Asma Flashcards

(150 cards)

1
Q

¿Qué caracteriza al asma como enfermedad inflamatoria?

A

Aumento de la reactividad de las vías respiratorias y obstrucción del flujo aéreo parcialmente reversible.

How well did you know this?
1
Not at all
2
3
4
5
Perfectly
2
Q

¿Qué síntomas produce el asma de forma recurrente?

A

Sibilancias, disnea y tos.

How well did you know this?
1
Not at all
2
3
4
5
Perfectly
3
Q

¿Cuáles son las dos categorías principales del asma según su etiología?

A

Asma extrínseca e intrínseca.

How well did you know this?
1
Not at all
2
3
4
5
Perfectly
4
Q

¿Qué significa el término “atopia”?

A

Predisposición genética a producir IgE en exceso ante estímulos antigénicos.

How well did you know this?
1
Not at all
2
3
4
5
Perfectly
5
Q

¿Qué tipo de asma presentan los pacientes atópicos?

A

Asma extrínseca.

How well did you know this?
1
Not at all
2
3
4
5
Perfectly
6
Q

¿La atopía es sinónimo de asma?

A

No, la atopía es más frecuente (≈30%) que el asma (<10%).

How well did you know this?
1
Not at all
2
3
4
5
Perfectly
7
Q

¿Cuáles son las características clínicas del asma extrínseca?

A

Elevación de IgE, presencia de eczema y rinitis, inicio antes de los 30 años, síntomas estacionales y posible remisión.

How well did you know this?
1
Not at all
2
3
4
5
Perfectly
8
Q

¿Qué caracteriza al asma intrínseca?

A

Ausencia de atopia o desencadenantes externos identificables.

How well did you know this?
1
Not at all
2
3
4
5
Perfectly
9
Q

¿En qué grupo etario es más frecuente el asma intrínseca?

A

En adultos mayores que los pacientes con asma extrínseca.

How well did you know this?
1
Not at all
2
3
4
5
Perfectly
10
Q

¿Qué hallazgos de laboratorio se asocian al asma intrínseca?

A

Eosinofilia en sangre y esputo, niveles normales de IgE y pruebas cutáneas negativas.

How well did you know this?
1
Not at all
2
3
4
5
Perfectly
11
Q

¿Cómo es la respuesta terapéutica del asma intrínseca comparada con la extrínseca?

A

Menor respuesta al tratamiento.

How well did you know this?
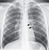
1
Not at all
2
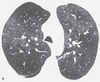
3
4
5
Perfectly
12
Q

¿Qué evolución clínica presenta el asma intrínseca?

A

Curso persistente y progresivo con obstrucción fija del flujo aéreo.

How well did you know this?
1
Not at all
2
3
4
5
Perfectly
13
Q

¿Cuál es la prevalencia general del asma en niños y adultos?

A

5–25% en niños y 2–12% en adultos.

How well did you know this?
1
Not at all
2
3
4
5
Perfectly
14
Q

¿Qué países presentan las mayores prevalencias de asma (~12%)?

A

Reino Unido, Australia y Nueva Zelanda.

How well did you know this?
1
Not at all
2
3
4
5
Perfectly
15
Q

¿Dónde se registra la mayor prevalencia mundial de asma (56%)?

A

En Tristan da Cunha.

How well did you know this?
1
Not at all
2
3
4
5
Perfectly
16
Q

¿Qué porcentaje de casos de asma se asocian a sinusitis concomitante?

A

Entre 47% y 76%.

How well did you know this?
1
Not at all
2
3
4
5
Perfectly
17
Q

¿Cómo varía la prevalencia del asma según edad y sexo?

A

Mayor en niños varones antes de los 10 años y en mujeres después.

How well did you know this?
1
Not at all
2
3
4
5
Perfectly
18
Q

¿Qué grupo tiene más visitas a urgencias y hospitalizaciones por asma grave?

A

Las mujeres.

How well did you know this?
1
Not at all
2
3
4
5
Perfectly
19
Q

¿Cuál es la enfermedad pulmonar crónica más común a nivel mundial?

A

El asma.

How well did you know this?
1
Not at all
2
3
4
5
Perfectly
20
Q

¿Cuántas visitas a urgencias, hospitalizaciones y muertes anuales causa el asma en EE. UU.?

A

2 millones de urgencias, 500 000 hospitalizaciones y 5000 muertes.

How well did you know this?
1
Not at all
2
3
4
5
Perfectly
21
Q

¿Qué porcentaje de consultas de urgencias adultas representan los casos de asma aguda en Australia, Canadá y España?

A

Entre 1% y 12%.

How well did you know this?
1
Not at all
2
3
4
5
Perfectly
22
Q

¿Qué porcentaje de adultos con asma aguda en Francia requieren traslado a UCI?

A

7%.

How well did you know this?
1
Not at all
2
3
4
5
Perfectly
23
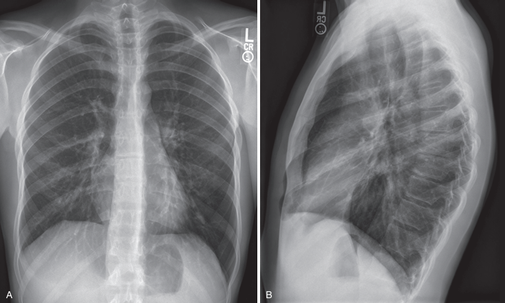
Q
A

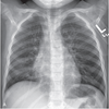
Fig. 58.3 Manifestaciones radiográficas del asma aguda.
(A) Radiografía posteroanterior de tórax que muestra incremento de los volúmenes pulmonares y reducción de las marcas vasculares periféricas.
(B) En la proyección lateral se observa aumento del espacio aéreo retroesternal.

How well did you know this?
1
Not at all
2
3
4
5
Perfectly
24
Q
A
How well did you know this?
1
Not at all
2
3
4
5
Perfectly
25
¿En qué se basa principalmente el diagnóstico de asma?
En la historia de episodios periódicos de disnea con remisiones completas o casi completas.
26
¿Qué síntoma puede ser el único en algunos pacientes con asma?
La tos.
27
¿Cómo se caracteriza el inicio de una crisis asmática aguda?
Por aumento progresivo de disnea, tos, sibilancias y disminución del flujo espiratorio.
28
¿Cuánto puede durar una exacerbación asmática?
Horas, días o semanas.
29
¿Cuáles son los hallazgos físicos comunes en el asma?
Hiperventilación, roncus y sibilancias inspiratorias y espiratorias, sonidos respiratorios disminuidos y espiración prolongada.
30
¿A qué se deben la tos y las sibilancias en el asma?
A inflamación y broncoconstricción bronquial.
31
¿Qué mecanismos contribuyen al cierre de vías respiratorias pequeñas en el asma?
Contracción del músculo liso, edema y hipersecreción mucosa.
32
¿Por qué el paciente asmático respira con mayor volumen pulmonar?
Para mantener abiertas las vías respiratorias por retracción elástica.
33
¿Qué efecto fisiológico produce la combinación de hiperinsuflación y limitación del flujo aéreo?
Aumento del trabajo respiratorio.
34
¿Qué gravedad pueden alcanzar las crisis asmáticas?
Desde leves hasta potencialmente mortales.
35
¿Qué porcentaje de crisis asmáticas fueron potencialmente mortales en el estudio francés citado?
26%.
36
¿Qué porcentaje presentó exacerbaciones graves sin riesgo vital?
49%.
37
¿Qué porcentaje tuvo exacerbaciones leves o moderadas?
26%.
38
¿Cuál fue la tasa de hospitalización y la estancia media?
54% hospitalizados, con estancia promedio de 6 días.
39
¿Cuál es la anormalidad fisiopatológica básica en el asma?
El estrechamiento de las vías respiratorias.
40
¿Cuáles son los cuatro mecanismos de estrechamiento bronquial en el asma?
* Contracción del músculo liso * Edema/congestión de la pared * Tapones de moco y exudado inflamatorio * Remodelado de la pared
41
¿Qué es el remodelado de las vías respiratorias?
Proceso heterogéneo con cambios en el tejido conectivo y estructura de la vía aérea.
42
¿Qué sugiere una obstrucción reversible tras broncodilatador?
Contracción del músculo liso como mecanismo principal.
43
¿Qué sugiere una obstrucción que mejora tras días de tratamiento con esteroides?
Edema y tapones mucosos como causas predominantes.
44
¿Cómo se define el asma desde el punto de vista fisiopatológico?
Trastorno inflamatorio crónico con hiperreactividad bronquial y broncoconstricción exagerada ante estímulos.
45
¿Qué estímulos pueden provocar episodios asmáticos?
* Alérgenos ambientales * Infecciones virales * Ejercicio * Analgésicos * Contaminación * Cambios climáticos * Humo de cigarro * Aerosoles domésticos
46
¿Qué manifestaciones alérgicas suelen acompañar al asma alérgica?
* Rinitis alérgica (fiebre del heno) * Eccema
47
¿Qué porcentaje de asmáticos presenta broncoconstricción inducida por ejercicio?
70% a 80%.
48
¿A qué intensidad y duración de ejercicio aparece el asma inducida por ejercicio?
Al 80–90% de la carga máxima durante 6–8 minutos.
49
¿Qué relación existe entre asma y reflujo gastroesofágico?
Concordancia entre 30% y más del 80%.
50
¿Cómo puede el reflujo gastroesofágico inducir asma?
Por broncoconstricción refleja o por microaspiración de contenido esofágico.
51
¿Cómo puede el asma agravar el reflujo gastroesofágico?
Por aumento de la presión intratorácica durante la respiración forzada.
52
Fig. 58.4 Manifestaciones radiográficas del asma. Vista detallada del pulmón derecho en una radiografía frontal que muestra engrosamiento de la pared bronquial (punta de flecha), hallazgo inespecífico que puede observarse en casos de asma.
53
54
¿Qué característica histológica define al asma?
Inflamación crónica de las vías respiratorias, principalmente en bronquios medianos y pequeños. ## Footnote La inflamación crónica es un componente clave en la patología del asma.
55
¿Por qué se engrosan los bronquios en el asma?
Por edema, aumento del músculo liso y agrandamiento de las glándulas mucosas. ## Footnote Estos cambios contribuyen a la obstrucción del flujo aéreo.
56
¿Qué anormalidades bronquiolares se observan en el asma?
Engrosamiento de la pared, mucostasis y bronquiolitis constrictiva. ## Footnote Estas alteraciones afectan la función respiratoria.
57
¿Cómo pueden verse los bronquiolos entre episodios clínicos de asma?
Casi normales. ## Footnote Esto sugiere que las alteraciones son reversibles entre crisis.
58
¿Qué estructuras se afectan en las paredes bronquiales y bronquiolares?
Epitelio, lámina propia, muscularis mucosae y submucosa. ## Footnote Estas estructuras son cruciales para la función respiratoria y su integridad.
59
¿Cómo se denomina al conjunto de alteraciones estructurales en el asma crónica?
Remodelado de la pared de la vía aérea. ## Footnote Este remodelado puede llevar a cambios permanentes en la función pulmonar.
60
¿Qué implica el remodelado de la vía aérea?
Cambios en la composición, cantidad y organización celular y molecular por lesión y reparación crónica. ## Footnote Este proceso es un factor determinante en la progresión del asma.
61
¿Qué depósito de colágeno se observa en el asma y qué causa?
Depósito subepitelial y en la adventicia; produce disminución de la distensibilidad bronquial. ## Footnote Esto contribuye a la rigidez de las vías respiratorias.
62
¿Qué ocurre con el músculo liso bronquial en el asma?
Aumenta por hiperplasia e hipertrofia. ## Footnote El aumento del músculo liso es un factor clave en la obstrucción de las vías aéreas.
63
¿En qué pacientes es más evidente el aumento de músculo liso?
En quienes mueren a causa del asma. ## Footnote Este hallazgo sugiere una relación entre la severidad del asma y la remodelación del músculo liso.
64
¿Qué células inflamatorias predominan en la pared de la vía aérea asmática?
Eosinófilos. ## Footnote Los eosinófilos son indicativos de inflamación alérgica y juegan un papel importante en la patología del asma.
65
¿Qué otras células inflamatorias pueden aumentar además de los eosinófilos?
Linfocitos, macrófagos, neutrófilos y mastocitos. ## Footnote La presencia de estas células puede variar según la severidad y el tipo de asma.
66
¿Qué mediciones son importantes para el diagnóstico y control del asma?
La limitación del flujo aéreo, su reversibilidad y su variabilidad. ## Footnote Estas mediciones son cruciales para evaluar la efectividad del tratamiento.
67
¿Cuáles son las principales mediciones funcionales utilizadas en el asma?
FEV1, capacidad vital forzada (FVC), relación FEV1/FVC y flujo espiratorio máximo.
68
¿Qué grado de mejoría en FEV1 sugiere diagnóstico de asma?
Mejora ≥12% espontáneamente, tras broncodilatador o con glucocorticoides.
69
¿Qué grado de mejoría en el flujo espiratorio máximo favorece diagnóstico de asma?
Mejora ≥15%.
70
¿Cuál es la anormalidad funcional básica del asma sintomático?
Estrechamiento difuso de las vías respiratorias.
71
¿Qué consecuencias produce el estrechamiento difuso de las vías respiratorias?
Aumento de la resistencia, menor flujo, hiperinsuflación, atrapamiento aéreo y mayor trabajo respiratorio.
72
¿Qué medición cuantifica mejor el aumento de resistencia de la vía aérea?
El flujo espiratorio máximo.
73
¿Qué indica la hiperinsuflación en el asma?
Aumento de la capacidad residual funcional y, en menor grado, de la capacidad pulmonar total.
74
¿Qué ocurre con las mediciones al resolverse un episodio asmático?
Aumentan el flujo espiratorio (FEV1 y flujo pico) y la capacidad vital; disminuye la capacidad residual funcional.
75
¿Qué sucede con la capacidad de difusión del monóxido de carbono en el asma?
Está elevada en asma estable y en ataques agudos.
76
¿A qué se atribuye la capacidad de difusión elevada en el asma?
Al aumento transitorio del volumen sanguíneo capilar pulmonar por presión intratorácica negativa.
77
¿Cuál es la causa principal de la hipoxemia durante una crisis asmática?
Desajuste ventilación-perfusión.
78
¿Existe una correlación estrecha entre la obstrucción de la vía aérea y el intercambio gaseoso en el asma?
No, la relación es débil.
79
¿Qué valores se observan en ataques asmáticos graves?
PaO₂ < 60 mmHg, FEV1 < 1 L y flujo pico < 60 L/min.
80
¿Qué ocurre con el CO₂ arterial en casos prolongados o graves?
Se eleva hasta el rango de hipercapnia por fatiga muscular respiratoria.
81
Fig. 58.5 Oligemia periférica en el asma aguda. (A) Vista detallada del pulmón izquierdo en una radiografía posteroanterior de tórax de un paciente joven durante un episodio de broncoespasmo agudo, donde se observa hiperinsuflación moderada. La vasculatura en los 2–3 cm más externos del pulmón es poco visible, creando una banda subpleural de pulmón oligémico. (B) En un estudio de control realizado un año después, durante la remisión, se aprecia menor hiperinsuflación; los vasos pulmonares presentan un afilamiento normal y son visibles hasta la periferia pulmonar.
82
83
¿Cuáles son las anormalidades radiográficas más comunes en el asma?
Hiperinsuflación pulmonar y engrosamiento de las paredes bronquiales.
84
¿Qué hallazgos radiográficos son menos frecuentes en el asma?
Prominencia hiliar, aumento de las marcas pulmonares centrales y oligemia periférica.
85
¿De qué factores depende la prevalencia de las alteraciones radiográficas en el asma?
Edad de inicio, gravedad del asma y presencia de otras enfermedades o complicaciones.
86
¿Cómo se manifiesta radiográficamente la hiperinsuflación pulmonar?
Aumento del espacio retroesternal, mayor altura pulmonar y aplanamiento del diafragma.
87
¿En qué bronquios se observa el engrosamiento de las vías aéreas?
En bronquios segmentarios y subsegmentarios.
88
¿Cómo puede visualizarse el engrosamiento bronquial en la radiografía?
Como sombras en anillo (end-on) o líneas paralelas tipo “raíl” (en face).
89
¿Qué indica la prominencia de la arteria pulmonar principal y sus ramas hiliares con afilamiento rápido?
Hipertensión arterial pulmonar precapilar transitoria secundaria a hipoxia.
90
¿Qué otros hallazgos vasculares pueden observarse en el asma?
Estrechamiento difuso y redistribución del flujo sanguíneo hacia lóbulos superiores.
91
¿Qué representa la escasez de vasos en los 2 a 4 cm externos del pulmón?
Oligemia periférica.
92
¿Qué limitación tiene la radiografía de tórax en el diagnóstico de asma?
Frecuentemente es normal o muestra hallazgos inespecíficos.
93
¿Cuáles son las principales indicaciones para realizar radiografía de tórax en el asma?
Excluir otras causas de sibilancias e identificar complicaciones.
94
¿Qué patologías deben descartarse mediante radiografía en un paciente con sibilancias?
Enfisema, insuficiencia cardiaca izquierda y obstrucción traqueal o bronquial por tumor o cuerpo extraño.
95
¿Qué complicaciones del asma pueden observarse en radiografía o tomografía?
Neumonía, atelectasia, neumomediastino, neumotórax y neumorraquis (aire en canal espinal).
96
¿Cuáles son los hallazgos típicos en tomografía de alta resolución (TACAR) en pacientes con asma?
Engrosamiento y estrechamiento bronquial, tapones mucosos endobronquiales, bronquiectasias, áreas parcheadas de baja atenuación y atrapamiento aéreo.
97
¿A qué corresponden el engrosamiento y estrechamiento de la pared bronquial en la TAC?
A edema de la pared bronquial, aumento del músculo liso y agrandamiento de glándulas mucosas.
98
¿Qué relación existe entre los hallazgos bronquiales en TAC y la gravedad del asma?
A mayor severidad de la enfermedad, mayor engrosamiento y alteraciones bronquiales.
99
¿Qué rango de prevalencia de engrosamiento bronquial en TAC se ha reportado en asmáticos?
De 16% a 96%.
100
¿Puede observarse engrosamiento bronquial en individuos sanos?
Sí, hasta en un 19% de los controles normales.
101
¿Qué proporción de pacientes asmáticos mostró engrosamiento bronquial en el estudio de Park y col.?
44% de los asmáticos frente a 4% de los controles normales.
102
¿En qué pacientes fue más frecuente el engrosamiento bronquial según el FEV1?
En 83% de los pacientes con FEV1 < 60% vs 35% con FEV1 > 60%.
103
¿Qué proporción de pacientes asmáticos adultos presenta bronquiectasias sin complicaciones?
Entre 31% y 77%.
104
¿Qué tipo de bronquiectasias predominan en el asma?
Cilíndricas, con relación bronquio-arterial menor de 1.5.
105
¿La dilatación bronquial observada en asmáticos es reversible?
No, generalmente es irreversible.
106
¿Cuándo aumenta el atrapamiento aéreo en el asma?
Durante una crisis aguda, aunque también puede observarse en fases estables.
107
¿Qué refleja el atrapamiento aéreo persistente en pacientes estables?
Inflamación crónica y/o hipertrofia del músculo de vías pequeñas o bronquiolitis constrictiva.
108
¿Cuáles son las manifestaciones bronquiolares en TACAR en el asma?
Áreas de baja atenuación y vascularidad, atrapamiento aéreo y opacidades centrilobulillares pequeñas.
109
¿Con qué frecuencia se observan áreas de baja atenuación y vascularidad en TACAR inspiratoria?
En alrededor del 20% de los pacientes asmáticos.
110
¿Cuál es el hallazgo más común en TACAR espiratoria?
Atrapamiento aéreo visible tras espiración máxima.
111
¿Qué porcentaje de pacientes asmáticos mostró atrapamiento aéreo significativo en el estudio de Park y col.?
50% frente a 14% de los controles sanos.
112
¿Qué representan las estructuras o pequeñas opacidades centrilobulillares observadas en 10–20% de los asmáticos?
Mucostasis bronquiolar o inflamación peribronquiolar.
113
¿Qué anormalidades parenquimatosas pueden verse en el asma?
Hiperinsuflación, enfisema y ocasionalmente espacios quísticos.
114
¿Es común el enfisema en asmáticos no fumadores?
No, es raro y generalmente leve, secundario a fibrosis peribronquiolar cicatricial.
115
¿A qué se deben los cambios quísticos ocasionales en el asma?
A sobreinflación distal por bronquiolitis inflamatoria crónica.
116
Fig. 58.6 Colapso del lóbulo medio derecho en asma aguda en un paciente pediátrico. Las radiografías de tórax en proyección frontal (A) y lateral (B) muestran atelectasia del lóbulo medio derecho.
117
118
¿Cuál es una complicación relativamente común del asma observada en TACAR?
Impactación mucosa.
119
¿Qué debe sospecharse si la impactación mucosa se asocia con bronquiectasias centrales?
Aspergilosis broncopulmonar alérgica (ABPA).
120
¿Qué causa la aspergilosis broncopulmonar alérgica?
Reacción de hipersensibilidad al crecimiento endobronquial de *Aspergillus fumigatus*.
121
¿Cuáles son las manifestaciones típicas de ABPA en TAC?
Opacidades endobronquiales homogéneas en forma tubular, digitiforme o ramificada, y bronquiectasias segmentarias o subsegmentarias predominantes en lóbulos superiores.
122
¿Qué porcentaje de casos de ABPA presenta moco con alta atenuación en TAC?
Aproximadamente 30%.
123
¿A qué se debe la alta atenuación del moco en ABPA?
A la deposición de sales de calcio.
124
¿Qué hallazgos adicionales puede producir la impactación mucosa en ABPA?
Extensión a bronquiolos con nódulos centrilobulillares y patrón 'tree-in-bud'.
125
¿Qué otra complicación puede verse en ABPA aunque es infrecuente?
Atelectasia obstructiva.
126
¿Qué hallazgos diferencian ABPA de asma simple?
Presencia de bronquiectasias, nódulos centrilobulillares e impactación mucosa.
127
¿Qué tipo de bronquiectasias predominan en ABPA comparadas con las del asma simple?
Centrales y varicoides (en ABPA) versus cilíndricas (en asma simple).
128
¿Qué otras enfermedades eosinofílicas se asocian con el asma?
Neumonía eosinofílica crónica y granulomatosis eosinofílica con poliangitis (antes síndrome de Churg-Strauss).
129
¿Cuál es el papel principal de la TAC en el asma?
Evaluar anormalidades traqueales y bronquiales que imitan asma y detectar complicaciones como ABPA.
130
¿Qué otras patologías puede detectar la TAC que simulan clínicamente al asma?
Tumores endotraqueales o endobronquiales.
131
¿Qué utilidad adicional tiene la TAC respecto a la radiografía en estos casos?
Permite visualizar lesiones endobronquiales o endotraqueales que pueden pasar desapercibidas en la radiografía.
132
¿Qué condición puede diferenciar la TAC del asma y es cada vez más reconocida como imitadora?
Traqueobroncomalacia.
133
¿Qué otras modalidades de imagen se investigan en asma?
Herramientas para evaluar ventilación y perfusión pulmonar.
134
¿Qué limitaciones impiden el uso clínico rutinario de estas nuevas técnicas de imagen?
Dificultades técnicas, alto costo y beneficios clínicos aún inciertos.
135
¿Cuál es el diagnóstico diferencial principal del asma en pacientes con sibilancias y disnea?
Obstrucción de la vía aérea por tumor, cuerpo extraño inhalado o traqueobroncomalacia. ## Footnote Estos factores deben ser considerados para descartar otras condiciones que imitan el asma.
136
¿Qué diagnósticos diferenciales se deben considerar ante engrosamiento de la pared bronquial?
Bronquitis aguda o crónica, bronquiolitis constrictiva, sarcoidosis, enfermedad inflamatoria intestinal y edema pulmonar intersticial. ## Footnote Cada uno de estos diagnósticos puede presentar síntomas similares y requiere evaluación adicional.
137
¿Qué diagnósticos diferenciales se asocian con atrapamiento aéreo en la TAC?
Neumonitis por hipersensibilidad y bronquiolitis constrictiva u otras enfermedades de vías aéreas pequeñas. ## Footnote Estas condiciones pueden ser identificadas mediante tomografía computarizada para un diagnóstico más preciso.
138
**Fig. 58.7 Neumomediastino en el asma aguda.** Radiografía posteroanterior de tórax en un paciente joven con asma aguda que muestra hiperinsuflación y presencia de neumomediastino (flechas).
139
Fig. 58.8 Engrosamiento de la pared bronquial en asma crónica en un paciente no fumador. (A) Corte de tomografía computarizada de alta resolución (TCAR) a nivel de los lóbulos inferiores que muestra varios bronquios con engrosamiento de sus paredes (flechas rectas). También se observan algunos bronquios de aspecto normal (flechas curvas).
140
Fig. 58.8 Engrosamiento de la pared bronquial en asma crónica en un paciente no fumador.(B) Imagen reformateada en plano coronal que evidencia engrosamiento de la pared bronquial (flechas rectas) en las zonas media y superior de los pulmones.
141
**Fig. 58.9 Bronquiectasias en el asma crónica.** Tomografía computarizada de alta resolución (TCAR) a nivel de los lóbulos inferiores que muestra bronquiectasias en el lóbulo inferior izquierdo (flechas), áreas de disminución de la atenuación y de la vascularidad en dicho lóbulo, así como pérdida de volumen.
142
**Fig. 58.10 Atenuación en mosaico y atrapamiento aéreo espiratorio en asma crónica severa.** (A) Tomografía computarizada de alta resolución (TCAR) realizada al final de la inspiración que muestra extensas áreas bilaterales de disminución de la atenuación y de la vascularidad, con redistribución del flujo sanguíneo hacia el parénquima pulmonar normal, lo que da lugar a un patrón de atenuación en mosaico.
143
**Fig. 58.10 Atenuación en mosaico y atrapamiento aéreo espiratorio en asma crónica severa.**(B) TCAR realizada tras la espiración máxima que demuestra atrapamiento aéreo extenso.
144
**Fig. 58.11 Atrapamiento aéreo en el asma.** (A) Tomografía computarizada de alta resolución (TCAR) realizada al final de la inspiración que muestra áreas sutiles de disminución de la atenuación y de la vascularidad. (B) TCAR obtenida tras la espiración máxima que demuestra atrapamiento aéreo extenso.
145
**Fig. 58.12 Asma: hallazgos en tomografía computarizada.** (A) Imagen de tomografía computarizada de alta resolución (TCAR) que muestra extensas áreas de disminución de la atenuación y de la vascularidad, compatibles con bronquiolitis constrictiva, así como pequeñas opacidades nodulares en las regiones periféricas de los lóbulos inferiores. (B) Imagen de proyección de máxima intensidad que demuestra con mayor claridad que las opacidades nodulares periféricas presentan una distribución centrolobulillar (flechas). Estos nódulos centrolobulillares reflejan presumiblemente la presencia de mucostasis o inflamación peribronquiolar.
146
**Fig. 58.13 Quistes en asma crónica en un paciente que nunca ha fumado.** La tomografía computarizada de alta resolución (TCAR) muestra quistes bilaterales de paredes delgadas (flechas) y áreas localizadas de disminución de la atenuación y de la vascularidad.
147
**Fig. 58.14 Aspergilosis broncopulmonar alérgica.** (A) Imagen axial de proyección de máxima intensidad obtenida por tomografía computarizada de tórax que muestra consolidación y atelectasia en el segmento anterior del lóbulo superior derecho, secundarias a tapones mucosos hiperdensos dentro de vías aéreas bronquiectásicas, hallazgo prácticamente diagnóstico de aspergilosis broncopulmonar alérgica. (B) Imagen axial de un estudio de control realizado 6 meses después que demuestra resolución de la opacidad y del taponamiento mucoso del lóbulo superior derecho; la bronquiectasia subyacente se aprecia ahora con claridad.
148
**Fig. 58.15 Aspergilosis broncopulmonar alérgica.** (A) Imagen de tomografía computarizada de alta resolución (TCAR) que muestra bronquiectasias varicosas extensas en los lóbulos superiores. (B) Imagen reformateada en plano coronal que evidencia la distribución central y predominante en los lóbulos superiores de las bronquiectasias (flechas).
149
**Fig. 58.16 Tumor carcinoide endobronquial atípico en un paciente que se presentó con antecedente de “asma”.** (A) Imagen inspiratoria de tomografía computarizada de alta resolución (TCAR) que muestra un tumor endoluminal en el bronquio principal derecho. Nótese la disminución del tamaño del pulmón derecho y la reducción difusa de la atenuación y de la vascularidad en comparación con el pulmón izquierdo. (B) Imagen espiratoria de TC que demuestra un atrapamiento aéreo marcado en el pulmón derecho.
150