Enterocolitis Necrosante Flashcards

(17 cards)

1
Q

Factores de riesgo para enterocolitis necrosante

A
  1. Prematuréz ( peso bajo )
  2. Ventilación asistida
  3. Sepsis
  4. RPM (corioamnionitis)
  5. Nacimiento extrahospitalario
  6. Bajo peso
A menor edad gestacional y peso bajo (1500gr) la incidencia incrementa

(R) En presencia de corioamnionitis se recomienda vigilar al neonato por posible desarrollo de ECN ( IC 95% )

How well did you know this?
1
Not at all
2
3
4
5
Perfectly
2
Q

¿ Cuáles son los microorganismos más asociados a ECN ?

A
  1. Escherichia Coli
  2. Klebsiella

La etiologia es multifactorial

How well did you know this?
1
Not at all
2
3
4
5
Perfectly
3
Q

¿ Cuáles son las manifestaciones clinicas de la enterocolitis necrosante ?

A
  • Distensión abdominal ( 73%)
  • Evacuaciones sanguinolientas ( 28%)
  • Intolerancia al alimento
  • Vómito
How well did you know this?
1
Not at all
2
3
4
5
Perfectly
4
Q

¿ Cuál es la escala que clasifica los hallazgos radiográficos encontrados en la enterocolitis necrosante ?

A

Clasificación de Bell

How well did you know this?
1
Not at all
2
3
4
5
Perfectly
5
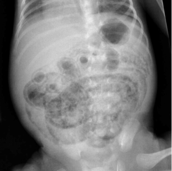
Q

Segun los criterios de Bell . ¿ Que estadio comprende esta radiografia ?

A

llA = Caso confirmado , presencia de neumatosis en Radiografía Abdominal

How well did you know this?
1
Not at all
2
3
4
5
Perfectly
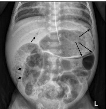
6
Q

Estadio de Enterocolitis Necrosante en este paciente

A

llB: presencia de cisuras y gas en sistema portal ( higado )

How well did you know this?
1
Not at all
2
3
4
5
Perfectly
7
Q
A

Neumoperitoneo : Estadio lllB
-“ Signo del balón de rugby “

How well did you know this?
1
Not at all
2
3
4
5
Perfectly
8
Q

¿ Cuál es el hallazgo radiográfico patognomónico de la Enterocolitis Necrosante ?

A

Neumatosis Intestinal ( gas entre capas subserosa y muscular )

How well did you know this?
1
Not at all
2
3
4
5
Perfectly
9
Q

¿ Cuál es el signo por ultrasonido en ECN ?

A

Signo de migaja de pan

How well did you know this?
1
Not at all
2
3
4
5
Perfectly
10
Q
A

Estadio ll B de Bell : neumatosis + gas en sistema venoso intrahepático

How well did you know this?
1
Not at all
2
3
4
5
Perfectly
11
Q

¿ Cuál es el manejo integral de Enterocolitis Necrosante ?

A
  • Ayuno ( parar nutrición enteral )
  • Descompresión gástrointestinal con sonda nasogástrica
  • Liquidos IV
  • Nutrición parenteral
    -Inicio de terapia antibiótica
How well did you know this?
1
Not at all
2
3
4
5
Perfectly
12
Q

¿ Cuál es el esquema antibiótico sugerido para el tratamiento de enterocolitis necrosante ?

A

Penicilina + Aminoglucósido
- ( Esquema sugerido : Ampicilina + Amikacina o Gentamicina )

En estadio lllB ( neumoperitoneo ) agregar Metronidazol

How well did you know this?
1
Not at all
2
3
4
5
Perfectly
13
Q

Esquema antibiótico recomendado en el Estadio lll de Enterocolitis Necrosante

A

Ampicilina + Amikacina + Metronidazol.
- ( Solo se agrega Metronidazol al esquema sugerido en etapas l y ll )

How well did you know this?
1
Not at all
2
3
4
5
Perfectly
14
Q

Indicaciones para realizar manejo quirúrgico en pacientes enfermos de Enterocolitis Necrosante

A
  • Perforación intestinal
  • Rapido progreso de la neumatosis
  • Obtsrucción intestinal
How well did you know this?
1
Not at all
2
3
4
5
Perfectly
15
Q

Enterocolitis Necrosante

A

La presencia de sangre en heces y distensión abdominal en un recien nacido prematuro sumado a los factores de riesgo hacen pensar en esta patología

How well did you know this?
1
Not at all
2
3
4
5
Perfectly
16
Q

¿ Cuál es la principal secuela a los pacientes sometidos a cirugia por Enterocolitis Necrosante ?

A

Intestino Corto