Seorang anak berusia 15 thn datang dengan nyeri leher. Secara neurologis utuh. CT tulang belakang cervical menunjukkan lesi osteolytic dengan beberapa rongga berisi cairan yg melibatkan body C4. Apakah diagnosis yg paling mungkin? A. Ewing’s sarcoma B. Aneurysmal bone cyst C. Osteosarcoma D. Eosinophilic granuloma E. Fibrous dysplasia
C. Osteosarcoma The most likely diagnosis is an aneurysmal bone cyst (ABC). ABCs present commonly in children and radiographically appear as an osteolytic lesion with multiple fluid-filled cysts. They are considered benign tumors. Primary malignant tumors of the bone include osteosarcoma and Ewing’s sarcoma. Osteosarcoma have both a lytic and blastic component on xrays and are typically referred to having a ‘sunburst appearance’. Ewing’s sarcoma is the second most common primary bone tumor in children. Radiographically, they demonstrate diffuse destruction of bone and are associated with a periosteal reaction which produces an ‘onionskin’ appearance on xray. Fibrous dysplasia can occur in any bone and usually presents in the setting of a pathologic fracture. Radiographically, it has a ground-glass appearance. There are no fluid-fluid levels. Eosinophilic granuloma (EG) is the unifocal variant of the three clinical forms of Langerhans Histiocytosis. The other two variants are Letterer-Siwe disease and Hand-Schuller-Christian disease. These are both multifocal in nature. EG lesions have a punch-out like appearance on radiographs or may present as vertebra plana in the spine.
22 tahun menderita cedera tulang belakang setelah jatuh dengan burst fraktur L2 dan canal compromise. Lebih dari setengah dari otot-otot di bawah tingkat cedera memiliki tingkat kekuatan
A. C The correct answer is ASIA C. According to the current (2000/2002 ASIA Standards) the patient meets the criteria for an incomplete spinal cord injury with a “C” classification. As stated, “Motor function is preserved below the neurological level, and more than half of the key muscles below the neurological level have a muscle grade less than 3.” A—Complete injury. No sensory or motor function is preserved in the sacral segments S4-S5. B—Incomplete. Sensory but not motor function is preserved below the neurological level and includes the sacral segments S4-S5. D—Incomplete. Motor function is preserved below the neurological level, and at least half of the key muscles below the neurological level have a muscle grade greater than or equal to 3. E—Normal. Sensory and motor functions are normal.
Wanita 35 thn datang dengan mielopati ekstremitas atas dan bawah progresif. MR menunjukkan well defined, peningkatan kontras lesi 2 cm (diameter) di sumsum tulang belakang cervical. Apakah terapi yang paling tepat untuk pasien ini? A. Open biopsy lesi dengan kemoterapi dan radioterapi tepat B. Biopsy dengan CT dengan kemoterapi dan radioterapi tepat C. Serial MRI setiap 3 bln D. Eksisi surgical komplit dari lesi (jika mungkin)
D. Eksisi surgical komplit dari lesi (jika mungkin) The most common histologies for intramedullary spinal cord tumors in this age group are ependymomas and astrocytomas. Surgical intervention is warranted in patients with clinically progressive intramedullary spinal cord tumors. Preoperative neurologic status is the single most predictor of postoperative neurologic function. Serial imaging could be considered in an asymptomatic patient with a lesion identified as an incidental finding. Biopsy (CT vs. Open) and radiation alone are contraindicated in most cases.
Pria 35 tahun datang dengan riwayat beberapa minggu kelemahan betis kiri dan retensi urin. MRI scan tulang belakang lumbar merupakan yg paling konsisten dengan ependimoma myxopapillary dari konus medullaris. Apakah penanganan awal yg paling tepat pada pasien ini?
A. Laminektomi dan reseksi tumor
B. Laminektomi dan biposi
C. Biopsi dgn CT
D. Spinal radiosurgery
E. Observasi klinis dgn pencitraan ulang awal

A. Laminektomi dan reseksi tumor
The most appropriate initial management of this patient’s probable ependymoma is laminectomy and tumor resection. Positive prognostic factors include symptoms of less than one year, confinement of the lesion to the filum terminale without infiltration or adherence to roots of the cauda equina and gross total resection.
Either laminectomy with biopsy or CT guided biopsy would not be the most appropriate treatment options as resection is the preferred approach. Radiosurgery has not been proven effective as a primary therapy for spinal ependymomas.

Seorang pria 45 thn datang dgn riwayat nyeri ekstremitas atas kanan parah selama 2 minggu. Rasa sakit berkurang tetapi lengan menjadi sangat lemah dan tetap selama sebulan terakhir. Kelemahan lebih di proksimal daripada distal. lengan kiri tidak terpengaruh. MRI spine cervical normal. Pemeriksaan EMG untuk kedua ekstremitas atas kiri dan kanan disarankan. Mengapa disarankan test EMG di ekstremitas atas kiri?
A. EMG abnormal bilateral kemungkinan kompresi mielopati
B. Gejala dan hasil pemeriksaan yg didapat dapat medukung diagnosis Brachial Plexitis
C. Lengan kiri dpt menjadi kontrol yg baik sbg perbandingan
D. Kemungkinan pasien memiliki ALS
E. Kemungkinan pasien memiliki diabetic polyneuropathy
B. Gejala dan hasil pemeriksaan yg didapat dapat medukung diagnosis Brachial Plexitis
The left arm is being tested via EMG to look for supportive evidence for the diagnosis of Brachial Plexitis (Parsonage- Turner Syndrome). Brachial Plexitis initially presents with pain and is subsequently followed by weakness, often after the pain has dissipated. Proximal motor groups are particularly affected. The disorder often follows an upper respiratory illness. The most common presentation affects one extremity, however it can present bilaterally as well. EMG may be positive in the opposite upper extremity even if the arm is clinically quiescent.
An opposite extremity is not required for comparison in EMG testing. EMG information is determined on a muscle by muscle basis. Collation of findings helps build a diagnostic picture.
The clinical picture does not follow any of the alternative diagnoses offered.
Pria 45 thn dgn kanker sel renal yg sedang dalam kemoterapi datang ke klinik dgn metastasis body C2 dan nyeri leher parah. Pasien ini secara neurologis normal dan tidak ada bukti adanya kompresi tulang belakang dan ketidakstabilan pd pencitraan. Terapi apakah yg tepat pd pasien ini?
A. Terapi radiasi konvensional
B. Reseksi surgical
C. Tidak perlu tambahan terapi
D. Stereotactic radiosurgery
D. Stereotactic radiosurgery
The most appropriate treatment for a neurologically intact patient with intractable neck pain with a C2 body renal cell metastasis is stereotactic radiosurgery. Spinal radiosurgery with a tumor margin dose of 20 Gy has been demonstrated to reduce neck pain and to provide good local tumor control. If the tumor progresses despite initial radiosurgery, surgical resection would be recommended at that time. In the absence of instability or neurologic deficit, surgery would not be the first line of treatment. Surgical resection without stabilization would result in iatrogenic instability.
Conventional radiation therapy is not as effective in tumor control as renal cell cancer is radioresistant to fractionated radiation therapy. Chemotherapy alone is not appropriate as a management option in this patient.
Seorang wanita 47 thn datang dengan parestesia di kedua lengan dan leher serta nyeri bahu sejak kecil. MRI tulang belakang cervcal menunjukkan (T1– left, STIR– right). Apakah diagnosis yg plg mungkin?
A. Meningioma
B. Neurofibroma
C. Spinal glioma
D. Chondrosarcoma
E. Lipoma

E. Lipoma
The correct answer is lipoma.
The MRI shows an intradural extramedullary mass which is fairly homogenous and is T1 hyperintense and STIR hypointense. The STIR sequence suppresses fat signal, suggesting that this mass is composed of fat. The other answer choices are lesions which are either not composed of fat or not found in the intradural extramedullary space.

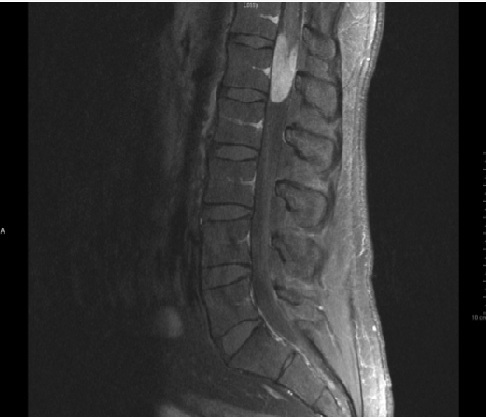
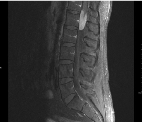
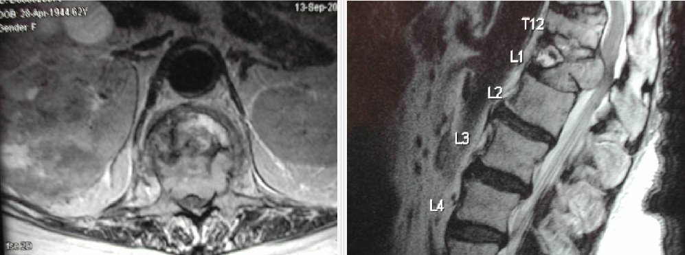
Seorang wanita 50 thn datang dgn riwayat 1 thn LBP progresif dan konstipasi. MRI menunjukkan massa sacral yg besar. Dia scr neurologis normal. Apakah langkah plg tepat yg selanjutnya dilakukan untuk menentukan terapi pasien ini?
A. Formal urodynamic studies
B. MRI dgn kontras di pelvis
C. Biopsi dgn CT pada massa
D. MRI of the skull base
E. Pemeriksaan proctoscopic untuk menilai integritas/ keutuhan

C. Biopsi dgn CT pada massa
The differential diagnosis for this lesion includes diagnoses for which en bloc resection has been reported to provide the best chances of disease-free survival. Compared with intralesional resection, en bloc resection can be substantially more challenging and involve greater morbidity. A CT-guided biopsy of the lesion, with careful marking of the biopsy tract, can provide a tissue diagnosis prior to definitive surgical intervention in order to decide whether the lesion necessitates an attempt at en bloc resection. In this patient, a CT-guided biopsy demonstrated chordoma, a lesion best treated with en-bloc resection if feasible.

Seorang pria 54 thn dgn kanker paru-paru non-small cell datang dgn keluhan mielopati progresif selama 2 bln terakhir + inkontinensia + ketidakmampuan berjalan selama 48 jam terakhir. Apakah pernyataan plg akurat mengenai pengambilan keputusan bedah pd pasien ini?
A. Terlepas dr pembedahan, status generalis, serum kalsium dan albumin adalah faktor utama prognosis
B. Adanya metastasis tulang belakang membuat prognosis sangat buruk shg tidak perlu adanya pembedahan
C. Dekompresi surgical agresif dan rekontruksi seharusnya dilakukan, sebagaimana harapan hidup pasien ini > 2 thn
D. Dekompresi surgical harus dilakukan dalam menghadapai kerusakan neurologis selama pemberian radioterapi yg memberikan manfaat yg jelas walaupun dgn resiko

A. Terlepas dr pembedahan, status generalis, serum kalsium dan albumin adalah faktor utama prognosis
Metastatic NSCLC presenting with a spinal cord compression carries a relatively poor prognosis with a median survival of 8.8 months. As a result it is important to further stratify patients to determine which ones are best served with surgical decompression/stabilization.
Multivariate analysis of NSCLC patients has demonstrated that performance status, calcium levels, and albumin are the most significant prognosticators for survival. Tomita et al. developed a grading system that looked at tumor histology, state of visceral disease and the presence of other bone metastasis to suggest a strategy for overall management. Depending on the patient’s total tumor load and other prognostic factors an argument can be made for treatment ranging from aggressive surgical resection to palliative care only.
Operating on a patient undergoing concommitant radiation therapy carries a surgical morbidity of 40% and thus should only be considered in rare and unusual circumstances.
Pria 60 thn datang dgn keluhan memburuknya rasa sakit parah di ekstremitas atas kiri yg menyebar dan tak henti-henti, parastesia dan kelemahan tangan. Pemerikasaan menunjukkan kekuatan otot tangan 4/5 termasuk abductor pollicus brevis and all intrinsics, tersebar gangguan sensoris pada sisi ulnar dari lengan bawah, deep tendon reflex normal dan tidak ada bukti mielopati. MRI dari tulang belakang leher menunjukkan perubahan degeneratif ringan sepanjang leher. Apakah pemeriksaan imaging akan sangat membantu untuk mendiagnosis pasien ini?
A. Survey skoliosis
B. X-ray cervical spine fleksi-ekstensi
C. CT dada
D. Bone scan
E. Thermogram
C. CT dada
The correct answer is a chest CT to evaluate for an apical lung mass.
This patient has an exam that potentially localizes to the lower brachial plexus and an apical lung mass must be ruled out. Alternatively, an MRI of the plexus or CT of the chest might be entertained.
Flexion extension views might be contributory in general but will not lead to a diagnosis in this case. Scoliosis survey does not contribute in this case. Bone scan ostensibly could be positive in a patient with an invasive eroding apical lung mass but it also may be negative. A thermogram may be contributory in a complex regional pain syndrome.
Pria 60 thn datang dgn keluhan memburuknya rasa sakit parah di ekstremitas atas kiri yg menyebar dan tak henti-henti, parastesia dan kelemahan tangan selama 3 bln. Pemerikasaan menunjukkan kekuatan otot tangan 4/5 termasuk abductor pollicus brevis and all intrinsics, tersebar gangguan sensoris pada sisi ulnar dari lengan bawah, deep tendon reflex normal dan tidak ada bukti mielopati. MRI dari tulang belakang leher menunjukkan perubahan degeneratif ringan sepanjang leher. Apakah temuan neurologis lain yg dpt membantu mendiagnosis pasien ini?
A. Symmetric Hoffman’s sign
B. Horner’s syndrome
C. Palmomental reflex
D. Tinel’s sign di atas elbow
E. Fasikulasi difus
B. Horner’s syndrome
The correct answer is Horner’s Syndrome suggesting an apical lung or brachial plexus lesion. This patient has signs of multi-root involvement with no significant root compression suggesting a more distal lesion. He also has multiple peripheral nerve involvement (at least ulnar and median) suggesting a more proximal lesion. This potentially localizes the problem to the region of the brachial plexus and more specifically the lower brachial plexus. The finding of a Horner’s Syndrome strongly suggests a structural lesion in this region- most commonly an apical lung lesion. A study of the lung and/or brachial plexus would be indicated.
Palmomental reflex is a cerebral “release sign.”
Symetric hoffman’s may suggest myelopathy but also may be normal.
Tinel’s sign over the elbow suggests an ulnar neuropathy but the pain distribution and involvement of median nerve mediated muscles argues against this diagnosis.
Fasiculations in the involved muscles may support a peripheral neural compression over central but diffuse fasiculations are more suggestive of motor neuron disease.
Seorang pria 60 thn datang dgn rasa sakit yg progresif di sakrum selama 6 bulan. MR menunjukkan lesi 8 cm di sakrum paling sesuai dgn chordoma. Apakah pilihan terapi yg plg tepat dan terbaik pada pasien ini yg dikaitkan dgn hasil jangka panjang terbaik?
A. Dekompresi tumor intralesi untuk meringankan nyeri dan memungkinkan untuk diagnosis jaringan diikuti dgn sinar proton radioterapi
B. Biopsi dgn CTdari lesi untuk mengkonfirmasi diagnosis diikuti en bloc reseksi dari lesi termasuk reseksi dari biopsy tract
C. Biopsi dgn CTdari lesi untuk mengkonfirmasi diagnosis diikuti sinar proton radioterapi
D. Sinar proton radioterapi saja tanpa biopsy untuk menghindari pembenihan tumor di saluran biopsy mengingat hasil MR dari chordoma sangat spesifik
B. Biopsi dgn CTdari lesi untuk mengkonfirmasi diagnosis diikuti en bloc reseksi dari lesi termasuk reseksi dari biopsy tract
All sacral tumors must have proper histological confirmation prior to en bloc resection or radiotherapy. Incisional biopsy or intralesional resection increases the risk of local recurrence of a chordoma. Therefore, transcutaneous CT-guided trocar biopsy is preferred to open biopsy to minimize the risk of contamination of normal tissues by tumor. The biopsy tract should be planned to be included within the subsequent resection margins. En bloc resection of primary spine tumors with disease-free margins is achievable and provides the best long-term survival for patients. Less than en bloc resection is associated with an almost 100% tumor recurrent rate, even after radiotherapy.
62 thn dgn riwayat metastatik kanker sel ginjal datang dengan nyeri punggung yg tak tertahankan dan mielopati ekstremitas bawah stlh jatuh. Apakah manajemen terapi terbaik pasien ini?
A. Kyphoplasty/ vertebroplasty diikuti radioterapi
B. Stereotactic radiosurgery
C. Radioteraapi sinar eksternal konvensional
D. Laminektomi dan reseksi penyakit epidural diikuti radioterapi
E. Vertebrectomy dgn stabilisasi posterior diikuti radioterapi

E. Vertebrectomy dgn stabilisasi posterior diikuti radioterapi
The most appropriate management includes vertebrectomy, posterior pedicle screw instrumentation, and postoperative radiotherapy. Patchell et. al demonstrated in a prospective randomized trial superior results with circumferential surgical decompression followed by radiation over conventional radiotherapy in the management of symptomatic metastatic epidural spinal cord compression (Class 1 evidence). Patients who underwent surgical intervention were not only more likely to ambulate postoperatively, but also more likely to maintain urinary continence and to achieve better pain control.
Stereotactic radiosurgery is not a good option in this case because of the presence of myelopathy and the high degree of epidural compression which would limit adequate dosing to the epidural tumor. The pathologic fracture and kyphosis will not respond to radiation alone. Vertebral augmentation may offer some palliation of the patient’s pain but it would not address the significant epidural compression and myelopathy. Lastly, laminectomy alone has been shown in the literature to offer little benefit compared to conventional radiation alone. It would be inadvisable in this case because of the significant kyphosis and mechanical pain, both of which suggest instability.

Seorang pria berusia 66 thn dgn riwayat ACDF yg dilakukan 3 bln lalu datang dgn riwayat 6 minggu demam, disfagia dan nyeri leher. Pasien ini secara neurologis normal. Hasil MR sesuai dgn osteomielitis vertebral cervical. Apakah pemeriksaan yg plg berguna untuk mendiagnosis sumber infeksi ini?
A. Echocardiogram
B. Bone scan
C. Kultur darah perifer
D. Ditandai dgn scan WBC
E. Esophagoscopy
E. Esophagoscopy
The correct answer is Esophagoscopy.
Esophageal perforation is a rare but recognized complication of ACDF surgery. Its incidence is estimated to be between 0.02 and 1.49% of all procedures. These perforations can occur peri-operatively, immediately following surgery, or in a much longer delayed fashion (including up to 72 months post-operatively in one series). Osteomyelitis is not an uncommon occurrence in the spine, but can occur with esophageal perforation. In addition to bone destruction, perforation also places the patient at severe risk for systemic sepsis and multi-organ dysfunction. In a patient who presents with classic symptoms such as unexplained fever, dysphagia, and neck pain after undergoing previous instrumentation for spinal surgery consider esophageal perforation a possible cause and evaluate the patient with upper gastrointestinal imaging (EGD, barium swallow, etc.)
Peripheral blood cultures can assess whether or not a patient is septic or not, but will not usually yield a source of infection unless the patient has a concomitant permanent line of some kind (permacath, port, PICC line, etc). Bone scans can diagnose osteomyelitis, but cannot identify the source and hence is a redundant study. Echocardiogram can diagnose valvular vegetations suspicious for endocarditis, but this is a less likely source of infection following ACDF surgery. A tagged white blood-cell scan can confirm the MRI findings of osteomyelitis, but may not show the source of infection.
Pria berusia 70 thn dgn fraktur dens tipe II memiliki non-union dari dens meskipun 6 bln dari fiksasi halo. Cervical CT scan terbaru menunjukkan non union dari dens dgn pergeseran posterior 6 mm. X-ray cervical menunjukkan reduksi anatomis dari fraktur tidak mgkn. Tidak ada fraktur terkait lainnya yg teridentifikasi. Dia secara neurologis normal dan dalam kondisi medis yg baik. apakah pilihan terapi yg plg tepat saat ini?
A. Dilanjutkan dgn manajemen halo selama 3 bln tambahan
B. Manajemen dgn cervical collar keras selama 3 bln
C. Menghilangkan fiksasi halo dan observasi
D. Fiksasi screw odontoid anterior
E. Posterior C1-2 instrumented arthrodesis
E. Posterior C1-2 instrumented arthrodesis
The most appropriate management would be to perform posterior C1-2 instrumented arthrodesis. The reported rate of chronic nonunion fractures of the dens after halo fixation in the elderly is around 28%. A posterior C1-2 fixation would provide the best rate of fusion as compared to an anterior odontoid screw fixation in the setting of chronic nonunion fracture of the dens. The reported rate of fusion from a posterior C1-2 arthrodesis is approximately 85%. Contraindications to anterior odontoid screw fixation include: disruption of the transverse ligament, concomitant atlantoaxial joint injuries, fracture line parallel to screw trajectory, cervical kyphosis, barrel chest habitus, obesity that would make the screw trajectory not possible. Anterior screw fixation should not be used in patients with nonunion fractures in which fracture healing and/or fixation will be impaired. Furthermore, the 6 mm of posterior displacement would make the posterior approach superior to an odontoid screw.
Continued halo fixation in an elderly patient especially in the setting of a nonunion is associated with a high morbidity. Observation alone in the setting of a dens fracture would risk neurologic injury in otherwise intact patient. Management in a hard cervical collar is an option in elderly patients who are unable to tolerate surgery but would be inappropriate in a patient in good medical condition.
Seorang pasien terbangun dari costotransversectomy sisi kiri T10 untuk reseksi tumor metastatik ventral dengan komplit paraplegia dan hilangnya rasa sakit dan sensasi suhu. Sensasi terhadap sentuhan ringan di ekstremitas bawah normal. MRI setelah operasi menunjukkan tidak ada kompresi spinal cord atau hematoma. Apakah diagnosis yg plg mgkn?
A. Posterior cord syndrome
B. Anterior cord syndrome
C. Central cord syndrome
D. Brown Sequard syndrome
B. Anterior cord syndrome
The most likely diagnosis is anterior cord syndrome. The sacrifice of the left T10 nerve root likely compromised the artery of Adamkiewicz. This artery supplies the anterior 2/3 of the spinal cord. It commonly arises at T10 on the left but may arise anywhere from T7-L4. It may be seen on the right in 17% of patients. When planning a posterolateral approach for ventral access to the spinal cord, a spinal angiogram may be helpful in identifying the artery of Adamkiewicz to prevent a vascular insult to the cord when sacrificing a nerve root.
Posterior cord syndrome is a rare syndrome in which the patient has preservation of motor function but loss of proprioception and vibratory sense. They manifest a positive Romberg sign on examination.
Central cord syndrome is associated with hyperextension of the cervical spine in a patient with cervical spondylosis. It is marked by a disproportionately greater impairment of motor function in the upper extremities than in the lower extremities. The most pronounced loss of function is seen in the hands. Sensory loss is variable.
Brown-Sequard Syndrome is characterized by features of an ipsilateral motor loss and numbness to touch and vibration with contralateral loss of pain and temperature below the lesion. It results from a hemisection of the spinal cord.
Setelah jatuh ke permukaan tanah, seorang pria 65 thn dgn riwayat ankylosing spondylitis mengeluhkan nyeri punggung tengah yg terus menerus. CT menunjukkan patah tulang melalui seluruh vertebral body T7 dan sebaliknya thoracic spine hyper-kyphotic dan ankylosed padat. Signal STIR MRI menunjukkan edema sumsum tulang belakang di dalam vertebral body T7 dan cedera posterior ligament ruang diskus T6-7 tanpa adanya bukti keterlibatan canal. Apakah manajemen terapi yg plg tepat?
A. Transthoracic T6-7 discectomy dan instrumentasi anterior
B. Cervico-thoracic orthosis
C. Thoraco-lumbo-sacral orthosis
D. Posterior T4-9 instrumented fusion
E. T7 vertebroplasty
D. Posterior T4-9 instrumented fusion
Ankylosing spondylitis is the most common spondyloarthropathy. It is associated with progressive ankylosis and kyphosis, with loss of lumbar lordosis and pronounced thoracic kyphosis. Because of their significant spine stiffness, patients with AS are extremely susceptible to fractures, even with minor trauma. AS patients with back pain after a trauma should be assumed to have a spine fracture until proven otherwise. Moreover, spine fractures must be treated aggressively as these fractured segments often exhibit hypermobility and cause progressive deformity and neurological compromise.
Conservative management of an acute fracture in an AS patient with any type of brace is inappropriate for the above reasons. A single-level anterior procedure carries not only higher peri-operative morbidity but also is biomechanically unsuitable for a severely unstable fracture such as this. Vertebroplasty is generally contraindicated in patients with ankylosing disease because of these higher rates of pseudoarthrosis and instability. In addition, in the setting of ligamentous compromise, vertebroplasty alone is not indicated.
Selama pengangkatan osteofit lateral pada discectomy dekompresi cervical anterior, anda mengalami perdarahan cepat di daerah nerve root. Apakah tindakan anda selanjutnya?
A. Memberikan gelfoam dan tekanan
B. meminta darah untuk transfusi
C. meminta radiologi intervensi
D. Hentikan prosedur
E. Periksa arteri vertebral
A. Memberikan gelfoam dan tekanan
The correct answer it to apply gelfoam (thrombin soaked preferably) and pressure. Often brisk venous epidural bleeding is encountered in this region and it should not be greeted with panic or rash actions. Usually it will respond to gelfoam compression and the procedure can be continued unimpeded.
Vertebral artery injury is rare and is signified by explosive arterial bleeding that is very difficult to cease with gelfoam compression. With aggressive packing, the bleed can eventually be controlled and endovascular specialists should be consulted. The primary procedure usually would be aborted. Vertebral artery exploration can be indicated in select cases to achieve hemostasis when vertebral artery injury is suspected.
Pada posisi interbody spacer melalui approach TLIF kanan di L3-4, apakah nerve root yg segera muncul di bag superior dengan manipulasimu?
A. L3 kanan
B. L2 kanan
C. L4 kanan
D. L5 kanan
A. L3 kanan
The correct answer is the right L3 nerve root. The right L3 is immediately superior to the surgical manipulations. A TLIF approach involves entering the disc space from the foraminal region of the targeted interspace. Access is often provided by taking down the pars interarticularis and portions of the facet complex. By taking a more lateral approach to the disc space, less retraction needs to be put on the thecal sac to place relatively large interbody spacers. The exiting nerve root is vulnerable however to manipulation and sits immediately superior to the disc space.
Foraminotomy dan discectomy cervical posterior adalah efektif terapi untuk akut kompresi nerve root karena herniasi diskus. Apakah yg akan menghalangi posterior approach radikulopati cervical akibat herniasi diskus?
A. Perubahan degeneratif di tingkat lainnya
B. Herniasi diskus lateral
C. Herniasi diskus paracentral
D. Pekerjaan yg tidak memerlukan fusi
E. Penyakit di level yg berdekatan
C. Herniasi diskus paracentral
The correct answer is a paracentral disc herniation. This is a contraindication to posterior foraminotomy and discectomy for disc herniation related radiculopathy. There is too much risk of cord injury due to retraction and the disc should be approached anteriorly.
A lateral herniated disc associated with osteophyte formation is not a problem and is addressed nicely by the procedure.Degenerative changes at multiple levels are not atypical and a posterior foraminotomy should not affect their role in this patient’s neck function.Posterior foramintomy requires no fusion and thus is ideal for occupations that require no cervical fusions.Adjacent level disease can easily be addressed via a posterior foraminotomy approach without the need for multiple levels of fusion and internal fixation.
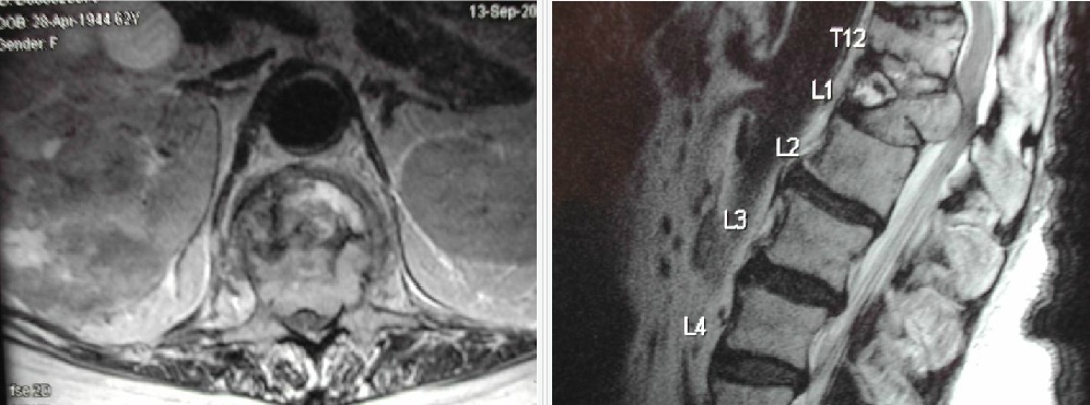
MRI lumbosacral spine dari 23 thn perempuan dengan LBP parah menjalar ke kaki kanannya. Gambar kiri adalah T2 sagital dan gambar kanan adalah axial T2. Nerve root manakah kemungkinan terbesar yg terkompres oleh diskus herniasi?
A. Melintasi L5 nerve roots
B. Keluar dari L5 nerve roots
C. Melintasi L4 nerve roots
D. Keluar dari S1 nerve roots
E. Melintasi S1 nerve roots

E. Melintasi S1 nerve roots
The correct answer is the traversing S1 nerve roots.
The MRI shows a focal right paracentral posterior herniation of the L5-S1 intervertebral disc. The herniated disc material causes mild narrowing of the spinal canal and severe narrowing of the lateral recess at L5-S1. The S1 nerve roots traverses at the L5-S1 level, and is therefore the most likely to be compressed by this disc herniation. The traversing L4 nerve root and L5 nerve root have are found at levels above this lesion. The exiting nerve roots at the L5-S1 level (the L5 nerve roots) will already be lateral to the disc herniation and will not be compressed.

Apakah diagnosis yg plg mgkn terlihat pada MRI?
A. Invaginasi basilar
B. Chiari 1 malformasi
C. Pilocytic astrocytoma
D. Multiple sclerosis
E. Chordoma

B. Chiari 1 malformasi
The correct answer is Chiari 1 malformation.
There is cerebellar tonsillar ectopia (approximately 1 cm below the foramen magnum) with an associated cervical syrinx, findings consistent with Chiari 1 malformation. The contents of the syrinx correspond to CSF (i.e. T1 hypointense and T2 hyperintense). The lesion has distinct margins and displaces rather than infilatrates adjacent spinal cord.
Astrocytomas are infiltrating tumors. Basilar invagination refers to narrowing of the foramen magnum due to upward migration of the top of the C2 vertebrae. Multiple sclerosis causes demyelinating lesions of the brain and spinal cord and is not associated with tonsillar ectopia. Chordomas are primary bone tumors of notochord remnants that are extradural in location.

Apakah tingkat kontrol tumor radiografi untuk karsinoma sel renal oligometastasis ke tulang belakang yg diobati dgn radiosurgery ?
A. 40-60 %
B. 20-40 %
C. < 20 %
D. 60-80 %
E. > 80 %
E. > 80 %
Gerszten et al. showed long-term radiographic control for spinal metastases at 88% with median follow up of 37 months. In particular radiographic control for renal cell carcinoma was 87% in this series. Conversely, Maranzo et al.demonstrated high failure rates at 1 to 3 months for unfavorable histologies treated with conventional radiotherapy.
Apakah temuan radiologi yg menjadi kontraindikasi untuk cervical laminoplasty?
A. Perubahan signal spinal cord
B. Ossified posterior longitudinal ligament
C. Multilevel cervical spondylosis
D. Cervical kyphosis
E. Congenital cervical stenosis
D. Cervical kyphosis
A contraindication to performing a cervical laminoplasty is a patient with cervical kyphosis. The concern for kyphotic patients after laminoplasty is worsening of the kyphosis. Moreover, in kyphosis, a laminoplasty will not allow the cord to migrate posteriorly due to the bow-stringing effect of the kyphotic deformity.
Cervical laminoplasty is appropriate for patients with multilevel cervical spondylosis and can be used in patients with spinal cord signal change. The procedure is indicated as a possible treatment option for patients with OPLL and congenital cervical stenosis. The ideal candidate will have good cervical lordosis and be free of axial neck pain. Patients with straightening of the cervical spine may also be candidates for laminoplasty.
The revision rates after cervical laminoplasty are about 9 % as reported in the literature. Complications include C5 motor paresis, intractable neck pain, re-stenosis at the laminoplasty site, and post-laminoplasty kyphosis.