

which artery may be occluded to sustain this lesion?

this is a posterior lesion indicating a compromise of the posterior arteries; right coronary descending posterior branhc

gross findings in immediate, acute and remote infarcts

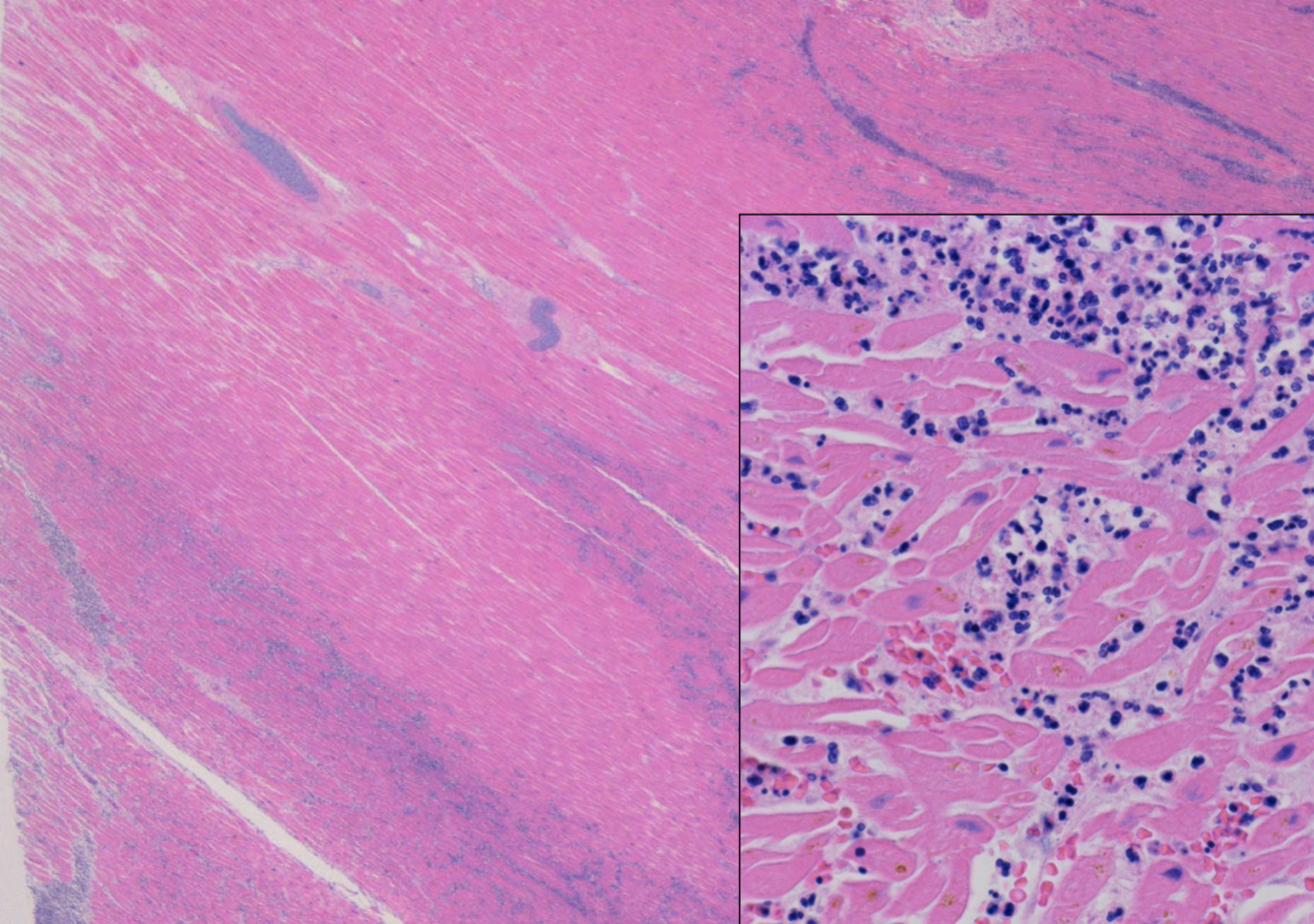
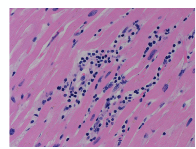
what stage do you think this MI is in?

acute (24 hours to 2 months)
neutrophil karyorrhexis
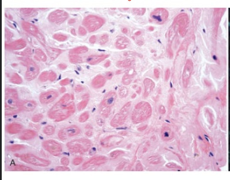
what stage do you think this MI is in?

there is evident fibrosis. this is an older scarring infarct

name some complications of MI

type of MI complication

left ventricular free wall rupture


Clot on the wall: 1. Aneurysm with mural thrombus

Chronic Ischemic Heart Disease
pathological signs



main cause of hypertrophic cardiomyopathy
it’s like 100% genetic



main causes of restrictive cardiomyopathies
amyloidosis, radiation, idiopathic.

a young adult comes in with dilated atria, dyspnea


causes of this illness:

usually viral; coxsacchies, adenovirus, influenza A and B, plus a staph (bacterial) infection

Main bug of rheumatic heart disease
strep pyogenes
most common valve that rheumatic heart disease affects
mitral regurg (in young), and stenossi (in adults)

most common cardiac tumor

which part of the heart is affected more by cardiac myxoma
left atria

type of tumor?

Cardiac Myxoma



