Expression of CK 5/6
Expression of CK 5/6
TFE3
TFE3
EPITHELIAL TUMORS THAT COEXPRESS CYTOKERATIN AND VIMENTIN
EPITHELIAL TUMORS THAT COEXPRESS CYTOKERATIN AND VIMENTIN
MESENCHYMAL TUMORS THAT COEXPRESS CYTOKERATIN AND VIMENTIN
MESENCHYMAL TUMORS THAT COEXPRESS CYTOKERATIN AND VIMENTIN
BREAST DIRECTED IMMUNOMARKERS
BREAST DIRECTED IMMUNOMARKERS
GATA3
GATA3 (nuclear)
ER Positive Tumors
ER Positive Tumors
PANEL OF IMMUNOMARKERS FOR THE DISTINCTION OF CK7+/ER+TUMORS

PANEL OF IMMUNOMARKERS FOR THE DISTINCTION OF CK7+/ER+TUMORS

GASTRO-INTESTINAL TRACT DIRECTED IMMUNOMARKERS
GASTRO-INTESTINAL TRACT DIRECTED IMMUNOMARKERS
SATB2
SATB2
CADHERIN-17 (CDH 17) LIVER-INTESTINE CADHERIN
CADHERIN-17 (CDH 17) LIVER-INTESTINE CADHERIN
LEF-1 EXPRESSION
LEF-1 EXPRESSION IN COLORECTAL TUMORS
IMMUNOMARKERS FOR GASTROINTESTINAL
TUMORS

IMMUNOMARKERS FOR GASTROINTESTINAL
TUMORS

PANCREATIC MARKERS
PANCREATIC MARKERS
DISTINCTION OF PANCREATIC DUCTAL
ADENOCARCINOMA FROM CHRONIC PANCREATITIS

DISTINCTION OF PANCREATIC DUCTAL
ADENOCARCINOMA FROM CHRONIC PANCREATITIS

LIVER DIRECTED IMMUNOMARKERS
LIVER DIRECTED IMMUNOMARKERS
HEPATOCELLULAR CARCINOMA MARKERS
HEPATOCELLULAR CARCINOMA
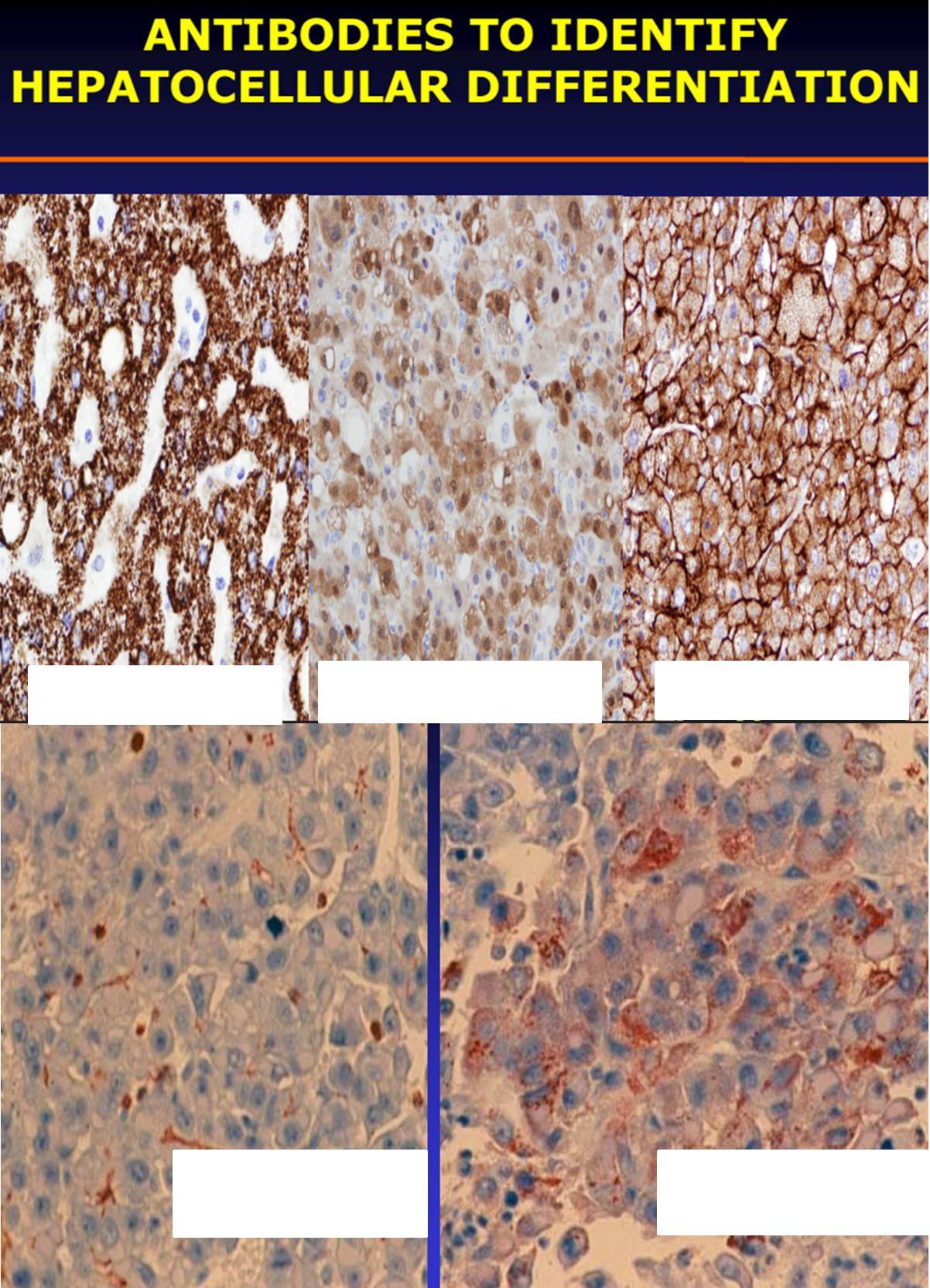
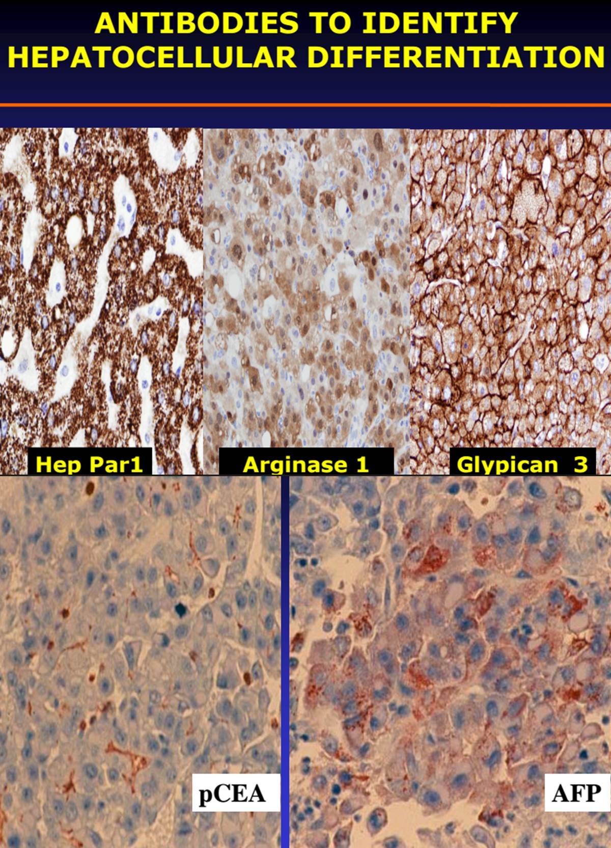
ANTIBODIES TO IDENTIFY
HEPATOCELLULAR DIFFERENTIATION

ANTIBODIES TO IDENTIFY
HEPATOCELLULAR DIFFERENTIATION

IMMUNOMARKERS FOR CONFIRMING
HEPATOCELLULAR DIFFERENTIATION

IMMUNOMARKERS FOR CONFIRMING
HEPATOCELLULAR DIFFERENTIATION

DISTINCTION OF CHOLANGIOCARCINOMA FROM METASTATIC TUMORS

DISTINCTION OF CHOLANGIOCARCINOMA FROM METASTATIC TUMORS

Metastatic Prostate Carcinoma Markers
Metastatic Prostate Carcinoma
What do these stain in addition to prostate?
What do these stain in addition to prostate?
Urothelial Carcinoma Markers
Urothelial Carcinoma
KIDNEY – DIRECTED ANTIBODIES
KIDNEY – DIRECTED ANTIBODIES