Body Fluids Exam 2 Flashcards

(38 cards)

1
Q

What makes synovial fluid so viscous?

(a) Lubricin
(b) Hyaluronan
(c) Glucose
(d) Type A Synoviocytes

A

(b) Hyaluronan

How well did you know this?
1
Not at all
2
3
4
5
Perfectly
2
Q

How long should a patient fast prior to an arthrocentesis if glucose testing is to be done on synovial fluid?

(a) 1 hour
(b) 3 hours
(c) 6 hours
(d) 8 hours

A

(c) 6 hours

How well did you know this?
1
Not at all
2
3
4
5
Perfectly
3
Q

A synovial fluid was received into the lab for crystal analysis. The tech working placed the sample into an oxalate tube prior to crystal analysis. While looking at the sample using compensated polar microscopy, the tech saw crystals present. Can this result be reported? Why or why not?

(a) Yes it can, the tech followed the correct procedure for crystal analysis
(b) Yes it can, but the result needs a comment that an oxalate tube was used
(c) No it cannot, the sample should have been placed in a lithium heparin tube instead
(d) No it cannot, the sample should have been placed in a liquid EDTA tube instead

A

(d) No it cannot, the sample should have been placed in a liquid EDTA tube instead

How well did you know this?
1
Not at all
2
3
4
5
Perfectly
4
Q

Pick the color/clarity results that best describe a normal synovial fluid.

(a) Pale Yellow/Slightly Cloudy
(b) Pale Yellow/Cloudy
(c) Colorless/Slightly Cloudy
(d) Colorless/Clear

A

(d) Colorless/Clear

How well did you know this?
1
Not at all
2
3
4
5
Perfectly
5
Q

What is added to synovial fluid samples prior to analysis so that it is less viscous?

(a) Saline
(b) Sterile Water
(c) Acetic Acid
(d) Hyaluronidase

A

(d) Hyaluronidase

How well did you know this?
1
Not at all
2
3
4
5
Perfectly
6
Q

What is the predominant cell present in a normal synovial fluid sample?

(a) Neutrophils
(b) Lymphocytes
(c) Monocytes/Macrophages
(d) Synoviocytes

A

(c) Monocytes/Macrophages

How well did you know this?
1
Not at all
2
3
4
5
Perfectly
7
Q

Select the correct statement(s) regarding birefringence.

(a) A crystal that is positively birefringent will be yellow when its longitudinal axis is parallel to the slow axis of the red compensator plate
(b) A crystal that is positively birefringent will be blue when its longitudinal axis is parallel to the slow axis of the red compensator plate
(c) A crystal that is negatively birefringent will be yellow when its longitudinal axis is parallel to the slow axis of the red compensator plate
(d) A crystal that is negatively birefringent will be blue when its longitudinal axis is parallel to the slow axis of the red compensator plate

A

(b) A crystal that is positively birefringent will be blue when its longitudinal axis is parallel to the slow axis of the red compensator plate
(c) A crystal that is negatively birefringent will be yellow when its longitudinal axis is parallel to the slow axis of the red compensator plate

How well did you know this?
1
Not at all
2
3
4
5
Perfectly
8
Q

What best describes the morphology of a calcium pyrophosphate dihydrate crystal under polarized microscopy?

(a) Thin, needlelike crystal that may be found intracellularly
(b) Small, blunt ends, rhomboid in shape
(c) Flat, rectangular plates with notched corners
(d) Irregular, jagged/serrated edges, look broken

A

(b) Small, blunt ends, rhomboid in shape

How well did you know this?
1
Not at all
2
3
4
5
Perfectly
9
Q

Identify the following crystals

(a) Monosodium urate crystals
(b) Calcium pryrophosphate dihydrate crystals
(c) Cholesterol crystals
(d) Corticosteroid crystals

A

(c) Cholesterol crystals

How well did you know this?
1
Not at all
2
3
4
5
Perfectly
10
Q

Select the normal color/consistency of stool.

(a) Black, formed
(b) Brown, soft
(c) Black, hard
(d) Brown, formed

A

(d) Brown, formed

How well did you know this?
1
Not at all
2
3
4
5
Perfectly
11
Q

What is the term for fat in stool?

(a) Melena
(b) Steatorrhea
(c) Diarrhea
(d) Creatorrhea

A

(b) Steatorrhea

How well did you know this?
1
Not at all
2
3
4
5
Perfectly
12
Q

Fill in the blank for the guaiac-based fecal occult blood test principle (gFOBT)

(a) Psuedoperoxidase/Peroxidase
(b) Hemoglobin antibody complexes
(c) Un-degraded hemoglobin
(d) Sodium hydroxide

A

(a) Psuedoperoxidase/Peroxidase

How well did you know this?
1
Not at all
2
3
4
5
Perfectly
13
Q

Interpret the following guaiac-based fecal occult blood test. Assume collection instructions were completed exactly as directed.

(a) Negative
(b) Positive
(c) Invalid

A

(b) Positive

How well did you know this?
1
Not at all
2
3
4
5
Perfectly
14
Q

If a patient is experiencing an upper GI bleed, what color would you expect the patient’s stool to be? Select all that apply

(a) Bright Red
(b) Black
(c) Mahogany
(d) Green

A

(b) Black

How well did you know this?
1
Not at all
2
3
4
5
Perfectly
15
Q

You receive a bright red stool specimen in the lab from a 1 day old infant. The physician has ordered an Apt test. After completing the test, the tube containing the specimen turns yellow after 1 minute. What does this result mean?

(a) Only fetal hemoglobin (HbF) is present in the sample
(b) Maternal hemoglobin (HbA) is present in the sample
(c) The results are invalid and need to be repeated

A

(b) Maternal hemoglobin (HbA) is present in the sample

How well did you know this?
1
Not at all
2
3
4
5
Perfectly
16
Q

What are the patient requirements for fat intake when completing a quantitative fecal fat test?

(a) Limit fat intake to <100 grams/day
(b) Limit fat intake to 100-150 grams/day
(c) Limit fat intake to 150-200 grams/day
(d) Limit fat intake to 200-250 grams/day

A

(b) Limit fat intake to 100-150 grams/day

17
Q

What is the main advantage of using hydrogen nuclear magnetic resonance spectroscopy over other testing methods for quantitative fecal fat testing?

(a) It is the reference method
(b) Only 80% of fecal lipids are recovered
(c) It is much faster than other methods
(d) The patient is not required to follow a specific diet prior to sample collection

A

(c) It is much faster than other methods

18
Q

What is the most diagnostic method of detecting fecal carbohydrates?

(a) Oral Tolerance Tests
(b) pH
(c) Histochemical Examination
(d) Xylose absorbance test

A

(c) Histochemical Examination

19
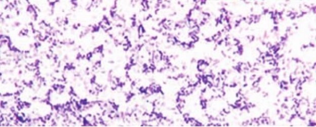
Q

Interpret the following fecal WBC slide.

(a) Negative, no fecal WBCs present
(b) Positive, fecal WBC’s present

A

(a) Negative, no fecal WBCs present

20
Q

An amniotic fluid sample is sent down to the lab in a clear plastic container. Bilirubin testing has been ordered. The lab assistant spins down the sample in the centrifuge at a high speed. The medical laboratory scientist performing the test finds that the bilirubin levels are low. Can this result be reported? Assume the testing was done correctly per the procedure.

(a) Yes, as long as the medical laboratory scientists performed the test according to procedure, the results can be reported.
(b) No, the results cannot be reported as the sample was spun at high speed. A low speed should have been used instead to help with the recovery of fetal cells.
(c) No, the results cannot be reported as the sample was placed into a clear container. A brown container should have been used so that the sample was not exposed to light prior to testing.

A

(c) No, the results cannot be reported as the sample was placed into a clear container. A brown container should have been used so that the sample was not exposed to light prior to testing.

21
Q

What test can be used to distinguish urine from amniotic fluid?

(a) Fern Testing
(b) AmniSure
(c) Color
(d) Fetal Fibronectin

A

(a) Fern Testing

22
Q

Which amniotic fluid tests are affected by blood? Select all that apply.

(a) Lecithin/Sphingomyelin (L/S) Ratio
(b) Phosphotidylglycerol
(c) Lamellar Body Count
(d) Bilirubin (ΔA450)

A

(a) Lecithin/Sphingomyelin (L/S) Ratio
(c) Lamellar Body Count
(d) Bilirubin (ΔA450)

23
Q

What is the maximum absorbance of bilirubin?

(a) 350 nm
(b) 400 nm
(c) 450 nm
(d) 540 nm

24
Q

When do lamellar bodies begin to be produced within fetal lungs?

(a) 16-20 weeks gestation
(b) 20-24 weeks gestation
(c) 24-28 weeks gestation
(d) After 28 weeks gestation

A

(b) 20-24 weeks gestation

25
Which channel is used to perform the lamellar body count on the hematology analyzer? (a) Red Blood Cell Channel (b) White Blood Cell Channel (c) Platelet Channel
(c) Platelet Channel
26
Why is bilirubin measured to evaluate Hemolytic Disease of the Newborn? (a) Amount of bilirubin present is directly related to the severity of hemolysis present (b) Amount of bilirubin present is inversely related to the severity of hemolysis present
(a) Amount of bilirubin present is directly related to the severity of hemolysis present
27
Using the Queenan Chart below, interpret the following results: Weeks Gestation: 22 weeks ΔA450: 0.14 (a) The fetus is unaffected (b) The risk to the fetus is indeterminate (c) The fetus is affected by the amount of hemolysis, should continue to monitor (d) The fetus has a high risk of intrauterine death unless interventions are taken
(c) The fetus is affected by the amount of hemolysis, should continue to monitor
28
What structure is responsible for 70% of the fluid found in ejaculate? (a) Seminiferous tubules (b) Epididymis (c) Prostate Gland (d) Seminal Vesicles
(d) Seminal Vesicles
29
What is not a seminal fluid collection requirement? (a) 2-7 days of sexual abstinence (b) Lubricants can be used for collection (c) Entire specimen should be collected into wide mouth container (d) Specimen should be labeled with time and date of collection
(b) Lubricants can be used for collection
30
What test should be performed on seminal fluid if no sperm are seen? (a) Viscosity (b) pH (c) Fructose (d) Color
(c) Fructose
31
What best describes a normal sperm motility? (a) Motile, without forward progression (b) Motile, with slow non-linear or meandering progression (c) Motile, with moderate linear (forward) progression (d) Motile, with strong linear (forward) progression
(d) Motile, with strong linear (forward) progression
32
Select the sperm with normal morphology. (a) A (b) B (c) C (d) D
(d) D
33
What stain is used during sperm vitality testing? (a) Wright (b) Wright-Giemsa (c) Eosin (d) DiffQuick
(c) Eosin
34
What is the purpose of proteolytic enzymes found within seminal fluid? (a) Nutrient for sperm (b) Responsible for the liquefaction of seminal fluid (c) Responsible for the coagulation of seminal fluid (d) Responsible for the gray/opalescent color of seminal fluid
(b) Responsible for the liquefaction of seminal fluid
35
Which of the following seminal fluid results is abnormal? (a) Fructose: Present (b) Vitality: 61% Living (c) Morphology: 32% Normal Forms present (d) pH: 7.4
(c) Morphology: 32% Normal Forms present
36
Based on the following results, is the fluid being tested urine or amniotic fluid? Glucose: Not present Protein: Not Present Ferning: Absent (a) Fluid being tested is urine (b) Fluid being testing is amniotic fluid
(a) Fluid being tested is urine
37
What is meconium? (a) Gelatinous/mucus like material formed in fetal intestines (b) Orange-yellow pigment formed in the liver by the breakdown of hemoglobin (c) Greasy deposit covering the skin of a baby at birth (d) Biomarker for the detection of premature rupture of fetal membrane
(a) Gelatinous/mucus like material formed in fetal intestines
38
What is not an indication to perform an amniocentesis? (a) Mother has a child with previous chromosomal abnormality (b) Parent is a carrier of a metabolic disorder (c) Parent has a known chromosomal abnormality (d) Mother is >30 years old
(d) Mother is >30 years old