
oral submucous fibrosis

nicotine stomatitis

nicotine stomatitis

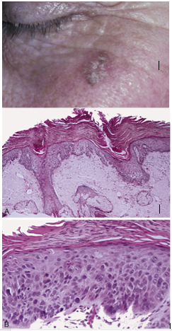
actinic keratosis

actinic cheilosis

actinic cheilosis

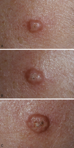
keratoacanthoma

keratoacanthoma

keratoacanthoma

keratoacanthoma

nicotine stomatitis in reverse smokers

verrucous carcinoma

verrucous carcinoma

actinic keratosis

actinic keratosis
nasopharyngeal carcinoma

nodular basal cell carcinoma
notice the telangiectatic blood vessels and the central depression

nodular basal cell carcinoma
notice the telangiectasia and central depression

basal cell carcinoma

nasopharyngeal carcinoma

melanoma

oral melanoma

oral melanoma

oral melanoma