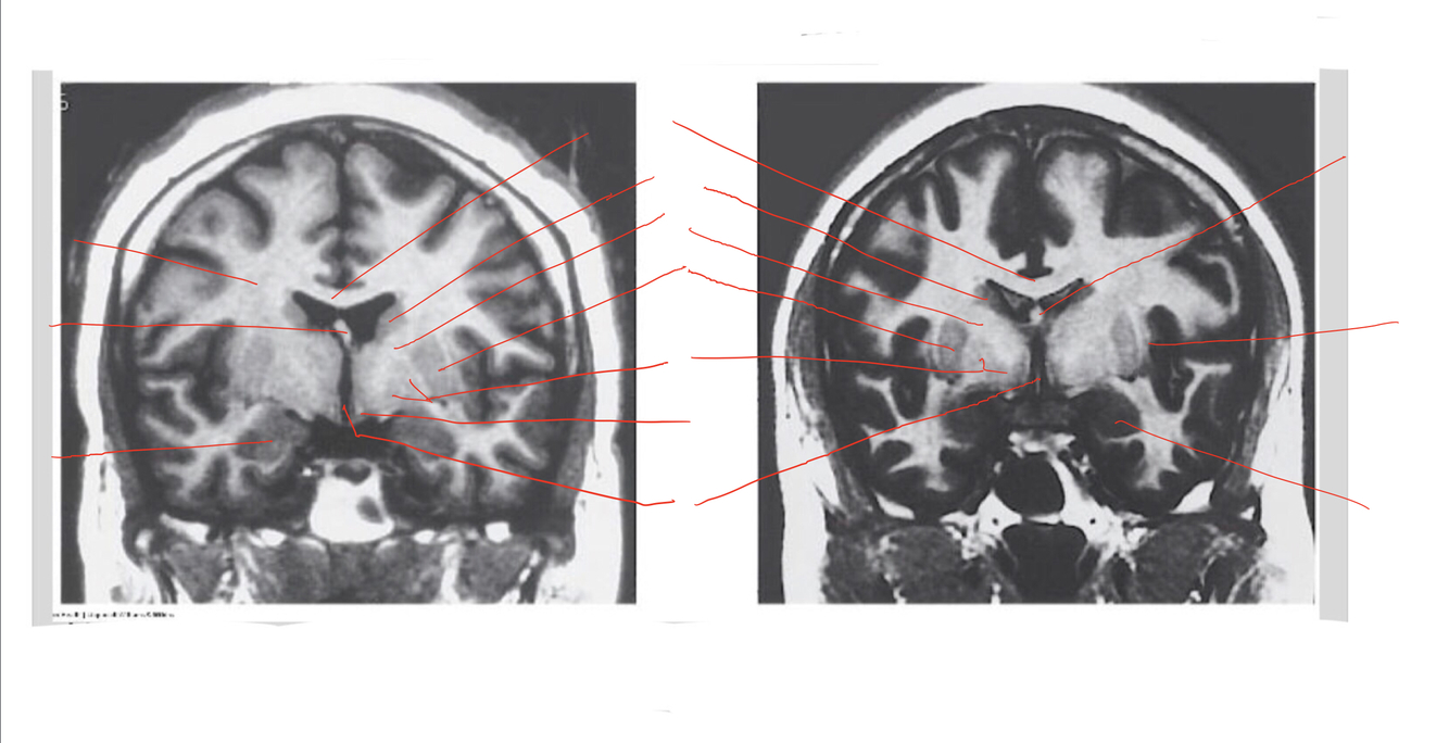
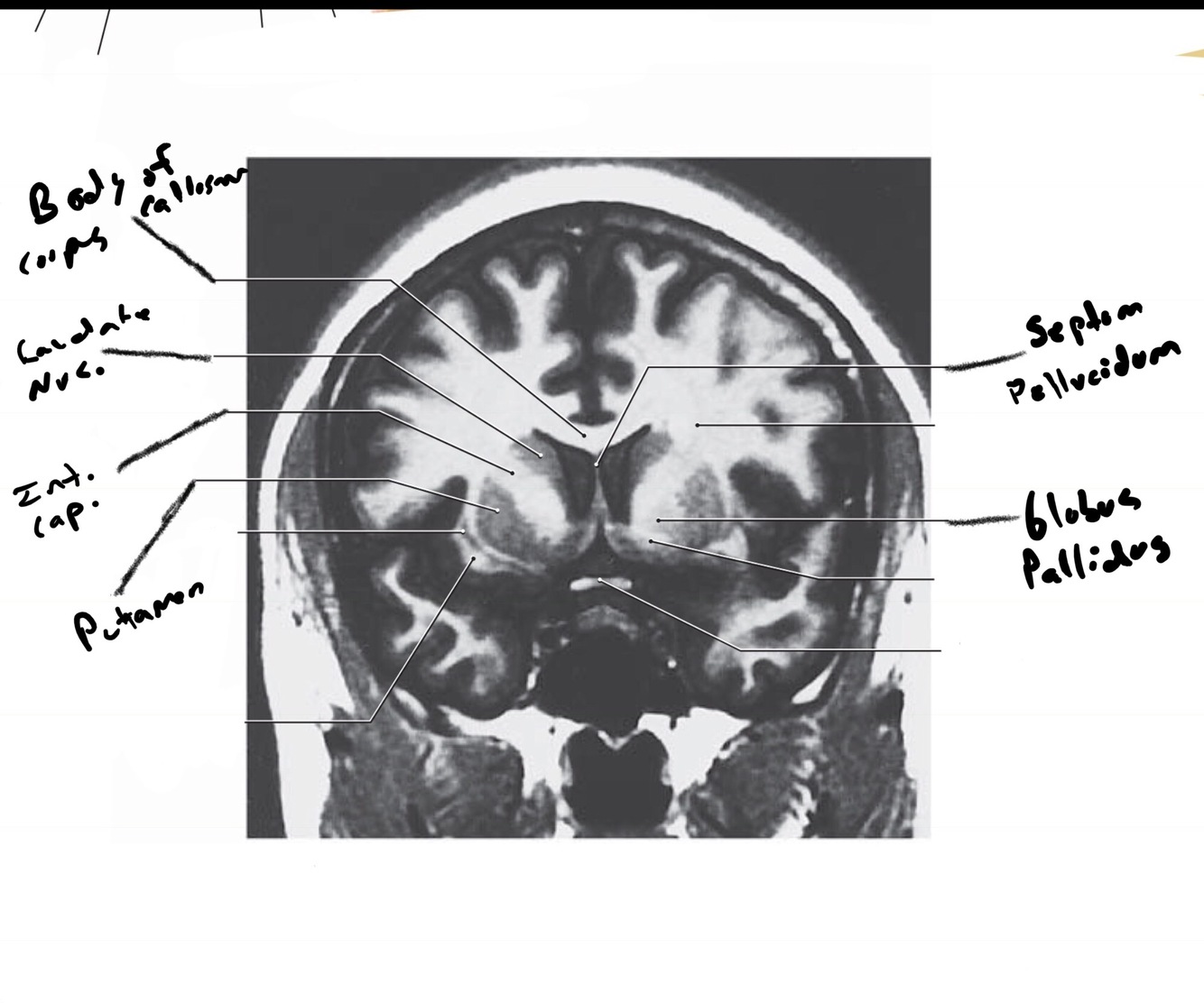
The structure indicated by the red line is?


The structure indicated by the red line is?


other format too much work….


other format too much work….


other format too much work….


The structure indicated by the red line is?


The structure indicated by the red line is?


other format too much work….


other format too much work….


The structure indicated by the red line is? BONUS: SYMPTOMS IF THERE IS A LESION

motor spatial and directed movements (role in parkinsons?)

The structure indicated by the red line is?


The structure indicated by the red line is?


other format too much work….


The structure indicated by the red line is? BONUS: SYMPTOMS IF THERE IS A LESION

Bonus: Split Brain. L and R can’t communicate. Remember the test he did in class where he made us wave? Diagnose like that b/c wernickes is on left side so you cant wave ur left

other format too much work….


The structure indicated by the red line is?


The structure indicated by the red line is?


other format too much work….


The structure indicated by the red line is?


The structure indicated by the red line is?


other format too much work….


The structure indicated by the red line is?


The structure indicated by the red line is?


The structure indicated by the red line is? BONUS: SYMPTOMS IF THERE IS A LESION

motor problems
