Test 1: lecture 9 mitral valve Flashcards

(32 cards)

1
Q

cavilers have what heart issue

A

mitral valve disease

How well did you know this?
1
Not at all
2
3
4
5
Perfectly
2
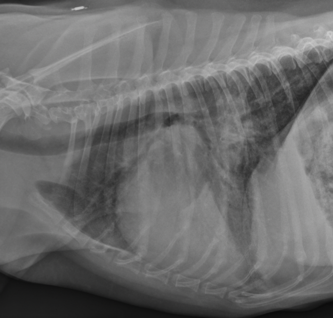
Q

mitral valve disease makes up —% of canine cardiac disease

A

75-80%

more common in small dogs

Cavalier King Charles Spaniel

no sex predilection

How well did you know this?
1
Not at all
2
3
4
5
Perfectly
3
Q

the chordea tendinea are made of

A

fibrosa layer of mitral valve

dense collagen fibers

How well did you know this?
1
Not at all
2
3
4
5
Perfectly
4
Q

layers of the mitral valve

A
How well did you know this?
1
Not at all
2
3
4
5
Perfectly
5
Q

what happens to valve with myxomatous mitral valve

A

fibrosa layer becomes smaller/degrades

spongiosa layer thickens

endothelial layer forms nodules

How well did you know this?
1
Not at all
2
3
4
5
Perfectly
6
Q

most dogs with mild MVD will —

A

never have clinical signs

not have CHF (they will be fine)

How well did you know this?
1
Not at all
2
3
4
5
Perfectly
7
Q
A

mitral valve disease

nodular valve
jet lesion in atria
ruptured chordea tendinea

How well did you know this?
1
Not at all
2
3
4
5
Perfectly
8
Q

what cell causes damage to mitral valve

A

valvular interstitial cell

will get turned on and degrade fibrosa layer and cause nodules in endothelial layer

activated by stress, age and injury

convert to myofibroblast phenotype (remodel ECM to MVD)

How well did you know this?
1
Not at all
2
3
4
5
Perfectly
9
Q

how does MVD effect kidney

A

lower stroke volume= lower renal perfusion

kidney will increase RAAS and cause increased LV volume

this leads to LV eccentric hypertrophy (thin walls big volume)

which leads to increased pulmonary venous pressure and CHF

How well did you know this?
1
Not at all
2
3
4
5
Perfectly
10
Q

what causes MVD

A

we dont really know

BUT NOT INFECTIOUS

How well did you know this?
1
Not at all
2
3
4
5
Perfectly
11
Q

what kind of murmur will MVD cause

A

left sided systolic apical

can be soft- thrilling

How well did you know this?
1
Not at all
2
3
4
5
Perfectly
12
Q

false positive murmur

A

loud murmur but mild disease

How well did you know this?
1
Not at all
2
3
4
5
Perfectly
13
Q

false negative murmur

A

soft murmur with severe disease

How well did you know this?
1
Not at all
2
3
4
5
Perfectly
14
Q

how to predict how bad MVD is

A

clinical signs: exercise intolerance, fainting, dyspnea

EKG: errhythmias

XRays- large heart= bad, CHF or pulomonary venous distension

Echo: volume overload, thickened and prolapse valve

How well did you know this?
1
Not at all
2
3
4
5
Perfectly
15
Q

EKG changed for mitral valve disease

A

wide P wave: Left atrial enlargment
Tall R waves: LV enlargment
wide QRS: LV enlargment

APC or VPCs can occur
Afib can happen with severe atrial enlargement

How well did you know this?
1
Not at all
2
3
4
5
Perfectly
16
Q

xray of dogs with MVD will show

A

big heart

LA,LV enlargement
pulmonary venous distension
perihilar interstital/alveolar (CHF/edema)

17
Q

echo of MVD will show

A

thickened valve leaflets
prolapse
ruptured chordae tenineae

regurg into the left atrium (jet lesion)

18
Q

4 stages of MVD

A

A: no disease, but at risk
B: MVD but no clinical signs
B1: no heart enlargement
B2: heart enlargement
C: MVD, CHF and on meds
D: MVD advanced disease, refractory clinical signs

19
Q

Stage A MVD

A

no disease but at risk based on breed

20
Q

Stage B MVD

A

MVD present, but no clinical signs

21
Q

Stage B1 MVD

A

MVD with no clinical signs and no cardiac enlargement

22
Q

Stage B2 MVD

A

MVD with no clinical signs but + cardiac enlargement

23
Q

Stage C MVD

A

MVD present, CHF, on meds

24
Q

Stage D MVD

A

MVD present, advanced disease, refractory clinical signs

25
how to treat stage B2 MVD
pimobendan (ACEI) can slow down disease, keeps them asymptomatic longer
26
differential for MVD: cough and murmur
primary respiratory disease: COPD, Asthma, allergic bronchitis, collapsing trachea Xray will have NO heart enlargment
27
how to treat acute CHF therapy for MVD
FOND furosemide (preload) oxygen nitro (pre/afterload) dobutamine (inotropy)
28
how to treat chronic CHF therapy for MVD
FASP furosemide (preload) ACT inhibitor (decreases RAAS) pimobendan spironolactone
29
enalapril will do --- with MVD
will not delay onset of heart failure in stage B MVD
30
primobendan given to stage B2 MVD will do
give 15 extra months with no CHF symptoms
31
MVD complications
left atrial tear from jet lesion (leads to pericardial effusion) ruptured chordae tendinae arrhythmias (Afib, APC, VPC)
32