Shoulder dislocation Flashcards

(16 cards)

1
Q

What are the 4 Rs of dislocation?

A
  • Reduce
  • Re-assess neurovascular status
  • Repair
  • Rehabilitate (Early immobilisation → Early mobilisation)
How well did you know this?
1
Not at all
2
3
4
5
Perfectly
2
Q

What are the most common causes of shoulder dislocation?

A

Shoulder dislocations are most often caused by falls on an outstretched arm or traction injuries (pulling)

How well did you know this?
1
Not at all
2
3
4
5
Perfectly
3
Q

What are the 3 main directions of shoulder dislocation?

A
  • Anterior - Common
  • Posterior
  • Inferior - Rare
How well did you know this?
1
Not at all
2
3
4
5
Perfectly
4
Q

How do anterior shoulder dislocations usually occur?

A

Anterior dislocation is usually caused by a fall with the shoulder in external rotation, causing the humeral head to move forward from the glenoid fossa

How well did you know this?
1
Not at all
2
3
4
5
Perfectly
5
Q

How do posterior shoulder dislocations usually occur?

A

Posterior shoulder dislocation is usually caused by a fall with the shoulder in internal rotation, or by a direct blow to the anterior shoulder, forcing the humeral head backwards from the glenoid fossa

How well did you know this?
1
Not at all
2
3
4
5
Perfectly
6
Q

How do inferior shoulder dislocations usually occur?

A

Inferior shoulder dislocation is caused by the arm being held in abduction

How well did you know this?
1
Not at all
2
3
4
5
Perfectly
7
Q

Who is most likely to dislocated their shoulder?

A

Young adults

How well did you know this?
1
Not at all
2
3
4
5
Perfectly
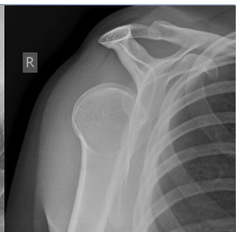
8
Q

What is shown on this X-ray?

A
How well did you know this?
1
Not at all
2
3
4
5
Perfectly
9
Q

What is shown on this X-ray?

A
How well did you know this?
1
Not at all
2
3
4
5
Perfectly
10
Q

What clinical investigations are required in shoulder dislocation?

A

X-ray
Sensory assessment of regimental badge region
Axillary nerve testing

How well did you know this?
1
Not at all
2
3
4
5
Perfectly
11
Q

What are some methods of reduction in anterior dislocation?

A

Kocher method
Hippocratic method
Stimson method

How well did you know this?
1
Not at all
2
3
4
5
Perfectly
12
Q

What is performed in the Kocher method of reducing anterior shoulder dislocation?

A

Relaxed lateral rotation followed by medial rotation

How well did you know this?
1
Not at all
2
3
4
5
Perfectly
13
Q

What is performed in the Hippocratic method of reducing anterior shoulder dislocation?

A

Patient lies supine wile the arms are pulled towards the feet

How well did you know this?
1
Not at all
2
3
4
5
Perfectly
14
Q

What is performed in the Stimson method of reducing anterior shoulder dislocation?

A

The patient lies prone with the arm hanging over the bed, where a weight is placed on the wrist

How well did you know this?
1
Not at all
2
3
4
5
Perfectly
15
Q

What may be required in cases of late found dislocation of the shoulder?

A

In longer term dislocation that has not been picked up immediately, open reduction in surgery may be required

How well did you know this?
1
Not at all
2
3
4
5
Perfectly