Panoramic positioning errors Flashcards

(36 cards)

1
Q

What is important for panoramic proper positioning?

A

Patient positioning and head alignment

How well did you know this?
1
Not at all
2
3
4
5
Perfectly
2
Q

What do patients need to remove for a panoramic radiograph?

A

Dental appliances
Earrings
Necklaces
Hairpins
Glasses

How well did you know this?
1
Not at all
2
3
4
5
Perfectly
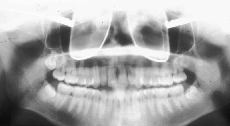
3
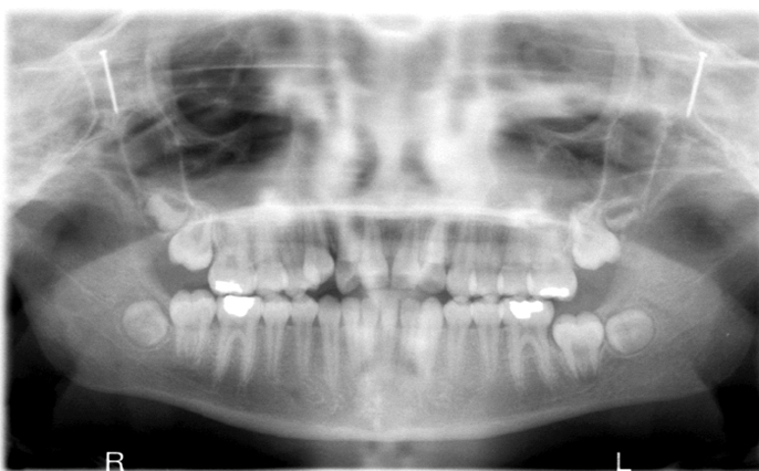
Q

What is wrong with this image?

A

glasses

How well did you know this?
1
Not at all
2
3
4
5
Perfectly
4
Q

What is wrong with this image?

A

earrings

How well did you know this?
1
Not at all
2
3
4
5
Perfectly
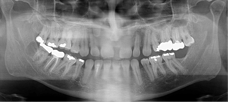
5
Q

What is wrong with this image?

A

necklace

How well did you know this?
1
Not at all
2
3
4
5
Perfectly
6
Q

What is wrong with this image?

A

hairpins

How well did you know this?
1
Not at all
2
3
4
5
Perfectly
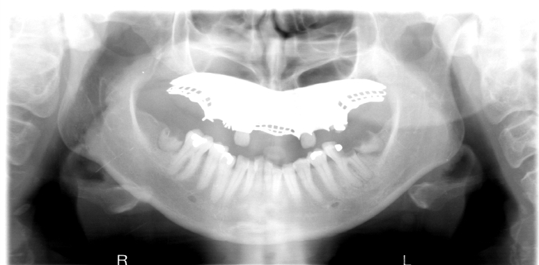
7
Q

What is wrong with this image?

A

removable prosthodontic device

How well did you know this?
1
Not at all
2
3
4
5
Perfectly
8
Q

What should you be able to see with proper positioning for a panoramic?

A
  • Teeth and jaws sharply depicted.
  • Slight curvature of occlusal plane.
  • Equal magnification on left and right side.
  • No air space obstructing view of maxillary roots.
  • No ghost image of cervical spine in midline
How well did you know this?
1
Not at all
2
3
4
5
Perfectly
9
Q

What is wrong with this image?

A

Too far forward

How well did you know this?
1
Not at all
2
3
4
5
Perfectly
10
Q

What happens if a panoramic is taken too far forward?

A
  • Anterior teeth narrowed and blurred.
  • Cervical spine superimposed on ramus (double real image of cervical spine)
How well did you know this?
1
Not at all
2
3
4
5
Perfectly
11
Q

What is wrong with this image?

A

too far forward

How well did you know this?
1
Not at all
2
3
4
5
Perfectly
12
Q

What is wrong with this image?

A

too far back

How well did you know this?
1
Not at all
2
3
4
5
Perfectly
13
Q

What happens if a panoramic is taken too far back?

A
  • Anterior teeth widened and blurred.
  • Inferior turbinates and meati spread across maxillary sinuses.
  • Condyles close to or cut off side of image.
How well did you know this?
1
Not at all
2
3
4
5
Perfectly
14
Q

What is wrong with this image?

A

too far back

How well did you know this?
1
Not at all
2
3
4
5
Perfectly
15
Q

What is wrong with this image?

A

Inferior turbinates and meati spread across maxillary sinuses (too far back)
(also ghost image of earrings?-haley)

How well did you know this?
1
Not at all
2
3
4
5
Perfectly
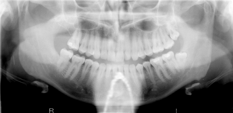
16
Q

What is wrong with this image?

17
Q

What happens if a panoramic is taken with the chin down?

A
  • Excessive curvature of occlusal plane.
  • Roots of mandibular anterior teeth are blurred.
  • Rami/condyles tipped inward.
  • Condyles close to or cut off top of image.
  • Hyoid bone superimposed on mandible.
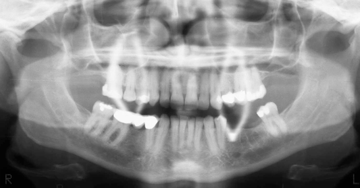
18
Q

What is wrong with this image?

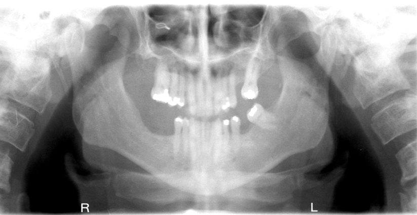
19
Q

What is wrong with this image?

A

chin down and too far forward

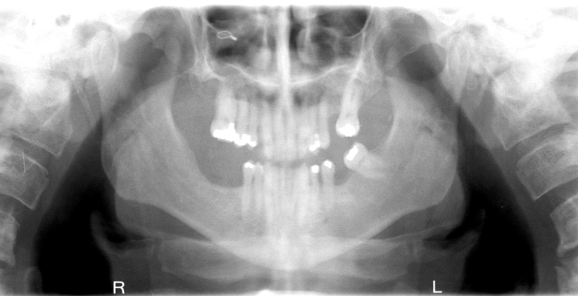
20
Q

What is wrong with this image?

21
Q

What happens if a panoramic is taken with the chin up?

A
  • Flat occlusal plane or reverse curvature.
  • Roots of maxillary anterior teeth are blurred.
  • Rami/condyles tipped laterally.
  • Condyles close to or cut off side of image.
  • Hard palate superimposed on maxillary apices.
22
Q

What is wrong with this image?

23
Q

What is wrong with this image?

24
Q

What happens if a panoramic is taken with the head turned?

A
  • Unequal magnification of left and right side (teeth, ramus)
  • Increased blurring and overlapping of contacts on one side.
25
When head is turned to the right, the posterior right dentition moves farther from the sensor so the teeth will project ________ on the radiographic image
wider
26
When head is turned to the right, the posterior left dentition moves closer to the sensor so the teeth will project _________ on the radiographic image
narrower
27
What is wrong with this image?
head turned
28
Due to a left side shift, posterior teeth on left side will be closer to the sensor and project _________ on the radiographic image
narrower
29
Due to a left side shift, posterior teeth on right side will be farther from the sensor and project __________
wider
30
What is wrong with this image?
patient slumped
31
What is wrong with this image?
patient slumped
32
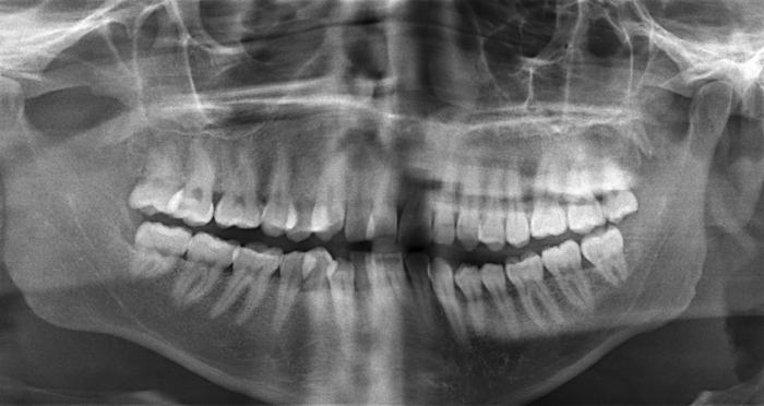
What is wrong with this image?
TONGUE NOT AT ROOF OF MOUTH - palatoglossal air space
33
What is wrong with this image?
lead apron artifact
34
What is wrong with this image?
Ghost image of cervical spine and lead apron artifact.
35
What is wrong with this image?
partial panoramic image
36
What is wrong with this image?
patient movement