Final Paeds I Flashcards

(53 cards)

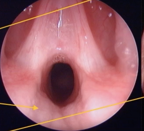
1
Q

Describe what is meant by laryngomalacia [1]
Describe the structural changes that causes this condition [+]

A

Laryngomalacia:
- part of the larynx above the vocal cords (the supraglottic larynx) is structured in a way that allows it to cause partial airway obstruction.
- This leads to a chronic stridor on inhalation, when the larynx flops across the airway as the infant breathes in. Stridor is a harsh whistling sound caused by air being forced through an obstruction of the upper airway.

Structural changes:
- There are two aryepiglottic folds at the entrance of the larynx. They run between the epiglottis and the arytenoid cartilages.
- They are either side of the airway and their role is to constrict the opening of the airway to prevent food or fluids entering the larynx and trachea.
- In laryngomalacia the aryepiglottic folds are shortened, which pulls on the epiglottis and changes it shape to a characteristic “omega” shape.
- The tissue surrounding the supraglottic larynx is softer and has less tone in laryngomalacia, meaning it can flop across the airway.
- This happens particularly during inspiration, as the air moving through the larynx to the lungs pulls the floppy tissue across the airway to partially occlude it. This partial obstruction of the airway generates the whistling sound.

How well did you know this?
1
Not at all
2
3
4
5
Perfectly
2
Q

Describe the presentation of laryngomalacia [2]

A

Laryngomalacia occurs in infants, peaking at 6 months. It presents with:
inspiratory stridor, a harsh whistling sound when breathing in.
Usually this is intermittent and become more prominent when feeding, upset, lying on their back or during upper respiratory tract infections.
- Infants with laryngomalacia do not usually have associated respiratory distress.

Symptomatic relief may be provided by hyperextending the neck during episodes of stridor

It can cause difficulties with feeding, but rarely causes complete airway obstruction or other complication

How well did you know this?
1
Not at all
2
3
4
5
Perfectly
3
Q

Describe the three types of laryngomalacia [3]

A

Type I Laryngomalacia (Curling Type):
* Characterised by inward curling of the mucosa overlying the arytenoid cartilages during inspiration. This creates an omega-shaped laryngeal inlet instead of the normal V-shape.
* It’s the most common type, accounting for approximately 75% of cases.

Type II Laryngomalacia (Prolapsing Type):
* Involves prolapse of the mucosa overlying the cuneiform and corniculate cartilages into the glottis during inspiration.
* This type accounts for around 15% of laryngomalacia cases.

Type III Laryngomalacia (Posterior Displacement Type):
* Less common, only observed in about 10% of cases. It involves posterior displacement or malpositioning of the epiglottis and aryepiglottic folds.
* This type is often associated with more severe symptoms and may require early surgical intervention.

How well did you know this?
1
Not at all
2
3
4
5
Perfectly
4
Q

What is this ddx of LM? [1]
What previously has likely occured to this patient? [1]

How would it present differently? [2]
What is likely caused by? [1]

A

Subglottic stenosis
- likely previous intubations
- presents with biphasic stridor and is not limited to inspiration like laryngomalacia.
- It may also present with respiratory distress that is disproportionate to the degree of stridor.

Causes:
- The underlying causes are diverse including congenital malformations, prolonged intubation trauma or systemic diseases like Wegener’s granulomatosis.
- This differentiates it from laryngomalacia which is believed to be due to neuromuscular immaturity.

How well did you know this?
1
Not at all
2
3
4
5
Perfectly
5
Q

What is this ddx of LM? [1]

A

Laryngeal cleft

How well did you know this?
1
Not at all
2
3
4
5
Perfectly
6
Q

What is this ddx of LM? [1]

A

Laryngeal web

How well did you know this?
1
Not at all
2
3
4
5
Perfectly
7
Q

What is this ddx of LM? [1]

A

Laryngeal cyst

How well did you know this?
1
Not at all
2
3
4
5
Perfectly
8
Q

Which factors would make you admit a patient with croup? [3]

A

CKS suggest admitting any child with:
moderate or severe croup
* < 3 months of age
* known upper airway abnormalities (e.g. Laryngomalacia, Down’s syndrome)
* uncertainty about diagnosis (important differentials include acute epiglottitis, bacterial tracheitis, peritonsillar abscess and foreign body inhalation)

How well did you know this?
1
Not at all
2
3
4
5
Perfectly
9
Q

How would you differentiate croup from Bacterial tracheitis [3]

A

Bacterial tracheitis
Similarities
* Stridor

Differences
* Usually school-age
* Soft stridor 2-7 days after onset of URTI symptoms
* Significant tracheal tenderness on palpation
* Reluctant to cough because of pain

How well did you know this?
1
Not at all
2
3
4
5
Perfectly
9
Q
A
How well did you know this?
1
Not at all
2
3
4
5
Perfectly
10
Q

NICE guidelines, last updated in 2019, suggest the following algorithm for the management of croup:
- Primary Care [3]
- Secondary care [4]

A

Primary care (mild illness):
* Supportive care
* Oral dexamethasone

Parents should be advised regarding:
* The expected course of croup, including that symptoms usually resolve within 48 hours.
* The need to take the child to hospital if stridor can be heard continually, the skin between the ribs is pulling in with every breath, and/or the child is restless or agitated.
* The use of antipyretics in children distressed due to fever.
* The need to check on the child regularly, including through the night.
* Arrange follow-up, using clinical judgment to determine the appropriate interval.

Secondary care (moderate - severe illness)
* All children with moderate-severe illness should be admitted
* Supportive care
* Oral dexamethasone
* Nebulised epinephrine
* Supplemental oxygen
* The above advice should also be given

How well did you know this?
1
Not at all
2
3
4
5
Perfectly
11
Q

Which patients should you admit w/ bronchiolitis? [+]

A
  • Aged under 3 months or any pre-existing condition such as prematurity, Downs syndrome or cystic fibrosis
  • 50 – 75% or less of their normal intake of milk
  • Clinical dehydration
  • Respiratory rate above 70
  • Oxygen saturations below 92%
  • Moderate to severe respiratory distress, such as deep recessions or head bobbing
  • Apnoeas
  • Parents not confident in their ability to manage at home or difficulty accessing medical help from home
How well did you know this?
1
Not at all
2
3
4
5
Perfectly
12
Q

What are the best indicators of resp. failure? [2]

A

Rising pCO2, showing that the airways have collapsed and can’t clear waste carbon dioxide.

Falling pH, showing that CO2 is building up and they are not able to buffer the acidosis this creates. This is a respiratory acidosis. If they are also hypoxic, this is classed as type 2 respiratory failure.

How well did you know this?
1
Not at all
2
3
4
5
Perfectly
13
Q

Describe the clinical dx of asthma [+]

A

Spirometry - The NICE guidelines suggest offering spirometry to children aged over 5-years-old if a diagnosis of asthma is being considered:
- (FEV1:FVC) ratio of less than 70% is suggestive of obstructive airway disease

Bronchodilator reversibility:
* For children aged 5 to 16-years-old, an improvement in FEV1 of >12% is suggestive of asthma
* For children aged 17 years-old and older, an improvement in FEV1 of >12%, plus an increase in volume of >200mL, is suggestive of asthma

FeNO:
- A fraction exhaled nitric oxide level of greater than 35 parts per billion (ppb) is suggestive of asthma

Peak Flow:
* The NICE guidelines suggest monitoring peak flow variability for 2-4 weeks if there is any diagnostic uncertainty
* Greater than 20% variability is considered a positive test, suggestive of asthma
* After diagnosis and treatment, peak expiratory flow can also be used as an indicator of treatment effect and a marker of clinical improvement/deterioration

How well did you know this?
1
Not at all
2
3
4
5
Perfectly
14
Q

Describe the features of moderate, severe and life threatening asthma in children [+]

A

Moderate:
- Peak flow > 50 % predicted
- Normal speech
- No features listed across

Severe:
* Peak flow < 50% predicted
* Saturations < 92%
* Unable to complete sentences in one breath
* Signs of respiratory distress
* Respiratory rate: > 40 in 1-5 years; > 30 in > 5 years
* HR: > 140 in 1-5 years; > 125 in > 5 years

Life Threatening:
* Peak flow < 33% predicted
* Saturations < 92%
* Exhaustion and poor respiratory effort
* Hypotension
* Respiratory rate:
* Silent chest
* Cyanosis
* Confusion

How well did you know this?
1
Not at all
2
3
4
5
Perfectly
15
Q

How do you treat acute moderate asthma in children > 5? [2]

A

Supplementary oxygen if required (i.e. oxygen saturations less than 94% or working hard)

Bronchodilator therapy
* give a beta-2 agonist via a spacer (for a child < 3 years use a close-fitting mask)
* give 1 puff every 30-60 seconds up to a maximum of 10 puffs
* if symptoms are not controlled repeat beta-2 agonist and refer to hospital

Steroid therapy
* should be given to all children with an asthma exacerbation
* treatment should be given for 3-5 days
* 20 mg oral prednisolone for children aged 2-5 years
* 40 mg oral prednisolone for children over 5 years

Moderate asthma may be managed using oral prednisolone and beta 2 bronchodilator therapy as an outpatient.

How well did you know this?
1
Not at all
2
3
4
5
Perfectly
16
Q

How do you treat acute severe asthma in children > 5? [+]

A
  • Administer inhaled salbutamol with a pressurised metered dose inhaler and spacer
  • Proceed to nebulised salbutamol (2.5-5 mg) if necessary
  • All children should recieve steroids
  • Add nebulised ipratropium bromide
  • If the patient is not responding to salbutamol or ipratropium, consult with a senior clinician
  • For consideration of IV magnesium, IV salbutamol or aminophylline

  • Salbutamol inhalers via a spacer device: starting with 10 puffs every 2 hours

How well did you know this?
1
Not at all
2
3
4
5
Perfectly
17
Q

Lecture

Describe the management of acute wheeze [+]

A

ABCDE approach, get help early

Assess severity

Apply high-flow oxygen (initially 15 litres via non-rebreathe mask,) titrate as needed aiming for target saturations 94-98%

Start bronchodilators:
* Burst therapy of Salbutamol (via spacer if Sats > 94% or via nebulizer if needing oxygen) and Ipratropium Bromide if severe exacerbation/poor response to Salbutamol
Give steroids

Consider IV Magnesium Sulphate if poor response to initial therapy

Also, can consider IV Salbutamol and IV Aminophylline

How well did you know this?
1
Not at all
2
3
4
5
Perfectly
18
Q

A parent thinks their child might be suffering from acute asthma attack.
What would initial at home advise be for parents? [1]

A

Parents/carers of children with acute asthma at home, should seek urgent medical attention if initial symptoms are not controlled with up to 10 puffs of salbutamol via a spacer;

How well did you know this?
1
Not at all
2
3
4
5
Perfectly
19
Q

what doses of pred. should be used for acute asthma for 2-5 yr olds [1] and 5+ ? [1]

A
  • 20 mg oral prednisolone for children aged 2-5 years
  • 40 mg oral prednisolone for children over 5 years
How well did you know this?
1
Not at all
2
3
4
5
Perfectly
20
Q

How can you prevent CLDP:
- pre-birth [1]
- post-birth [3]

A

There are several measure that can be taken to minimise the risk of CLDP. Giving corticosteroids (e.g. betamethasone) to mothers that show signs of premature labour at less than 36 weeks gestation can help speed up the development of the fetal lungs before birth and reduce the risk of CLDP.

Once the neonate is born the risk of CLDP can be reduced by:
* Using CPAP rather than intubation and ventilation when possible
* Using caffeine to stimulate the respiratory effort
* Not over-oxygenating with supplementary oxygen

How well did you know this?
1
Not at all
2
3
4
5
Perfectly
21
Q

Describe how you manage NAS
- Monitoring [2]
- Medical management [2]

A

Monitoring:
- Babies are kept in hospital with monitoring on a NAS chart for at least 3 days (48 hours for SSRI antidepressants) to monitor for withdrawal symptoms.
- A urine sample can be collected from the neonate to test for substances

Medical treatment options for moderate to severe symptoms are:
* Oral morphine sulphate for opiate withdrawal
* Oral phenobarbitone for non-opiate withdrawal

22
Q

A baby is born with polcythemia.

What other abnormality might they have and why? [1]

A

Hypoglycaemia - due to energy demands to of +rbc

23
Q

Describe Ortalini and Barlows tests

A

Barlow - can you dislocate hip?
Ortolani - can you relocate an already dislocated hip

24
A neonate is born at term and under observation in the delivery room. At 5 minutes of life, the oxygen saturation (SpO2) reading is 85%, and the baby appears pink and is breathing normally. There are no other signs of distress, and other observations are unremarkable. What is the most appropriate next step? [1]
**In first 10 minutes of life, suboptimal SpO2 readings can be expected from a healthy neonate.**
25
How would you distinguish bronchiolitis vs pneumonia? [2]
Consider a diagnosis of pneumonia if the child has: * **high** **fever** (over 39°C) and/or * **persistently focal crackles.**
26
Women who are between 16-32 weeks pregnant are offered the **[]** vaccine
Women who are between 16-32 weeks pregnant are offered the **pertussis vaccine**
27
Describe the management of epiglottitis [+]
A key point that is often talked about with epiglottitis is the **importance of not distressing the patient**, as this could prompt closure of the airway. **If you see a child with suspected epiglottitis, leave them well alone and in their comfort zone** - **Alert** **senior paediatrician and anaesthetist** **Management of epiglottis centres around ensuring the airway is secure**. - Most patients **do not require intubation** - However there is an **ongoing risk of sudden upper airway closure**, so **preparations** need to be made to **perform intubation at any time.** - **Intubation** is often **difficult** and needs to be **performed in a controlled environment with facilities available to do a tracheostomy** (intubating through the neck) if the airway completely closes. - When patients are **intubated they are transferred to an intensive care unit.** **Additional treatment once the airway is secure:** * **IV antibiotics** (e.g. **ceftriaxone**) * **Steroids** (i.e. **dexamethasone**) * **IV fluids** **Vaccination**: - Ensuring that children receive the **Haemophilus influenzae type B (Hib) vaccine** is crucial for preventing pediatric cases of acute epiglottitis.
28
Describe how you dx whooping cough [2]
A **nasopharyngeal or nasal swab** with **PCR** testing or **bacterial culture** can confirm the diagnosis within **2 to 3 weeks of the onset of symptoms.** Where the **cough** has been present for **more than 2 weeks patients** can be tested for the **anti-pertussis toxin immunoglobulin G** this is tested for in the oral fluid of children aged 5 to 16 and in the blood of those aged over 17.
29
Mx for whooping cough? [3]
**Supportive care** **Macrolide Abx:** - **azithromycin, erythromycin and clarithromycin** can be beneficial in the early stages (**within the first 21 days**) or vulnerable patients. - **Co-trimoxazole** is an alternative to macrolides. **Infants under 6 months** with suspect pertussis should be **admitted**
30
When does routine immunisation of infants for whooping cough occur? [4]
infants are routinely immunised at **2, 3, 4 months and 3-5 years** ## Footnote **NB**: neither infection nor immunisation results in lifelong protection - hence adolescents and adults may develop whooping cough despite having had their routine immunisations
31
When in a pregnancy are women offered a whooping cough vaccine? [1]
Women who are between **20-32 weeks pregnant** will be offered the vaccine.
32
Describe the pathological manifestations of CF in the GI system [5]
* **Meconium ileus**: Neonates with CF may present with intestinal obstruction due to thickened meconium. * **Pancreatic insufficiency:** Steatorrhea, weight loss, and malabsorption of fat-soluble vitamins due to pancreatic duct obstruction. * **Distal intestinal obstruction syndrome (DIOS):** Partial or complete intestinal obstruction due to inspissated faecal material. * **Biliary cirrhosis**: Impaired bile flow leading to liver damage, portal hypertension, and potential liver failure. * **Gastroesophageal reflux disease (GERD):** Increased prevalence in CF patients may exacerbate pulmonary complications.
33
Describe the investigations used for CF
**Newborn screening**: - Most cases of **cystic fibrosis (CF)** are identified through newborn screening programs, which typically involve **measuring immunoreactive trypsinogen (IRT)** in blood samples. - **An elevated IRT level warrants further testing, such as sweat chloride testing or genetic analysis** . **Sweat chloride test**: - The **gold standard diagnostic test for CF**, this measures the **concentration of chloride in sweat** - **Elevated chloride levels (>60 mmol/L)** are diagnostic of CF, while intermediate levels (30-59 mmol/L) require further investigation. **Genetic testing:** - **Identifying mutations** in the cystic fibrosis transmembrane conductance regulator (**CFTR**) **gene** can confirm the diagnosis, provide prognostic information, and guide treatment decisions. However, not all CFTR mutations are detectable through current testing methods.
34
Describe the management of CF [+]
**Airway clearance:** - **Chest physiotherapy**: active cycle of breathing, autogenic drainage, and positive expiratory pressure device - **High-frequency chest wall oscillation**: rapid oscillations to loosen and clear mucus from the airways. - **Exercise**: Regular physical activity promotes airway clearance, enhances lung function, and improves overall health. **Pharmacologic interventions**: - **Mucolytics**: Agents like **dornase alfa and hypertonic saline** reduce mucus viscosity, improving airway clearance and lung function. - **Bronchodilators**: **Inhaled β2-agonists and anticholinergics** help relax airway smooth muscle, improving airflow and lung function. - **Anti-inflammatories**: **inhaled corticosteroids and oral nonsteroidal anti-inflammatory drugs** (e.g., ibuprofen) help reduce airway inflammation and improve lung function. - **Antibiotics**: Regular use of inhaled antibiotics (e.g., **tobramycin, aztreonam**) helps **manage chronic infections**, particularly with Pseudomonas aeruginosa. Systemic antibiotics may be required for acute exacerbations. **Prophylactic flucloxacillin tablets** to reduce the risk of bacterial infections (particularly staph aureus) - **CFTR modulators**: Small molecule drugs like **ivacaftor, lumacaftor, and elexacaftor target specific CFTR mutations**, improving protein function and clinical outcomes. Selection depends on the patient's specific CFTR genotype.
35
Describe the nutritional management for patients with CF [3]
**Pancreatic enzyme replacement therapy (PERT)**: - Oral administration of pancreatic enzymes with meals assists digestion and absorption of nutrients. **Fat-soluble vitamin supplementation:** - Ensuring adequate intake of vitamins A, D, E, and K helps prevent deficiencies due to malabsorption. **High-energy diet:** - A high-calorie, high-fat diet addresses increased energy requirements and compensates for malabsorption, promoting growth and weight maintenance.
36
Describe the pathophysiology of sepsis [+]
The causative pathogens are recognised by **macrophages, lymphocytes and mast cells** These cells release vast amounts of cytokines, such as **interleukins and tumor necrosis factor**, to alert the immune system to the invader. These cytokines activate other parts of the immune system. This immune activation leads to further release of chemicals such as **nitrous oxide that causes vasodilation.** The immune response causes inflammation throughout the body. Many of these **cytokines** cause the **endothelial lining of blood vessels** to become more **permeable**. This causes fluid to leak out of the blood into the **extracellular** **space**, leading to **oedema** and a **reduction** in **intravascular** **volume**. The **oedema** around blood vessels creates a space between the blood and the tissues, **reducing the amount of oxygen that reaches the tissues**. **Activation of the coagulation system** leads to deposition of **fibrin** throughout the **circulation**, further **compromising** **organ** and **tissue** **perfusion**. It also leads to **consumption** of **platelets** and **clotting** **factors**, as they are being used up to **form the blood clots**. This leads to **thrombocytopenia, haemorrhages** and an **inability to form clots and stop bleeding**. This is called **disseminated intravascular coagulopathy (DIC).** **Blood lactate** **rises** as a result of anaerobic respiration in the **hypo-perfused tissues with an inadequate oxygen**. A waste product of anaerobic respiration is lactate.
37
Describe the tx of sepsis [+]
**A-E** **Blood tests**, including a FBC, U&E, CRP, clotting screen (INR), blood gas for lactate and acidosis **Blood cultures,** ideally before giving antibiotics **Intubate and ventilate** if required **Fluid resus** - **20ml/kg IV bolus of normal saline if the lactate is above 2 mmol/L** or there is shock. This may be repeated. **Inotropes** **IV Ceftriaxone** (within 1hr) **Glucose** if required **Electrolyte correction** **Correction of coagulopathy**
38
How do you give fluids if lactacte is above 2 mmol/L in paed. sepsis? [1]
**IV fluids**: **20ml/kg IV bolus of normal saline if the lactate is above 2 mmol/L** or there is shock. This may be repeated.
39
If you suspect toxic shock syndrome, which antiobiotic do you add to the management plan? [1]
Add **clindamycin** - Ceftriaxone & clindamycin
40
The traffic light system is used to stratify risk of sepsis in children. What would determine **yellow / medium risk** with regards to: - **Colour** (of skin, lips or tongue) - **Activity** - **Circulation** and **hydration** - **Other**
41
The traffic light system is used to stratify risk of sepsis in children. What would determine **red / high risk** with regards to: - **Colour** (of skin, lips or tongue) - **Activity** - **Circulation** and **hydration** - **Other**
42
How would you treat paed pneumonia? [2]
**Co**-**amoxiclav** (and **azithryomycin** to treat mycoplasma)
43
How do you treat malaria in non-severe [1] and severe disease [1] in children?
**Non-severe:** - Combination therapy: **coartem** (**artemether - lumefantrine**) - **Primaquine** to prevent disease relapse in liver if **P. ovale or vivax** **Severe**: - **Artesunate IV** ## Footnote NB: Vivax and ovale have
44
What is the most common viral cause of encephalitis in children [1] and neonates [1] Name some other viral causes [5]
The most common viral cause is **herpes simplex virus** (**HSV**) - In **children** the most common cause is **herpes simple type 1** (**HSV-1**) from cold sores. - **In** **neonates** it is **herpes** **simplex** **type 2** (**HSV-2**) from **genital herpes**, contracted during **birth**. **Other causes:** * **VZV** w chickenpox * **CMV** w immunodeficiency * **EBV** w infectious mononucleosis * **Enterovirus**, **adenovirus** and **influenza** **virus**
45
How would you dx encephalitis? [+]
**Lumbar** **puncture**, sending cerebrospinal fluid for **viral PCR testing**: - **Lymphocytosis** - **Elevated proteins** - **PCR** for **HSV, VZV and enteroviruses** **CT scan** if a lumbar puncture is contraindicated **MRI** **scan** after the lumbar puncture to visualise the brain in detail: - medial temporal and inferior frontal changes - normal in 1/3 patients **EEG** **recording** can be helpful in mild or ambiguous symptoms but is not always routinely required: - **lateralised periodic discharges at 2 Hz** **Swabs of other areas** can help establish the causative organism, such as throat and vesicle swabs **HIV** **testing** is recommended in all patients with encephalitis
46
What is the classic triad of symptoms of infectious mononucleosis? [3] What are other features? [+]
The classic triad of sore throat, pyrexia and lymphadenopathy is seen in around 98% of patients: * **sore throat** * **lymphadenopathy**: may be present in the anterior and posterior triangles of the neck, in contrast to tonsillitis which typically only results in the upper anterior cervical chain being enlarged * **pyrexia** **Other features:** * **malaise, anorexia, headache** * **palatal petechiae** * **splenomegaly** - occurs in around 50% of patients and may rarely predispose to splenic rupture * **hepatitis, transient rise in ALT** * **lymphocytosis**: presence of 50% lymphocytes with at least 10% atypical lymphocytes * **haemolytic anaemia secondary to cold agglutins (IgM)** * **a maculopapular, pruritic rash develops in around 99% of patients who take ampicillin/amoxicillin whilst they have infectious mononucleosis** ## Footnote **TOM TIP:** Look out for the exam question that describes an **adolescent** with a **sore** **throat**, who develops an **itchy rash after taking amoxicillin**. Mononucleosis causes an intensely itchy maculopapular rash in response to amoxicillin or cefalosporins.
47
Management of glandular fever? [3]
* **rest** during the early stages, **drink plenty of fluid, avoid alcohol** * **simple** **analgesia** for any aches or pains * consensus guidance in the UK is to **avoid playing contact sports for 4 weeks** after having glandular fever to **reduce the risk of splenic rupture**
48
**Atypical lymphocytes** - lymphocytosis: presence of 50% lymphocytes with at least **10% atypical lymphocytes**
49
Describe the presentation of mumps [5] It can also present with symptoms of the complications, such as: [3]
**Patients** **experience** an initial period of flu-like symptoms known as the **prodrome**: * **Fever** - 3/4 days, oscillates * **Muscle** **aches** * **Lethargy** * **Reduced** **appetite** * **Headache** * **Dry** **mouth** **Parotid gland swelling**, either **unilateral** or **bilateral**, with associated pain is the key feature that should make you consider mumps! - **May lead to ear lobe being elevated and jaw angle becoming obstructed** - Associated with **tenderness, pain exacerbated by chewing, fever, malaise, anorexia, and headache.** It can also present with **symptoms** of the **complications**, such as: * Abdominal pain (**pancreatitis**) * Testicular pain and swelling (**orchitis**) * Confusion, neck stiffness and headache (**meningitis or encephalitis**)
50
Name 5 complications of mumps [5]
**Complications** * Acute Pancreatitis * Orchitis * Meningitis * Sensorineural hearing loss * Glomerulonephritis
51
When does the orchitis typically occur with regards to other features of mumps? [1]
**Generally within a week post-parotitis**.
52
If a patient is unvaccinated agaisnt mumps - how would you manage them if they've had a mumps exposure? [1]
Vaccination: Ensure up-to-date immunisation status with MMR (measles, mumps and rubella) vaccine as per UK guidelines. **Post-exposure prophylaxis with MMR vaccine within 72 hours can be considered in unvaccinated individuals exposed to mumps.**