What are the features of Tay Sachs disease?
(use the pneumonic)
What are the other names for Tay Sachs disease?
Neuronal lipidosis
GM2 gangliosidosis
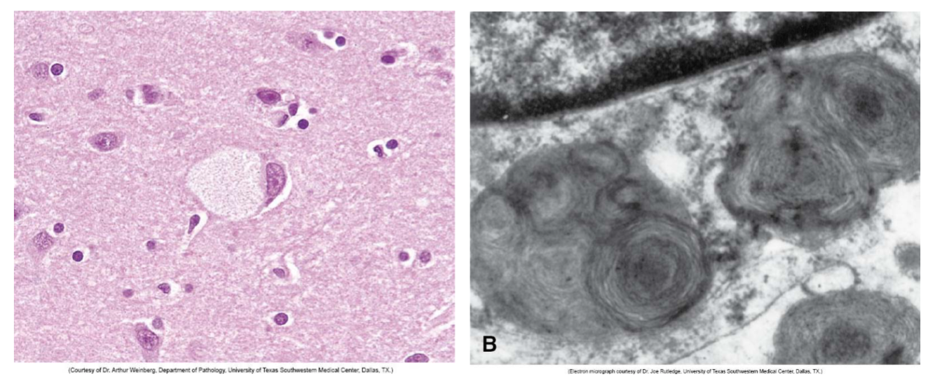
The provided microscopic images are characteristic of what condition?

Tay Sachs Disease

Left - ganglion cells w/ lipid vacuolization
Right - prominent lysosome with whorled configuration on EM
What is the most common lysosomal storage disease?
Gaucher Disease
What is the cause of Gaucher disease?
glucocerebrosidase deficiency
-> accumulation of glucocerebroside (main in macrophages)
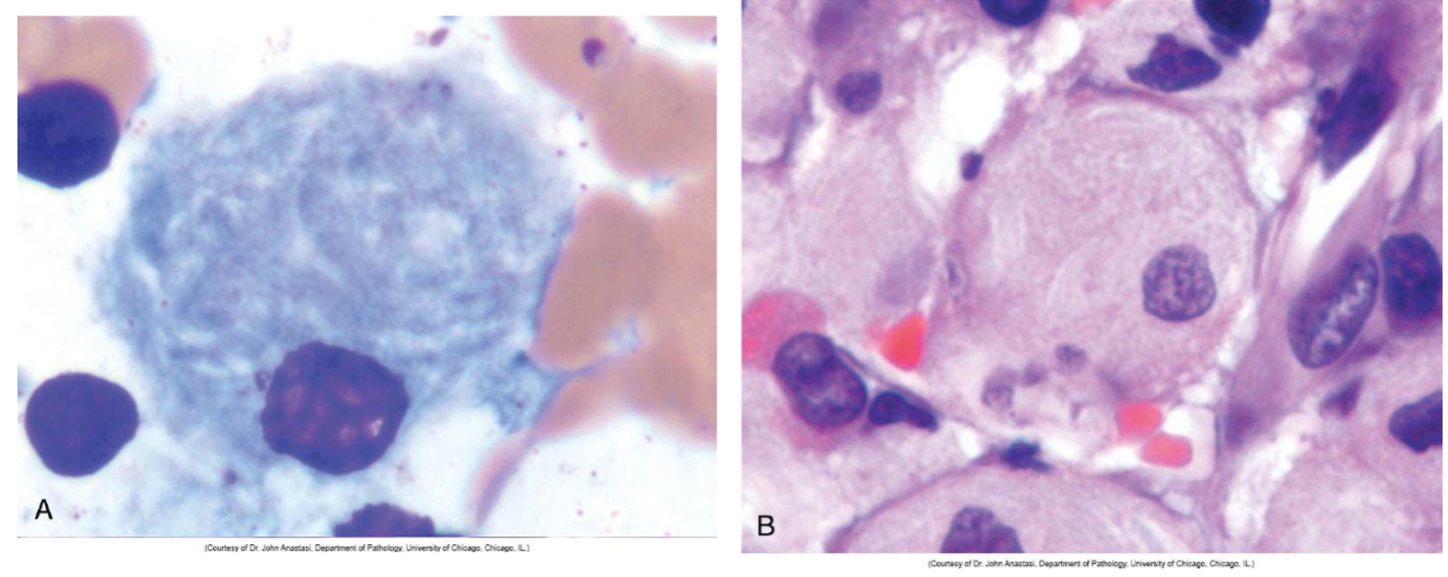
What unique cells are shown in the provided bone marrow aspirates & which disease are the characteirstic of?

Gaucher cells: histiocytes w/ “crinkled paper” appearance
Gaucher disease
“terribly gauche to arrive at a fancy party in a wrinkled dress”
What is the cause of Niemann-Pick Disease, types A/B?
acid sphingomyelinase deficiency results in storage of sphingomyelin
What is the clinical picture of a patient with Niemann-Pick Disease, types A/B?
early symptoms
failure to thrive -> hepatosplenomegaly & neural regression
brain become atrophic
macular cherry-red spot
Which disease do you see a macular cherry-red spot?
Niemann-Pick Disease, types A/B
Tay-Sachs Disease
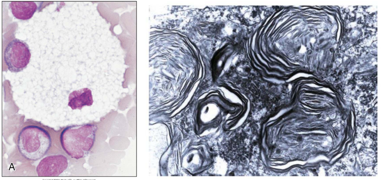
The provided microscopic images are characteristic of what condition?
What is the name of each of the cell types?

Niemann-Pick Disease, Type A/B
Left - Foamy histiocyte
Right - Lamellar bodies on EM
Fill out the provided summary table:


The provided images show pathology in what structures?
This is due to what deficiency?

Mamillary body
Thiamine (B1) deficiency
Thiamine is what vitamin?
B1
Thiamine deficiency can lead to what condition?
Wernicke-Korsakoff Syndrome
&
Wernicke encephalopathy (acute condition)
Chronic severe vitamin B12 deficiency can lead to what condition?
degeneration of the axones in ascendign tractsof posterior columns & descending pyramidal tracts
also, degeneration of brain, nerves of eyes, & peripheral nerves

What conditoin is caracteristic of the shown spinal cord segment with myelin stain?

severe demyelination of the posterior & lateral columns
chronic severe vitamin B12 deficiency
The provided pathology is likely caused by what?

CO poisoning
bilateral necrosis of globus pallidus
What is the chronic CNS sequelae of chronic excessive alcohol use?
cerebellar dysfunction - truncal ataxia, unsteady gait, nystagmus
atrophy & granular cell loss in anterior vermis

Degenerative diseases affect what type of matter?
gray matter disease - loss of neurons
secondary changes in white matter tracts
General cause of degenerative diseases?
protein aggregates that aer resistant to degradation via the ubiquitin-proteasome system
“cellular inclusions”
What is the most common neurodegenerative disease?
Alzheimer’s
most common cause of dementia in the elderly
Almost all individuals in what demographic get Alzeimer disease if they live past 45?
trisomy 21
What pathology is shown in the provided image?

Cortical atrophy (consistent with Alzheimer disease)
What pathology is shown in the provided image?

Cortical atrophy (consistent with Alzheimer disease)