X-Ray Interpretation - QUIZ Flashcards

(7 cards)

1
Q

Which of the following is most radiolucent, resulting in darker areas on a chest x-ray?

a) Heart
b) Pneumothorax
c) Ribs
d) Pleural effusion
e) Pneumonia

A

b) Pneumothorax

How well did you know this?
1
Not at all
2
3
4
5
Perfectly
2
Q

X-rays are displayed in an orientation where the left side of patient is on the right side of the x-ray. This means that, when looking at an x-ray, it is the same orientation as when looking at the patient from the front. True or False?

A

True

How well did you know this?
1
Not at all
2
3
4
5
Perfectly
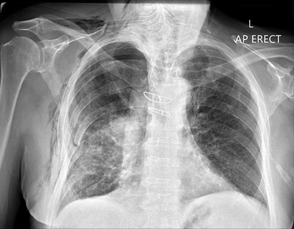
3
Q

Which of these findings can NOT be clearly identified in this chest x-ray?

a) Rib fractures
b) Surgical emphysema
c) Sternotomy wires
d) Endotracheal tube
e) Right pulmonary contusion

A

d) Endotracheal tube

How well did you know this?
1
Not at all
2
3
4
5
Perfectly
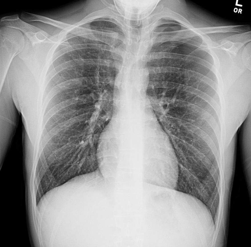
4
Q

What is the most accurate description of this chest x-ray?

a) Left pneumothorax
b) Normal chest x-ray
c) Covid pneumonitis
d) Right lower lobe pneumonia
e) Congestive heart failure

A

d) Right lower lobe pneumonia

How well did you know this?
1
Not at all
2
3
4
5
Perfectly
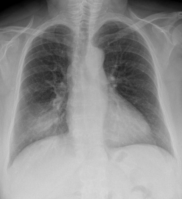
5
Q

What is the most accurate description of this chest x-ray?

a) Right lower lobe pneumonia
b) Congestive heart failure
c) Covid pneumonitis
d) Left pneumothorax
e) Normal chest x-ray

A

d) Left pneumothorax

How well did you know this?
1
Not at all
2
3
4
5
Perfectly
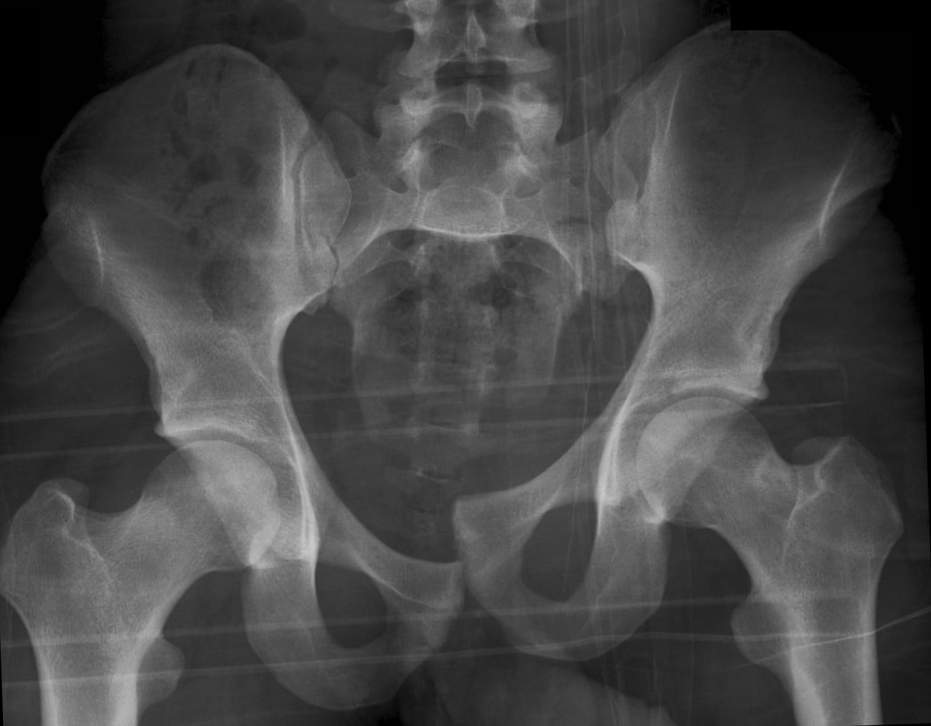
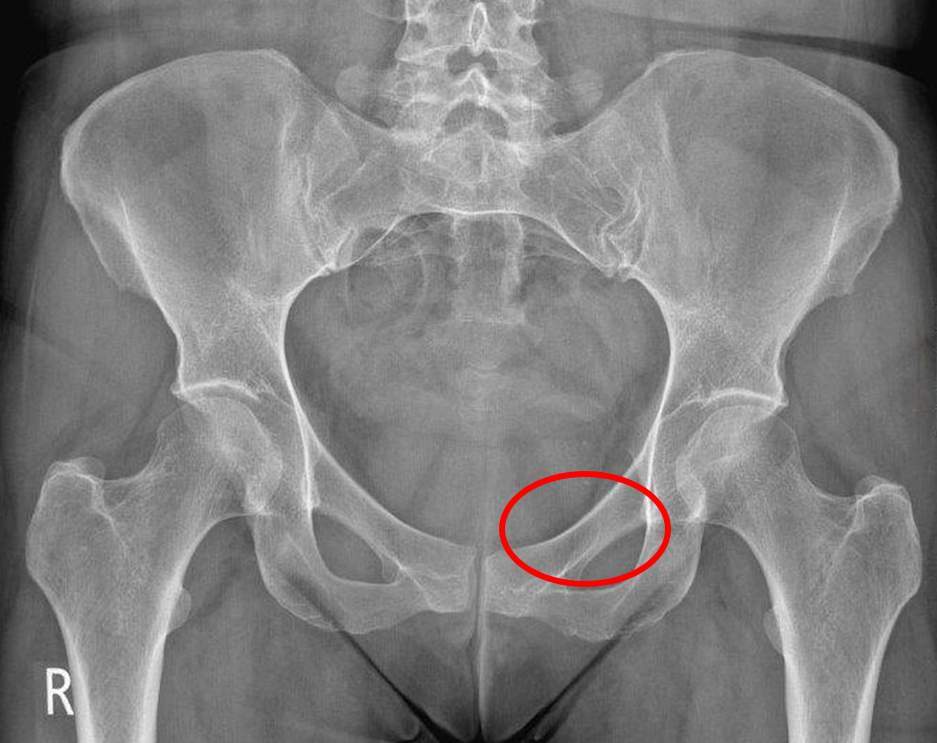
6
Q

Which anatomical structure does the red circle highlight on this pelvic x-ray?

a) Iliac wing
b) Superior pubic ramus
c) Acetabulum
d) Sacrum
e) Pubic symphysis

A

b) Superior pubic ramus

How well did you know this?
1
Not at all
2
3
4
5
Perfectly
7
Q

What is the most accurate description of this pelvic x-ray?

a) Vertical shear fracture
b) Anterior-posterior compression fracture
c) ‘Open book’ pelvic fracture
d) Normal pelvis
e) Lateral compression fracture

A

a) Vertical shear fracture

How well did you know this?
1
Not at all
2
3
4
5
Perfectly