Défnition de la sarcoïdose =
= une affection systémique, d’étiologie inconnue, hétérogène par son épidémiologie, sa présentation clinique et son devenir évolutif avec une infiltration d’organe par des granulomes immunitaires epthélioïdes et gigantocellulaires sans nécrose caséeuse
prévalence de l’atteinte médiastino-pulmonaire dans la sarcoidose :
+ atteintes extra-thoraciques les plus fréquentes
L’atteinte médiastino-pulmonaire s’observe chez environ 90% des patients et est très utile au diagnostic. isolée dans la moitié des cas
+ Les localisations extra-thoraciques sont polymorphes. Les atteintes oculaires, cutanées, ganglionnaires périphériques et hépatiques sont les plus fréquentes.
Évolution générale de la sarcoidose :
+ principale complication
La moitié des patients atteints de sarcoïdose ont une évolution spontanément favorable de leur maladie dans les 2 ans qui suivent le diagnostic.
=> La fibrose pulmonaire est le principal risque évolutif de la sarcoïdose : elle peut entraîner une insuffisance respiratoire chronique, s’associer à une hypertension pulmonaire et se compliquer d’infection aspergillaire.
Le pronostic de la sarcoïdose est favorable dans 80% des cas avec ou sans traitement. Dix à 20% des patients vont garder des séquelles et 1-5% des patients vont décéder de leur sarcoïdose.
Epidémiologie de la sarcoïdose =
Symptomes respiratoires=
▪ La toux est fréquente, le plus souvent non productive
▪ La dyspnée, rare au début, se rencontre souvent dans les formes avancées.
▪ Les douleurs thoraciques peuvent être liée à de volumineuses adénopathies intrathoraciques.
▪ L’auscultation est généralement normale. ▪ L’hippocratisme digital est exceptionnel.
Critéres diagnostic de la sarcoïdose = (3)
1- Signes Radio-clinique caractéristiques : RP indispensable
2- Mise en évidence des granulomes epithélioides
3- Elimination des autres causes de granulomes
Stade radiologique de la sarcoidose =
=> Figure 1

Caractéristiques des adénopathies intrathoracique de la sarcoidose :
▪ hilaires, bilatérales, symétriques, homogènes et non compressives (dans 95% des cas)
▪ souvent médiastinales, notamment latéro-trachéales droites (70% des cas),
▪ plus rarement elles peuvent être asymétriques ou compressives et doivent faire éliminer formellement un diagnostic alternatif,
▪ peuvent se calcifier dans les formes très prolongées.
Caractérisitques de l’atteinte parenchymateuse pulmonaire :
▪ réalise un aspect micronodulaire diffus
▪ prédomine dans les parties moyennes et supérieures des champs pulmonaires
➔ Le contraste entre l’importance de l’atteinte radiographique pulmonaire et la discrétion de la symptomatologie fonctionnelle respiratoire est habituel et constitue un élément en faveur du diagnostic de sarcoïdose.
+ La fibrose, quand elle est présente :
▪ prédomine dans les parties supérieures et postérieures des poumons
▪ réalise des opacités parenchymateuses rétractiles avec ascension des hiles pulmonaires, une distorsion broncho-vasculaire, parfois des masses pseudo-tumorales péri hilaires ou un aspect en rayon de miel apical (Figure 2)
=> Figure 2

Bilan inital systématique si suspicion de sarcoïdose =
=> tableau 3
Aucun examen biologique n’est spécifique de la sarcoïdose
La mise en évidence de granulomes typiques reste le plus souvent nécessaire, cependant certains tableaux cliniques (syndrome de Löfgren, un syndrome d’Heerfordt ou lupus pernio associés à des adénopathie médiastino-hilaire bilatérales), en raison de leur caractère typique, ne nécessitent pas de recours à la biopsie.

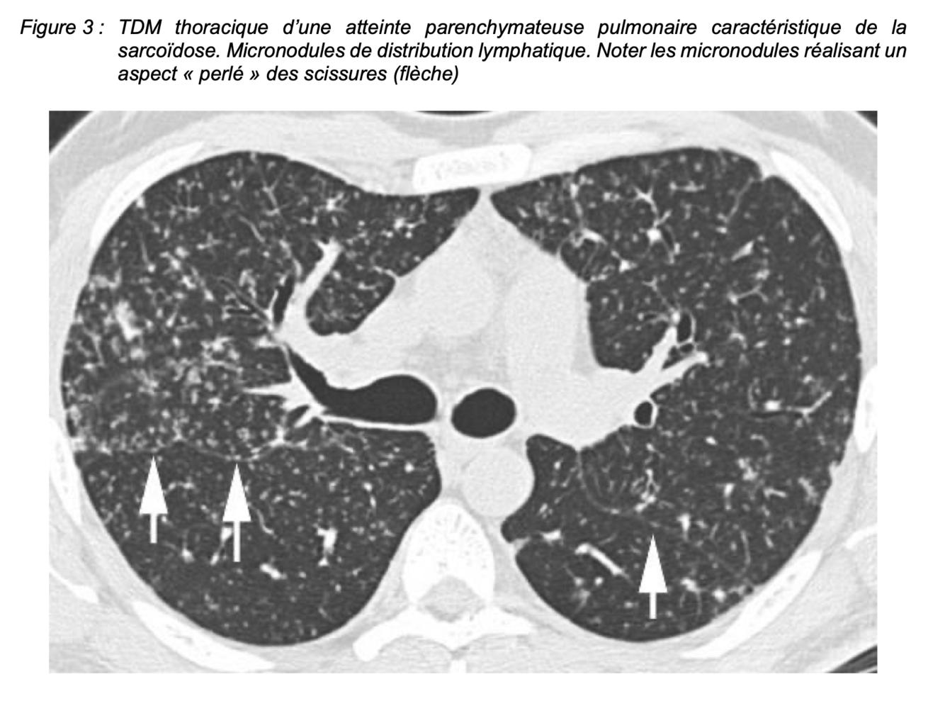
Signes au TDM de sarcoidose :
▪ des micronodules, confluents, bilatéraux,
▪ prédomine dans la moitié supérieure des poumons selon une distribution lymphatique c’est-à-dire le long des axes péribroncho-vasculaires qui sont épaissis et les zones sous-pleurales, y compris le long des scissures (Figure 3),
▪ à l’échelle du lobule pulmonaire, ils prédominent dans la zone péri-lobulaire et peuvent s’accompagner de réticulations septales.
=> Figure 3

Signes aux EFR de sarcoidose :
▪ Spirométrie normale ou peu altérée dans les stades I et les atteintes parenchymateuses minimes.
▪ Syndrome restrictif ou syndrome mixte ou plus rarement syndrome obstructif isolé.
▪ Une diminution précoce de la diffusion alvéolo-capillaire mesurée par la DLCO.
+ Les gaz du sang sont longtemps normaux au repos.
Signes au LBA de sarcoidose :
▪ alvéolite lymphocytaire modérée (20-50%) à lymphocytes T CD4+.
▪ rapport CD4/CD8 augmenté (notamment > 3,5) évoque la sarcoïdose mais est inconstant et ne suffit pas à affirmer le diagno
Principales manifestations extra-respiratoires de sarcoïdose :
=> Tableau 2

2 syndromes ORL de la sarcoidose :
▪ Syndrome de Heerfordt : uvéo-parotidite bilatérale fébrile + paralysie faciale (ou d’un autre nerf crânien) + méningite lymphocytaire aseptique.
▪ Syndrome de Mikulicz avec hypertrophie des glandes lacrymales et salivaires
2eme cause de mortalité de la sarcoidose :
La sarcoïdose cardiaque représente la deuxième cause de mortalité de sarcoïdose, principalement en raison d’une insuffisance cardiaque ou d’une mort subite.
=> L’ECG est indispensable au diagnostic de n’importe quelle forme de sarcoïdose et à renouveler périodiquement.
Les signes cliniques sont non spécifiques : palpitations soutenues, malaises, syncope, signes d’insuffisance cardiaque (orthopnée, dyspnée paroxystique nocturne, ou œdème des membres inférieurs).
Signes biologiques de la sarcoidose :
- Test tuberculinique négatif dans 80% des cas environ (anergie tuberculinique)
- Enzyme de conversion de l’angiotensine sérique (ECA)
▪ peu sensible, élevée dans environ 60% des cas
▪ produite par les macrophages activés des granulomes
▪ traduit l’étendue de la masse granulomateuse
▪ test non spécifique qui peut s’élever dans d’autres affections.
▪ ininterprétable chez les patients qui prennent des inhibiteurs de l’enzyme de conversion
Principaux DD :
=> tableau 4

Suivi des patients atteints de sarcoÏdose =
Critères pronostic de la sarcoidose :
=> tableau 5

Critères de guérison de la sarcoïdose =
Rémission stable sans ttt pendant > 36 mois
Contre Indication de traitement médicamenteux de la sarcoïdose =
=> Souvent rémisson spontanée sans traitement si :
Indication de traitement médicamenteux de la sarcoïdose =
Traitement médicamenteux de la sarcoidose en 1er intention =