session_2_flashcards

(13 cards)

1
Q

What does this liver show?

a. Bowel metastases
b. Liver Failure
c. Macronodular cirrhosis
d. Micronodular cirrhosis
e. Nutmeg liver

A

Macronodular cirrhosis

How well did you know this?
1
Not at all
2
3
4
5
Perfectly
2
Q

A 67-year-old gentleman presents to A&E disorientated. He is unkempt and smells of alcohol. On examination, he is jaundiced, has an enlarged abdomen and spider naevi on his chest. He demonstrates a liver flap.

a. Hypoalbuminaemia
b. Hyperammonaemia
c. Hypercalcaemia
d. Hypocalcaemia
e. Hypokalaemia

A

Hyperammonaemia

How well did you know this?
1
Not at all
2
3
4
5
Perfectly
3
Q

A patient with liver disease is found to have palmar erythema, dupuytrens contracture, spider naevi and gynaecomastia. What do these signify?

a. Chronic stable liver disease
b. Hepatitis
c. Liver failure
d. Obstruction of the bile ducts
e. Portal hypertension

A

Chronic stable liver disease

How well did you know this?
1
Not at all
2
3
4
5
Perfectly
4
Q

A 72-year-old lady, wife of a long-time shipyard worker complained of chest pain, breathlessness and accompanied by loss of weight. She died shortly afterwards and a post-mortem was carried out. Pathology specimen of her lung shows the following:

What is the most common cause of this condition in the UK?

a. Alpha-1 Antitrypsin deficiency
b. Asbestos
c. Cystic Fibrosis
d. Previous bronchiectasis
e. Smoking

A

Asbestos

How well did you know this?
1
Not at all
2
3
4
5
Perfectly
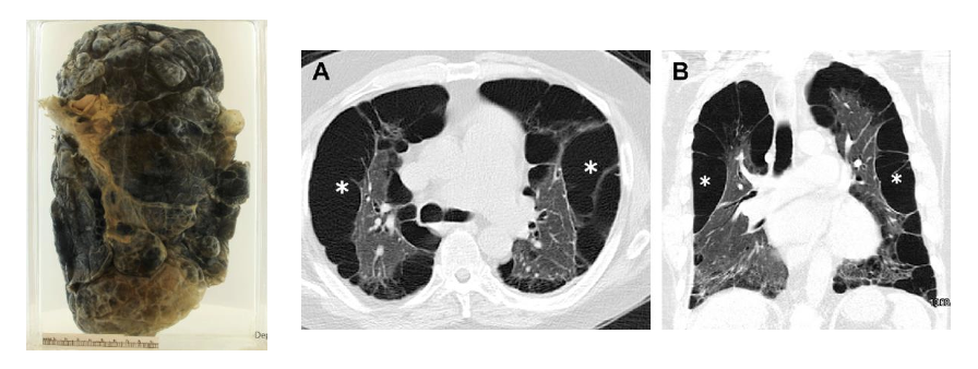
5
Q

A 77-year-old heavy smoker with progressive breathlessness and weight loss presents to A&E. He has cor pulmonale and presents in respiratory failure. He dies shortly after admission. Pathology specimen of his lung and CT scan of his chest shows the following findings.

What examination finding would you have found in this patient before death?

a. Barrel chest
b. Bronchial breathing
c. Increased tactile vocal fremitus
d. Pectus excavatum
e. Stony dullness

A

Barrel chest

How well did you know this?
1
Not at all
2
3
4
5
Perfectly
6
Q

A 9-year-old child dies after an emergency visit to hospital with respiratory symptoms. His mum mentioned that he had many episodes of purulent sputum throughout his childhood. Pathology specimen of his lung shows the following findings.

What is the most likely diagnosis?

A

Cystic fibrosis

How well did you know this?
1
Not at all
2
3
4
5
Perfectly
7
Q

A 9-year-old child dies after an emergency visit to hospital with respiratory symptoms. His mum mentioned that he had many episodes of purulent sputum throughout his childhood. Pathology specimen of his lung shows the following findings.

What is the likely organism that causes the diagnosis?

a. Escherichia coli
b. Legionella pneumophila
c. Pseudomonas aeruginosa
d. Staphylococcus aureus
e. Streptococcus pneumoniae

A

Pseudomonas aeruginosa

How well did you know this?
1
Not at all
2
3
4
5
Perfectly
8
Q

A 65-year-old man presents to A&E with shortness of breath and fatigue. He has poor adherence with his medications. Pathology specimen of his heart shows the following findings:

What is the most common cause of this pathology?

a. Amyloidosis
b. Aortic stenosis
c. Exercise related
d. Genetics – hypertrophic cardiomyopathy
e. Systemic hypertension

A

Systemic hypertension

How well did you know this?
1
Not at all
2
3
4
5
Perfectly
9
Q

A healthy 18-year-old gentleman presents to A&E with abdominal pain. His ECG is normal.

What is the rate of this ECG?

A

78

How well did you know this?
1
Not at all
2
3
4
5
Perfectly
10
Q

A 50-year-old gentleman with a background of high cholesterol presents to A&E with new onset chest-pain. An ECG is performed.

Which coronary artery is most likely to be blocked?

a. Left anterior descending
b. Left circumflex artery
c. Left coronary artery
d. Right coronary artery
e. Right marginal artery

A

Left anterior descending

How well did you know this?
1
Not at all
2
3
4
5
Perfectly
11
Q

A 75-year-old gentleman with a background of hypertension presents to rapid access chest pain clinic with new onset chest pain. An ECG is performed:

Which coronary artery is most likely to be blocked?

a. Left anterior descending
b. Left circumflex artery
c. Left coronary artery
d. Right coronary artery
e. Right marginal artery

A

Right coronary artery

How well did you know this?
1
Not at all
2
3
4
5
Perfectly
12
Q

A 67-year-old gentleman with diabetes presents to clinic for a diabetes clinic. An ECG is performed which shows the following:

What’s the most likely diagnosis?

a. Acute anterior myocardial infarction
b. Acute inferior myocardial infarction
c. Atrial fibrillation
d. Previous anterior myocardial infarction a month ago
e. Previous inferior myocardial infarction a month ago

A

Previous anterior myocardial infarction a month ago

How well did you know this?
1
Not at all
2
3
4
5
Perfectly
13
Q

A 67-year-old gentleman with diabetes presents to clinic for a diabetes clinic. An ECG is performed which shows the following:

What is the most common complication of this type of MI?

a. 2nd degree heart block
b. Atrial fibrillation
c. Complete heart block
d. Left ventricular aneurysm
e. Left ventricular failure

A

Left ventricular aneurysm

How well did you know this?
1
Not at all
2
3
4
5
Perfectly