Diaphragmatic palsy

How well did you know this?
1
Not at all
2
3
4
5
Perfectly
7
Q

What are some ways in which diseases can cause extrinsic restrictive lung diseases?

A

Increased thoracic pressure
Reduction of thoracic muscle contraction
Pleural diseases affecting lung compliance

How well did you know this?
1
Not at all
2
3
4
5
Perfectly
8
Q

What are some diseases affecting thoracic muscle contraction that can lead to extrinsic restrictive lung disease?

A

Motor neurone disease
Myasthenia gravis

How well did you know this?
1
Not at all
2
3
4
5
Perfectly
9
Q

What are some diseases that can affect the pleura and thus cause extrinsic restrictive lung disease?

A

Diffuse pleural thickening
Mesothelioma
Large pleural effusions

How well did you know this?
1
Not at all
2
3
4
5
Perfectly
10
Q

What is the first line test performed in suspected restrictive lung disease?

A

Pulmonary function testing

How well did you know this?
1
Not at all
2
3
4
5
Perfectly
11
Q

What will be shown on pulmonary function testing (Spirometry) in restrictive lung disease?

A

A restrictive pattern:
Decreased FVC - Less air into lungs
Maintained FEV1 - Rate of contraction unaffected
Therefore FER > 80%

How well did you know this?
1
Not at all
2
3
4
5
Perfectly
12
Q

What is meant by DLCO?

A

Diffusion Capacity of the Lungs to CO

How well did you know this?
1
Not at all
2
3
4
5
Perfectly
13
Q

How is DLCO affected in those with restrictive lung disease?

A

It will be decreased below 80%

How well did you know this?
1
Not at all
2
3
4
5
Perfectly
14
Q

What are some conditions that can result in decreased DLCO?

A

Restrictive lung disease
Anaemia
Emphysema
Pulmonary oedema
Pulmonary embolism
Asthma

How well did you know this?
1
Not at all
2
3
4
5
Perfectly
15
Q

What PaO2 level shows type I respiratory failure?

A

PaO2 < 8Kpa

How well did you know this?
1
Not at all
2
3
4
5
Perfectly
16
Q

What pCO2 levels shows type II respiratory failure?

A

pCO2 > 6kPa

How well did you know this?
1
Not at all
2
3
4
5
Perfectly
17
Q

Which form of respiratory failure can be seen in restrictive lung disease?

A

Both type I or type II

How well did you know this?
1
Not at all
2
3
4
5
Perfectly
18
Q

What are some 2nd line tests that can be performed in restrictive lung disease?

A

Chest X-ray
CT scanning
Pleural ultrasound
Connective tissue screen
Vasculitis screen

How well did you know this?
1
Not at all
2
3
4
5
Perfectly
19
Q

What will be seen on blood testing in restrictive lung disease?

A

Polycythaemia from chronic hypoxia

How well did you know this?
1
Not at all
2
3
4
5
Perfectly
20
Q

What are some common symptoms of CO2 retention in restrictive lung disease?

A

Headaches
Confusion
Lethargy

How well did you know this?
1
Not at all
2
3
4
5
Perfectly
21
Q

What are some common clinical findings in restrictive lung disease?

A

Finger clubbing
Obesity
Kyphoscoliosis
Fibrotic crepitations
Signs of pleural effusion or ascites
Cyanosis

How well did you know this?
1
Not at all
2
3
4
5
Perfectly
22
Q

What are some common clinical signs of CO2 retention in restrictive lung disease?

A

Flushed skin
Bounding pulse
Rapid breathing
Premature heart beat
Muscle twitches
Flapping tremor

How well did you know this?
1
Not at all
2
3
4
5
Perfectly
23
Q

What are some lifestyle management techniques in restrictive lung disease?

A

Improved diet and exercise
Pulmonary rehabilitation
Weight loss

How well did you know this?
1
Not at all
2
3
4
5
Perfectly
24
Q

How is myasthenia graves pharmacologically treated in restrictive lung disease?

A

Pyridostigmine

How well did you know this?
1
Not at all
2
3
4
5
Perfectly
25
What are some possible surgical and clinical procedures in restrictive lung disease?
Intercostal drainage in pleural effusion Ascitic drainage in ascites Corrective spinal surgery in scoliosis Decortication in chronic empyema Diaphragmatic plication in diaphragmatic palsy Lung transplant in pulmonary fibrosis
26
What is the most common form of intrinsic restrictive lung disease?
Interstitial lung disease
27
What are the 4 main classes of interstitial lung disease?
ILD of known cause Idiopathic interstitial pneumonia Granulomatous ILD Other forms of ILD
28
What are some examples of granulomatous (Inflammatory) interstitial lung diseases?
Sarcoidosis Hypersensitivity pneumonitis
29
What is an example of a disease that falls within the "other" category of interstitial lung disease?
Lymphangioleiomyomatosis (LAM)
30
What are the 2 main classes of idiopathic pulmonary pneumonia?
Idiopathic pulmonary fibrosis Idiopathic interstitial pneumonia
31
What are some examples of idiopathic interstitial pneumonias?
Desquamative interstitial pneumonia Respiratory bronchiolitis ILD Acute interstitial pneumonia Cryptogenic organising pneumonia Non-specific interstitial pneumonia Lymphocytic interstitial pneumonia
32
What is meant by interstitial lung disease?
Any disease affecting the lung interstitial (e.g. alveoli and terminal bronchi)
33
What are some symptoms of interstitial lung disease?
Breathlessness Dry cough
34
How can symptoms of interstitial lung disease present?
Acutely Episodically Chronically
35
What type of disease is sarcoidosis?
Sarcoidosis sis a granulomatous, type 4 hypersensitivity disease of unknown cause
36
Where are the most common locations of granuloma formation in sarcoidosis?
Lungs Mediastinal lymph nodes Joints Liver Skin Eyes
37
What are some less common locations of granuloma formation in sarcoidosis?
Kidneys Brain Nerves Heart
38
Describe the pathology of granulomas in sarcoidosis
Non-caseating (Non-Cheesy)
39
Are smokers at a higher or lower risk of sarcoidosis?
Higher
40
What are the 2 main types of sarcoidosis?
Acute Chronic
41
How does acute sarcoidosis present?
Erythema nodosum Lupus pernio Bilateral hillar lymphadenopathy Arthritis Anterior chamber uveitis Glaucoma Parotitis Fever
42
What is meant by erythema nodosum?
Raised, tender nodules on the shins
43
What is meant by lupus pernio?
Raised red lesions on the face
44
How does chronic sarcoidosis present?
Lung infiltrates - Alveolitis Skin infiltrations Peripheral lymphadenopathy Hypercalcaemia
45
What is the cause of hypercalcaemia in sarcoidosis?
Vitamin C breakdown in granulomas causes an increase in Ca2+ levels
46
What are some conditions that sarcoidosis can mimic?
Lymphoma Tuberculosis Carcinoma Fungal infection
47
What is the first line test in diagnosis of sarcoidosis?
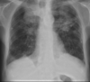
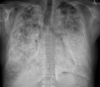
Chest X-ray to check for bilateral hilarity lymphadenopathy
48
What are some other tests that can be carried out in diagnosis of sarcoidosis?
CT scan of lungs - Nodular infiltrates Tissue biopsy for granulomas PFTs Blood tests - High ACE levels Raised Ca2+ Raised inflammatory markers
49
How should acute sarcoidosis with no end organ damage be treated?
This is usually self limiting, so no treatment is usually given
50
How should acute sarcoidosis with end organ damage be treated?
This is usually treated with oral steroids such as prednisolone
51
How is chronic sarcoidosis usually treated?
Oral steroids (e.g. prednisolone) Possible immunosuppression (e.g. methotrexate, azathioprine, anti-TNF therapy)
52
What is the old name for hypersensitivity pneumonitis?
Extrinsic Allergic Alveolitis
53
What is hypersensitivity pneumonitis?
A type III hypersensitivity reaction to an antigen deposited in the lungs, however, there can be some type IV granuloma formation
54
What causes hypersensitivity pneumonitis?
Inhaled particulates or drugs
55
What are some examples of inhaled particles that can cause hypersensitivity pneumonitis?
Thermophilic actinomycetes Avian antigens
56
What are thermophilic actinomycetes?
These are unique, high temperature aerobic bacteria
57
What are some forms of hypersensitivity pneumonitis caused by thermophilic actinomycetes?
Farmer's lung Malt worker's lung Mushroom worker's lung
58
What form of hypersensitivity pneumonitis caused by inhalation of avian antigens?
Bird fancier's lung
59
Who is most at risk of bird fancier's lung?
Those who own pet birds Those with feather down duvets or pillows
60
What are some drugs that can cause hypersensitivity pneumonitis?
Gold Bleomycin Sulphasalazine
61
What are the 2 main classes of hypersensitivity pneumonitis?
Acute Chronic
62
What are some symptoms of acute hypersensitivity pneumonitis?
Cough Breathlessness Fever Myalgia
63
When do symptoms of acute hypersensitivity pneumonitis usually occur?
Symptoms often occur several hours after exposure
64
What are some clinical signs of acute hypersensitivity pneumonitis?
Pyrexia Crackles No wheeze Hypoxia
65
What are some symptoms of chronic hypersensitivity pneumonitis?
Progressive breathlessness Progressive cough
66
What are some clinical signs of chronic hypersensitivity pneumonitis?
Possible crackles Finger clubbing (Unusual) Upper zone pulmonary fibrosis on CXR Restrictive pattern on PFTs
67
How is hypersensitivity pneumonitis diagnosed?
By identifying exposure using precipitins (IgG antibodies) to certain antigens and lung biopsy if in doubt
68
What are the treatment options for hypersensitivity pneumonitis?
Removal of stimulus Oral steroids if breathless or low gas transfer
69
What is the old name for idiopathic pulmonary fibrosis?
Cryptogenic fibrosing alveolitis
70
What is meant by idiopathic pulmonary fibrosis?
Pulmonary scarring with no identifiable cause
71
What is the suspected pathophysiology of idiopathic pulmonary fibrosis?
It is thought to be caused by an imbalance in the fibrotic repair system, causing increased laying down of collagen fibres by fibroblasts
72
Who is more at risk of idiopathic pulmonary fibrosis?
Men who smoke
73
What are some conditions that can increase the risk of idiopathic pulmonary fibrosis?
Rheumatoid arthritis Systemic lupus erythematosus Systemic sclerosis Asbestosis
74
What are some drugs that can cause idiopathic pulmonary fibrosis?
Amiodarone Busulphan Bleomycin Penicillamine Nitrofurantoin Methotrexate Hydralazine
75
What are some possible symptoms of idiopathic pulmonary fibrosis?
Progressive breathlessness over several years Dry cough
76
What are some possible clinical signs of idiopathic pulmonary fibrosis?
Finger clubbing Bilateral fine inspiratory crackles Restrictive defect on PFT Bilateral infiltrates on CXR
77
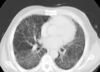
How does pulmonary fibrosis show on CT pulmonary angiogram?
"Honeycombing" Reticulonodular shadowing worse at lung bases and periphery Traction bronchiectasis
78
What are some tests that can be used in the diagnosis of idiopathic pulmonary fibrosis?
PFTs -> Restrictive pattern CXR -> Loss of definition of borders CT pulmonary angiogram
79
What are some conditions that need to be ruled out before making a diagnosis of idiopathic pulmonary fibrosis?
Occupational disease Connective tissue disease - Rheumatoid arthritis, scleroderma, Sjögren's disease, SLE Left ventricular failure Sarcoidosis Hypersensitivity pneumonitis
80
Describe the pathology of idiopathic pulmonary fibrosis?
Presence of an unusual interstitial pneumonia pattern ,with heterogenous fibrosis in alveolar walls, with fibrotic foci and destruction of architecture, with very little inflammation
81
What are some pharmacological treatment options in idiopathic pulmonary fibrosis?
Oral steroids Immunosupressants Anti-fibrotics (Prevent further fibrosis)
82
What are some examples of anti-fibrotic used in the treatment of idiopathic pulmonary fibrosis?
Pirfenidone Nintedanib
83
What are some possible side effects of pirfenidone and nintedanib?
Decreased appetite Photosensitivity
84
What is a possible surgical intervention in idiopathic pulmonary fibrosis?
Lung transplant in younger patients
85
What are pneumoconioses?
These are a group of interstitial lung diseases caused by the inhalation of environmental particles, usually occupational
86
What are the 2 main classes of pneumoconiosis?
Simple Complicated
87
What is meant by a simple pneumoconiosis?
Pneumoconiosis resulting in a chest x-ray abnormality only, with no symptoms present and no impairment of lung function
88
How will pneumoconiosis appear on X-ray?
"Egg shell" opacification
89
What is meant by complicated pneumoconiosis?
A symptomatic form of pneumoconiosis, characterised by progressive, massive fibrosis and increasing breathlessness, alongside the X-ray findings of simple pneumoconiosis
90
What infection is a patient with complicated pneumoconiosis at an increased risk of contracting?
Tuberculosis
91
What is Caplan's syndrome?
This is a form of rheumatoid pneumoconiosis in which inhalation of occupational particles also mounts an inflammatory response
92
Inhalation of what particulate causes Coal worker's pneumoconiosis?
Coal dust
93
Inhalation of what particulate causes Silicosis?
Silica dust or quartz
94
Inhalation of what particulate causes Baritosis?
Barium
95
Inhalation of what particulate causes Bird worker's pneumoconiosis?
Avian proteins
96
Inhalation of what particulate causes asbestosis?
Asbestos
97
Inhalation of what particulate causes Hot tub lung (HP)?
Mycobacterium avium
98
Inhalation of what particulate causes Coffee bean worker's pneumoconiosis?
Coffee bean proteins
99
Inhalation of what particulate causes Tobacco worker's lung (HP)?
Aspergillus sp
100
What occupations are more at risk of silicosis?
Miners Foundry workers Glass workers Boiler workers
101
What occupation is most at risk of baritosis?
Barium miners
102
What are the main uses of barium?
Radiology Industry
103
How does baritosis show on chest x-ray?
Barium is highly radiopaque so will show a large, white mass on x-ray
104
What are the main uses of asbestos?
Mining Construction Ship building Boilers Piping Automotive components such as break linings
105
What are the 3 types of asbestos?
Chrysotile - White asbestos Amosite - Brown asbestos Crocidolite - Most dangerous
106
How much exposure to asbestos is required for asbestosis to form?
At least 5 years of prolonged exposure
107
What are some common mucus and lung biopsy findings in asbestosis?
Asbestos bodies in lung tissue and sputum
108
What are the 4 main asbestos related pleural diseases?
Benign pleural plaques Acute asbestos pleuritis Pleural effusion and diffuse pleural thickening Malignant mesothelioma
109
What causes the formation of benign pleural plaques?
Inhalation of asbestos activates macrophages, which cannot break it down This causes asbestos fibres to migrate to the lung surface, therefore aggravating the pleural surface and causing plaque formation
110
What are some possible symptoms of acute asbestos pleuritis?
Inflammation of the pleura can lead to: Fever Pain Blood pleural effusion
111
In who does asbestos increase the risk of bronchial carcinoma?
Smokers