urinary Flashcards

(145 cards)

1
Q

anatomy urinary tract

A
  1. 2 kidneys either side spine behind caudal rib
  2. ureters for urine kidney -> bladder
  3. bladder stores urine
  4. urethra for urine bladder -> outside

kidneys not always kidney shaped

How well did you know this?
1
Not at all
2
3
4
5
Perfectly
2
Q

kidney functions

A
  1. reg fluid vol + electrolyte balance - ECF/blood press, osmolarity, ions, pH
  2. waste excretion (metabolic + foreign)
  3. prod hormones - activate D3, synth renin enz, synth erythropoietin
How well did you know this?
1
Not at all
2
3
4
5
Perfectly
3
Q

renal anatomy

A
  1. outer cortex for filtration
  2. inner medulla to collect + excrete urine

w nephrons = functional units

How well did you know this?
1
Not at all
2
3
4
5
Perfectly
4
Q

nephron structure

A
  1. renal corpuscle - prods filtrate
  2. proximal convoluted tubule, PCT - unregulated reabsorp water, ions, organic nutrients
  3. loop of henle, LoH - reabsorp ions + water + set up osmotic grad
  4. distal convoluted tubule, DCT - variable secretion + reabsorp water + ions (more reg)
  5. collecting duct - several nephrons join for variable secr + reabsorp water + ions (more reg)
  6. papillary duct delivers urine to renal pelvis

long tube, squished in reality

LoH has descending + ascending limbs
How well did you know this?
1
Not at all
2
3
4
5
Perfectly
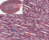
5
Q

identifying areas kidney histology

A
  1. cortex = mainly tubules w renal corpuscles
  2. medulla = only renal tubules
How well did you know this?
1
Not at all
2
3
4
5
Perfectly
6
Q

how much blood to kidneys + where from/to

A

renal arteries directly branch off aorta, giving 20-25% CO -> renal veins
* loads blood so change bp affects kidneys = damaged if high

How well did you know this?
1
Not at all
2
3
4
5
Perfectly
7
Q

artery + vein path thru kidneys

A
2 cap beds in series = cap portal sys
How well did you know this?
1
Not at all
2
3
4
5
Perfectly
8
Q

where are renal cap beds found

A
  1. glomerular caps in renal corpuscle
  2. peritubular caps around PCT then parallel to LoH
How well did you know this?
1
Not at all
2
3
4
5
Perfectly
9
Q

how incr filtration across cap bed

A
  • vasodilate precap arterioles = incr HP
  • constrict efferent to cap (at least relative to afferent)
  • incr permeability = thin + porous mem
  • large SA for filtration
How well did you know this?
1
Not at all
2
3
4
5
Perfectly
10
Q

passage of stuff for filtration out glomerular caps

A

in theory osmotic press would balance HP eventually but balance lies above pt where ever actually happens + filtr conts along length caps

How well did you know this?
1
Not at all
2
3
4
5
Perfectly
11
Q

histology edge kidney

A

renal capsule = fibrous CT w lots collagen

OLC = outer layer capsule ILC = inner layer capsule
How well did you know this?
1
Not at all
2
3
4
5
Perfectly
12
Q

initial filtrate general content

A

approximates prot free plasma w water, ions, gluc, aas, N waste products
* bigger holes but not most prots or bcs

How well did you know this?
1
Not at all
2
3
4
5
Perfectly
13
Q

glomerular filtration rate

GFR

A

vol fluid filtered from glomerular caps -> Bowman’s space per min (both kidneys)
* varies w metabolic mass
* 3ml/kg/min in dogs

measure kidney function

How well did you know this?
1
Not at all
2
3
4
5
Perfectly
14
Q

reabsorp + secr in nephron defns

A

reabsorp = returning important substances filtrate -> blood

secr = movement waste mats body -> filtrate

How well did you know this?
1
Not at all
2
3
4
5
Perfectly
15
Q

details bulk reabsorp

A

70% filtrate reabbed in PCT
* selective via prot transporters but mostly unregulated (no hormonal control)
* active + passive

How well did you know this?
1
Not at all
2
3
4
5
Perfectly
16
Q

path tubular reabsorp

A

filtrate -> renal insterstitium -> renal bvs -> body circulation

How well did you know this?
1
Not at all
2
3
4
5
Perfectly
17
Q

tubule cells of PCT specialisations

A
  • microvilli on apical mem incr SA reabsorp (ONLY PCT)
  • lots Na+K+ATPase on basolateral mem
  • lots carbonic anhydrase
How well did you know this?
1
Not at all
2
3
4
5
Perfectly
18
Q

types absorp in PCT

A
  1. transcellular = thru tubule cells, AT into cell + out
  2. paracellular = thru tight junctions bet tubule cells, diffusion

diffusion ISF -> blood in peritubular cap

How well did you know this?
1
Not at all
2
3
4
5
Perfectly
19
Q

how does transcellular absorp Na+ in PCT work

A
  1. Na+ AT over basolateral mem tubule cell -> ISF
  2. sets up Na+ grad (low conc in cell) so Na+ tubule lumen -> tubule cell

Na+K+ATPase pump

How well did you know this?
1
Not at all
2
3
4
5
Perfectly
20
Q

result of Na+ AT out tubule lumen -> blood

A
  • neg Cl- follows down electrochem grad
  • solutes set up osmotic grad = water follows by osmosis
  • bulk movement water =:
    1. solvent drag as brings other solutes from filtrate -> caps
    2. diffusion as sets up conc grads passive diff solutes (bc less water in lumen)

mostly thru prot channels = selective

How well did you know this?
1
Not at all
2
3
4
5
Perfectly
21
Q

how are substances reabsorbed PCT

A

apical symport prot w Na+ filtrate -> tubule cell (2AT)
basolateral fac diff carrier ion exchanger cell -> ISF down conc grad

e.g. Na-gluc symporter + gluc fac diff transporter (+ need Na+K+ATPase)

How well did you know this?
1
Not at all
2
3
4
5
Perfectly
22
Q

which substances reabsorbed in PCT by 2AT w Na+

A
  • gluc
  • aas
  • lactate
  • citric acid cycle intermediates
  • phosphate
  • sulphate
How well did you know this?
1
Not at all
2
3
4
5
Perfectly
23
Q

how much gluc -> PCT

A

freely filtered - depends plasma conc for rate bc diffusion, but no limit

How well did you know this?
1
Not at all
2
3
4
5
Perfectly
24
Q

how much gluc reabsorbed from PCT

A

depends:
* rate filtrate flow
* no. prot transporters - if saturate

How well did you know this?
1
Not at all
2
3
4
5
Perfectly
25
is gluc excreted
normally no bc all reabsorbed, only if renal threshold reached if overwhelming amount gluc = gluc in filtrate = glucosuria
26
how is phosphate reabsorbed PCT
Na+ co-transport BUT hormonally regged by parathyroid hormone * PTH reduces reabsorp = incr excretion
27
adaptations PCT incr reabsorp
* large SA * single layer epithelial cells * high conc Na+K+ATPase * high conc carbonic anhydrase * peritubular caps high oncotic press (bc just lost loads fluid in corpuscle
28
why are environmental toxins lipid soluble
= readily cross mems so as fluid -> blood also -> blood down conc grad = hard excrete | this is why liver converts many foreign substances -> water sol = detoxi
29
details of secretion
always active - substances must be ionised to pump across mem thru channs
30
secr H+ in PCT
1. 2AT Na+H+ exchanger apical mem * some bind non-bicarb buffers + excreted in urine 2. 2AT NH4+ Na+ antiporter apical mem * from aas combined w H+ make NH4+ | all unregged
31
reabsorp bicarb PCT how + why
no prot carrier apical mem = impermeable to bicarb * reabsorp linked to H+ secr * need lots carbonic anhydrase enz bc bicarb super important buffer in bod + don't want to lose H+ + HCO3- AT = = v lil change urine pH | if H+ in lumen binds non-bicarb buffer then secreted in urine
32
what else is secreted in PCT
*ionised* organic acids/bases * e.g. prot-bound organic mols - hormones, drugs, environ pollutants non-specific organic anion/cation transporters
33
how much of diff stuff has been reabsorbed by end PCT
* 100% gluc + aas * 70% water, Na+, K+ * 80-90% HCO3- * other ions + stuff variable
34
osmolarity along nephron
1. mostly same along PCT bc loads solutes etc out but also loads water out 2. DCT = decr vol + diff composition to prot free plasma 3. urine output varies in vol + osmolarity
35
renal medulla osmotic grad
osmolarity incr as go into medulla from that of prot free plasma (ISF becomes more hyperosmotic) * determines limits for urine osmolarity + conc * varies specied to species
36
what does ability to conc urine depend on
relative length LoH + no. juxta medullary nephrons
37
why have medullary osmotic grad
need conc grad to move water by osmosis against
38
how does LoH make osmotic grad
1. descending no ion pumps but lots aquaporins (v permeable water) 2. all ascending impermeable to water (= no solvent drag) 3. AT ions out thick ascending = osmosis water out descending -> ISF (bc ISF hyperosmotic) 4. water out = incr conc filtrate 5. fluid flow = higher osmolarity further down tube = more extreme = osmotic grad multiplies down tube | controls conc urine by expression aquaporins
39
cap network round juxtamedullary LoH
= vasa recta (specialised peritubular caps) to supply O2, nutrients -> medulla * parallel to limbs LoH * blood flows opp direction to filtrate * hairpin loop slows Robloodflow
40
how does countercurrent multiplication LoH work
as down takes solutes (= more concd), as up takes water (less concd) - free exchange blood + ISF * accentuates conc diff bet cortex + medulla
41
why need countercurrent multiplication LoH
if normal cap bed exchange blood + ISF fuck up osmotic grad
42
how else maintain osmotic grad in medulla
N waste urea freely filtered = incr conc in filtrate bc less water (v high in collecting duct) * urea channs in medulla allow CD -> ISF -> recaptured in descending LoH incr osmolarity in medulla (hyperosmotic ISF) = incr conc grad
43
what does ADH do in urea recycling
upregs urea channs in CD = more passive flow -> ISF + descending LoH
44
how is ADH released
antidiuretic hormone released posterior pituitary: 1. made + packaged in neuron 2. vesicles transported down cell 3. stored posterior pituitary 4. released into blood -> circulate
45
how does ADH work
1. ADH binds specific mem receptor on sensitive principal cells in CD 2. activates cAMP 2nd messenger sys 3. cell inserts aquaporins apical mem 4. water osmosis -> blood (can't AT water) | endocrine control water balance
46
Na + K status at start DCT
Na = 100% filtered, 70% reabsorb in PCT, 20% in LoH K = 100% filtered, 70% reabsorb PCT, 30% in LoH
47
movement Na+ + K+ in DCT + CD
* Na+K+ATPase on basolateral mem maintains grads * leak channs on apical mem = passive diffusion bet filtrate + principal cells
48
principal cells vs tubular cells
1. DCT/CD vs PCT 2. both have asymmetrical arrangement Na+K+ATPase 3. no microvilli principal bc lower vol 4. principal cells impermeable to water w/o ADH = doesn't always follow Na+ but does in PCT 5. principal responsive ADH + aldosterone
49
how does aldosterone work
1. incr activity channs + pumps (K+Na+ATPase, leak channs) 2. synth new channs + pumps intracellular receptor to upreg movement K+ + Na+ - important K+ homeostasis = incr reabsorp Na+ = more water reabsorp osmosis incr blood vol incr SV but decr [K+] in blood (also stimmed incr [K+] | fat sol hormone = can enter cell easy
50
phosphate filtration + reabsorp
* 100% freely filtered * reabsorp PCT Na+ co-transport hormonal control * no reabsorp DCT/CD * dietary excess excreted (lots)
51
calcium filtration + reabsorp
* 50% bound albumin so only 50% freely filtered * 70% reabsorb PCT * selective reabsorp in DCT/CD hormonal control (PTH incr reabsorp) * relatively small amount excreted
52
how does parathyroid hormone work
released in response decr [Ca2+] in blood - decr reabsorp P in PCT, incr Ca2+ in LoH, DCT, CD
53
kidney cortex histology
DCT = cleaner edges bc no microvilli
54
kidney medulla histology
CD = cuboidal epithelium
55
what has been completely reabsorbed at start DCT
K + HCO3- bbut homeostatic mechs can lead secr back -> filtrate
56
effect renal blood flow on GFR
incr = higher, decr = lower, by incr/decr glomerular cap press (regged by afferent/efferent arterioles)
57
GFR too high/low result
too high: too much filtrate, incr urine (sys no keep up). incr flow rate = no time reabsorp + stuff lost in urine too low: too little filtrate = decr flow = some waste has time reabsorb, accumulate in bod, not excreted | v important + has be protected
58
why autoreg GFR
bp up + down w exercise etc but want GFR constant - would damage caps + nephrons + mess up balance in blood * so afferent arteriole constricts (GFR decr)/dilates (incr) | can't rectify extreme bp or prolonged - small/moderate changes bp
59
2 mechs for autoreg GFR
1. myogenic response - to change in afferent bp 2. tubuloglomerular feedback - to change in [Na] in LoH, reps filtrate vol
60
myogenic response
stretch-sensitive musc cells detect incr bp = vasoconstrict vascular myocytes afferent arteriole = decr blood flow, decr HP, prevent GFR incr | + vice versa, v fast bc change where detection
61
juxtamedullary apparatus
ascending LoH runs bet afferent + efferent bvs + adjacent cells in walls modified form JMA = specialised cels for detection * arteriole cells -> juxtaglomerular cells * tubule cells -> macula densa
62
histology renal corpuscle
JGA = dense grp cells
63
tubuloglomerular feedback
1. macula densa cells detect changes [Na] + so fluid vol 2. send paracrine signals to adjacent sm myocytes in afferent arteriole 3. = vasoconstr/dil macula densa also stim release renin from JG cells for RAAS | slower, indirect response, detecting incr/decr in GFR
64
effects angiotensin II
1. adrenal cortex -> aldosterone -> Na reabsorb 2. pit gland -> ADH 3. arterioles vasoconstruct incr TPR 4. CV centre medulla oblongata incr symp (incr CO) 5. hypothalamus incr thirst + ADH all incr bp (some via incr plasma vol) | overrides autoreg of GFR
65
mechanisms for release aldosterone
plasma [K+] directly detected in adrenal cortex for neg feedback in release aldosterone asw as RAAS
66
stimuli for renin secr
1. decr bp directly -> JGCs afferent arteriole 2. decr bp -> decr GFR -> macula densa -> stim 3. decr bp -> CV control centre -> incr symp -> JCGs secr
67
result vasoconstriction at kidney (from angiotensin II)
1. constrict afferent arteriole = decr blood flow to glom caps = decr HP = decr GFR 2. relatively greater constr efferent = incr HP = preserve GFR (relatively small decr) * = HP peritubular caps decr, promoting tubular reabsorp = normalise bp | w/o protective mech 2 GFR fall lots = renal function compromised
68
result incr bp
natriuretic peptides decr bp + incr GFR (less time reabsorp) * afferent arterioles vasodil * adrenal cortex decr aldosterone secr * nephron decr Na + water reabsorp * hypothalamus decr ADH secr * medulla oblongata CV centre to decr bp
69
changes in ureter
urine composition stays same bet CD + bladder, except in horse where glands secr mucous (= viscous urine)
70
micturition
urination
71
how is micturition controlled
1. detrusor musc - sm of bladder wall, controlled ANS 2. internal urethral sphincter - sm @ exit bladder -> urethra, controlled ANS 3. external urethral sphincter - sk, controlled somatic NS (conscious control, prevent emptying even when ANS attempts urine discharge)
72
symp vs parasymp motor nerve supply bladder
symp = detrusor relax (bladder fill) + internal contract (close sphincter) parasymp = detrusor contract (eject urine)
73
how are motor messages passed to bladder muscs for filling
symp: noradrenaline acting on β2 receptors on detrusor + α1 receptors on internal sphincter somatic: Ach acting on nicotinic receptors to excite external sphincter musc for contraction
74
how is bladder emptying brought about
1. filling sufficient to stretch sm musc = myogenic reflex contraction detrusor 2. sensory nerves carry info -> spinal cord for: 3. activation parasymp motor nerves contract detrusor 4. = passive press induced relaxation internal sphincter 5. also inhibit somatic motor drive to external sphincter
75
receptors for bladder emptying
parasymp: Ach on muscarinic for contraction detrusor somatic: inhibition Ach acting on nicotinic to inhibit contraction
76
which motor nerves to bladder muscs + where from
1. hypogastric = symp to detrusor + internal sphincter 2. pelvic = parasymp to detrusor 3. pudendal = somatic to external sphincter hypogastric from L1-L2 on spinal cord pelvic + pudendal from S1-S2
77
how + why prod erythropoietin (Epo)
from interstitial cells kidney to stim erythropoiesis (production rbcs) * regged by O2 levels in tiss | neg feedback from hypoxia -> Epo -> normoxia -> less Epo
78
how is erythropoiesis caused by Epo
hypoxia = Epo proded = spongy bone stimmed release more rbcs = incr rbcs = incr O2 supply :)
79
K homeostasis
* ingested most foods + not stored * [K+] in ECF relatively low + important maintaining mem pot
80
hyperkalaemia
high [K+] in ECF = decr movement K+ out = mem pot less polarised + less neg = cell more excitable - esp problem for musc cells
81
potassium filtration + reabsorp
100% filtered, 100% reabsorbed in PCT + LoH * plasma conc regged by secr -> filtrate in DCT + CD * aldosterone stims principal cells secr more in filtrate * reg bp trumps reg K+
82
how measure GFR
equiv to clearance drug w known amount in plasma if: * drug freely filteres * not metabed * not absorbed/secr * excreted unchanged in urine ideally use continual infusion plant polypeptide inulin but not practical so look at conc N waste products in blood
83
creatinine
N waste product from degradation creatine phosphate * synthed at continual steady rate * freely filtered w no reabsorp or secr so urine output good measure GFR (measure it in blood plasma) GFR decr = less creatinine excr (bc blood moving at same rate so less out -> filtrate = accumulates in plasma = higher reading
84
urea to measure GFR
main N waste product in animals + freely filtered * water soluble + so small also partially fat soluble = some reabsorb down conc grad w/o transporters * normally 50% reabsorbed but GFR decr = more time reabsorp = incr conc blood (where measure) | synthed liver so liver disease can affect result also less reliable
85
azotaemia defn
incr nitrogenous waste products in blood * urea + creatinine incr above normal levels animal = azotaemic azotaemia = meausre decr GFR
86
situation HCO3- at start DCT
* freely filtered * 80-90% reabsorbed PCT * 10-20% reabsorbed LoH
87
situation H+ at start DCT
* freely filtered * unregged secr -> PCT via secr NH4+ (2AT) * unregged secr -> PCT via secr H+ 1. captured bicarb buffers + recycled for bicarb reabsorp 2. captured non-bicarb buffers = urinary secr | intercalated cells allow reg H+ secr + synth bicarb
88
transporter prots in DCT for transport H+
1. H+ ATPase for H+ -> filtrate (DCT) 2. H+K+ATPase for H+ -> urine exchange for K+
89
type A intercalated cells
active response to incr [H+] in interstitial space (acidosis) - get rid H+, make HCO3- | in DCT
90
problem w type A intercalated cells in DCT
pH homeostasis prioritised over K+ homeostasis (retains K+ to get rid H+) = can lead hyperkalaemia
91
type B intercalated cells
active response decr [H+] in intersititial space (alkalosis) = absorb new H+ | DCT ## Footnote CA = carbonic acid
92
proton secr intercalated cells vs PCT
1. H+ATPase vs Na+H+ antiport 2. HCO3-Cl- exchanger vs Na+HCO3- symport (basolateral mem) 3. PCT: prot secr = net bicarb reabsorp (if binds bicarb buffer in filtrate) 4. PCT = unregged, DCT = regged in response changes blood pH 5. DCT = bicarb/prot synth
93
pH is + equ
measure conc prots = -log10[H+]
94
why need homeostatic control protons
metabolic reactions prod excess H+ + CO2 normally: homeostatic mechs get rid metabolic acid load by breathing
95
pH should be + problem if not
ECF (blood plasma) 7.35-7.45 * outside range affects all bod systems = coma, cardiac failure, circulatory collapse... * homeostatic pH control overrides all else
96
mechs for acid-base balance
1. buffer systems temporarily bind H+/OH- = hide ions until excreted (first line) 2. change rate + depth breathing = CO2 exhaled/retained - faster = more CO2 + H+ out (subconscious) 3. kidney excr/reabsorp acidic (H+/NH4+) + basic (HCO3-/OH-) ions to eliminate acids (slow)
97
how buffers work
moderate changes in pH v fast by taking up ions * e.g. HCO3-, prots, Hb, phosphates NH3
98
how resp sys for correction acid-base balance works
more CO2 = more H+ + vice versa breathe shallow + slow = CO2 + H+ build up
99
limitation resp sys for correction acid-base balance
* only if resp sys + control centres working normally * limited by availability bicarb ions (bicarb reserve) * can't protect against pH changes bc of incr/decr CO2
100
acidosis types
* respiratory when CO2 accumulates due hypoventilation - CO2 never accumulates blood healthy animals * metabolic when non-respiratory acids accumulate or bicarb deficient
101
metabolic acidosis
= decr [HCO3-] due * diabetic ketoacidosis * kidney disease (didn't reabsorb) * faecal loss bicarb in diarrhoea
102
homeostatic response metabolic acidosis
1. protons activate chemoreceptors 2. resp tract incr rate + depth breathing so pCO2 decr + plasma pH -> normal
103
respiratory acidosis
lungs remove CO2 at lower rate than being proded due e.g. pneumonia = incr pCO2
104
homeostatic response to respiratory acidosis
alpha intercalated cells incr secr H+ -> filtrate
105
types alkalosis
* respiratory alkalosis when CO2 in deficit - healthy animals = blood CO2 no decr below normal * metabolic alkalosis when non-respiratory acids lost or bicarb incr
106
metabolic alkalosis
incr [HCO3-] due * persistent vomiting (lose lots acid) * upper GI obstruction
107
homeostatic response metabolic alkalosis
resp tract decr rate + depth breathing to return plasma pH to normal = pCO2 incr
108
respiratory alkalosis
lungs remove CO2 at faster rate than being proded, e.g. due hyperventilation = decr pCO2
109
homeostatic response respiratory alkalosis
beta intercalated cells incr secr bicarb -> filtrate + synth H+ to reabsorb -> blood
110
fluid compartment proportions of bod
111
fluid loss types
1. normal thru kidneys (1-2ml/kg/hr) = sensible loss 2. insensible = evap from skin, exhalation from lungs, faeces
112
how is normal fluid intake done
50ml/kg/day thru: * ingestion liquids/moist foods * metabolic synth water | polydipsia if >100ml/kg/day
113
normal urine output
25ml/kg/day polyuria if >50ml/kg/day
114
how is water + [Na+] detected for regulation
receptors respond changes * osmolarity * plasma vol * bp | no sensory receptors directly monitor water/Na+
115
role kidneys in regging blood vol
can't restore lost just reg sensible water loss * reg ECF vol by adjusting excretion Na+ (+ so water that follows)
116
how reg ADH for reg sensible water loss
blood plasma osmolarity monitored osmoreceptors in hypothalamus * incr = incr rate of firing of neurons = incr ADH release decr below threshold = neurons no fibre = no ADH = dilute urine | incr osmolarity by 3% = stim thirst
117
what regs ADH
1. osmolarity 2. blood vol directly - short term failsafe for sudden release lots ADH of whole blood lost so vol decr but osmolarity same 3. blood vol via angiotensin II
118
Na+ intake
not regged so all ingested absorbed | no direct sensor like for K + Ca
119
how does incr diet Na change blood vol
extra % Na (e.g. 24% more) + water freely follows Na so blood vol incr by same %
120
incr blood vol/press detected by?
stretch sensitive nerve endings in atria + veins detect incr bp by baroreceptors incr bp/blood vol = incr ANP = incr GFR = decr Na absorp = decr ADH, renin, symp output
121
hormonal reg Na+ + Cl-
reg reabsorp/excretion * angiotensin II + aldosterone promote reabsorp (+ so water reabsorp by osmosis) * natriuretic peptides promote excretion Na+ + Cl- followed by water excretion | to incr/decr blood vol
122
purpose urinalysis
metric for kidney function looking at 1. constituents 2. urine vol 3. urine conc (SG)
123
abnormal constituents urine
* gluc * blood * prot - only filtered if kidney disease or high bp * ketones * cells - just occasional bladder epithelial
124
urine vol names for diff amounts
* normal = 1-2ml/kg/hr * polyuria = >2ml/kg/hr * oliguria = <1ml/kg/hr * anuria = no urine * isosthenuria = filtrate low SG
125
what is specific gravity
measure solutes in urine compared w distilled water | SG distilled water = 1.0000
126
normal urine conc
variable bc depends hydration/bp * dogs = 1.001 - 1.075
127
isosthenuria
urine SG as low as initial filtrate (prot free plasma 1.008-1.012) * suggests kidney pathology disrupting ability concentrate urine (or severe overhydration but that's rare) | should look for >1.035 cats, >1.030 dogs
128
what should always have net excretion of
phosphate, potassium, protons
129
what should always have net reabsorp of
bicarb, glucose
130
classic changes in blood due kidney disease
1. hyperkalaemia bc reabsorbed/not secreted 2. hyperphosphataemia bc reabsorbed/not secreted 3. metabolic acidosis - low pH + HCO3- decr (not reabsorbed) chronic disease can lead excess loss K + hypokalaemia (esp if anorexic + no consume daily K)
131
what azotaemia tells us is wrong + types
decr GFR 1. pre-renal azotaemia 2. renal (intrinsic) azotaemia 3. post renal azotaemia | not necessarily marker of damaged kidney
132
post renal azotaemia
renal function normal but outflow blocked * e.g. ruptured bladder (cld be just small) * = decr GFR bc urine saturated/not moving = N waste reabsorbed/ not filtered * also other changes fluid + electrolyte balance (bad) | diagnosis usually straightforward
133
pre renal azotaemia
large systemic decr bp = decr blood flow -> kidney = decr GFR, e.g. due dehydration, heart disease * pathology upstream of kidney * animal can still conc urine (still prods ADH etc) = SG normal, indicating not intrinsic disease (for diagnostics) * = decr rate flow filtrate = incr time reabsorp = N waste in blood
134
renal azotaemia
due renal disease directly affecting renal function + so GFR * animal not prodding much urine or can't conc urine * = low SG * may also be abnormal stuff in urine
135
reduced kidney function effects on blood biochemistry
* incr conc N waste products * incr conc inorganic phosphate * incr conc K (anorexic may be hypokalaemic) * decr conc bicarb (-> metabolic acidosis)
136
reduced kidney function effects on urine
* lack ability to conc = dilute * abnormal vol (too high or low)
137
types kidney disease | acc problem w kidney
1. acute kidney injury (AKI) 2. chronic kidney disease (CKD) | classic presentation = losing prot in urine (= weight loss)
138
acute kidney injury
rapid life-threatening impairment kidney function * = GFR decr + can't conc urine (+ stuff reabsorbed all = decr SG) * urine output zero, incr or decr
139
chronic kidney disease
long term progressive loss kidney function * GFR decr + loss ability conc urine (water stays in) * urine output incr - owner won't notice bc outside but will notice incr drinking
140
cell layers in renal corpuscle
* caps = porous endothelium * thick glomerular basement mem (physical barrier = size filter) * visceral epithelium (podocytes) - part Bowman's capsule * capsule space filtered into * parietal epithelium (simple squamous) w thick basal lamina - other part Bowman's capsule 1st 3 make up 3 components filtration barrier | mols captured base mem phagocyt by mesangial cells, podocytes phagocyt
141
histology ureter
ureter + bladder + urethra quite similar * all transitional epithelium * wavy mucosa profile allows expand acommodate urine * sub-mucosa w lamina propria * muscularis w inner longitudinal, middle circular + outer longitudinal (allow contraction) * then serosa (loose CT) in peritoneal cavity OR adventitia (loose CT) when embedded in other tiss | bladder has thicker layers sm musc (more contraction)
141
what is juxtaglomerular apparatus between
DCT (-> macula densa cells) + afferent arterioles (-> juxtaglomerular cells)
141
renal lobe
renal medullary pyramid + associated cortical tiss * unilobar kidney in cats, dogs, horses, sheep, goats * bovine + pig = kidneys multilobar
141
what can't pass through filtration barrier from blood plasma -> filtrate
* neg charged prots * cellular components blood * big prots
141
LoH histology
1. thick descending limb - structure like PCT (cuboidal) 2. thin limb - simple squamous epithelium 3. thick ascending limb - structure like DCT (cuboidal)