Hy: Ort - Hand och handled Flashcards

(32 cards)

1
Q

vilka är de två vanligaste handledsfraktuerna?

A
  • Colles fraktur (85%) - Extraartikulär fraktur. Dorsalbockning och radiusförkortning (“ulna plus”)
  • Smiths fraktur (10%) - Typiskt extraartikulär fraktur där det distala fragmentet är volarbockat. Kan vara intraartikulär.
How well did you know this?
1
Not at all
2
3
4
5
Perfectly
2
Q

hur uppkommer handledsfraktuer?

A
  • äldre kvinnor med osteoperos - lågenergi
  • yngre med högenergivåld
How well did you know this?
1
Not at all
2
3
4
5
Perfectly
3
Q

symtom radisufraktur diastal?

A
  • Smärta över frakturen samt palpation av proc. styloideus radii
  • Felställning av handled
  • Nedsatt rörlighet i handled och hand
How well did you know this?
1
Not at all
2
3
4
5
Perfectly
4
Q

undersökning komplett vid radiusfraktur?

A
  • anamns på skadan och ev osteoperos mm
  • handstatus
  • Distatalstatus!
  • slät-rtg med fronstal och sidobild
How well did you know this?
1
Not at all
2
3
4
5
Perfectly
5
Q

påverkat distalstus på radisufraktur - vad gör du?

A

Vid störd distalstatus ska man reponera innan röntgen (men efter lokalbedövning)!

How well did you know this?
1
Not at all
2
3
4
5
Perfectly
6
Q

vad ses på rtg vid vid radisufraktur som man vill kolla på?

A

Förkortad radius (”ulnaplus” - Ulna når ovanför radialis kant på röntgenbild), radialdevierad, dorsalbockad.

alltså sänkning, vridning och bock + i ledspringa eller ej + om de är flera fragment eller ej

How well did you know this?
1
Not at all
2
3
4
5
Perfectly
7
Q

när gör man op av en radisufraktur?

A
  • Kirurgi om ulnaplus med 2-3 mm längre ulna än radius trots reponeringsförsök eller
  • Dislokation med dorsalbockning > 20° från normalanatomiskt läge trots reponeringsförsök eller
  • Förkortning med > 5 mm eller
  • Sidoförskjutning av fragment > 1 cm eller
  • Volar felställning (Smith) och intraartikulär (Barton) opereras i princip alltid! Kan opereras polikliniskt inom 1 v.
How well did you know this?
1
Not at all
2
3
4
5
Perfectly
8
Q

hur reponerar man en handled?

A
  1. inj mepivakain 15 ml i springan
  2. häng armem med vid under 20 min
  3. Reponera - En person håller i patientens överarm samtidigt som läkaren drar i tumme och pekfinger i motsatt riktning, läkaren klättrar därefter upp längs handen till hen når det distala frakturfragmentet med sina händer. Fragmentet trycks på plats samtidigt som patientens handled först extenderas för att därefter flekteras.
  4. Kontrollröntgen efter reponering
How well did you know this?
1
Not at all
2
3
4
5
Perfectly
9
Q

vad görs efter reponering av radisufraktur?

A
  • Dorsal gipsskena i 4-6 veckor - Säkerställ fri rörlighet i MCP-leder, tumme och armbåge
  • Kontrollröntgen efter 10-12 dagar
  • Rörelseträning hos terapeut efter avgipsning
How well did you know this?
1
Not at all
2
3
4
5
Perfectly
10
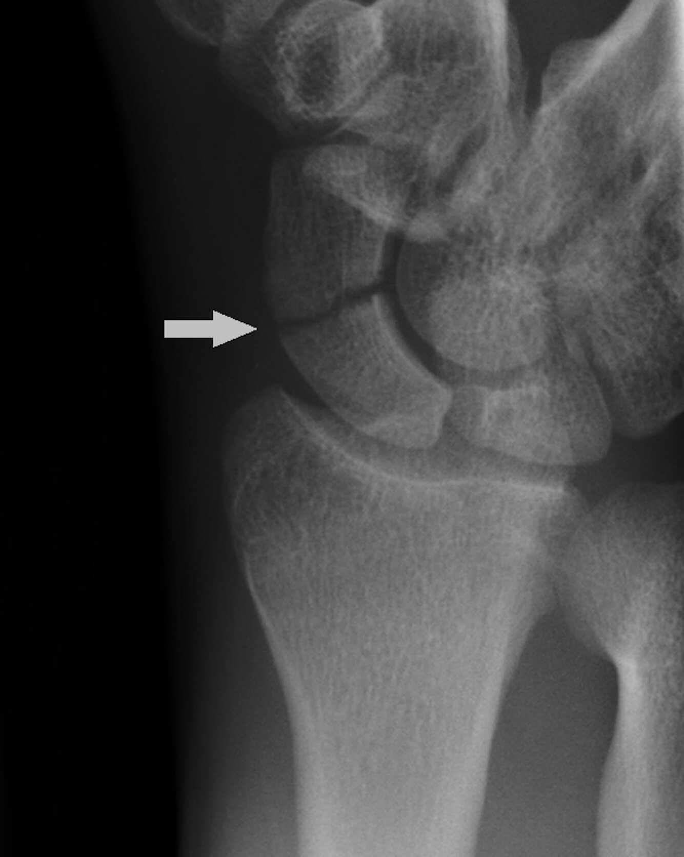
Q

vad menas med scaphidoeumfraktur?

vanligt? vem? läcker hur?

A

Båtbensfraktur

Scaphoideumfraktur är den vanligaste carpala frakturen och utgör ca 60-70% av alla karpalbensfrakturer och är vanligast förekommande bland unga individer.

Dålig blodförsörjning, fr.a. den proximala tredjedelen plus stor rörlighet gör frakturen svårläkt.

How well did you know this?
1
Not at all
2
3
4
5
Perfectly
11
Q

hur uppkommer båtbensfraktur?

A

Frakturen uppstår oftast vid en forcerad extension samt radialdeviation av handleden. Klassikt är t.ex. ett fall där patienten tagit emot sig med en utsträckt hand.

How well did you know this?
1
Not at all
2
3
4
5
Perfectly
12
Q

symtom båtbensfraktur?

A
  • Lokal svullnad
  • Palpationsömhet i fossa Tabatière
  • Smärta vid axial kompression av tumme
  • Smärta vid radialdeviation respektive dorsalextension av handled
How well did you know this?
1
Not at all
2
3
4
5
Perfectly
13
Q

undersökning av schap fraktur?

A
  • anamnes
  • status
  • rtg - som i 15% missar, så om de kvarstår symtom ska mr göras.
How well did you know this?
1
Not at all
2
3
4
5
Perfectly
14
Q

behandling av båtbensfraktur?

beroende på rtg svar

A
  • neg rtg ==> schap gips och sedan kontroll rtg 2v
  • odislocerad fraktur - gips 3 månader
  • dislocerad fraktur - op med öppen reposition
How well did you know this?
1
Not at all
2
3
4
5
Perfectly
15
Q

vad är en bennettsfraktur?

vilken del? etiologi? symtom? handläggning?

A
  • En Bennettfraktur innebär en fraktur i tummens innersta led CMC1, där ena metacarpalbensfragmentet (huvudfragmentet) disloceras på grund av drag från abductor pollicis longus-senan.
  • Tillståndet orsakas ofta av fallskada eller av våld mot en knuten hand och tumme.
  • typiska symptom är svullnad och ömhet över det frakturerade området.
  • Diagnosen ställs med hjälp av röntgen i två plan.
  • Tillståndet behandlas med operation och därefter gips i 4-6 veckor.
  • Kan ge komplikationer i form av artrosutveckling.
How well did you know this?
1
Not at all
2
3
4
5
Perfectly
16
Q

vad är en subkapituläär metacaralfraktur?

vilken är vanligast

A
  • Den vanligast metakarpalbensfrakturen - Subkapitulärt är benets svagast punkt
  • vanligast i V, kallas boxarfraktur
17
Q

vad förutom rtg är viktigt att göra vid metacarpalfraktur?

A

Kontrollera rotationsfelställning! Syns inte på röntgen, knyt handen, fingrarna ska peka mot scaphoideum och ska inte korsa över något närliggande finger

18
Q

behandling metacarpalfraktur?

A
  • reponera ev
  • gips 3v
  • kontroll rtg 1v
19
Q

hur undersöker man en fingerfraktur?

A

Viktigt att identifiera huruvida frakturen är stabil/instabil, felställd/icke felställd och med eller utan ledengagemang

  • Inspektion -Felställning, svullnad, hematom, öppen/sluten fraktur
  • Palpation - Patologisk rörlighet, instabilitet, palpationsömhet (lokalisation)
  • Rörlighet - Rörelseinskränkning, rotation. Rotationsfelställning ses bäst vid fingerflexion. Normalt ska alla fingrar peka i samma plan och mot os scaphoideum.
  • Distalstatus - Cirkulation, sensorik

samt rtg slät

20
Q

behandling fingerfraktur

olika sorters

A
  • reponera med fingerbasblockad
  • vid stabil - fingerskena
  • vid instabil - gips
  • kontroll rtg
  • op vid rotationsfelställning eller vid ip.leds fek
21
Q

vad är en flexor skada?

A

Med en flexorsenskada menas här en skada på flexor digitorum superficialis eller flexor digitorum profundus. Tillståndet orsakas ofta av en skärskada i handen.

22
Q

hur undersöker man flexor skador?

A
  • Klinisk diagnos - Nedsatt rörelseförmåga och styrka. Ofta föreligger samtidig fingernervskada eller senskada på annan flexorsena.
  • Lokalstatus och distalstatus - Testa funktion vid och bortom skada, kapillär återfyllnad och 2PD

Test av flexorsenor - Utebliven rörelseförmåga talar för total ruptur, liten och svag rörelse talar för partiell skada
* Flexor digitorum profundus- Lås PIP-leden, se om DIP-leden kan flekteras
* Flexor digitorum superficialis - Lås alla utom ett finger, se om detta kan flekteras

23
Q

behandling flexor sen skada?

A

Vid öppna senskador kan såret sys ihop av första behandlande läkare för att sedan skickas vidare till handkirurg för bedömning

Ska sys hos handkirugen inom 2 dygn!

24
Q

hur uppkommer nervskador i handen och hur handlägger man dem? symtom och komplikation?

A

Tillståndet orsakas ofta av skärskador. Typiska symptom är nedsatt sensorik i den drabbade nervens innervationsområde (ej motorik).

Diagnosen ställs med hjälp av klinisk undersökning.

Tillståndet behandlas av handkirurg och bör sys inom 2 dygn.

Kan ge komplikationer i form av smärtsamma neurom, vuxna får endast skyddskänsel.

25
ska man reponera en finger-lux före eller efter rtg?
Ett luxerat finger kan även vara brutet och man bör inte försöka reponera det innan röntgen!
26
vad är en septisk tendovaginit? | orsak
Infektion i senskida - Senskidorna är sparsamt vaskulariserade och infektiös tendovaginit kan snabbt sprida sig i handen. * Oftast s. aureus (pus och abscesser) * Stickvåld * Hundbett - S. aureus eller Canimorsus * Kattbett - Pasteurella multocida
27
behandling av septisk tendovagit
* op - öppna upp och skölj * ab * ev tentusprofyi
28
De Quervains tendovaginit | vad är de? orsak? symtom? diangostik? beghadnliong
* Tendovaginit i första dorsala senskidefacket vid processus styloideus radii * överansträningen ger de * smärta radialt vid proc styl radi, främst vid finkelsteins test * behadnling med kortision och i andra hand op
29
vad är karpaltunnelsyndrom? | vem får det? riskfaktorer?
* P.g.a. trängsel i karpaltunneln komprimeras n. medianus * Ofta hos kvinnor 40-60 år, gravida, vid hypotyreos, akromegali eller vibrationsskada riskfaktorer: * dm2 * reumatism * gravid * hypotyreos * vibrationer
30
symtom karpaltunelsyndrom?
* Parestesier, domningar och smärta i handflata och dig I-III + radiala sidan av dig IV. Besvär tydligast nattetid. * Känselnedsättning och muskelsvaghet/atrofi i tenarmuskulaturen - Uppkommer senare i förloppet
31
anamnes och underökning vid karpaltunellsyndrom?
Anamnes med nattbesvär och domning i dig1-3+sidan av dig4. Sjukdomar utifrån riskfaktoer + arbete. Status med: * Tinels tecken - Perkussion över karpaltunneln utlöser parestesier * Phalens test - Maximal palmarflektion i 30 sekunder utlöser parestesier * 2PD - Över 5 mm tyder på nervpåverkan * Leta efter atrofi och undersök styrka (oppositionsförmågan) i tenarmuskulaturen | ev emg-eneg
32
behandling karpaltunellsyndrom?
Förstahandsbehandling (lindriga fall) - Nattskena i ca 6-8 veckor (förhindrar flektion av handled under sömn) och åtgärda riskfaktorer Vid sömnstörningar, konstanta symtom eller 2PD > 5 mm: operation med klyvning av karpalligamentet inom 1 vecka, annars risk för bestående nervpåverkan.