DASA TMO 2021 Flashcards

(38 cards)

1
Q

(DASA TMO 2021) Homem, 65 anos, procura ambulatório de Clínica Médica referindo há 3 meses perda ponderal associada a dores na coluna lombar. Ao exame físico apresentava-se descorado, emagrecido, com perda de força muscular em membro inferior direito. Exames laboratoriais:
- Anemia normo/normo
- Cr: 2,5 mg/dl
- Ureia: 75 mg/dl.
Foi solicitado um PET-CT que revelou inúmeras lesões osteolíticas, associadas à fratura vertebral. A EFP séricas mostrou pico na fração gama. Imunofixação revelou presença de IgG kappa. Com base nas informações assinale a opção INCORRETA:

(A) O TMO autólogo está indicado para esse paciente, pois mostrou ganho de PFS e OS em relação a quimioterapia com esquemas tríplices baseado em lenalidomida na primeira linha.
(B) O uso de imunomoduladores está relacionado à ocorrência de eventos tromboembólicos devendo ser realizado a profilaxia com AAS ou anticoagulantes a depender dos fatores de risco que o paciente apresenta.
(C) Pacientes idosos geralmente apresentam mielossupressão mais prolongada relacionada ao tratamento, logo eventuais ajustes de dose dos quimioterápicos e das medicações de suporte podem ser necessários.
(D) É importante a avaliação odontológica prévia de todos pacientes que forem iniciar bifosfonados, pelo risco de necrose de mandíbula. E mesmo presença de insuficiência renal o uso de bisfofonados é indicado.

A

(A) O TMO autólogo está indicado para esse paciente, pois mostrou ganho de PFS e OS em relação a quimioterapia com esquemas tríplices baseado em lenalidomida na primeira linha

Trata-se de um paciente com anemia e disfunção renal associado a dor lombar e lesões líticas no PET. No restante da investigação, observado pico monoclonal IgG kappa. A principal suspeita é de MM, apesar de não ser possível fechar o diagnóstico já que não foi realizada avaliação medular.

_LETRA A INCORRETA_: O tratamento de primeira linha de pacientes com MM vai depender de idade e comorbidades que o limitem para indicação de consolidação com TMO. Para paciente elegíveis, o tratamento consiste em terapia de indução com esquema triplo o quadruplo envolvendo um imunomodulador e um inibidor de proteassoma, seguido de autoTMO e manutenção pós, podendo em alguns casos ser realizada uma consolidação com o mesmo esquema da indução após o TMO também. No entanto, o TMO autólogo não tem benefício comprovado de OS, apenas de PFS. O estudo DETERMINATION randomizou pacientes após indução com VRD para consolidação e manutenção vs TMO autologo. Os pacientes com TMO tiveram maior PFS e sem ganho em OS.

_LETRA B CORRETA_: Pacientes com MM tem risco mais elevado de TEV, com alguns estudos mostrando incidências entre 10-26%. Desde a introdução de novos agentes como inibidores de proteassoma, anticorpos monoclonais e imunomouladores, tromboses se tornaram uma grande causa de morbimortalidade, dentre estes imunomoduladores como a lenalidomida é sabidamente relacionada com aumento de TEV. Dessa forma, é necessário otimizar os cuidados de profilaxia de TEV nesses pacientes com esquemas atuais de tratamento. O IMWG e ASCO publicaram um guideline de prevenção de trombose em pacientes com MM em uso de imunomoduladores. Esses guidelines recomendam que os pacientes sejam avaliados quanto a fatores de risco e indicado o uso de AAS ou LMWH a depender da situação.

_LETRA C CORRETA_: MM é uma doença predominante em pacientes idosos. Dentre eles, aproximadamente 1/3 apresenta condições de fragilidade. Na maioria das vezes esses pacientes mais frágeis são excluídos de estudos clínicos e acabam recebendo esquemas adaptados com exclusão de drogas (esquema duplo ao invés de triplo) e com ajuste de doses, com objetivo de reduzir toxicidade e tentar melhorar a qualidade de vida. Além disso, muitos pacientes idosos não frágeis podem receber esquemas triplos ou até quadruplo com ajustes de doses pela idade ou pelas comorbidades.

_LETRA D CORRETA_: Os bisfosfonados são pirofosfatos inorgânicos há muito tempo utilizados no tratamento de doenças como MM, metastases ósseas, osteopenia ou osteoporose e estão relacionados a alterações no mecanismos de formação e reabsorção óssea. O seu mecanismo de ação focado na inibição de osteoclastos e redução de reabsorção óssea. Uma vez que os bisfosfonados passaram a ser amplamente utilizados para tratamento das condições acima, foi descrita uma complicação que foi nomeada BRONJ (Bisphosphonates Related OsteoNecrosis of the Jaw). Essa complicação é caracterizada por uma lesão em região maxilofacial que não não se resolve/repara em 8 semanas e afetam pacientes que estão em uso de bisfosfonados. O mecanismo dessa complicação não é completamente compreendido, mas acredita-se que esteja relacionada com o próprio mecanismo de inibição de reabsorção associada a um efeito anti-angiogenico, com redução de turn-over ósseo em um osso que esta bem próximo de uma área em contato com a cavidade oral e risco elevado de infecção. Os seguintes fatores de risco para BRONJ são descritos:
- Idade > 65 anos
- Tipo do bisfosfonado
- Via de administração de bisfosfonado
- Duração do uso do bisfosfonado
- Uso concomitante de outras drogas (corticoide ou QT)
- Procedimentos dentários invasivos.
Além disso, a alteranativa afirma que mesmo na presença de insuficiência renal os bisfosfonados são indicados e isso é também verdade. Tanto o ácido zolendronico quanto pamidronato podem ser usados nesse contexto. Com ClCr entre 30-60 ambos podem ser utilizados com ajuste de dose e com aumento do tempo de infusão, e se < 30 o pamidronato também pode ser usado. Idealmente o melhor nesse cenário é o Denosumab (inibidor de RANK-L) que não possui excreção renal. Além disso, vale ressaltar que se um paciente já for renal crônico dialético, qualquer um dos bisfosfonados podem ser usados, desde que realizados distantes da diálise.

How well did you know this?
1
Not at all
2
3
4
5
Perfectly
2
Q

(DASA TMO 2021) Em qual dos contextos abaixo o paciente não é considerado como portador de doença de alto risco?

(A) t (11,14) e com 25% de plasmócitos no sangue periférico.
(B) Paciente com ganho de 1q e com t (14;20).
(C) t (6,14), com dhl alto e com b2 microglobulina>5,5.
(D) del 17p , albumina 3,4 e com b2 microglobulina de 3,5.

A

QUESTÃO POLÊMICA
GABARITO LETRA D

MM é uma doença heterogenea, com alguns pacientes evoluindo com doença rapidamente progressiva e outros com uma apresentação mais indolente. O prognóstico de pacientes com MM depende de 4 fatores chave:
- Estadiamento (características da doença)
- Características do paciente
- Biologia da doença (morfologia plasmablástica, agressividade, envolvimento extramedular)
- Avaliação de resposta ao tratamento

Quanto falamos em estratificação de risco em MM, podemos utilizar mais de uma estratégia, de acordo com caracteristicas clínicas, laboratoriais e citogenéticas.

O modelo preferido para estadiamento no MM é o R-ISS, substituindo o modelo anterior Durie-Salmon. O R-ISS utiliza como parametros: B2 microglobulina, albumina, DHL e citogenética (FISH) e separa os pacientes em 3 grupos de risco. O ISS antes da revisão, não incluia DHL nem o FISH.
- R-ISS I: B2M < 3,5, DHL normal, Albumina > 3,5 e sem del(17p), t(4;14) ou t(14;16)
- R-ISS II: Não caracteriza estágio I ou III
- R-ISS III: B2M > 5,5 + DHL elevado E/OU Del(17p), t(4;14) ou t(14;16)

A estratificação desses pacientes em grupos os separa com diferentes PFS e OS em 5 anos, independente da idade e do tratamento realizado.

No entanto, o R-ISS utiliza apenas esses 3 marcadores citogenéticos como alto risco e alguns outros também são reconhecidos (mSMART Mayo Clinic)
- Risco Standard: Trissomias, t(11;14) e t(6;14)
- Risco Alto: Del17p, t(4;14), t(14;16), t(14;20), ganho1q, DHL > 2x LSN, achados que sugiram leucemia de células plasmocitárias

Além disso, a publicação do mSMART criou também a definição de MM double ou triple hit (se 2 ou 3 dessas alterações citogenéticas de alto risco)

Portanto, nenhuma alternativa seria correta

LETRA A: t(11;14) é um achado sugestivo de risco standard, mas se associado com 25% de leucemia de células plasmocitárias em SP indica o diagnóstico de leucemia de células plasmocitárias e portanto, configurando como alto risco

LETRA B: Ganho 1q e t(14;20) indicam caracteristicas citogenéticas de alto risco tanto pela Mayo Clinic quanto pelo R-ISS

LETRA C: t(6;14) caracteriza risco standard pelo mSMART, mas se B2M > 5,5 associado a DHL elevado configura alto risco pelo R-ISS

LETRA D: Apesar de ser o gabarito da questão, tanto o R-ISS quanto o mSMART caracterizam alto risco apenas pela presença de del17p

How well did you know this?
1
Not at all
2
3
4
5
Perfectly
3
Q

(DASA TMO 2021) Mulher de 45 anos, com diagnóstico de DLBCL, EC IIIB, em CR após tratamento inicial com 6 ciclos de R-CHOP. Apresentou recaída quimiossensível e foi submetido a um TMO autólogo. Teve quadro de neutropenia febril no D+10 em tratamento com cefepime. Apresentou enxertia neutrofílica no D +14. No dia +15 evoluiu com febre, diarreia, eritema maculopapular, infiltrado pulmonar bilateral sem foco infeccioso e ganho de peso. Hemoculturas parciais negativas. Qual a melhor conduta terapêutica?

(A) Ampliar o espectro da antibioticoterapia sistêmica.
(B) Tomografias de tórax e seios da face e considerar associar terapia antifúngica.
(C) Metilprednisolona.
(D) Ganciclovir.

A

(C) Metilprednisolona

A síndrome da enxertia (ou febre da enxertia) é uma complicação conhecida em TMO autologo. A fisiopatologia não é bem conhecida mas provavlmente envolve liberação de citocinas inflamatorias (IL-2, TNF-a, IFN, IL-8 e IL-6). Achados clinicos incluem combinação de febre (não infecciosa), rash cutaneo semelhante a GVHD agudo, infiltrados pulmonares, hipóxia, diarreia e outras manifestações clínicas de aumento de permeabilidade vascular (ganho de peso, edema, ascite, hipoalbuminemia). Esses sintomas ocorrem no período peri-enxertia.

A incidencia dessa síndrome varia entre 7-59% em diferentes relatos, refletindo diferentes critérios diagnósticos aplicados. Existem dois principais critérios diagnósticos:

(A) SPITZER
- 3 maiores ou 2 maiores e 1 menor dentro de 96h da enxertia
- Maiores: Febre não infecciosa, Rash cutaneo > 25% SC, edema pulmonar (não cadiogênico), hipoxemia
- Menores: Ganho de peso, disfunção hepática ou renal, encefalopatia transitória

(B) MAIOLINO
- Critério obrigatório: Febre não infecciosa
- Mais um ou mais dos seguintes: Rash cutaneo, diarreia infiltrado pulmonar começando 24h antes ou depois da enxertia neutrofílica

Obs.: A febre não infecciosa vai ser explicada como febre sem foco evidente e sem documentaçã microbiana

O aspecto mais importante no manejo de pacientes com febre da enxertia é o reconhecimento precoce. O primeiro passo é excluir causas alternativas, de modo que o paciente deve ser tratado com antibioticoterapia de amplo espectro para descartar possibilidade de quadro infeccioso.
Em alguns casos, os sintomas podem se resolver espontaneamente. Se os sintomas não melhorarem dentre 48-72h, o diagnóstico de febre da enxertia deve ser considerado.

A decisão de tratamento depende da gravidade dos sintomas e da exclusão de outras causas. Quando indicado, o tratamento sugerido é metilprednisona 1-1,5mg/kg/dia até início de melhora de sintomas (que geralmente ocorre dentro de 48h), seguido de uma redução para 40-50mg de prednisona por 2-3 dias. A prednisona pode ser desmamada 10mg a cada 2-3 dias desde que os sintomas continuem a melhorar.

How well did you know this?
1
Not at all
2
3
4
5
Perfectly
4
Q

(DASA TMO 2021) Em relação ao TMO alogênico, assinale a alternativa correta:

(A) O TMO haplo se mostrou superior em relação à DFS e OS que o TMO de cordão umbilical.
(B) O uso de condicionamento MAC se mostrou na maioria dos estudos para LMA superior em DFS que os esquemas de condicionamento RIC, às custas de maior TRM.
(C) O uso de radioterapia 2 GY no condicionamento, produz taxas de falha de enxertia inaceitáveis no TMO haplo com condicionamento RIC
(D) O uso da CyPT melhorou a taxa do sucesso dos transplantes,
reduzindo a incidência de GVHD e assim de infecções virais.

A

(B) O uso de condicionamento MAC se mostrou na maioria dos estudos para LMA superior em DFS que os esquemas de condicionamento RIC, às custas de maior TRM

_LETRA A INCORRETA_:
Para pacientes que não possuem um MRD ou um MUD ou quando pela agressividade e rápida progressão da doença é necessário um transplante mais rápido (sem tempo para pesquisar MUD), existem duas alternativas de doadores: Haplo ou cordão.
Cada uma delas tem suas vantagens e desvantagens, como por exemplo:
- Cordão: Menores taxas de GVHD em comparação com outras fontes e boa disponibilidade, mas peca por não permitir coleta de DLI em caso de recaída, risco maior de falha de enxertia e enxertia tardia, reativação de CMV e EBV (e portanto maior risco de PTLD). Algumas estratégias como uso de duas unidades de cordão e expansão das células tronco e células mesenquimais tendem a reduzir o risco de falha de enxertia e enxertia tardia por aumentar o numero de células CD34
- Haplo: Possui o benefício de ter um forte efeito GVL, mas tem maior risco de GVHD severo, sendo necessário reforçar profilaxia de GVHD com CyPT. O uso de CyPT reduziu consideravelmente as taxas de GVHD grave nesses pacientes com redução de morbimortalidade relacionada ao TMO.

Ainda assim, pelas particulariades, parece que existe algumas vantagens do haplo em relação ao cordão por: Maior facilidade de identificar doadores (geralmente filhos, pais ou irmãos), possibilidade de um segundo transplante ou DLI e menor custo.

No entanto, em relação a eficácia das duas opções, alguns RCT e meta-analises (apesar de poucos realizados) tendem a mostrar taxas semelhantes de PFS e DFS entre as duas estratégias, além de não demonstrar grandes diferenças em GVHD, NRM e recaída.

_LETRA B CORRETA_:
TMO é a unica estratégia potencialmente curativa em algumas doenças hematológicas malignas, como LMA por exemplo. Embora regimes de condicionamento MAC antes do TMO possam ser curativos, são relacionados a significativamente maior TRM. No entanto, o entendimento de que parte do potencial curativo do procedimento vem de um efeito GVL mediado por células do doador, levou ao maior estudo de regimes menos intensivos como RIC na tentativa de reduzir a TRM.
Muitos estudos retrospectivos mostram taxas de OS semelhantes independente do regime de condicionamento, mas com menores taxas de TRM e maiores taxas de recaída nos pacientes que receberam RIC. No entanto, existem complicações inerentes ao viés ser retrospectivo, além de seleção de pacientes (pacientes com maiores comorbidades geralmente fazem RIC e pacientes com menos comorbidades e maior chance de recaída sendo alocados no grupo MAC).
No entanto, alguns estudos prospectivos fase 3 mostram que usar MAC em pacientes com LMA traz mais DFS, com menos recaida, as custas de maior TRM em relação ao RIC.

_LETRA D INCORRETA_:
Durante algum tempo, as elevadas taxas de GVHD por mismatch HLA trouxeram maior TRM para os pacientes que recebiam de doador haploindentico, tornando esse doador inviável em grande parte dos casos. No entanto, estudos mostraram que a depleção de células T com ciclofosfamida após o transplante poupava as células progenitoras e limitava as taxas de GVHD, tornando-as permissivas para realização de TMO nesses casos. Inclusive, posteriormente outros estudos avaliaram o CyPT como estratégia de GVHD em pacientes submetidos a TMO com condicionamento RIC com outros doadores (MRD ou MUD) e também com benefício (BMT CTN 1703).
No entanto, sabe-se que a maior depleção de células T (seja por CyPT, ATG ou Alemtuzumab), se por um lado mitigam o risco de GVHD, por outro estão associados a maior imunossupressão e reativação viral (CMV, EBV por exemplo).

How well did you know this?
1
Not at all
2
3
4
5
Perfectly
5
Q

(DASA 2021) Uma paciente, com 45 anos, apresenta quadro crônico de pancitopenia e esplenomegalia. A avaliação da MO revela infiltração por células linfóides, com reação positiva para CD19, CD20 , CD23 , CD25, CD 11c e para fosfatase ácida resistente a tartarato. Nesse caso, mecanismo fisiopatológico mais provável é:

(A) Deleção do 17 p
(B) Inibição do Bcl 2
(C) Mutação do BRAF V600e
(D) Expressão da ciclina D1

A

(C) Mutação do BRAF V600e

Trata-se de uma questão levantando a discussão de diagnóstico diferencial entre linfomas com células pequenas. Em geral, é util a distinção entre eles de acordo com o perfil de CD5 e CD10, porém esses marcadores não estão disponíveis. Sabemos apenas que tem marcadores B (CD19 e CD20) inespecíficos e cabe diferenciar as etiologias com o restante. A presença de CD23, CD25 e CD11c indica o diagnóstico de tricoleucemia, que associado a apresentação clinica mais comum de pancito e esplenomegalia, reafirma o diagnóstico.
LETRA A INCORRETA: A Del17p é um achado citogenético inespecífico, não sendo possível afirmar pois pode estar presente em inumeras doenças linfoproliferativas
LETRA B INCORRETA: SUPEREXPRESSÃO de BCL2 é o principal mecanismo de linfoma folicular, que se apresenta com marcadores B, CD10+ CD5- e presença de hiperexpressão de BCL2 e/ou BCL6. O BLC2 é um oncogene anti-apoptótico e sua inibição estimularia a apoptose, não sendo portanto a etiologia do linfoma folicular.
_LETRA C CORRETA_: Como ja estabelecemos como principal hipótese, o mecanismo da tricoleucemia é atraves da mutação do BRAF V600e\
LETRA D INCORRETA: A expressão de ciclina D1 ocorre em mais de 90% dos casos de linfoma do Manto, mas geralmente esse linfoma se caracteriza por CD23 e CD11c negativos.

How well did you know this?
1
Not at all
2
3
4
5
Perfectly
6
Q

(DASA 2021) Sobre a LPA, considere as seguintes afirmativas:

I Pacientes com translocação t(11,17) são geralmente resistentes ao ATRA
II O ATRA e o ATO possuem papel na manutenção da remissão
III O imunofenótipo é composto pela expressão de CD 13, CD 33, CD 34 e HLA-DR.
IV A LPA é geralmente resistente a antracíclicos.
V A DRM na LPA após a quimioterapia de consolidação não guarda correlação com o risco de recidiva.

Assinale a alternativa correta.
(A) Somente as afirmativas I e II são verdadeiras.
(B) Somente as afirmativas II e III são verdadeiras.
(C) Somente as afirmativas I, II e III são verdadeiras.
(D) Somente as afirmativas IV e V são verdadeiras.

A

(A) Somente as afirmativas I e II são verdadeiras

_I CORRETA_:
A LPA é classicamente caracterizada pela t(15;17) resultando no PML-RARa e promielócitos anomalos e alta tendencia a coagulopatia. No entanto, um subgrupo de pacientes com leucemia aguda e morfologia semelhante a LPA podem apresentar translocações variantes envolvendo o RARA. Uma dessas translocações variantes é a t(11;17) resultanto no gene de fusão ZBTB16-RARA, com alguns relatos demonstrando comportamento resistente ao uso de ATRA. A abordagem ideal desses pacienes é incerta, com algumas referencias indicando tratamento semelhante a LMA.

_II CORRETA_:
Perceba que a questão não indica que ATRA e ATO devem ser usados como terapia de manutenção. A alternativa indica que eles possuem um papel importante em manutenção de remissão e prevenção de recaídas. Alguns estudos compararam a estratégia de ATRA+ATO, com maior efeito benéfico principalmente no grupo de pacientes de não alto risco. Esses estudos mostram maior EFS e menor recaída no grupo de quimio-free. Sendo que o maior estudo mostrou não inferioridade de ATRA+ATO em relação a ATRA+QT, além de menores taxas de efeitos colaterais. Dessa forma, como está associada a menores taxas de recaída (inclusive com ATO tendo boas concentrações em SNC e prevenindido a recaída, podemos afirmar que essas medicações tem papel em manter a remissão.

III INCORRETA:
O imunofenótipo da LPA é composto por dois espectros
- Hipergranular: MPO+, CD13+, CD33+, CD117+, CD64+, HLA-DR-, CD11a-, CD11b-, CD18-, CD34-, CD15-, CD65-
- Hipogranular: MPO+, CD13+, CD33+, CD117+, CD34+, CD2+, HLA-DR-, CD11a-, CD11b-, CD18-

Portanto, apesar de costumar ser negativo nas formas hipergranulares, o CD34 pode ser positivo nos pacientes com LPA hipogranular. No entanto, o que torna a alternativa incorreta é o HLA-DR que é universalmente negativo.

IV INCORRETA:
Inclusive, em pacientes com doença de alto risco, o tratamento indicado é ATRA+QT com antraciclicos

V INCORRETA:
A CR é obtida em virtualmente todos o pacientes submetidos a ATRA+QT ou ATRA+ATO atraves de avaliação molecular com PML-RARa. No entanto, o ideal e que possui valor em risco de recaída é a avaliação cde DRM no final da consolidação, e não da indução. Isso porque após a indução, nas primeiras 3-4 semanas e até 40 dias em alguns pacientes, ainda pode haver a presença de diferenciação tardia com alguns dos promielocitos anomalos, ainda apresentando citogenetica com t(15;17) por FISH ou PCR para PML-RARa. No entanto, esses achados citogenéticos e moleculares após a indução não podem ser considerados como falha de tratamento e não indicam mudança da terapia atual. Ao contrário, a análise molecular ao fim da consolidação é crucial para determinar o risco de recaida. Atingir a remissão molecular ao fim da consolidação corresponde a CR com DRM negativa pelo ELN e é um dos objetivos no tratamento dos pacientes com LPA.
Atualmente, com os tratamentos utilizados, tem se questionado o beneficio de monitoramento intensivo de DRM em pacientes de baixo risco, já que esses pacientes por si só ja possuem um baixo risco de recaída. Dessa forma, a avaliação de DRM pós consolidação pode ser realizado apenas nos pacientes de alto risco ao diagnóstico.
Em relação ao melhor método, análise por PCR de MO para PML-RARa é mais sensível para recaída, mas a facilidade de coleta de SP permite avaliações mais frequentes de forma mais confortável ao paciente, com maior vigilancia tornando igual a sensibilidade dos dois métodos.

How well did you know this?
1
Not at all
2
3
4
5
Perfectly
7
Q

(DASA TMO 2021) Homem, 34 anos, tem diagnóstico de anemia aplásica grave há 10 meses. Realizou há 9 meses ISS com ATG de coelho e CsA com resposta parcial após 3 meses. Realizou novo tratamento ISS há 3 meses dessa vez com ATG de cavalo. Atualmente com recidiva dos sintomas relacionadas à plaquetopenia grave e anemia, mantendo necessidade transfusional quinzenal. Não possui irmãos HLA-idênticos. Foi encaminhado para segunda opinião. Foram solicitados os seguintes exames: Hb 5,4 VCM 98 Leuco 1820 neutro 980 plaq 19000 Reticulócitos 8500/mm3. Imunofenotipagem de MO: normal. Cariótipo: 46,XX[20]. Mielograma: MO intensamente hipocelular com aumento da atividade macrofágica. Biópsia de MO: celularidade de aproximadamente 5%, sem fibrose. Imunofenotipagem de SP: presença de clone HPN tipo III em 8% dos neutrófilos e 7% dos monócitos e clone tipo II em 2% dos neutrófilos e 3% dos monócitos. Qual seria a melhor conduta nesse momento?

(A) Tratamento com eculizumabe seguido de TMO alogênico de não-aparentado ou de doadores alternativos, em função da disponibilidade de doadores.
(B) Tratamento com eculizumabe e realizar TMO alogênico apenas se não responder ao eculizumabe.
(C) Nova ISS com ATG de cavalo e CsA ou alemtuzumabe e CsA, uma vez
que o paciente não tem doadores compatíveis.
(D) TMO alogênico não-aparentado ou a partir de outros doadores alternativos, em função
da disponibilidade de doadores.

A

(D) TMO alogênico não-aparentado ou a partir de outros doadores alternativos, em função
da disponibilidade de doadores.

Trata-se de um paciente jovem, < 40 anos, com história dfe anemia aplásica grave. Só com essa informação, sabemos que o tratamento ideal, caso o paciente possua algum doador aparentado HLA identico, já indicaria TMO alogenico em primeira linha. Alguns autores já indicam terapia com TMO com doadores alternativos (NAP ou Haplo) tendo em vista o benefício em menor taxa de infecção, menor necessidade de suporte transfusional e menor risco de evolução clonal para SMD ou LMA. No entanto, também estaria correto o tratamento com ISS (idealmente tripla com ATG, CsA e Eltrombopag) seja em primeira linha ou até definição de doadores alternativos.
A ISS em primeira linha traz resposta em 60-80% dentro de 10-12 semanas (resolução de suporte transfusional e perda de critérios para SAA).

No caso do paciente em questão, foi realizada ISS em primeira linha, sem sucesso e tentada novamente com troca do ATG. No cenário em questão, o ideal seria o TMO de doadores alternativos (LETRA D CORRETA)
O paciente trocou ATG de cavalo por ATG de coelho. Apesar do processo de manufatura ser semelhante, o ATG de coelho está relacionado a maior e mais prolongada ISS, com maior toxicidade quanto realizada em primeira linha de tratamento. Em pacientes com falha de terapia imunossupressora de primeira linha com CsA e ATG-h com 3 meses, pode ser tentado ATG-r com taxas de resposta adicionais em 35% dos pacientes.

Apesar da existencia de um pequeno clone HPN no paciente, este se apresenta apenas com manifestações de falência medular e anemia aplásica, sem sinais de hiperativação de complemento (hemólise intravascular/trombose). Portanto, não existe benefício da introdução de Eculizumab (LETRAS A e B INCORRETAS).

Alemtuzumab é um anticorpo monoclonal anti CD52 que é expresso em linfócitos e outras células hematopoieticas. Pode ser realizado em monoterapia ou em associação com CsA. O Alemtuzumab pode ser dado para pacientes que não toleram CsA devido a disfunção renal. Sem indicação em tratamento de primeira linha e pode ser indicado em pacientes com SAA refratários que NÃO SEJAM CANDIDATOS A TMO (LETRA C INCORRETA)

How well did you know this?
1
Not at all
2
3
4
5
Perfectly
8
Q

(DASA TMO 2021) Dos tratamentos abaixo, qual está associado à maior probabilidade de atingir doença residual mínima em LLC?

(A) Acalabrutinibe.
(B) Fludarabina, ciclofosfamida e rituximabe.
(C) Bendamustina e rituximabe.
(D) Clorambucil e obinutuzumabe.

A

(B) Fludarabina, ciclofosfamida e rituximabe

O uso de DRM em doenças como LMA ou outras condições tem o proposito curativo, com objetivo de identificar pacientes com maior risco de recaida. No entanto, tem um papel duvidoso na prática clinica de pacientes com doenças como LLC, já que o tratamento dessas condições não tem proposta curativa.
Recentemente, DRM em LLC voltou a trazer interesse clinico, pelo advento de noas terapias capazes de respostas mais profundas, como o venetoclax.

DRM indetectável é definida pelo International Workshop on CLL (iwCLL) como a presença de < 1 linfócito de LLC por 10.000 leucócitos.
Ainda de acordo com o iwCLL consideramos paciente com CR quando:
- < 4.000 linfócitos
- > 1.000 neutrófilos
- > 100.000 plaquetas
- Hb > 11
- Ausencia de linfonodomegalias > 1,5 ao exame físico
- Ausencia de hepato/esplenomegalia ao exame físico

No entanto, a avaliação clinica isoladamente não é considerada acurada na era da biologia molecular e terapia individualizada. Portanto, uma boa ferramente capaz de predizer os desfechos e risco de recaída como DRM poderia ser indicada. Porém, ainda não é indicada na prática clinica por ser tecnicamente mais dificil em alguns locais e pelo maior custo atrelado ao tratamento.

Na era de terapias alvo e anticorpos monoclonais, com diversas combinações de tratamento disponíveis, a taxa de profundidade de resposta ao tratamento medida pela DRM é considerada endpoint para estabelecimento da superioridade terapeutica de um esquema em relação ao outro.

O esquema FCR induz uma CR prolongada, geralmente acompanhada de negatividade de DRM.
O estudo CLL10 comparou FCR com BR em pacientes fit sem del17p e mostrou maior taxa de negativação de DRM e maior PFS no grupo de FCR, contrabalanceado pelo maior risco de neutropenia e infecção (LETRA B CORRETA e LETRA C INCORRETA)

O tratamento com G-Clorambucil foi testado em alguns estudos, como o CLL11 (O-clorambucil vs V-Clorambucil) e o ILLUMINATE (Ibruti-CLorambucil vs O-clorambucil). No entanto, clorambucil é uma medicação muitas vezes usadas em pacientes mais idosos, unfit e frágeis, sendo pouco capazes de definir grandes taxas de DRM negativa (LETRA D INCORRETA)

O tratamento com ITK como acalabrutinib geralmente obtem redução de linfonodos, melhora em niveis hematimétricos mas não são capazes de atingir DRM negativa em nenhum ponto da doença, já que é necessário uso contínuo da medicação para controle (LETRA A INCORRETA)

How well did you know this?
1
Not at all
2
3
4
5
Perfectly
9
Q

(DASA TMO 2021) Paciente do sexo masculino, 24 anos, procura PS com quadro de dor abdominal. Ao exame, esplenomegalia discreta. Hemograma inicial: Hb 13,8 VCM 92 L 34000 com desvio escalonado até promielócitos eosino 1280 baso 570 mono 4470 plaq 235000. Investigação hematológica confirma diagnóstico de LMC em fase crônica, sendo iniciado imatinibe 400mg/dia. Em relação ao diagnóstico, seguimento e tratamento deste paciente é INCORRETO afirmar que:

(A) As definições de fase acelerada não são consensuais na literatura.
(B) Caso este paciente apresente aos 3 meses menor que 10% BCR-ABL na medula óssea com cariótipo normal, configura-se resposta ótima ao tratamento.
(C) A presença de menos que 1% BCR-ABL na MO aos 3 meses de tratamento é fator de bom prognóstico.
(D) Em locais com maior acesso aos inibidores de segunda geração, o correto seria iniciar o tratamento com dasatinibe ou nilotinibe.

A

(D) Em locais com maior acesso aos inibidores de segunda geração, o correto seria iniciar o tratamento com dasatinibe ou nilotinibe.

_LETRA A CORRETA_
As definições de fase acelerada dependem da referencia utilizada. Por exemplo:
- WHO anterior: Blastos 10-19%, Basofilos > 20%, Plaquetas < 100.000 não atribuivel ao tratamento ou > 1.000.000 em tratamento, anormalidades cromossomicas adicionais ocorrendo durante o tratamento
- ELN Blastos + Promielo 15-29%, Basófilos > 20%, Plaquetas < 100.000 não atribuível ao tratamento, anormalidades cromossomicas adicionais ocorrendo durante o tratamento

Percebe-se portanto, que o corte da contagem de blastos já era diferente na classificação anterior. No entanto, na classificação de LMC mais recente da WHO, a classificação de fase acelerada se tornou irrelevante e não sendo mais usada. O racional era de que a história natural da LMC antes da introdução do ITK era um curso bifásico ou trifásico caracterizado por uma fase cronica evoluindo para uma fase blástica, podendo ou não passar por uma fase acelerada. Com o início dos ITK e monitorização cautelosa da doença, a incidencia de progressão apra fase avançada da doença reduziu e a taxa de OS em 10 anos é de 80-90%. Portanto, a designação de uma fase acelerada se torna menos relevante, já que o mais importante é a detecção de resistencia ao ITK por mutações no dominio ABL1, mutações citogenéticas adicionais ou desenvolvimento de fase blástica. Portanto, o termo de fase acelerada acaba sendo omitido na classificaçõa atual, com maior enfase em achados de alto risco associados a resistencia a ITK e risco citogenético adicional para progressão para fases blásticas.

_LETRAS B e C CORRETAS_:
Durante o tratamento de pacientes com LMC em uso de ITK, é necessária vigilancia e monitoramento da resposta ao tratamento através da avaliação clinica (hemograma e exame físico), citogenética [t(9;22)] e molecular (BCR-ABL1). Dessa forma, é necessário garantir que o paciente alcance alguns alvos de monitoramento para garantir a resposta ideal e menor risco de progressão de doença. Dentre esses alvos, o primeiro a ser alcançado é obter uma MMR/MR3 (BCR-ABL1 < 1%) dentro do período de 6 meses. Caso o paciente não atinja esse objetivo, deve-se confirmar a aderencia ao tratamento e considerar pesquisa de mutação do domínio ABL1 (T315I) e troca de ITK. Outro alvo que prediz um melhor desfecho mas que caso não seja alcançado não indica mudança de terapia é o EMR (Early Molecular Response), definido por BCR-ABL1 < 10% dentro de 3 meses.

_LETRA D INCORRETA_
O tratamento mais indicado de primeira linha na maioria dos casos é através do Imatinib (ITK de primeira geração). Alguns estudos já tentaram comparar os ITK de segunda geração ao Imatinib, porém sem diferença nos desfechos, inclusive com taxas de progressão para fase blástica semelhantes. A diferença apenas foi que os ITK de 2 geração apresentaram respostas moleculares mais rapidamente. Além disso, os ITK de segunda geração tem um perfil de efeitos colaterais conhecidos (Dasa: Derrames cavitarios / Nilo: Sindrome metabolica), sendo muitas das vezes menos tolerados que o Imatinib. Existem, porém, algumas situações que preferimos os ITK de segunda geração:
- Pacientes com Sokal mais alto e teoricamente risco de progressão de doença mais precocemente
- Mulheres em idade fértil que teriam que suspender o ITK durante a gestação e possuem desejo de gestar. Dessa forma, pode-se obter respostas moleculares mais precoces com objetivo de em algum momento discutir a suspensão do medicamento para gestaçãpo.

How well did you know this?
1
Not at all
2
3
4
5
Perfectly
10
Q

(DASA TMO 2021) Homem 55 anos, previamente hígido, internado na oncologia de outro serviço com quadro de adenopatias generalizadas associadas a sintomas B. Exames:
- Hb 9,2 VCM 90,8 Leuco 17110 N3950 L12780 plaq 222000
- PET-CT: Observam-se áreas de hipercaptação do radiofármaco em múltiplas linfonodomegalias cervicais, axilares, mediastinais, hilares pulmonares, retroperitoneais, mesentéricas, ilíacas e inguinais bilaterais (maior SUV = 2,7) e em pequeno derrame pleural bilateral (maior SUV = 1,2)
- Biópsia de linfonodo cervical: infiltração difusa por células linfoides atípicas. Não foi realizada imunohistoquímica
- Biópsia de MO: MO hipercelular (cerca de 80%) Infiltrado linfóide nodular intertrabecular e intersticial (cerca de 70 % dos elementos nucleados), compatível com infiltração por processo linfoproliferativo.

Paciente foi tratado com 6X R-CHOP com PR. Paciente foi encaminhado para o nosso serviço para tratamento de segunda linha, persistindo as adenomegalias e linfocitose. Foi realizado IFP de SP:
- POSITIVOS: cadeia leve kappa, CD20, CD5, CD19, CD23
- NEGATIVOS: cadeia leve lambda, FMC-7, CD10, CD38, CD3, CD79b.
- FISH: Foi observado apenas um sinal correspondente à região 17p13.1, sugerindo deleção do gene TP53 em 160 das 200 intérfases analisadas. Qual a melhor conduta?

(A) Ibrutinibe 6 meses e manutenção com obinutuzumabe.
(B) Venetoclax e obinutuzumabe por 2 anos.
(C) 4x FCR e TMO não-mieloablativo após atingir CR
(D) Ibrutinibe ou venetoclax + rituximabe e considerar TMO após atingir remissão pelo menos parcial.

A

(B) Venetoclax e obinutuzumabe por 2 anos

Trata-se de um paciente de 55 anos, que foi erroneamente diagnósticado na apresentação inicial. O paciente apresenta linfonodomegalias e linfocitose em SP, com apresentação sugestiva de LLC por exemplo, mas tratada inicialmente com 6x R-CHOP.

No entanto, com exames adicionais em outro serviço, quando foi confirmado o diagnóstico de LLC caracterizado por CD5+, CD23+, CD10-. Já que existe a indicação de tratamento, foi realizada pesquisa citogenética com FISH e obervação de alteracão TP53 e del(17p).

Dessa forma, como foi estabelecido o diagnóstico de LLC e indicado tratamento, a escolha da terapia depende de alguns parametros, sendo um deles a del(17p). Essa alteração citogenética é sugestiva de pior prognóstico, menor sobrevida e menor respsota ao tratamento com quimio-imunoterapia. Nos pacientes com LLC e del(17p), o tratamento ideal deve ser com anti-CD20 + Venetoclax (terapia finita) ou com ITK (terapia contínua) - LETRA C INCORRETA. Como o tratamento inicial foi incorreto, não existiria indicação de TMO nesse momento (LETRA C e D INCORRETAS).

Dentre as opções de anti-CD20 + Veneto oi IBTK, temos alguns estudos

(I) CLL14: Obinuntuzumab-Veneto vs Obinuntuzumab-Clorambucil em pacientes unfit. O tratamento foi com duração de um ano de Obinuntuzumab-Veneto e mostrou benefício em PFS, incluindo benefício em todos os subgrupos (IGHV não mutado ou TP53)

(II) MURANO: BR vs Veneto-Rituximab em pacientes fit com LLC R/R. Os pacienteds faziam VR por 6 meses e manutenção de veneto até 2 anos. Trouxe beneficio em todos os grupos de paciente, incluindo mutação TP53. Esse foi o estudo que liberou VR para pacienes em segunda linha. Esse foi o estudo que a questão abordou - LETRA B CORRETA

(III) iLLUMINATE: Ibrutinib+Obinuntuzumab vs Obinuntuzumab-Clorambucil em pacientes não fit e incluindo pacientes com TP53. Trouxe maior benefício ao esquema Ibrutinib-Obinuntuzumab, no entanto, não é capaz de confirmar o benefício de adicionar Obinuntuzumab ao Ibrutinib pela ausencia de grupo monoterapia. Além disso, o uso de Ibrutinib é realizado de forma contínua até intolerância ou progressão de doença. Portanto, LETRA A INCORRETA

How well did you know this?
1
Not at all
2
3
4
5
Perfectly
11
Q

(DASA TMO 2021) Paciente de 60 anos vai iniciar o tratamento de um linfoma agressivo com quimioterapia. Seu estadiamento é avançado. A biópsia linfonodal tem um HE com presença maciça de células grandes, características de imunoblastos e por vezes blastoides, com infiltração difusa da arquitetura linfonodal. IHQ mostra o seguinte perfil:
- CD10+, CD20 +
- CD3 -, CD5 -, TdT -
- Ki67 90%
- Myc + (50%), BCL2 + (60%), BCL6-.
- FISH veio com mutação do MYC e BCL-2.

Sobre a terapia desse paciente acima, marque a alternativa correta:

(A) É obrigatório realizar esquema intensivo como DA-EPOCH-R e HyperCVAD e não realizar esquema RCHOP.
(B) Caso feita opção por esquemas agressivos, como DA-EPOCH-R e CODOX-mIVAC, não parece ter benefício consolidar com TCTH autólogo.
(C) Independente do esquema escolhido o paciente deve ter terapia de consolidação com TCTH autólogo, em 1a CR
(D) Independente do esquema escolhido, não há nenhum benefício de realizar terapia de consolidação com TCTH autólogo em 1a CR

A

(B) Caso feita opção por esquemas agressivos, como DA-EPOCH-R e CODOX-mIVAC, não parece ter benefício consolidar com TCTH autólogo

Trata-se de um paciente com linfoma B agressivo estadio avançado e durante a investigação etiológica, percebemos que se trata de um linfoma B de alto grau (Double expressor e Double Hit).
Essas informações são uteis para programar o esquema terapeutico, já que esses pacientes possuem um maior risco de recaída.

O desfecho de pacientes com linfoma double/triple hit tratados com terapia padrão de DLBCL (R-CHOP) é ruim. Maioria desses pacientes apresentam altas taxas de recaída ou até progressão de doença em vigencia do tratamento. Dessa forma, alguns outros esquemas podem ser utilizados:
- R-DA-EPOCH
- R-CODOX-M/IVAC
- HyperCVAD

Temos que tem em mente que a mediana de idade desses pacientes é 70 anos e que pacientes mais idosos tem piores desfechos com R-CODOX-M/IVAC (esquema desenhado para crianças com Burkitt) ou HyperCVAD e toleram melhor R-DA-EPOCH.
Em geral, TMO autólogo para consolidação em primeira remissão não mostram benefício em OS e apenas alguns mostram benefício em PFS nesses pacientes. Maioria dos estudos foram em pacientes com DLBCL, sem um foco específico em linfomas de alto grau, mas pela incerteza do dado, não existe evidencia do benefício de TMO nesses pacientes com esquemas intensivos como R-DA-EPOCH (LETRA B CORRETA e LETRA C INCORRETA)

Apesar das baixas taxas de resposta com R-CHOP e frequentes recaídas, talvez nesses pacientes exista algum benefício de consolidar com TMO autologo. Um estudo de análise multicentrica de linfomas Double-Hit em primeira CR, taxas de resposta e sobrevida foram semelhantes entre pacientes tratados com esquemas mais intensivas e pacientes com R-CHOP seguido de TMO autólogo. No entanto, esse estudo foi com um n muito pequeno de pacientes no grupo R-CHOP. Dessa forma, um estudo maior publicado em 2022 pela ASCTC confirmou que essa estratégia pode ser eficaz (**LETRA A e D INCORRETAS)

Existem outras situações que podemos usar R-CHOP sem TMO?

Existem. Nos pacientes que se apresentam com linfoma de alto grau em estadios iniciais (que são a minoria dos casos), não existe diferença no tratamento com R-CHOP e esquemas mais intensivos. Dessa forma, é uma estratégia que pode ser usada. Além disso, em pacientes idosos e mais frágeis, R-mini-CHOP pode ser uma alternativa.

Outra situação é em pacientes jovens e candidatos a TMO.

How well did you know this?
1
Not at all
2
3
4
5
Perfectly
12
Q

(DASA TMO 2021) Paciente de 63 anos procura serviço de referência para segunda opinião pois está acompanhando com Oncologista há 2 anos com diagnóstico de trombocitemia essencial. O diagnóstico foi feito por biópsia de MO. Não foi realizado à época citogenética, pesquisa do gene BCR-ABL ou da mutação JAK2. Vem em uso de Hydrea e AAS há 18 meses mantendo cerca de 500.000 plaquetas e apresentando sintomas de eritromelalgia. Hemograma atual: Hb 9,3 Leuco 30.300 (com desvio à esquerda até blastos) Plaq 530.000. Qual o diagnóstico mais provável e o manuseio adequado?

(A) LMC. Suspender Hydrea e iniciar tratamento com imatinibe.
(B) Neoplasia mieloproliferativa crônica atípica com características mistas entre TE e LMC. Suspender Hydrea e iniciar tratamento com imatinibe
(C) Mielofibrose. Suspender Hydrea e indicar tratamento com ruxolutinibe e considerar TMO
alogênico.
(D) Neoplasia mieloproliferativa crônica com predomínio de trombocitemia essencial, pelo tamanho do clone Ph+ (apenas 1 metáfase). Suspender Hydrea e iniciar anagrelide, em função da persistência de sintomas com o tratamento com Hydrea.

A

(C) Mielofibrose. Suspender Hydrea e indicar tratamento com ruxolutinibe e considerar TMO
alogênico

Trata-se de um paciente de 63 anos que fazia acompanhamento pelo diagnóstico de TE. Vinha fazendo uso de hidroxiureia, mantendo controle adequado de plaquetas. No entanto, em hemograma atual, apresenta anemia que poderia ser secundária a hidroxiureia, mas também apresenta leucocitose com desvio escalonado até presença de blastos em SP. No entanto, não há quantificação da contagem de blastos. A mielofibrose é uma doença mieloproliferativa que pode ser primária ou secundária a PV ou TE, com mieloproliferação levando a produção de fibrose medular.

O diagnóstico de MF pós TE é dado através de:
(A) CRITÉRIOS OBRIGATÓRIOS
- Documentação de diagnóstico prévio de TE definido pelos critérios da WHO
- Fibrose de MO graus 3-4 (contando de 0-4)

(B) CRITÉRIOS ADICIONAIS PELO MENOS 2
- Anemia e uma queda de > 2 pontos de Hb em relação ao basal
- Reação leucoeritroblástica
- Esplenomegalia crescente definido como aumento em esplenomegalia palpável de mais de 5cm ou surgimento de esplenomegalia palpável
- DHL elevado
- Desenvolvimento de pelo menos um sintoma constitucionao: Perda de pelo menos 10% do peso corporal em 6 meses, sudorese noturna e febre inexplicada

Obviamente, o diagnóstico de MF pós TE não pode ser estabelecido até o momento, uma vez que não possuimos um dos critérios obrigatórios. A paciente não realizou biópsia de MO para confirmar o diagnóstico. Mas mesmo assim, essa é a principal hipótese a se pensar.

How well did you know this?
1
Not at all
2
3
4
5
Perfectly
13
Q

(DASA TMO 2021) Mulher de 25 anos com Linfoma de Hodgkin esclerose nodular estadio IIBX (bulky mediastinal). Seu IPS é de 3. Qual seria sua proposta terapêutica?

(A) ABVDx6 e RT de consolidação mediastinal, de preferência “involved node” ou “involved site”.
(B) ABVDx6 sem RT, mas caso PET-CT após 2 ciclos mostrar ainda atividade metabólica (Deauville 3
ou mais) realizar RT mediastinal tipo “involvedfield”.
(C) ABVDx6 com RT de consolidação, mas se PET-CT após 4 ciclos mostrar ainda atividade metabólica
(Deauville 3 ou mais) trocar para esquema BEACOPP escalonado por mais 4 ciclos.
(D) ABVDx2 ciclos e caso PET-CT interim negativo poderá ser omitida a bleomicina nos próximos 4 ciclos.

A

(D) ABVDx2 ciclos e caso PET-CT interim negativo poderá ser omitida a bleomicina nos próximos 4 ciclos

Trata-se de uma paciente jovem com diagnóstico recente de linfoma de Hodgkin. Uma vez estabelecido esse diagnóstico o tratamento vai ser definido de acordo com o estadiamento da doença.

O linfoma de Hodgkin é classificado como estadio precoce ou avançado de acordo com os critérios de Lugano. No caso em questão, por ser EC II seria classificado como estadio precoce e essa paciente seria tratada com esquema combinado de quimioterapia e radioterapia. No entanto, por ser ECII com massa bulky mediastinal passa a ser considerado estadio avançado.

Dessa forma, o tratamento envolve apenas quimioterapia em primeira linha, sem benefício da adição de radioterapia. Um dos tratamentos de escolha pode ser 6xABVD. No entanto, uma opção pode ser o descalonamento de terapia baseado em PET. Segundo o estudo RATHL trial, no caso de PET interim negativo após 2 ciclos de ABVD não existe diferença de desfecho em realizar 4 ciclos de ABVD ou AVD, com benefício de redução de toxicidade pulmonar pela omissão da bleomicina.

(A) INCORRETA - Até o momento nenhum estudo mostrou benefício em OS com QT+RT nos pacientes que responderam a QT. Um estudo do grupo italiano (GITIL) randomizou pacientes com linfoma hodgkin avançado com CR após QT para receberem RT ou observação apenas. A realização de RT não se traduziu em benefício de EFS e OS em 5 anos, trazendo apenas maior toxicidade. Alguns estudos mostraram a possibilidade de RT em massas residuais no PET após termino de QT. Ou seja, a realização de RT não deve ser a regra para todos os pacientes como afirma a alternativa. Na verdade, a RT pode ser considerada uma exceção em alguns casos.

How well did you know this?
1
Not at all
2
3
4
5
Perfectly
14
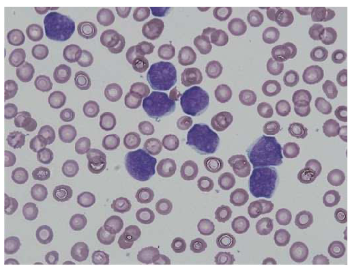
Q

(DASA TMO 2021) Homem, 50 anos, HAS, procura o PS devido a história de 1 mês de astenia, perda ponderal, adenomegalia inguinal bilateral medindo até 3cm, baço a 4cm do RCE e fígado a 3cm do RCD.
Hemograma:
- Hb 10.5; Leuco 50.000 (mielócitos 1000, metamielócitos 1000, bastão 1000, neutro 2500, linfo 3500, Mono 1500, Baso 1500, células atípicas 75%), Plaquetas 176.000.
- Esfregaço de sangue periférico (vide imagem).
- IFSP: CD19+, CD20+, CD79a+, CD23-, CD10-, CD200-, Tdt-, CD34-, CD15-, CD33-, CD13-, CD5+
- Cariótipo e exames de biologia molecular ainda em processamento.

Qual a melhor conduta?
(A) GMALL seguido de TMO alogênico.
(B) Iniciar ciclofosfamida e vincristina até resultados de exames complementares.
(C) R-DHAP seguido de TMO autólogo.
(D) BRALL e a terapia de consolidação dependerá da avaliação de risco inicial.

A

(C) R-DHAP seguido de TMO autólogo

Trata-se de um paciente com linfadenomegalias e esplenomegalia associada a leucocitose com presença de 75% de células atípicas em sangue periférico. Na avaliação de imunofenótipo dessas células, percebe-se que apesar de morfologicamente serem parecidos com blastos (cromatina frouxa e presença de nucléolos), o fenótipo não compreende achados de imaturidade (CD34- TdT-) e mostra população B (antígenos pan-B como CD19, CD20, CD79a) e CD5+ com CD10-. A presença de células CD5+ e CD10- nos faz pensar em 3 principais hipóteses: Manto, leucemia prolinfocítica e LLC. A ausência de CD23 e CD200 fala contra o diagnóstico de LLC, e a morfologia não é compatível com prolinfócitos. Dessa forma, a hipótese mais provável é de linfoma do Manto com variante blastoide. Esse diagnóstico seria confirmado com estudo citogenético e molecular com t(11;14), ciclina D1 positiva, podendo ou não apresentar SOX11.

Pacientes com linfoma do manto podem se apresentar de diversas maneiras no quadro clinico. Podem se manifesar com linfocitose monoclonal assintomática ou linfonodomegalias.
- 10-20% se apresentam com a forma smouldering nodal ou assintomáticos com a forma leucêmica não nodal. Esses pacientes podem ser observados com estratégia watch and wait
- 80% se apresenta com linfadenomegalia sintomática e rápida progressão, sendo necessário tratamento sistemico.

Nos pacientes jovens e fit com indicação de tratamento para linfoma do manto não existe um consenso em relação ao melhor esquema. Alguns autores sugerem a estratégia de R-HCVAD/R-MA que tem altas taxas de resposta e não requer consolidacão com TMO autólogo, sendo essa uma grande vantagem. Uma outra estratégia comumente usada é com quimioterapia intensiva com alta dose de araC e consolidação com TMO autólogo. Exemplos de esquemas são:
- R-maxi CHOP + R e HDAC
- 3xRCHOP + 3x RDHAP
- BR + R e HDAC

Dessa forma, a melhor alternativa da questão é a letra C, já que todas as outras falam de esquemas usados no contexto de LLA.

How well did you know this?
1
Not at all
2
3
4
5
Perfectly
15
Q

(DASA TMO 2021) Mulher, 30 anos, notou adenomegalia cervical e realizou biópsia que confirmou o diagnóstico de linfoma de T anaplásico ALK +, EC II. Qual a melhor conduta para a paciente?

(A) Bv-CHP
(B) CHOP
(C) R-CHOP
(D) CHOEP seguido de TMO autólogo

A

(A) Bv-CHP

O linfoma T anaplásico de grandes células (ALCL) é uma entidade compreendida dentre os lindomas t periféricos PTCL. Vai ser caracterizado por grandes quantidades de células C30+ de grande tamanho. Dentre os pacientes com ALCL, podemos dividir em dois grandes grupos de acordo com a expressão do ALK (anaplastic lymphoma kinase) na IHQ. Essa diferenciação tem relevância prognóstica, de modo que os pacientes com ALCL ALK+ apresentam um prognóstico notadamente melhor (5y OS 79% vs 46%). Além disso, outros marcadores que podem ser expressos e ter implicação prognóstica mas de menor intensidade são o DUSP22 (bom prognóstico) e o TP63 (prognóstico ruim).

O Brentuximab é um anticorpo anti-CD30 conjugado a monometil aurostatin, um inibidor de microtúbulos. Foi inicialmente liberado para uso no contexto de ALCL R/R, mas pelos excelentes resultados passou a ser estudado no tratamento de primeita linha através do estudo ECHELON-2 que comparou o tratamento de pacientes com PTCL (75% tinham ALCL e maioria ALK+) entre Bv-AVD VS CHOP. O estudo mostrou benefício de PFS e OS nesses pacientes, de modo que o tratamento de escolha em primeira linha deve ser com Bv-AVD.

A terapia de primeira linha cura 3/4 dos pacientes com ALCL ALK+ e TMO autólogo de consolidação não é recomendado em pacientes com IPI baixo.

How well did you know this?
1
Not at all
2
3
4
5
Perfectly
16
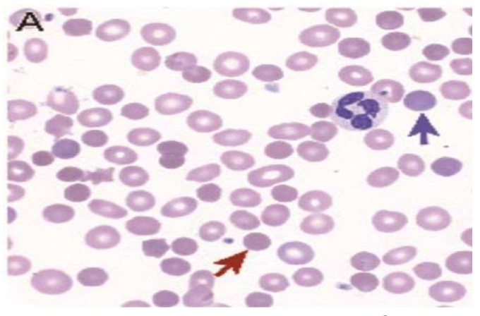
Q

(DASA TMO 2021) Homem, 24 anos, é encaminhado para investigação de anemia, icterícia e esplenomegalia. O hemograma revelou Hb e 5,6; VCM 66. A eletroforese de hemoglobinas revelou HbA1: 97% e HbA2: 3%. Esfregaço do sangue periférico (figura). Qual alteração é mais provável?

(A) Mutação na a- ou b- espectrina
(B) Mutação de proteína 4.2
(C) Deficiência de G6PD
(D) Deficiência de piruvatoquinase

A

(A) Mutação na a- ou b- espectrina

Embora seja raro, a esferocitose hereditária é a causa mais comum de anemia hemolítica por defeito de membrana eritrocitária. Resulta de alterações heterogeneas em um de 5 genes que codificam as proteínas da membrana dos eritrócitos envolvidas em associações verticais que ligam o citoesqueleto da membrana a barreira lipídica. A perda dessas associações verticais leva a perdada forma biconcava dos eritrócitos, tornando-os esféricos, com menor relação superfície/volume e menor deformabilidade que é essencial para a meia vida do eritrócito.

2/3 dos casos são causados de forma autossômica dominante representado por alteracões heterozigóticas em genes da anquirina (ANK1), banda 3 (SLC4A1) e alfa/beta espectrina (STPA e SPTB). Dessa forma, essas são as alterações mais comuns. Cerca de 10-15% dos casos são causados por defeitos bialélicos na banda 4,2 (recessivo), sendo minoria dos casos. Além disso, essa alteração da proteina 4.2 é mais comum em pacientes asiáticos. (LETRA A CORRETA e LETRA B INCORRETA)

A apresentação clínica pode ser variável, desde pacientes assintomáticos com com grau de hemólise compensada até pacientes que desenvolvem anemia sintomática por hemólise desde a infância ou complicações como crise aplasica/crise megaloblástica. Frequentemente esses pacientes apresentam esplenomegalia a depender do grau de hemólise.

Além dos achados comuns que indicam hemólise, o principal achado que leva a suspeita do diagnóstico é o ESP com presença de esferócitos. Em geral esses pacientes apresentam VCM normal e CHCM aumentado (causado por desidratação celular). Frequentemente também apresentam aumento de ferritina mesmo na ausência de suporte transfusional. Isso ocorre por causa da hemólise crônica e aumento de ação de eritroferrona. O diagnóstico pode ser estabelecido frente ao teste de fragilidade osmótica.

LETRA C INCORRETA: A deficiencia de G6PD também é uma causa de hemólise não-imune, nesse caso relacionado a uma deficiencia enzimática. Ao contrário do paciente em questão, os casos de hemólise desses pacientes são episódicos, desencadeados por eventos pontuais (medicações, infecções), fazendo que pela deficiencia enzimática o paciente tenha acúmulo de radicais livres. Além disso, o ESP desses pacientes classicamente se apresenta com corpusculos de Heinz e bite cells (apesar de não serem específicas)

LETRA D INCORRETA: A deficiencia de piruvato quinase é a forma mais comum de hemólise crônica não imune e não esferocítica causada por um defeito de metabolismo glicolítico dos eritrócitos. A enzima piruvato quinase é produzida através de atividade de dois genes: PKLR (liver) e PKM (muscle). A fisiopatologia da deficiencia de piruvato quinase é causada por mutações do gene PKLR localizado no cromossomo 1q21. Geralmente se apresenta como padrão de herança autossomico recessivo e costuma ser clinicamente heterogêneo, indo desde manifestação neonata com icterícia e deficiencia de crescimento a hemólise compensada ou hemólise sintomática. É uma entidade frequentemente subdiagnosticada. A avaliação laboratorial mostra achados compatíveis com hemólise e o ESP mostra frequentemente eritrócitos normais, podendo ter a presença de equinócitos. CMV geralmente é normal. O diagnóstico é reforçado pela dosagem enzimática eritrocitária de PK e avaliação genética do gene PKLR.

17
Q

(DASA TMO 2021) Homem, 75 anos, portador de hipotireoidismo, DM2, HAS e DAC. Procura PS com o seguinte hemograma: Hb 6,0, Leucócitos 47000 (Blastos 50%), Plaquetas 27mil. ISFP CD34+, CD19+, Tdt+, CD22+, CD79a+, CD4-, CD8-, CD10+, CD33+, CD13-, MPO -. FISH para BCR/ABL positivo. Qual o melhor tratamento para esse paciente?

(A) Venetoclax + Vidaza
(B) GRAALL
(C) Blinatumomabe
(D) Inibidor de tirosina quinase + corticoide

A

(D) Inibidor de tirosina quinase + corticoide

Trata-se de um paciente de 75 anos com diagnóstico de leucemia aguda e evidencia de blastos mieloides caracterizados por CD34+, TdT+ e marcadores B (CD19, CD22, CD79a). Na avaliação adicional com pesquisa molecular foi evidenciado BCR::ABL1, caracterizando uma LLB Ph+ no idoso.

A frequencia de LLA Ph+ aumenta com a idade e é encontrada em aproximadamente 50% dos pacientes com LLA acima de 60 anos de idade, além de ser incomum em pacientes crianças e adolescentes. O uso de ITKs é parte essencial do tratamento (isoladamente, com corticoides ou associado a quimioterapia). Essas medicações devem ser iniciadas precocemente do diagnóstico desses pacientes e estão relacionados a altas taxas de CR (>90%). Os ITKs em combinação com quimioterapia reduz a DRM mais rapidamente a níveis mais profundos do que com quimioterapia isoladamente.

Quanto ao ITK ideal para uso nessas situações, alguns estudos demonstram maior benefício com ITKs de segunda geração, com mais estudos de dasatinib do que nilotinib nesse contexto. Os ITKs de segunda geração possuem o benefício na teoria de maior potencia e maior atividade contra algumas mutações do domínio de tirosina quinase, além de benefício teórico de maior penetração de barreia hemato-encefálica.

Como descrito previamente, o uso de um ITK é um componente essencial da indução de remissão em pacientes com LLA Ph+. No entanto, um ITK isoladamente não é suficiente e a terapia de indução deve ser associada a quimioterapia ou glicocorticoide. Ambas as abordagens geralmente apresentam bons desfechos no tratamento de primeira linha que permitem que o paciente seja tratado com manejo pós remissão. As diferenças são baseadas no perfil de toxicidade e na profundidade de resposta molecular. Nenhum estudo randomizado avaliou comparativamente as duas estratégias.

O uso de ITK com glicocorticoides está associado a boas taxas de CR com menor toxicidade em relação aos pacientes com quimioterapia.

Em pacientes idosos (como o paciente em questão), principalmente os pacientes mais frágeis, costumam ser tratados com ITK+corticoides ou quimioterapia de baixa intensidade.

A única opção que inclui ITK no esquema é a letra D (LETRA D CORRETA)

LETRA A INCORRETA: Opção de tratamento de pacientes com LMA não candidatos a terapia intensiva
LETRA B INCORRETA: GRAALL é um esquema de tratamento para pacientes com LLA PH-. O esquema correspondente que inclui ITK é o GRAAPH.
LETRA C INCORRETA: O Blinatumumab é uma das opções que pode ser incluida no tratamento de primeira linha de pacientes com LLA Ph+. Um estudo fase 2 do grupo italiano GIMEMA LAL2116 avaliou o tratamento de pacientes com LLA Ph+ que foram tratados com dasatinib e corticoides seguido de 5 ciclos de blinatumumab combinado com dasatinib. O estudo demonstrou boas taxas de resposta (CR 98%) ao tratamento de primeira linha. Em 18 meses, 88% dos pacientes estavam em DFS, apesar de que 40% desses foram submetidos a TMO, confundindo o efeito da estratégia quimio-free. Outros centros também advogam o uso de Blinatumumab, como o MDACC, que costuma usar Blina + HyperCVAD + Ponatinib. No entanto, o Blina nunca deve ser usado em primeira linha isoladamente.

18
Q

(DASA TMO 2021) Mulher, 52 anos, com diagnóstico recente de SAAF triplo positivo, com histórico de TVP, TEP e IAM prévio. Qual a melhor conduta em relação a anticoagulação domiciliar dessa paciente?

(A) Enoxaparina dose terapêutica.
(B) Apixabana + AAS.
(C) Varfarina + AAS.
(D) Enoxaparina + Varfarina.

A

(C) Varfarina + AAS

19
Q

(DASA TMO 2021) Homem, 72 anos, com dispepsia há 6 meses. A EDA identificou lesão ulcerativa cuja biópsia revelou um infiltrado de células linfoides neoplásicas pequenas e médias (CD20+, CD79a+, CD5-, CD10-, CD23- e ciclina D1-). Exames complementares não mostraram presença de linfonodomegalias em abdome e tórax. A citogenética mostrou t(11;18)(q21;q21). Com relação à principal hipótese diagnóstica, pode-se afirmar que:

(A) A inflamação crônica causada pelo H. Pylori é crucial para a evolução desta neoplasia.
(B) O tratamento de erradicação de H. Pylori, neste caso, está associado a uma ótima resposta terapêutica.
(C) Há alta probabilidade de transformação para um linfoma difuso agressivo pelo tipo de translocação apresentada.
(D) A taxa de resposta à primeira linha de tratamento é alta, especialmente pela presença da translocação indicada

A

(A) A inflamação crônica causada pelo H. Pylori é crucial para a evolução desta neoplasia

Trata-se de um paciente idoso com quadro prévio de dispepsia e evidencia de infiltração gástrica de tecido linfoide caracterizado por linfócitos B (CD20+ e CD79a+), com perfil CD5- e CD10-.

Dentre os diagnósticos diferenciais de doenças linfoproliferativas CD5- e CD10- temos 3 principais hipóteses:
- Linfoma de zona Marginal
- Linfoma linfoplasmocítico (Walderstrom)
- Tricoleucemia

O mais compatível com esse quadro é o linfoma de zona marginal extranodal (MALT) de acometimento gástrico. O linfoma de zona marginal pode ser dividido em:
- Linfoma de zona marginal nodal
- Linfoma de zona marginal extranodal
- Linfoma de zona marginal esplênico

Dentre esses 3 subtipos, o linfoma de zona marginal extranodal é o mais comum, compreendendo 2/3 dos casos e pode surgir em qualquer local, geralmente no contexto de estimulação antigênica crônica por infecções ou doenças autoimunes. O estomago é o sítio mais atingido (MALT - Mucosa associated limphoid tissue), seguido de região periorbitária e glandulas submandibulares.

Essa entidade é uma doença linfoproliferativa com comportamento indolente e não é comum a transformação para linfomas agressivos (LETRA C INCORRETA).

No caso de MALT gástrico é clássica a associação com infecção crônica pelo H. pylori (LETRA A CORRETA). Essa relação pode ser demonstrada pela IHQ, sorologia, teste da urease ou antígeno nas fezes. Além dessa evidencia, é importante nesses pacientes a pesquisa de t(11;18) que é util em identificar pacientes com MALT gástrico que tem pouca probabilidade de responder a terapia com antibioticos - LETRAS B e D INCORRETAS.

O tratamento empírico para H. pylori deve ser realizado nesses pacientes e é parte fundamental no tratamento, independente do estadiamento. Inclusive um trial de tratamento com antibióticos pode ser realizado mesmo que os testes sejam negativos para presença de H. pylori ou mesmo se o paciente apresentar a t(11;18) que prevê piores taxas de resposta.
Geralmente indica-se um tratamento triplo (IBP por 4 semanas e Amoxicilina + Claritromicina por 10-14 dias). Após 5 semanas e 2 semanas do término do IBP devemos avaliar a resposta através do teste da urease ou antígeno nas fezes, objetivando a erradicação do H. pylori.
No caso de persistencia outro ciclo de antibióticos podem ser tentados em conjunto com IBP.

Em pacientes com doença localizada (I/II) como parece ser o caso do paciente, o tratamento com antibióticos é capaz de levar a remissões prolongadas. O ideal é repetir uma EDA com 3-6 meses após o tratamento para reavaliação e nova pesquisa por H. pylori. Caso o paciente apresente lesão residual mas assintomático, basta monitorização com EDA e biópsia a cada 3-6 meses. Se sintomático, IFRT é uma opção eficaz.

No caso de pacientes com doença avançada (III/IV), se após o tratamento de H. pylori o paciente permanecer sintomático, opções incluem R-Clorambucil, R-Benda, R2 ou rituximab monoterapia.

20
Q

(DASA TMO 2021) A respeito das anemias hemolíticas, assinale a opção INCORRETA.

(A) Pacientes que apresentam AHAI por IgM devem ser investigados quanto à presença de infecção recente para Mycoplasma pneumoniae.
(B) Anemias hemolíticas por anticorpos quentes causam hemólise intravascular, com maciça ativação do sistema complemento.
(C) Alguns pacientes portadores de LLC tratados com fludarabina podem desenvolver anemia hemolítica auto-imune.
(D) Hemoglobinúria Paroxística ao Frio é causada pelos chamados anticorpos de Donath-Landsteiner. Sua investigação deve contemplar a pesquisa de sífilis.

A

(B) Anemias hemolíticas por anticorpos quentes causam hemólise intravascular, com maciça ativação do sistema complemento

As anemia hemolíticas autoimunes (AHAI) são entidades desencadadas por autoanticorpos contra antígenos eritrocitários. Na maioria das vezes esses anticorpos são IgG que se ligam a antígenos eritrocitários em temperatura fisiológica.

AHAI A QUENTE
O tipo mais comum de AHAI é com IgGs desencadeada em temperatura ambiente, mas podem ocorrer formas não IgG. Os anticorpos IgG são policlonais direcionados a antígenos eritrocitários como glicoforina A, banda3 e sistema Rh. Esses anticorpos são chamados de pan-aglutininas já que se ligam em todos os eritrócitos do doador, positivando em todos os antígenos do painel em laboratório. O IgG leva a destruição eritrocitária predominantemente extravascular no baço, mas pode ter um componente de destruição por ativação do complemento - LETRA B INCORRETA

AHAI A FRIO
Os anticorpos da AHAI a frio costumam ser IgM que se ligam aos eritrócitos em temperaturas inferiores a 37 graus C. Os pentameros do IgM permitem aglutinação direta dos eritrócitos, ativando de forma maciça o complemento, com deposição de C3 na superfície das células e hemólise predominantemente intravascular.
Dentro da AHAI ao frio temos algumas sindromes específicas:
- Doença da Crioaglutinina: AHAI a frio IgM como fenomeno transitório geralmente associado a infecções como pelo Mycoplasma pnuemoniae ou EBV. Além disso, também pode ser relacionada a uma doença linfoproliferativa
- Hemoglobinúria paroxística ao frio: AHAI a frio causada por anticorpos IgG (chamados de Donath-Landsteiner), contra antígenos P. Na PCH o IgG se liga aos eritrócitos na circulação periférica por causa das menores temperaturas, mas a destruição mediada por complemento ocorre mesmo em temperaturas mais quentes. É uma entidade rara que pose ser primária ou secundária (pode estar relacionado a sífilis congênita ou terciária em adultos) - LETRA D CORRERA

AHAI INDUZIDA POR DROGAS
Diversas medicações podem levar ao surgimento de AHAI, sendo fludarabina uma delas - LETRA C CORRETA

21
Q

(DASA TMO 2021) Paciente de 28 anos é internado com quadro de trombose de veia hepática. Apresenta histórico de disfagia e episódios de escurecimento urinário. Os exames são compatíveis com anemia hemolítica. Com relação à principal hipótese diagnóstica e aos exames a serem solicitados, respectivamente, trata-se de:

(A) Trata-se de provável SAAF, solicitar pesquisa de anticoagulante lúpico,anticardiolipina e anti b2 glicoproteína.
(B) Anemia hemolítica por anticorpos frios, solicitar dosagem de crioglobulinas.
(C) Trombofilia por fator V Leiden, solicitar pesquisa da referida mutação.
(D) Hemoglobinúria paroxística noturna, solicitar citometria de fluxo.

A

(D) Hemoglobinúria paroxística noturna, solicitar citometria de fluxo

Trata-se de um paciente jovem que se apresenta com trombose em sítio incomum (trombose esplâncnica), associado a anemia hemolítica e escurecimento de urina, que provavelmente indica quadro de hemólise intravascular por hiperativação de complemento. Essas alterações devem levar a hipótese de HPN (hemólise intravascular com trombose esplancnica).

A HPN é um disturbio clonal de células progenitoras hematopoiéticas que se manifesta com anemia hemolítica intrasvascular crônica, desencadeada por ativação contínua do complemento. Além disso, outras características associadas são maior risco de trombose e tendencia a desenvolvimento de falência medular e AA.

O mecanismo é através de mutaçoes no gene PIGA nas células progenitoras hematopoiéticas, que resulta na deficiencia de síntese da proteína de ancoragem GPI (glicofosfatidilinositol). Dessa forma, proteínas que costumam se ancorar no GPI para se expressarem na superfície celular costumas estar ausentes nas células maduras. Dentre elas destacam-se CD55 e CD59 que normalmente são responsáveis por atenuar a ativação do complemento na superfície dos eritrócitos. Isso leva a uma ativação contínua do complemento e hemólise intravascualr crônica.

O mecanismo de maior risco pra trombose não é bem estabelecido, mas sua ocorrência é uma das grandes preocupações em pacientes com HPN, sendo uma das principais causas de morte. A trombose pode ocorrer em qualquer sítio, sendo arterial ou venosa. Sítios comuns incluem intra-abdominais (hepatico, portal, esplênico ou mesentérico) e cerebral (seio cavernoso ou seio sagital). O local mais comum é nas veias hepáticas, caracterizando causa frequente de síndrome de Budd-Chiari.
O risco de trombose é diretamente proporcional ao tamanho do clone HPN (principalmente se > 50%) e o tratamento com inibidores do complemento é eficaz em prevenir novas ocorrencias.

O diagnóstico pode ser estabelecido através da citometria de fluxo de sangue periférico e observação de ausência de proteínas ancoradas ao GPI (como CD55, CD59 e um reagente conhecido como FLAER, que se liga a uma porção da ancora do GPI).

LETRA A INCORRETA: A presença de trombose em sítio atípico nos deve levar a considerar SAAF como uma hipótese, mas em geral esta não se apresenta com anemia hemolítica. A não ser que esteja associada com outra doença como LES. Mesmo nesses casos, o principal mecanismo de hemólise seria extravascular por mecanismos auto-imunes, não cursando com hemoglobinúria (paciente apresentava escurecimento da urina)

LETRA B INCORRETA: A doença de crioaglutininas costuma se apresentar através da destruição imune das hemácias relacionada a anticorpos IgM em temperaturas inferiores a 37C. Em geral o principal mecanismo é ativação de sistema complemento e hemólise intravascular. Em geral é uma doença que pode ser primária ou secundária a outras entidades. Em geral por si só não é comum ocorrer trombose como apresentada pelo paciente.

LETRA C INCORRETA: A mutação do fator V de Leiden é uma trombofilia relacionada ao risco de trombose em sítios incomuns, mas não se relaciona com hemólise

22
Q

(DASA TMO 2021) Sobre o manejo da anticoagulação assinale a correta:

(A) O uso de AAS pode ser indicado em gestantes portadoras de SAAF com o intuito de minimizar perdas fetais.
(B) Fator V Leiden, PTM (mutação gene protrombina) e presença de anticorpos anti-fosfolípides não predispõem a um maior risco de trombose do enxerto em pacientes candidatos a transplante renal, logo, a anticoagulação peri-transplante não está indicada nesses casos.
(C) Pacientes com diagnóstico de TVC devem ser anticoagulados
indefinidamente em caso de TVCs recorrentes, se TVC associada a outras
TVPs, ou se houver alguma trombofilia diagnosticada.
(D) A anticoagulação na Síndrome de Budd-Chiari tem por objetivo reestabelecer o fluxo pela veia porta, e deverá ser perene para todos os pacientes com este diagnóstico.

A

(C) Pacientes com diagnóstico de TVC devem ser anticoagulados
indefinidamente em caso de TVCs recorrentes, se TVC associada a outras
TVPs, ou se houver alguma trombofilia diagnosticada.

23
Q

(DASA TMO 2021) Homem, 68 anos, com linfocitose há 1 ano. O hemograma mostra contagem de linfócitos de 28 x 109/L e anemia (Hb: 8). A IFSP é positiva para os antígenos CD19, CD5, CD23 e mostra fraca expressão de sIg, além de negatividade para FMC7. O exame físico revela um linfonodo palpável em cadeia cervical, de 4 cm. Com relação ao caso acima, é correto afirmar:

(A) O paciente deve ser considerado como portador de Leucemia Linfoide Crônica (LLC) Binet C, tendo em vista a anemia e o padrão de imunofenotipagem.
(B) Deve ser solicitado o TAD para a avaliação da anemia. Se negativo, o paciente será classificado como LLC Binet A e o tratamento quimioterápico deverá ser iniciado.
(C) O paciente apresenta LLC Binet B devido à presença de linfadenopatia e deve receber tratamento inicial com ibrutinibe.
(D) Deve ser solicitado o TAD para avaliação da anemia. Se positivo, o paciente será classificado como LLC Binet A e, neste caso, deve-se tratar a hemólise e não introduzir tratamento quimioterápico.

A

(D) Deve ser solicitado o TAD para avaliação da anemia. Se positivo, o paciente será classificado como LLC Binet A e, neste caso, deve-se tratar a hemólise e não introduzir tratamento quimioterápico

Trata-se de um paciente idoso, com quadro de linfocitose e anemia. Na avaliação dessa linfocitose percebemos se tratar de um linfócito B CD5+ e CD23+. Esse perfil é compatível com o diagnóstico de LLC.

A LLC é uma doença linfoproliferativa de curso indolente. Ela pode ser estratificada através de achados clínicos e laboratoriais com escores clínicos (RAI e BINET). Não é necessário usar TC para avaliação de conglomerados nodais, a não ser que se suspeite de massa abdominal com sintomas compressivos.

RAI
RAI 0: Linfocitose apenas
RAI I: Linfonodoemegalias
RAI II: Organomegalias
RAI III: Plaquetopenia por infiltração MO
RAI IV: Anemia por infiltração de MO

Mais recentemente a classificação foi alterada, dividindo em 3 categorias:
- RAI I (baixo risco): Linfocitose apenas
- RAI II (risco intermediário): Linfonodomegalia/Organomegalia (antigos I e II)
- RAI III (alto risco): Anemia/Plaquetopenia (antigos III e IV)

BINET
BINET A: < 3 áreas linfonodais
BINET B: > 3 áreas linfonodais
BINET C: Anemia ou plaquetopenia por infiltração MO

No caso do paciente em questão é imperativo diferenciar se a anemia se trata de um quadro infiltrativo ou secundário a evento imune (AHAI) que ocorre frequentemente nesses pacientes. Essa diferença pode ser feita através de provas de hemólise, que caso estejam positivas, trata-se de um quadro de AHAI e não deve pontuar nos critérios de RAI/BINET.

LETRA A INCORRETA: Como exposto acima, não é possível pelas informações da questão garantir que a anemia seja por infiltração linfocitária de MO, e portanto não é possível afirma que se trata de BINET C.

LETRA B INCORRETA: Caso a pesquisa de TAD se prove negativa, a anemia provavelmente é decorrente de infiltração medular e seria caracterizada como BINET C, podendo ser uma indicação de tratamento

LETRA C INCORRETA e D CORRETA: Não é possível afirmar que se trata de um BINET B, uma vez que necessitamos definir se a anemia ocorre por infiltração MO. Se o paciente não apresentar infiltração e a anemia for decorrente de hemólise ou outras causas, o paciente seria classificado como BINET A, já que possui < 3 áreas linfonodais (apenas linfonodo cervical)

24
Q

(DASA TMO 2021) Mulher de 25 anos, com epistaxes frequentes, hipermenorreia e equimoses
desde a infância. Conta que seus dois irmãos apresentam história clínica semelhante. Comparece à consulta sem outras queixas. Exame físico normal. Exames complementares: revelam Atividade de Protrombina: 90%; TTPAr 0,9; Tempo de Trombina: 11 segundos; Hb: 11,0; VCM 85; leucócitos 5000, Plaq: 250.000. Dosagem de fator de Von Willebrand antígeno: 10 U/dl; Cofator de ristocetina: 8 U/dl; RIPA: normal; Avaliação de multímeros do fator de Von Willebrand: presença de todos os multímeros.
Qual é a hipótese diagnóstica provável?

(A) Doença de Von Willebrand tipo 1.
(B) Doença de Von Willebrand tipo 2A.
(C) Doença de Von Willebrand tipo 2B.
(D) Doença de Von Willebrand tipo 2N.

A

(A) Doença de Von Willebrand tipo 1

DVW TIPO 1:
- Deficiência quantitativa parcial
- Antígeno vW < 30%
- Forma mais comum
- Pode apresentar alteração em teste funcional, com redução no cofator de ristocetina. No entanto, essa redução é proporcional a redução do antígeno, já que não se trata de um subtipo com disfunção qualitativa. Dessa forma, a relação Ag:VW/Co:Ristocetina > 0,7 (próximo de 1)

DVW TIPO 2
- Distúrbio quantitativo que pode ser subdividido em outros 4 tipos
- Em geral, suspeita-se quando a quantidade de antígeno encontra-se normal e o cofator de ristocetina diminuido (Ag:vW/Co:Ristocetina < 0,7)
- 2A: Alteração quantitativa caracterizada pela ausência de multimeros de alto peso molecular, que são os mais hemostáticos
- 2B: Causado por um aumento da afinidade do fator de Von Willebrand as plaquetas (GPIba), levando a uma plaquetopenia. Além disso, costuma apresentar RIPA positivo e piora de plaquetopenia com uso de DDAVP (contraindicação relativa). É o subtipo comum de DvW adquirida por altas contagens plaquetárias
- 2M: Alteração qualitativa com menor atividade do fator de Von Willebrand, mas com presença normal de multimeros de alto peso molecular
- 2N: Caracterizado por perda da ligação do fator de von Willebrand ao fator VIII, com redução de níveis plasmaticos

DVW TIPO 3
- Deficiencia quantitativa absoluta do fator de von Willebrand, sendo impossível dosar o antígeno e o cofator de ristocetina.
- Apresenta redução de fator VIII pela perda da proteína que protege da sua degradação na circulação.
- Apresenta fenótipo de sangramento mais intenso, podendo se assemelhar a hemofilia A.

25
(DASA TMO 2021) Homem de 44 anos, com diagnóstico de infecção pelo HIV há 10 anos e antecedente de uso irregular da TARV. Procura serviço médico referindo perda ponderal e sudorese vespertina associada a adenopatias axilares bilaterais, além de tosse seca. A respeito desse caso clínico, assinale a alternativa correta: **(A)** O Linfoma Primário de SNC não está relacionado à imunossupressão severa. **(B)** A TARV reduziu a incidência do sarcoma de Kaposi e dos linfomas não hodgkins nos pacientes portadores de HIV, todavia não reduziu a incidência do linfoma de Hodgkin nesta população. **(C)** O Linfoma Primário de Efusões está relacionado à infecção pelo Herpes Vírus Humano (HHV)– 6. **(D)** A associação de TARV à poliquimioterapia não modificou o prognóstico do Linfoma de Burkitt associado à infecção pelo HIV.
**(B) A TARV reduziu a incidência do sarcoma de Kaposi e dos linfomas não hodgkins nos pacientes portadores de HIV, todavia não reduziu a incidência do linfoma de Hodgkin nesta população** Pessoas infectadas com HIV possuem um risco mais elevado de desenvolver malignidades em relação a população em geral, principalmente em decorrencia da desregulação imune evidenciada em estadios mais avançados da doença. Malignidades vem se tornando a principal causa de morbimortalidade nesses pacientes, principalmente nos países desenvolvidos, e uma das causas reflete o aumento da expectativa de vida desses pacientes desde o início da TARV. Além disso, o curso da doença tende a ser mais agressivo nesses pacientes do que na população geral. Dentre essas malignidades, os linfomas são especialmente importantes, visto que mais de 40% dos pacientes com HIV eventualmente desenvolvem algum tipo de linfoma. Os mais comuns nessa população são: - Hodgkin - DLBLC (mais comum) - Linfoma primário de SNC (**LETRA A INCORRETA**) - Burkitt (segundo mais comum) - Linfoma primário de efusões **LETRA B CORRETA**: A incidência de linfoma de Hodgkin vem aumentando nos pacientes com HIV principalmente após o início da TARV. Isso acontece pois apesar de ser mais evidente no contexto de imunossupressão, a incidencia de linfoma de Hodgkin é mais comum em pessoas vivendo com HIV do que em pacientes com estágios avançados de AIDS. Uma das razões é porque o linfoma de Hodgkin é caracterizado pela presença de células de Reed-Sternberg, mas é composto por uma pequena quantidade dessas células neoplásicas envolta por um nicho inflamatório de diversas outras células imunes. Esse microambiente tumoral de células inflamatórias recrutadas através de sinalização e citocinas liberadas pela célula de RS é responsável por proteger a célula tumoral de destruição imune pelo paciente. Além disso, essas células permitem e estimulam o crescimento e proliferação das células de RS. Em pacientes com avançados estágios de imunossupressão esse fundo inflamatório não costuma se formar, sendo menos provável o desenvolvimento de linfoma de Hodgkin. Dessa forma, com o início da TARV, menos pacientes apresentam AIDS grave e passam a viver mais tempo com HIV, aumentando a incidencia desse tipo de neoplasia. **LETRA C INCORRETA**: O linfoma primário de efusões é um subtipo raro e agressivo de linfoma não Hodgkin. É causado pela presença do HHV-8, também conhecido como herpesvirus associado ao Sarcoma de Kaposi. É uma entidade rara, contabilizando por 4% dos linfomas relacionados ao HIV. Pode apresentar efusões linfomatosas em espaço pleural, cavidade peritoneal ou pericardio. Além disso, pode também se apresentar com acometimento nodal ou extranodal. Apesar de ser um linfoma B, costuma ser fraco ou negativo para CD20 e expressar LANA-1, v-FLIP. As células costumam ser positivos para CD45, CD30, CD38.e CD138 indicando uma diferenciação plasmablástica. Possui um prognóstico ruim. **LETRA D INCORRETA**:
26
(DASA TMO 2021) Homem, 42 anos, há 6 meses queixa-se de cansaço aos esforços. Os exames mostram anemia normocítica normocrômica importante (Hb = 5g), sem alterações de série branca e plaquetas. A contagem de reticulócitos é baixa (< 10.000) e não há alterações de DHL ou bilirrubinas. Apresenta radiografia de tórax com alargamento de mediastino anterior. Assinale a principal hipótese diagnóstica e a estratégia de investigação, respectivamente: **(A)** Linfoma Hodgkin com anemia de doença crônica; realizar biópsia da lesão mediastinal e fazer IHQ. **(B)** Anemia de doença crônica secundária a tumor de mediastino; realizar mediastinoscopia para esclarecimento diagnóstico. **(C)** Aplasia pura de série eritróide por timoma; solicitar tomografia de tórax, biópsia e aspirado medular. **(D)** Leucemia aguda com rebote tímico; realizar mielograma com imunofenotipagem.
**(C) Aplasia pura de série eritróide por timoma; solicitar tomografia de tórax, biópsia e aspirado medular**
27
(DASA TMO 2021) Homem, 60 anos, portador de SMD. Internado para tratamento de pneumonia da comunidade, evolui com aparecimento de quatro lesões urticariformes, pequenas, em MID após a instalação de concentrado de plaquetas por aférese. Com relação à conduta a ser tomada a seguir, assinale a alternativa correta: **(A)** Suspender a transfusão, medicar o paciente com anti-histamínicos até remissão do quadro, a seguir reinstalar a bolsa. **(B)** Suspender a transfusão, medicar o paciente com corticosteróides e devolver a unidade de plaquetas ao banco de sangue para reavaliação. **(C)** Manter a transfusão, aumentar a velocidade de gotejamento da bolsa e medicar com anti-histamínicos. **(D)** Manter a transfusão, pois se trata de reação alérgica deflagrada pela antibioticoterapia.
**(A) Suspender a transfusão, medicar o paciente com anti-histamínicos até remissão do quadro, a seguir reinstalar a bolsa**
28
(DASA TMO 2021) Sobre reações transfusionais, é INCORRETO afirmar: **(A)** Após uma primeira reação urticariforme, recomenda-se, cerca de uma hora antes de iniciar a transfusão das próximas unidades de sangue, a pré-medicação com anti-histamínico e/ou corticosteroide. Após duas ou mais reações, iniciar com hemácias lavadas. Os filtros de remoção de leucócitos nestes casos são ineficientes, pois, não retêm proteínas plasmáticas. **(B)** Na reação urticariforme deve-se considerar a possibilidade de reiniciar a transfusão de sangue, não ultrapassando o prazo máximo de 4 horas a contar do início da infusão. **(C)** Em casos de reações febris, deve-se interromper a transfusão imediatamente e após resolução dos sintomas e medicação com antitérmicos o hemocomponente pode ser reinfundido no paciente. **(D)** As provas pré-transfusionais devem ser repetidas com as amostras pré e pós-transfusionais.
**(C) Em casos de reações febris, deve-se interromper a transfusão imediatamente e após resolução dos sintomas e medicação com antitérmicos o hemocomponente pode ser reinfundido no paciente**
29
(DASA TMO 2021) Sobre microangiopatias trombóticas, é INCORRETO afirmar: **(A)** Podem ser causa de microangiopatia secundaria: câncer, infecção por HIV, gravidez, transplante de órgão sólido, ou TMO **(B)** São um grupo de doenças caracterizadas por oclusão de microvasos resultando em isquemia tecidual e lesão de órgão. **(C)** A PTT é uma doença sistêmica com microtrombos em diversos órgãos, incluindo coração, SNC e rins. **(D)** A PTT é causada por severa redução na função do ADAMTS 13, < 50% de atividade.
**(D) A PTT é causada por severa redução na função do ADAMTS 13, < 50% de atividade** As anemias hemolíticas microangiopáticas com trombocitopenia (MAT) são um grupo de doenças caracterizados por anemia hemolítica não imune (coombs negativo), com destruição celular intravascular com presença de esquizócitos, predisposição a formação de microtrombose na circulação periférica acometendo arteríolas e venulas, além de trombocitopenia. Pode se manifestar com diversos tipos de disfunções orgânicas por isquemia tecidual pelo acometimento de microvasculatura e dos diversos tipos podem apresentar características clinicas e laboratoriais distintas (**LETRA B CORRETA**). Esses disturbios podem ser classificados como primários ou secundários. Os primário (SHU e PTT) ocorrem espontaneamente sem causa sobrejacente. Formas secundárias ocorrem no contexto de: gestação, doenças autoimunes, neoplasias, medicações ou transplante de MO. O seu tratamento deve ser direcionado a essas causas (**LETRA A CORRETA**) A purpura trombocitopenica trombótica (PTT) é definida por uma deficiencia grave da ADAMST13 (tipicamente < 10% - **LETRA D INCORRETA**). ADASMT13 é uma protease que quebra o fator de Von Willebrand em multímeros menores na circulação, e sua deficiencia leva ao acúmulo de multimeros de alto peso molecular de von Willebrand, os quais tem o maior potencial hemostático, promovendo a formação de microtrombos na circulação. Esses microtrombos levam a isquemia tecidual podendo acometer diversos órgãos (SNC, coração, pancreas, tireoide, adrenais, mucosa intestinal...). Os pulmões geralmente são poupados (**LETRA C CORRETA**). Em geral, os rins podem ser acometidos, mas não é característico a evolução para LRA grave em pacientes com PPT.
30
(DASA TMO 2021) Considerado o único tratamento capaz de curar a anemia falciforme, o TMO alogênico foi incluído na lista de procedimentos do Sistema Único de Saúde. Não é critério de inclusão para TMO alogênico: **(A)** Presença de mais de dois anticorpos em pacientes sob hipertransfusão ou um anticorpo de alta frequência. **(B)** Osteonecrose em uma articulação. **(C)** Mais de um episódio de priapismo. **(D)** Mais de duas crises vaso-oclusivas (inclusive síndrome torácica aguda) graves no último ano.
**(B) Osteonecrose em uma articulação** No único estudo que transplantou pacientes de forma "profilática", jovens sem complicações tiveram uma OS de 100% com uma DFS de 96%. Estes dados sugerem que se pudéssemos predizer um curso mais grave antes das complicações ocorrerem poderíamos curar pacientes e evitar as complicações crônicas e debilitantes. No momento, porém, fora de estudos clínicos, os critérios mais aceitos para se indicar um TCTH em pacientes com doenças falciformes são os recentemente publicados pela Escola Européia de Hematologia (ESH): - CVO recorrentes e/ou priapismo (pelo menos dois episódios no ano precedente ou no ano anterior ao início de um programa de transfusão crônica) apesar de teste com hidroxiuréia - **LETRA C e D CORRETAS** - Presença de vasculopatia cerebral demonstrada por ressonância nuclear - Fluxos arteriais cerebrais anormalmente altos aos US doppler - AVE sem anormalidades cognitivas graves - Osteonecrose em **múltiplas** articulações - **LETRA B INCORRETA** - Aloimunização com dois ou mais anticorpos - **LETRA A CORRETA** - Presença de cardiomiopatia da doença falciforme detectada por ECOTT - STA recorrente (pelo menos dois episódios no ano precedente) Este grupo tem indicado o TCTH para pacientes que já fizeram uso de hidroxiuréia por pelo menos quatro meses e que mesmo com o uso da droga cursem com um ou mais dos fatores relacionados.
31
(DASA TMO 2021) Mulher, 25 anos, com diagnóstico de TEP. Na investigação: TTPA alargado, presença de anti-coagulante lúpico positivo e deficiência de proteína S da coagulação. Iniciado tratamento com anticoagulação plena. Neste caso, é INCORRETO afirmar: **(A)** Na gestação e no uso de contracepção, pode haver uma falsa deficiência de Proteína S. **(B)** A pesquisa de anticoagulante lúpico pode sofrer influência do anticoagulante terapêutico. **(C)** Paciente possui SAF associada à deficiência de proteína S. **(D)** As dosagens da proteína C, S, AT podem mostrar-se mais baixas na fase aguda da trombose, nem sempre representando uma deficiência real.
**(C) Paciente possui SAF associada à deficiência de proteína S** Trata-se de uma paciente jovem do sexo feminino com quadro de TEP e investigação de trombofilias na fase aguda da trombose. Uma das causas mais frequentes nesse faixa etária e mais importante de se descartar é o diagnóstico de SAF. Parte importanto no diagnóstico de SAF é a pesquisa de anticorpos antifosfolípides que podem ser divididos em 3 testes: - Pesquisa de anticardiolipinas IgM e IgG (imunoensaio ELISA) - Pesquisa de anti-B2 glicoproteínas IgM e IgG (imunoensaio ELISA) - Pesquisa de anticoagulante lúpico (teste de coagulação funcional) Os dois primeiros testes são através de imunoensaio e não costumam ser alterados em fase aguda de trombose ou durante uso de anticoagulantes. Já o anticoagulante lúpico procura demonstrar através de exame funcional a presença de um inibidor que é sensível a fosfolipídeos. A pesquisa do anticoagulante lúpico é realizada em 3 etapas: - Primeiramente, procura-se demonstrar alteração no tempo de coagulação dependente de tromboplastica, sendo o mais usado o TTPA que costuma ser alargado nesses pacientes. Outra possibilidade é o uso do veneno da víbora como reagente - A segunda etapa é através de mistura na proporção de 1:1 com plasma normal. Espera-se que não ocorra correção do TTPA com a mistura, de modo que o problema não é deficiencia de fator de coagulação, mas sim a presença de um inibidor - A terceira e ultima etapa é a introdução de fosfolipídio com objetivo de diminuir ou corrigir o tempo de coagulação prolongado. Esse achado demonstra dependencia de fosfolipídeos. Dessa forma, por se tratar de um teste funcional, fase aguda de trombose, gestação ou uso de anticoagulantes podem interferir nesse processo, alterando o resultado do exame - **LETRA B CORRETA**. A dosagem de outras proteinas como proteína C, S ou AT podem ser também falseadas durante a fase aguda de trombose ou durante a coagulação. Por exemplo, na fase aguda pode haver consumo desses fatores e na anticoagulação pode haver interferencia, lembrando por exemplo que proteínas C e S são dependentes de vitamina K (inibido no uso de marevan) - **LETRAS A E D CORRETAS** No caso da paciente em questão, não podemos afirmar que esses testes realizados são fidedignos como explicado acima, mas também para o diagnóstico de SAF necessita-se da presença de trombose prévia, morbidade gestacional e confirmação da positividade dos anticorpos dentro de 12 semanas - **LETRA C INCORRETA**
32
(DASA TMO 2021) Paciente de 34 anos, com diagnóstico de LMA, atingiu CR após indução com esquema 7+3. O cariótipo e a análise molecular ao diagnóstico mostraram t(16;16)(p13.1;q22);CBFB-MYH11. Tem 3 irmãos HLA-idênticos e ausência de comorbidades: A melhor conduta para a paciente é: **(A)** Consolidar com 3 ciclos de citarabina em altas doses. **(B)** Consolidar com novo ciclo de 7+3 e 1 ciclo de HiDAC (alta dose de citarabina) e TMO alogênico somente na recidiva. **(C)** Consolidar com 2 ciclos de citarabina dose intermediária. **(D)** TMO alogênico após 1 ciclo de HiDAC (alta dose de citarabina).
**(A) Consolidar com 3 ciclos de citarabina em altas doses** Trata-se de um paciente jovem diagnosticado com LMA com t(16;16) CBFB::MYH11, sendo caracterizada como risco favorável pela classificação mais recente da ELN. Dessa forma, foi indicado tratamento com esquema de indução com D3A7, atingindo remissão completa após esse período. Após a remissão completa, devemos planejar o tratamento de consolidação desse paciente e a escolha irá depender da estratificação de risco. Por se tratar de um paciente com risco favorável e aparente DRM negativa ao fim da indução, não é necessário consolidação com TMO alogenico, sendo essa estratégia reservada para pacientes de alto risco, alguns de risco intermediário ou risco favorável que falharam em atingir DRM com indução. Alguns estudos já demonstraram que nesse cenário de doença de risco favorável não demonstram benefício em OS ou DFS (apesar que os estudos eram randomizados de acordo com a disponibilidade de doadores aparentados). Dessa forma, não vale a pena expor o paciente aos riscos de morbimortalidade pelo TMO - **LETRA D INCORRETA**. Alguns protocolos podem indicar uma segunda indução com esquema de D3A7, mas principalmente nos pacientes que falham em atingir respostas satisfatórias após a primeira indução - **LETRA B INCORRETA** Nesse caso, já que o paciente não será candidato a terapia de consolidação com TMO, a consolidação deve ser feita através de 3 ciclos de citarabina com dose elevada (> 3g/m2 por 3 dias) - **LETRA A CORRETA**.
33
(DASA TMO 2021) Considerando o diagnóstico etiológico de amiloidose cardíaca, escolha a resposta correta: **(A)** Se componente monoclonal é identificado durante investigação de quadro de amiloidose, conclui-se o diagnóstico de amiloidose de cadeia leve (AL). **(B)** A associação de captação grau 3 em área cardíaca em cintilografia óssea com pirofosfato, e ausência de componente monoclonal após realização de todos métodos de screening, permite diagnóstico de amiloidose por transtirretina (TTR) sem realização de biópsia. Neste caso, o próximo passo é o teste genético para mutação da TTR. **(C)** Se um paciente idoso do sexo masculino tem histórico de síndrome do túnel do carpo, ECOTT sugestivo de cardiopatia amiloide, cintilografia óssea com pirofosfato com captação grau 3 em área cardíaca, e imunofixação sérica e urinária negativas, o diagnóstico de amiloidose cardíaca por transtirretina está confirmado. **(D)** A realização de biópsia é mandatória em todos os casos para confirmação do subtipo de amiloidose.
**(B) A associação de captação grau 3 em área cardíaca em cintilografia óssea com pirofosfato, e ausência de componente monoclonal após realização de todos métodos de screening, permite diagnóstico de amiloidose por transtirretina (TTR) sem realização de biópsia. Neste caso, o próximo passo é o teste genético para mutação da TTR.** A amiloidose sistemica representa um espectro de disturbios caracterizados por deposição extracelular de proteínas compostas por fibrilas B amiloides em diferentes órgãos. Essa deposição pode levar a disfunção orgânica e complicações clinicas importantes. Apesar de que diversas proteínas podem ser potencialmente amiloidogenicas, a forma mais comum de amiloidose sistêmica é a amiloidose por cadeia leve de imonoglobulinas, também conhecida como **AMILOIDOSE AL**. A amiloidose AL é associada com um distúrbio clonal, mais frequentemente plasmocitário, mas pode estar relacionado a algumas doenças linfoproliferativas, como MW ou LLC. Inclusive, esse clone plasmocitário pode ser responsável pelo diagnóstico concomitante de MM sintomático em 10% dos casos e MM Smouldering em 40% dos casos (ou seja, aproximadamente 50% dos pacientes com amiloidose AL possuem plasmocitose clonal > 10% em MO). As manifestações clínicas são das mais variadas a depender do órgão acometido pela deposição amiloide, mas sintomas clássicos correspondem a: - **Disfunção renal**: Cerca de 70% dos pacientes com amiloidose apresentam preoteinúria nefrótica, sendo incomum evoluirem com LRA com necessidade de TRS. - **Envolvimento cardíaco**: Visto em aproximadamente 60% dos pacientes, se apresentando com sintomas de ICFEP, com elevação de troponina e NT-pro BNP. No ECOTT, o achado clássico é espessamento de parede ventricular e septo interventricular. - **SNC**: Neuropatia periférica em 20% dos casos - **Partes moles**: Macroglossia presente em 30% dos pacientes, podendo ter também fraqueza muscular proximal e artropatia **O diagnóstico de amiloidose AL requer confirmação histológica da presença de deposição amiloide no tecido e prova de que essa deposição veio de um distúrbio clonal de produção de imunoglobulinas** Além disso, identificar um pico monoclonal em sangue periférico e urina e pesquisa de cadeias leves livres fornecem substrato para o diagnóstico e para acompanhamento desses pacientes. Uma biópsia de MO também deve ser realizada para marioria dos pacientes para avaliar uma possível discrasia plasmocitária concomitante. Os locais tipicamente utilizados para demonstrar a deposição amiloide são: - Orgão envolvido (sintomas) - MO - Gordura SC abdominal Uma combinação de biópsia de gordura e MO é preferida pela maior facilidade de obtenção, sem contar que geralmente a MO deve ser estudada nesses pacientes. Frequentemente outros tipos de amiloidose sistemica se apresentam clinicamente de forma semelhante a amiloidose AL. Dentre essas, a amiloidose AATRwt (wild type transthyretin amyloidosis) é o subtipo mais comum. Ao contrário de amiloidose AL, o diagnóstico de amiloidose AATRwt apenas requer comprovação histológica nos pacientes que não possuem componente monoclonal. **Na ausência de componente monoclonal, um diagnóstico de ATTRwt sem biópsia tecidual é possível baseado na captação cardíaca de cintilografia com pirofosfato - LETRA B CORRETA e LETRA D INCORRETA**. A alternativa afirma que o próximo passo seria o teste genético para identificar e diferenciar o tipo entre amiloidose ATTRwt ou ATTRh (hereditária). **LETRA A INCORRETA**: A presença de um componente monoclonal em pacientes com amiloidose sistêmica não é específico para amiloidose AL. Um exemplo é que pacientes com amiloidose ATTR podem ter componente monoclonal e nesses casos a confirmação e diferenciação entre AL vs ATTR deve vir de biópsia. Além de não ser específico, considerar que para o diagnóstico e amiloidose AL é obrigatória a confirmação histológica, não sendo possível o diagnóstico apenas com o pico monoclonal **LETRA C INCORRETA**: A letra C encontra-se quase de completamente correta. Em um paciente idoso que se apresenta com clínica compatível com amiloidose, ECOTT sugestivo e investigação de proteína monoclonal negativa + cintilografia com pirofosfato mostrando captação graus 3-4 sugere-se fortemente o diagnóstico de ATTR. No entanto, para descartar o componente monoclonal é necessário: - Pesquisa de cadeias leves livres séricas e urinárias - Imunofixação sérica e urinária A alternativa fala apenas de imunofixação, sem pesquisa de cadeias leves livres. Além disso, o diagnóstico pode ser dado sem a biópsia, mas a sua confirmação definitiva e diferenciação entre ATTRh e ATTRwt depende do teste genético.
34
(DASA TMO 2021) Mulher de 42 anos está sob investigação de proteinúria de 2,5g/24h, hematúria e creatinina de 2,1g/dL, em piora nos últimos meses. Não tem comorbidades prévias ou atuais identificadas, e excluídas as principais causas pelo nefrologista. Realizada biópsia renal com imunofluorescência para IgG, IgM, IgA, C1q, C3, kappa e lambda, que demonstrou glomerulonefrite com depósitos de C3. Encaminhada ao hematologista por componente monoclonal sérico de 0,8 g/dL, subtipo IgG kappa, e ausência de componente monoclonal urinário. A avaliação de medula óssea evidenciou 5% de plasmócitos monoclonais kappa, e a relação kappa/lambda livre foi normal. Sobre o caso, assinale a afirmativa incorreta: **(A)** A ausência de depósito IgG kappa na biópsia renal não afasta a hipótese de gamopatia monoclonal de significado renal. **(B)** O hematologista deve considerar o tratamento direcionado ao clone de plasmócitos, pois pode-se estar diante de gamopatia monoclonal de significado renal. **(C)** O hematologista deve acompanhar a paciente, pois trata-se de gamopatia monoclonal de significado indeterminado de baixo risco. **(D)** A microangiopatia trombótica pode ser encontrada na biópsia renal nos casos de gamopatia monoclonal de significado renal.
**(C) O hematologista deve acompanhar a paciente, pois trata-se de gamopatia monoclonal de significado indeterminado de baixo risco** A gamopatia monoclonal de significado indeterminado (MGUS) é uma condição benigna com potencial de evolução de malignidade. Apesar de seu comportamento benigno, o MGUS é uma entidade que pode evoluir com algumas disfunções orgânicas, como por exemplo a gamopatia monoclonal de significado renal ou gamopatia monoclonal de significado neurológico. A gamopatia de significado renal (MGRS) é definida como um distúrbio clonal hematológico que produz uma paraproteina clonal associada a lesão renal por deposição de imunoglobulina clonal. Por definição o paciente não pode preencher critérios para MM ou Walderstrom, podendo estar associados a MGUS, MM Smouldering (deposição de imunoglobulinas na Bx renal e não infiltração plasmocitárias) ou linfocitose B monoclonal. O diagnóstico deve ser suspeitado nos seguintes pacientes: - Paciente com gamopatia monoclonal pré-maligna (MGUS, MM, LBM) que se apresentam com disfunção renal inexplicada e/ou proteinúria - Todos os pacientes com disfunção renal inexplicada e/ou proteinúria que possuem uma gamopatia monoclonal (EFP + IFX + K/L sérico e urina), desde que não preencha critérios para MM sintomático Para estabelecimento do diagnóstico, é imperativa a realização da biópsia renal (a não ser que haja alguma contraindicação). **O diagnóstico pode ser fechado se houver evidencia de depósito de imunoglobulinas monoclonais na biópsia renal**. Esses depósitos devem ser restritos a uma única classe de cadeia leve ou cadeia pesada beasado na imunofluorescencia. É essencial confirmar a causalidade do disturbio renal pela biópsia uma vez que a presença de gamopatia monoclonal sérica ou urinária por si só não é suficiente para causar sintomas. Em alguns pacientes com biópsia consistente com glomerulonefrite por C3, depósitos de imunoglobulina podem não ser detectados usando a imunofluorescencia padrão. Nesses pacientes, a imunofluorescencia de parafina após a digestão por protease deve ser realizada para desmascarar imunoglobulinas monoclonais. A questão aborda o caso de um paciente com disfunção renal e proteinúria subnefrótica sendo descartadas outras causas mais comuns e evidenciada presença de pico monoclonal pequeno IgG kappa, sem componente urinário. No entanto, o diagnóstico de MM não pode ser estabelecido por não apresentar plasmocitose de MO. Além disso, não existe nenhum fator definidor de MM. Conforme descrito acima, por se tratar de um paciente com até então uma hipótese de MGUS e disfunção renal, é importante a realização de biópsia renal para garantir que o mecanismo não seja deposição de imunoglobulinas monoclonais. A biópsia realizada no entanto não demonostra deposição, sendo compatível com glomerulopatia por C3. **LETRA A CORRETA**: A ausência de evidencia de deposição de IgG não pode afastar o diagnóstico de gamopatia monoclonal de significado renal, uma vez que essa deposição pode ser por outras classes de cadeias pesadas ou de cadeias leves. **LETRA B CORRETA**: Apesar de não haver evidencia de deposição de imunoglobulinas clonais na biópsia de MO, ainda não está descartada a possibilidade de que esse achado esteja mascarado pela presença de C3. Antes de dar incorretamente o diagnóstico de glomerulopatia por C3 é importante realizar a imunofluorescencia de parafina após a digestão por protease. Tendo em vista que MGRS ainda é uma hipótese viável nesse paciente, a abordagem deve ter como objetivo preservar a função renal e evitar progressão do clone pré-maligno. Até o momento não existe terapia disponível que impeça a deposição de imunoglobulinas ou que retire o que já foi depositado. Além disso, até pouco tempo existia certo receio de indicar tratamento direcionado ao clone ao considerar que estariamos prescrevendo quimioterápicos para um paciente com um distúrbio clonal pré-maligno, uma vez que esses pacientes não preenchem critério para MM ou doença linfoproliferativa. Porém, alguns estudos demonstram que os desfechos renais de pacientes com MGRS estão relacionados a resposta a quimioterapia. Dessa forma, alguns autores advogam o tratamento com quimioterapia direcionado ao clone. Sem a realização de terapia ativa contra o clone produtor de imunoglobulina nefrotóxica, o curso natural de MGRS é caracterizado por disfunção renal progressiva seguida de DRC em estadio avançado. A escolha do tratamento de MRGS não IgM deve ser manejado de acordo com o algorítmo de MM, a não ser que se confirme outro distúrbio linfoproliferativo. MGRS associado a IgM deve ser tratado conforme proposto para MW. **LETRA C INCORRETA**: Conforme descrito acima, a biópsia apresentada não é capaz de afastar completamente a hipótese de gamopatia monoclonal de significado renal, uma vez que a presença de deposição de C3 pode mascarar a imunoglobulina e o ideal seria a realização de imunofluorescencia da parafina após digestão por protease. Na ausência de disfunção renal ou se afastada causa monoclonal de disfunção renal o paciente seria sim classificado como tendo gamopatia monoclonal de significado indeterminado de baixo risco baseado na presença dos 3 critérios: - Pico IgG - Pico < 1,5 g/dl - Sem alteração de relação K/L Levando isso em consideração, se esse fosse o caso a biópsia de MO poderia ser deferida pois < 5% desses pacientes apresentam plasmocitose clonal. **LETRA D CORRETA**: Dentre as lesões renais observadas em biópsia que podem estar associadas a MGRS, elas podem ser subdivididas em associadas a depósitos de imunoglobulinas monoclonais ou não associada a depósitos de imunoglobulinas monoclonais. Dentro desse segundo grupo existem dois achados: - Glomerulopatia C3 com gamopatia monoclonal - MAT A MAT é uma entidade provisória associada a GMRS até maior elucidação e maiores evidencias.
35
(DASA TMO 2021) Sobre as LMA com anormalidades citogenéticas recorrentes, considere as seguintes afirmativas: I. Na LMA com translocação (8,21), a alteração molecular encontrada é CBFB-MYH11 II. Na LMA com inv(16) (p13.1q22), a alteração molecular é RUNX1-RUNX1T1. III. A LMA com mutação bialélica do CEBPA tem bom prognóstico. IV. A presença de FLT3 piora o prognóstico de pacientes com mutação NPM1 e CEBPA. Assinale a alternativa correta: **(A)** Somente a afirmativa I é verdadeira. **(B)** Somente as afirmativas II e III são verdadeiras. **C)** Somente as afirmativas III e IV são verdadeiras. **(D)** Somente as afirmativas I, II e IV são verdadeiras.
**C) Somente as afirmativas III e IV são verdadeiras**
36
(DASA TMO 2021) Paciente de 45 anos, apresentando quadro de prurido generalizado, tosse e com perda ponderal de 8kg em 4 meses. Realizou um hemograma que mostrava: Hb 12 Leuco 10700 (N 4500 Linf 2500 Eosino 2700 Mono 0) Plq 110.000. Sobre o caso, assinale a alternativa INCORRETA: **(A)** É fundamental buscar causas secundárias que explicariam o caso em questão como parasitose, doenças alérgicas, distúrbios endocrinológicos, etc. **(B)** Deve-se pesquisar a mutação do PDGRFa; PDGRFb e FGFR1 como parte da investigação clínica destes pacientes, podendo ser utilizado inibidores de ITK como tratamento. **(C)** A investigação medular deste paciente mostrando 18% de blastos, sem outras mutações associadas, pode-se presumir o diagnóstico de leucemia eosinofílica crônica sem outras especificações. **(D)** Na síndrome hipereosinofílica idiopática o tratamento preconizado é com corticoides, associado com inibidor de tki.
**(C)** A investigação medular deste paciente mostrando 18% de blastos, sem outras mutações associadas, pode-se presumir o diagnóstico de leucemia eosinofílica crônica sem outras especificações.
37
(DASA TMO 2021) Em relação à terapia de manutenção após TMO, assinale a assertiva correta. **(A)** O uso do brentuximab-vedotin após o TMO autólogo para linfoma de Hodgkin deve ser preconizado em todas as situações, especialmente nas recaídas tardias. **(B)** No linfoma do manto, deve se utilizar o Rituximabe como manutenção após TMO autólogo, pois mostrou ganho de OS **(C)** A lenalidomida deve ser utilizada nos pacientes portadores de MM após TMO auto principalmente nos pacientes com alto risco citogenético. **(D)** O uso de ITK após TMO alogênico para LLA Ph + é obrigatório.
**(B) No linfoma do manto, deve se utilizar o Rituximabe como manutenção após TMO autólogo, pois mostrou ganho de OS**
38
(DASA TMO 2021) Paciente de 18 anos com quadro de anemia há 5 anos, mantendo Hb próximo a 10. Fez tratamento prévio com sulfato ferroso, sem resposta. Exame físico com esplenomegalia discreta. Hemograma: Hb 10 VCM 90 HCM 32 Leuco 7500 (Neu 3200) Plq 243.000. Qual exame que pode melhor auxiliar no diagnóstico deste paciente? **(A)** Teste fragilidade osmótica. **(B)** Atividade de G6PD. **(C)** Eletroforese de hemoglobinas. **(D)** Teste direto de antiglobulina.
**(A) Teste fragilidade osmótica**