According to which principles orthopaedic management should be started with?
ATLS = ABCDE
Orthopaedic injuries management should not come before the management of life-threatening injuries
Types of fractures that can be considered as ‘open fractures’ (2)
Which bone (1) a compartment syndrome most commonly occur at?
Tibial bone
What to assess during the assessment of an injured limb? (3)
Initial management of a fracture/injury (5)
Principle of fracture management
Ask yourself: Is the position of the fracture ok?
What’s an open reduction technique?
Open reduction
Involves a formal surgical exposure →the fracture is reduced under direct vision
What’s a closed reduction technique in the management of the fracture?
Closed reduction
What does intermediate technique involve?
Intermediate techniques
Fracture fragments are reduced indirectly through very small incisions (e.g. MIPO techniques - ‘Minimally invasive percutaneous osteosynthesis’).
(3) possible techniques of reduction in fracture management
How to ‘hold’ the fracture? (stabilise)
What’s that technique?

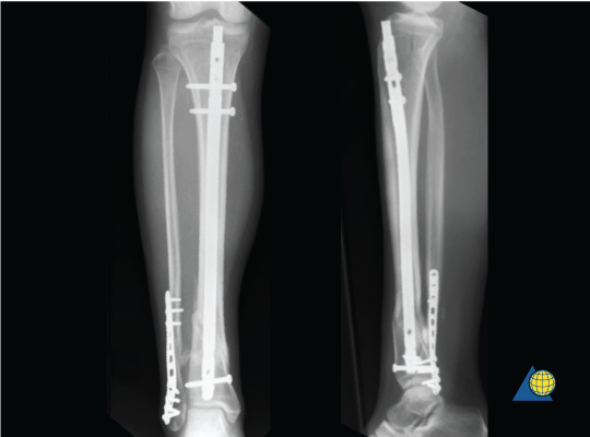
Plate and screws
What’s the name of this technique?

Fine wire circular fixator
Name the technique of fixation

Monolateral external fixator
Name that technique

Plaster of Paris cast
Name this fixation technique

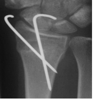
K-wire fixation
Name this fixation technique

Intramedullary nail
Is there only one single appropriate method to treat the fracture?
Pros and cons of different methods of fracture stabilisation
- back-slab
- POP cast
Pros and cons of different methods of fracture stabilisation
- splint
- traction
Name that method of fracture stabilisation

POP cast
(Plaster of Paris)
What’s the difference between slab and cast?
Name that method of fracture stabilisation

Back slab
Name that method of fracture stabilisation

Splint