CT finding for carotid cavernous fistula
Dilated superior ophthalmic vein
Affective motor aprosodia
lesion to ____
symptoms
Portion of brain most likely to be affected with prospagnosia
Fusiform gyrus
How to differentiate Vertebral artery from carotid artery dissection:
Both have (2)
Vertebral (3)
Carotid (4 )
Both have:
Vertebral
Carotid
Compare Hunt / Hess score versus World federation of neurosurgical societies (WFNS) scale

Aneurysms of what artery are most likely to compress CN III
Posterior communicating artery
ABCD2 scoring system + 2- and 7-day risk for stroke at each risk level
Low risk (1-3)
Moderate risk (4-5)
High risk (6-7)

Mechanism of action:
Aspirin
Clopidogrel / Ticlopidine
Abciximab
Tirofiban
Eptifibatide
CODE STROKE!
Inclusion criteria (3)
Absolute Contraindications regardless of time
Contraindications if within 3-4.5 hour window
Patient with left sided ptosis has this MRI
What other features would you suspect? (8)

Breathing abnormalities and stroke
Apneustic
Ataxic
unilateral hemispheric
complete apnea
Apneustic: pontine lesion
Ataxic: Medullary (think “MAX”)
unilateral hemispheric: Cheyne-Stokes (though not specific)
complete apnea: high spinal cord lesion
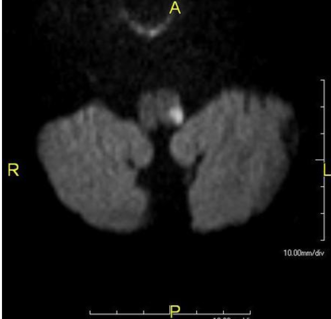
Patient presents with cerebellar ataxia, Vertigo, hearing loss, and tinnitus
What vessel was injured?
What if he didn’t have deafness?
AICA
If no deafness can also be PICA (wallenberg syndrome)
Lesion responsible for dressing apraxia
Right parietal
Contralateral Face + Arm Weakness = Damage to…
Reurrent artery of Heubner (branch of ACA)
Why isn’t hydralazine used as first-line for lowering BP in the setting of stroke?
Selective arteriolar vasodilation > reflex tachycardia > can lead to myocardial injury
ASPECT scores
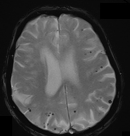
Patient with dementia has this imaging finding. What is the most common presentation of this disorder?

Cerebral amyloid angiopathy, most common presentation = spontaneous lobar hemorrhage
Strokes presenting with confabulation, memory deficits, and confabulation
Mamillary body strokes
Causes of drug-induced necrotizing central nervous sstem vasculitis
Amphetamines
Blood pressure requirements for administrating IV tpa
Initial
within 24 hours
Initial
Within 24 hours
Patient presents with transient blindness for several minutes after being exposed to bright light. History of coronary artery bypass
What is this worrisome for?
Carotid occlusive disease
Mnemonic for Lateral Medullary syndrome
Aka Wallenberg syndrome
“Look at the Water to make sure it isn’t hot, Put In (PICA) your IL hand and rub it on your CL face (CL pain/temp to body, IL pain/temp to face); This is hard because of the IL ataxia. “you can’t cry out (hoarsness), and if you could it wouldn’t make sense (IL ataxia).
Someone comes in with because he burned his right hand and didn’t know he cut his left cheek while shaving
What was damaged?
What else would you look for?
PICA (Lateral medullary syndrome)
Hoarseness
Dysarthria
IL ataxia