C2 - Basic components of living cells Flashcards

(76 cards)

1
Q

What is a light microscope?

A

Instrument that uses visible light and glass lenses to enable the user to see objects magnified

How well did you know this?
1
Not at all
2
3
4
5
Perfectly
2
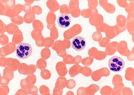
Q

Image produced by light microscope

A

Blood smear

How well did you know this?
1
Not at all
2
3
4
5
Perfectly
3
Q

What is a compound light microscope?

A

Instrument that magnifies an object using two lenses.
-Eyepiece lens: closest to eye
-Objective lens: closest to specimen

How well did you know this?
1
Not at all
2
3
4
5
Perfectly
4
Q

Label a compound microscope?

A
How well did you know this?
1
Not at all
2
3
4
5
Perfectly
5
Q

What is a dry mount?

A

-Solid specimens
-Sectioned
-Specimen place on centre of slide
-Cover slip placed on top

How well did you know this?
1
Not at all
2
3
4
5
Perfectly
6
Q

What is a wet mount?

A

-Specimen suspended in liquid
-Cover slip placed on at angle

How well did you know this?
1
Not at all
2
3
4
5
Perfectly
7
Q

What is a squash slide?

A

-Wet mount prepared
-Lens tissue/ microscope slide used to press down cover slip

How well did you know this?
1
Not at all
2
3
4
5
Perfectly
8
Q

What is a smear slide?

A

-Edge of slide used to smear sample
-Creating thin, even coating
-Coverslip placed on top

How well did you know this?
1
Not at all
2
3
4
5
Perfectly
9
Q

How do you prepare a sample for staining?

A

-Placed on slide
-Allow to air dry
-Heat-fixed by passing through flame
-Specimen adheres to microscope and takes up stain

How well did you know this?
1
Not at all
2
3
4
5
Perfectly
10
Q

Rules for biological drawings

A

-Include a title
-State magnification
-Sharp pencil line
-White, unlined paper
-Use majority of space
-Smooth, continuous line
-No shading
-Draw clearly defined structures
-Label lines should not cross or have arrowheads
-Label lines should be drawn with a ruler, parallel to the top of the page

How well did you know this?
1
Not at all
2
3
4
5
Perfectly
11
Q

What is differential staining?

A

Using specific stains to distinguish between different types of cells/cellular components

How well did you know this?
1
Not at all
2
3
4
5
Perfectly
12
Q

What is fixing?

A

Chemicals used to preserve specimens

How well did you know this?
1
Not at all
2
3
4
5
Perfectly
13
Q

What is sectioning?

A

Specimens dehydrated with alcohols
Placed in mould with wax/resin to form hard block
Can be thinly sliced with knife

How well did you know this?
1
Not at all
2
3
4
5
Perfectly
14
Q

What is mounting?

A

Specimens secured to microscope slide and cover slip placed on top

How well did you know this?
1
Not at all
2
3
4
5
Perfectly
15
Q

What is magnification?

A

To produce an image of an object at a scale larger than its actual size.

How well did you know this?
1
Not at all
2
3
4
5
Perfectly
16
Q

Formula for magnification

A

Magnification = size of image / actual size of object

M = I / A

How well did you know this?
1
Not at all
2
3
4
5
Perfectly
17
Q

What is resolution?

A

Shortest distance between two objects that are still seen as separate objects
Ability to distinguish between two points as separate

How well did you know this?
1
Not at all
2
3
4
5
Perfectly
18
Q

1 micrometre in nanometres

A

1000nm

How well did you know this?
1
Not at all
2
3
4
5
Perfectly
19
Q

1 millimetre in micrometres

A

1000

How well did you know this?
1
Not at all
2
3
4
5
Perfectly
20
Q

What is an electron microscopy?

A

Microscopy using a microscope that employs a beam of electrons to illuminate the specimen
(higher resolution due to smaller wave length)

How well did you know this?
1
Not at all
2
3
4
5
Perfectly
21
Q

What is the measurement of each division on a micrometer slide?

A

100 divisions = 1mm
1 division = 0.01mm = 10 micrometers

How well did you know this?
1
Not at all
2
3
4
5
Perfectly
22
Q

What is a stage micrometer?

A

Microscope slide marked with an accurate scale in micrometers

How well did you know this?
1
Not at all
2
3
4
5
Perfectly
23
Q

What is an eyepiece graticule?

A

Glass disc marked with a fine scale from 1-100
Has no units

How well did you know this?
1
Not at all
2
3
4
5
Perfectly
24
Q

How do you use an eyepiece graticule to calibrate a light microscope?

A

1) Put stage micrometer in place and eyepiece graticule in eyepiece
2) Get the scale on the micrometer slide in focus
3) Align the micrometer scale with the scale in eyepiece
4) Take readings from the two scales
5) Calibrate the micrometer

How well did you know this?
1
Not at all
2
3
4
5
Perfectly
25
What is ultrastructure?
Features of a cell that can be seen using an electron microscope
26
What are artefacts?
Objects/structures seen through a microscope that have been created during the processing of the specimen
27
What is a transmission electron microscope?
Beam of electrons transmitted through a specimen and focused to produce an image Resolving power- 0.5nm
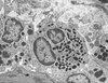
28
Image produced by TEM
wbc
29
What is a scanning electron microscope?
Beam of electrons sent across surface of specimen and reflected electrons focused to produce 3D image Resolving power of 2-10nm
30
Image produced by SEM
31
What are the two types of electron microscope?
Transmission Scanning
32
Comparisons of different microscopes
33
How are artefacts created?
Air bubbles trapped under cover slip
34
What is laser scanning confocal microscopy?
Microscope that employs lase beam and a pin-hole aperture to produce an image with a very high resolution 2D images
35
How are samples prepared for laser confocal microscopy?
Thin sections
36
How can 3D images be produced from laser confocal microscopy
Create images at different focal planes
37
What is laser confocal microscopy used for?
Non-invasive Diagnosis of diseases in the eye
38
What are prokaryotic cells?
Cells with no membrane bound nucleus or organelles
39
Diagram of prokaryotic cells
Bacteriums
40
What are eukaryotic cells?
Cells with nucleus and other membrane bound organelles -Animals, plants, fungi, single-celled protocista
41
Diagram of eukaryotic animal cells
42
Diagram of plant cell
43
What are organelles?
Membrane bound compartments with varying functions
44
What does a eukaryotic cell consist of?
Microtubule network Vesicles Nucleolus Nucleus Golgi apparatus Cell-surface membrane Cytosol Ribosome Centriole Rough endoplasmic reticulum Smooth endoplasmic reticulum Cytoskeleton Secretory vesicles Mitochondria
45
What is the structure and function of the nucleus?
-Contains coded genetic information in the form of DNA molecules -DNA contained within a nuclear envelope (double membrane) -Nuclear envelope contains nuclear pores allowing molecules to move in and out nucleus
46
What is the structure and function of DNA?
-DNA associates with histones (proteins) to form chromatin -Chromatin coils and condenses to from chromosomes -Controls synthesis of proteins and metabolic activities of cell (proteins/enzymes necessary for metabolism)
47
What is the structure and function of the nucleolus?
-Area within nucleus responsible for producing ribosomes -Composed of proteins and RNA -RNA produces rRNA which combines with proteins forming ribosomes for protein synthesis
48
What is the structure and function of mitochondria?
-Site of cellular respiration -Double membrane -Inner membrane highly folded forming cristae and matrix (liquid interior) -Membrane forming cristae contain enzymes used in aerobic respiration -Contain small amount of mitochondrial DNA -Energy stored in the bonds of organic molecules -Made available for cellular use by the production of ATP
49
What is the structure and function of a vesicle?
Membranous sacs used to transport or store materials in the cell
50
What is the structure and function of a lysosome?
Specialised vesicles containing hydrolytic enzymes for the breakdown of waste materials in a cell
51
What is the structure and function of the cytoskeleton?
Network of fibres in the cytoplasm of a eukaryotic cell (microfilaments, microtubules, intermediate fibres) Provides mechanical strength to cell Aids transport within cell Enables cell movement
52
What is the structure and functions of microfilaments
-Contractile fibres -Formed from protein actin -Responsible for cell movement and contraction during cytokinesis
53
What is the structure and function of microtubules?
-Globular tubulin proteins -Polymerise to form tubes that form scaffold structure determining the shape of cell -Act as tracks for movement of organelles -Form spindle fibres
54
What is the structure and function of intermediate fibres?
-Fibres that give mechanical strength to cells to maintain their integrity
55
What is the structure and function centriole?
-Part of cytoskeleton -Composed of microtubules -Two associated centrioles form centrosome -Centrosome is involved in assembly and organisation of spindle fibres
56
What is the structure and function of flagellum
-Whip-like extension that protrudes from cell -Enables mobility and can detect chemical change in environment
57
What is the structure and function of cilia?
-Hair-like extensions that protrude from cells -Can be mobile/stationary -Important function in sensory organs -Rhythmic beats create currents causing fluids adjacent to cell to move
58
What is the 9+2 arrangement?
2 central microtubules surrounded by 9 pairs of microtubules
59
What is the structure of endoplasmic reticulum?
Network or membranes enclosing flattened sacs called cisternae
60
What are the two types of ER and their functions?
-Smooth ER: responsible for lipid and carbohydrate synthesis and storage -Rough ER: ribosomes bound to surface, responsible for synthesis and transport of proteins
61
What is the structure and function of ribosomes?
-Site of protein synthesis -Not membrane-bound -Constructed of RNA molecules made in nucleolus (mitochondria and chloroplasts contain ribosomes)
62
What is the structure and function of Golgi apparatus?
-Interconnected network of flattened, membrane-enclosed sacs (cisternae) -Plays a role in modifying and packaging proteins into vesicles
63
How are proteins produced?
1) Proteins are synthesised on ribosomes bound to RER 2) They pass into its cisternae and are packaged into transport vesicles 3) Vesicles containing proteins move towards Golgi apparatus via cytoskeleton 4) Vesicles fuse with cis face of Golgi apparatus and proteins enter 5) Proteins are structurally modified and then leave from its trans face (curved) 6) Secretory vesicles carry proteins that are to be released from the cell. Vesicles fuse to cell surface membrane releasing their contents by exocytosis. 7) Some vesicles form lysosomes which contain enzymes for use in the cell
64
What is the structure and function of plant cell walls?
-Rigid structure surrounding cell membrane -Freely permeable -Acts as a support, shaping and defence mechanism
65
What are plant cell walls made of?
Cellulose
66
What other organelles do plant cells have?
Vacuoles Chloroplast Cell wall
67
What is the structure and function of a vacuole?
-Membrane lined sacs in cytoplasm containing cell sap -Large permanent vacuole help maintain turgor
68
What is the structure and function tonoplast?
-Membrane of vacuole in a plant cell -Selectively permeable
69
Can vacuoles appear in animal cells?
Yes, but they’re small and transient
70
What are the structures and function of chloroplasts
-Responsible for photosynthesis -Found in green part of plants -Double membrane -Stoma: fluid in closed in chloroplast -Thylakoids: flattened sacs formed by internal network membranes -Granum: several thylakoids stacked together, contain chlorophyll pigments (site of light dependent reactions) -Grana joined by membranes called lamellae -Starch produced is present in starch grains (contains DNA and ribosomes)
71
What do prokaryotic cells contain?
Pili Cell wall Cell surface membrane Cytoplasm Ribosome (70s) Free chromosomal DNA Flagellum
72
What is DNA in prokaryotes?
-Consists of one molecule of DNA, a chromosome, supercoiled -Genes grouped into operons so a number of genes are switched on or off at a time
73
Flagella in prokaryotic cells
-Thinner -Energy to rotate supplied by chemiosmosis -Attached by basal body and rotated by molecular motor
74
Prokaryotic vs eukaryotic
75
Why do we use staining?
To increase contrast making features more visible
76
Is the 9+2 formation for microtubules present in cells of all organisms ?
eukaryotic cilia and flagella