Bronchiectasis chronic condition in which an area of the
bronchial tubes is permanently ___ and ___ (___)
Chronic condition in which an area of the
bronchial tubes is permanently scarred and widened (dilated)
• Associated with chronic productive cough +/- other respiratory Sx +/- constitutional Sx
viscious cycle hypothesis

clinical presentation of bronchiectasis
sputum

definition of a bronchiectasis exacerbation
• deterioration in at least 3 or more of: cough, sputum volume and/or consistency, sputum purulence, SOB, exercise tolerance, fatigue, or hemoptysis

Gold standard method of diagnosing bronchiectasis
high resolution CT

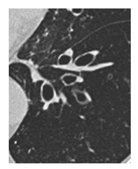
Classic CT finding of bronchiectasis

signet ring sign
Traction bronchiectasis-
airway dilated because lungs are pulled by fibrotic lung
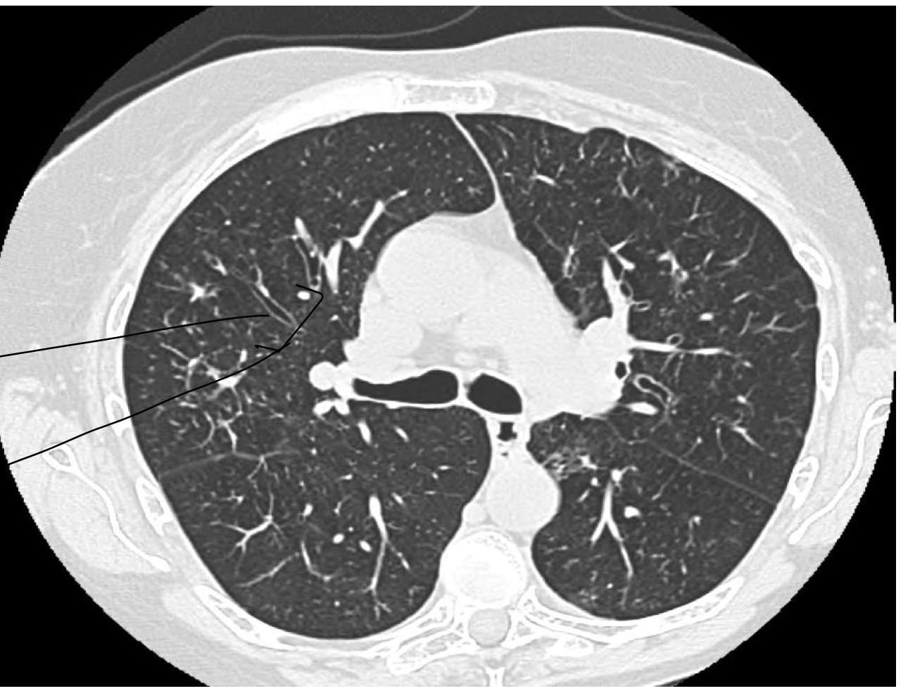
what sign are the arrows

dilated airway indicating TRAM TRACKING– parallel traks. doesn’t taper.

Traction bronchiectasis- airways dilated because pulled by fibrotic lung * This is a different etiology, seen in ILD, & managed differently*
- pulmonary fibrosis with periphery reticular pattern.
postinfectious conditions, congenital conditions and genetic conditions that can cause/be associated with bronchiectasis
postinfectious conditions: severe bacterial pneumonia, mycobacterium tuberculosis or nontuberculous mycobacteria, fungal infection
congenital conditions: tracheobronchomegaly, marfan’s syndrome
genetic: cystic fibrosis, primary ciliary dykinesia APLA.

mechanical obstruction causes of bronchiectasis
Bronchiectasis workup

overeall classifications for maintenance/prevention of exacerbations
Airway clearance & mucolytics ‘
• Chronic antibiotics
• Antiinflamatories- macrolides. inhaled antibiotics to rerduce flairs and reduce pseudomonas
- hypertonic saline to loosen the sputum
during bronchiectasis exacervations, it is very important to sent sputum culture. what is the most common infecting pathogens?
(chronic macrolide therpay may be beneficial). Severe exacerbations may require IV antbiotics.